AOTRAUMA.ORG Центр Илизарова  

Ортопедия и травматология Общие вопросы/General questions Help Информационные технологии в медицине
 вверх
 отправить
 поиск
 админ
 главная


Ложный сустав бедра, перелом штифта.
Ортопедия и травматология Отправлено Андрей Миронов 09 Февраль 2015, 19:22
Добрый вечер Уважаемые коллег. Вашему вниманию для обсуждения, предсатвляю данный клинический случай. ИНтерисуют ваши варианты оперативного лечения, применительно для конкретного пациента.
Коротко о пациенте: Возраст 60 лет, мужчина. Со слов травма в 2006 года-ДТП (сбит автомашиной) - в январе 2007 г. выполнено БИОС левого бедра , затем по неизвестным причинам в 2008 году реостеосинтез левого бедра штифтом ( снимков нет). Оперирован в одном из городов Сибири. Передвигался с тростью, с июля 2014 г. был вынужден встать на костыли в связи с усилением болей в области левого коленного сустава, левого бедра. В декабре 2014 г. боли в левом бедре усилились, появилась поталогическая подвижность.Сопутствующие заболевания:
- инфаркт миокарда нижней стенки в 2006г; КАГ со стентированием (2стента); повторная КАГ в 2012г (стеноз коронарных артерий); приобретенный порок выявлен после ИМ – сочетанный порок АК (стеноз+недостаточность);
- сахарный диабет 2типа
- кишечное кровотечение отмечает с 2013г; с-r средне-ампулярного отдела прямой кишки 2А Т3N0M0. стадии выявлен в 10.2014г; низкая передняя резекция прямой кишки, илеостомия 05.11.14г (гистология –
высокодифференцированная аденокарцинома); ушивание эвентрации
- инвалид 3группы по заболеванию
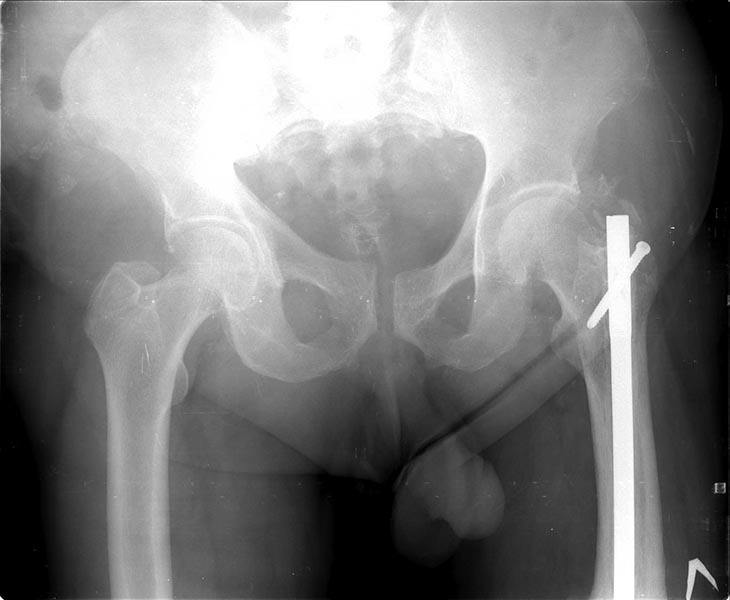
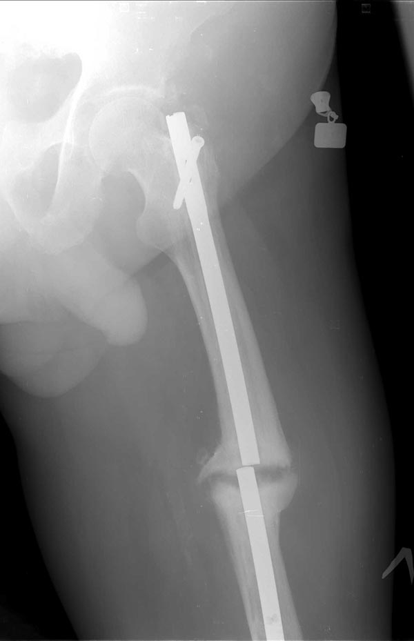
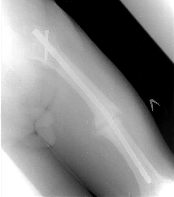
На снимках( это снимки январь 2015г), которые выложил, определяется гипертрофический ложный сустав с/3 бедренной кости, перелом штифта на уровне перелома, штифт канюлированный.Состояние больного удовлетворительное, по анализам компенсирован.

В нашем учреждении учитывая все вышеизложенное, принята следующая тактика: Открытое удаление фрагментов штифта, выполнение костно-поднадкостничной декортикации на уровне псевдоартроза и выполнение реостеосинтеза штифтом ЦИТО.
(Из штифтов имеем: Остеомед max-12мм, канюлированый Sanatmetal-11мм, и ЦИТО разных размером, так же есть пластины и и аппарат)

Интерисуют иные мнения ( если такие имеются) вариантов оперативного лечения. Какой на Ваш взгляд, оптимальный вариант оперативного лечения применить для этого больного.

