вверх
отправить
поиск
админ
главная
|
Анкилоз локтевого сустава |
 |
 |
 |
Отправлено Абдурашид 29 Январь 2015, 22:19
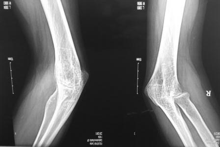
Обратилась М.22г. В малолетнем возрасте получила травму локтевого сустава, лечилась у табиба. Теперь хочет выйти замуж, и просит помочь. Правая рука гипотрофична, движений в локтевом суставе нет. Можно ли делать артропластику, если да ,то где и какие нюансы? С уважением Абдурашид.
<
|
>
|
|
Ответить
|
Re: Анкилоз локтевого сустава
Михаил Г. 01 Февраль 2015, 18:49
|
На мой взгляд поможет только эндопротезирование сустава.
|
[
Ответить ]
|
Re: Анкилоз локтевого сустава
Отправитель: Alexander Larionov 03 Февраль 2015, 08:45
|
С хорошей предоперационной подготовкой - надо попытаться восстановить мышечную ткань руки - массаж, электростимуляция мышц, ЛФК.
ААЛ
|
[
Ответить ]
|
Re: Анкилоз локтевого сустава
Отправитель: николай 05 Февраль 2015, 12:21
|
учитывая молодой возраст
рекомендую -артропластику локтевого сустава
|
[
Ответить ]
|
Re: Анкилоз локтевого сустава
Отправитель: Абдурашид 05 Февраль 2015, 22:01
|
Уважаемые коллеги, спасибо! Конечно в данном случае может помочь только эндопротезирование, но нас интересует где это делается, сколько это стоит, нужен конкретный адрес, будем связываться и договорится ,после чего я сообщу родителям.
С уважением Абдурашид
|
[
Ответить ]
|
|
Re: Анкилоз локтевого сустава
Тони 05 Февраль 2015, 23:53
|
Лучший специалист в России по локтевому суставу Селезнев Николай Васильевич, как он скажет так и нужно делать, учитывая возраст только артропластика сустава, НЕ Протезирование. Найти его можно по личному сайту
|
[
Ответить ]
|
Re: Анкилоз локтевого сустава
Djoldas Kuldjanov, M.D. 06 Февраль 2015, 19:03
|
Абдурашид,
Отрицательный ответ, возможно, разочарует, но в данном случае больше противопоказаний, чем показаний к протезированию. Хотя анкилоз локтевого сустава является одним из показаний к протезированию, но отсутствие покрытия в области локтевого сустава (из-за риска мягкотканых осложнении) лимитирует возможности замены сустава у активных персон.
Кроме того, для функции сустава требуются функциональные мышцы, а замена сустава протезом не сможет восстановить отсутствующие с малолетнего возраста мышцы. Процедуры для улучшения местной трофики (массаж и электростимуляция) неэффективны для увеличения мышечной массы, потому что функцию мышц сможет восстановить только движение!
Операция не дешевая и рискованная. Тем более, за это время пациентка адаптировалась к жизни за счет движений плеча и предплечья, и ради косметических побуждений не стоит подвергать ее неоправданному риску!
|
[
Ответить ]
|
Re: Анкилоз локтевого сустава
Отправитель: Абдурашид 07 Февраль 2015, 22:26
|
Джолдас, спасибо дорогой! Я понял, действительно , все мышцы плеча(и разгибатели, и сгибатели) атрофированы и жировая перерождение мышц,...
Но, все же, уважаемый Тони, можно ли попросить Селезнева Николай Васильевича выступить на форуме своими соображениями по данному случаю?
С уважениям Абдурашид.
|
[
Ответить ]
|
|
Re: Анкилоз локтевого сустава
Николай 09 Февраль 2015, 10:44
|
После создания любого шарнира из анкилозированного локтевого сустава будь то эндопротез или артропластика. Этот шарнир должен кто то двигать.Это две мышцы бицепс и трицепс, если они не работают нет смысла ни в одной операции. По моему опыту прошло 5 таких пациентов с врожденным анкилозом.У всех было минимальное сохранением функции мышц, после артропластики через 3 года средний объем движений в суставе 100*.Сгибание 70*, разгибание 145*.
|
[
Ответить ]
|
Re: Анкилоз локтевого сустава
Отправитель: Абдурашид 14 Февраль 2015, 21:42
|
Уважаемый Николай, можно Ваш телефон, адрес и e-mail. мой: abdurashid52.at@gmail.com
|
[
Ответить ]
|
Re: Анкилоз локтевого сустава
Отправитель: Николай 17 Февраль 2015, 11:33
|
niksel48@mail.ru
телефон 89035484245
|
[
Ответить ]
|
Re: Анкилоз локтевого сустава
Отправитель: Абдурашид 18 Февраль 2015, 23:09
|
Спасибо! Как родители приедут, я с ними переговорю и потом Вам сообщу.
С уважением Абдурашид.
|
[
Ответить ]
|
|
( Ответить )
|
|