вверх
отправить
поиск
админ
главная
|
Остеомиелит б/берцовой кости |
 |
 |
 |
Отправлено Михаил 09 Январь 2015, 23:23
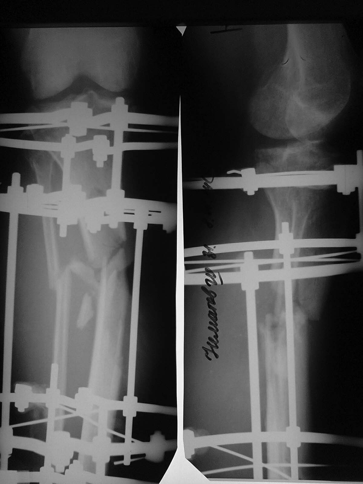
Доброго времени суток, уважаемые коллеги!Прошу Вашей помощи в лечении пациента Н. Пациент, 33 г. Травма в мае 2014 года в результате ДТП (сбит машиной). Оперирован в институте (или центре) травматологии и ортопедии одной из среднеазиатских республик (уроженец этой республики). Обратился к нам в августе, по поводу наличия гнойной раны внутренней поверхности голени с обильным отделяемым. (Рентгенограммы- фото 1). Выполнено: остенекрсеквестрэктомия, резекция концов отломков, перемонтаж аппарата (фото 2). Рана успешно зажила, пациент исчез из вида. Неделю назад пришел снимать аппарат с рентгенограммами (фото 3,4). Ходит с полной безболезненной нагрузкой на конечность, АВФ стабилен, раны от опорных элементов спокойны, отек конечности умеренный, в проекции бывшей гнойной раны- втянутый рубец (если необходим внешний вид конечности, то смогу выложить на следующей неделе,наверное). Учитывая большой дефект кости по задней поверхности кости, боимся, что при нагрузке без аппарата произойдет перелом. Вопрос: что делать? Наши варианты: 1.снять АВФ, рассверлить канал, установить штифт с антибактериальной мантией в виде "протеза" кости; 2.Резекция дефектного участка, остеотомия в н/3, перемонтаж АВФ и билокальное замещение дефекта. Что Вы посоветуете? Спасибо всем откликнувшимся.
<
|
>
|
|
Ответить
|
Re: Остеомиелит б/берцовой кости
Дедок М 10 Январь 2015, 19:43
|
Потренировать регенерат. Ослабить гайки или дозированная поэтапная компрессия. Можно резиновые пробки по гайки. И все будет о к. Можно и штифт, но это деньги....
|
[
Ответить ]
|
Re: Остеомиелит б/берцовой кости
Говоров Михаиил 15 Январь 2015, 10:11
|
Доброго времени суток. К сожалению работа в аппарате без остеотомии МБк ничего не даст. насколько после операции стала короче голень? Учитывая смещение малоберцовой кости скорее всего 2,5-3 см. Думаю, можно смело говорить о ложном суставе. 2 вариант предпочтительнее при желании пациента. Расцените как вариант: ревизия ложного сустава, краевая резекция отломков, репозиция с замещением дефекта аутокостью, синтез пластиной + правильная а\б терапия. И удача))
|
[
Ответить ]
|
Re: Остеомиелит б/берцовой кости
Денис 15 Январь 2015, 11:02
|
Если больной так относится к своему лечению (не появлялся с августа), наложить сейчас циркулярный гипс от ахилла и выше коленного сустава на 1,5-2 мес. Разрешить нагрузку на ногу...
|
[
Ответить ]
|
( Ответить )
|
|