Заранее спасибо.
С ув.Андрей

<  |  >

 

  • Сообщения о Ортопедия и травматология
  • Также Андрей Миронов
  • Связаться с автором
  • Ответить

    Re: Ложный сустав бедра, перелом штифта.
    Абдурашид 09 Февраль 2015, 21:17

    Надо выложить снимки.
    [ Ответить ]

    Re: Ложный сустав бедра, перелом штифта.
    Дедок Михаил 09 Февраль 2015, 22:24
    ну штифт удалить, рассверлить и максимально толстый штифт (любой, хоть ЦИТО советских времен)с динамизацией. НО если Вы удалите закрыто штифт и рассверлите, зачем декортикация.
    А как закрыто удалите??

    P.S. ингибиторы протонной помпы+ низкомолекулярный гепарин в раннем ПО периоде зело пользительно будет.
    И уровень железа в крови какой? Анемия часто при таких делах.
    [ Ответить ]

    Re: Ложный сустав бедра, перелом штифта.
    Гарик Зурначян 09 Февраль 2015, 22:51
    Здраствуйте, дорогой Андрей,
    конечно было бы разумно высказать мнение увидев снимки, но на сколько я понял проблему, скажу мое мнение.
    Я сделал бы реостеосинтез апаратом Илизарова. Это дает возможность контролировать компресию, что увеличело бы вероятность срощение ложного сустава.
    [ Ответить ]

    Re: Ложный сустав бедра, перелом штифта.
    Артур Керимов 09 Февраль 2015, 22:54
    Доброго времени суток! А как Вам такой вариант: 1 убрать винты; 2 доступ к верхнему концу штифта 3 при помощи какого нибудь старого штифта ( прекрасно подойдет штифт ЦИТО)) такого же размера пробить штифт в сторону колена и удалить его через коленку!
    4 рассверливаем гибким риммером и закрыто ставим толстый блокированный длинный штифт!
    Удачи!
    [ Ответить ]

    Re: Ложный сустав бедра, перелом штифта.
    Станислав Дмитриев 09 Февраль 2015, 23:34
    Уважаемый Андрей! Подобные случае обсуждались на форуме неоднократно. Здесь тугой ложный сустав. декортикация излишняя. Реостеосинтез с рассверливанием. "Остеомед" 12 мм неплохой вариант, а лучше бы потолще. Основной проблемой будет удаление периферического отломка штифта. При отсутствии спец. инструмента мы обычно в таких случаях рассверливаем центральный отломок, в канал оставшегося фрагмента гвоздя вставляем проводник с "пуговкой", заклиниваем его длинной спицей и вытаскиваем. Если, с ваших слов,есть патологическая подвижность - есть шанс устранить смещение одномоментно и выполнить реостеосинтез. Удачи.
    [ Ответить ]

    Re: Ложный сустав бедра, перелом штифта.
    Alexey Semenisty 10 Февраль 2015, 16:30
    Открывать крайне не рекомендуется. Сломанные каннюлированные штифты удаляются закрыто. На ортофоруме это неоднократно обсуждалось с иллюстрациями. Поищите Ну в крайнем случае можно, как предлагает Артур Керимов, через коленный сустав удалить дистальный фрагмент штифта. Декортикация при гипертрофическом ложном суставе избыточна и не показана. Повторное шлифование - метод выбора...только закрыто
    [ Ответить ]

    Re: Ложный сустав бедра, перелом штифта.
    Иван Плотников 14 Февраль 2015, 21:48
    Здравствуйте, Андрей! Недавно был похожий случай. Пациент 38 лет весом 100+ через 3 месяца после остеосинтеза правого бедра штифтом UFN сломал гвоздь на уровне перелома. Выполнили следующее: удалили проксимальную часть сломанного штифта, затем через колено ввели штифт R/AFN и сломанную часть гвоздя провели через костно-мозговой канал до вертельной области и удалили. Штифт заблокировали в динамическое отверстие, пациента активизировали на 2-е сутки с полной нагрузкой. Через 1,5 месяца на рентгенограмме появились признаки перестройки костной мозоли. В вашем случае, на мой взгляд, выполнение рассверливания обязательно.
    Успехов!
    С Уважением, Иван.
    [ Ответить ]

    Re: Ложный сустав бедра, перелом штифта.
    Neustroev 15 Февраль 2015, 16:45
    Однозначно показана замена стержня на большего диаметра с рассверливанием КМ канала. Если дистальная часть гвоздя будет удаляться через коленный сустав, то и новый стержень ставьте ретроградно. Это избавит вас от конфликта по старым отверстиям и повысит стабильность. Америкосы гвоздь новый советуют блокировать статически.
    [ Ответить ]

    Re: Ложный сустав бедра, перелом штифта.
    Александр 10 Март 2015, 21:49
    Стержень неадекватного диаметра.Вот и несращение.Удалить, рассверлить, поставить адекватный. И всё.
    [ Ответить ]


    ( Ответить )

    Powered by Zope  Squishdot Powered MedLink
    Посетитель: 0000006
      "По форме правильно, а по существу - издевательство" В.И.Ленин
    ©2001-2019Orthoforum Coordinator.
    [ Главная | Отправить сообщение | Поиск | Админ ]