вверх
отправить
поиск
админ
главная
|
Ложный сустав с дефектом локтевой кости |
 |
 |
 |
Отправлено Абдурашид 09 Февраль 2015, 23:14
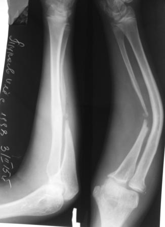
Уважаемые коллеги. Обратился мальчик 1998г.р. с жалобами на деформации предплечья. Со слов матери 2008г оперирован мною по поводу перелома обеих костей предплечья. и/м остеосинтез спицами ( с 2010года перешли на пластины-DCP,LCP).через 2 месяца после заживления спицы удалены, я сам не помню. И через 7 лет явились с претензиями что со слов больших докторов из центра неправильно оперирован и якобы спицы удалены раньше срока и поэтому развился такая деформация. Я не понял, почему развилась такая атрофия и дефект локтевой кости, ведь по представленным снимкам п/о и через 2 месяца все было нормально... или родители чего-то скрывают..Функция локтевого и луче-запястного суставов сохранены, имеется небольшое ограничения супинации и пронации. Я обещал родителям, что выложу на форуме, и совместно с опытными специалистами подумаем.В плане корригирующая остеотомия лучевой кости, резекция концов ложного сустава локтевой кости . аутотграфт из половины окружности малоберцовой кости достаточной длины, остеосинтез методом Илизарова. Уважаемые коллеги , жду и надеюсь на Ваши рекомендации.. С уважением Абдурашид.
<
|
>
|
|
Ответить
|
Re: Ложный сустав с дефектом локтевой кости
Alexander Artemiev 12 Февраль 2015, 03:05
|
Оцените объективно клиническую картину. Что человека беспокоит?
Суставы работают нормально, длина почти одинаковая, эстетически всё пристойно.
Не ищите приключений.
Лечите не рентгенограмму, а пациента.
Тем более здесь очевиден какой-то подвох - проблемы с кровоснабжением и пр.
Отпустите его с миром.
С уважением Александр Артемьев
|
[
Ответить ]
|
Re: Ложный сустав с дефектом локтевой кости
Савранский Александр 13 Февраль 2015, 19:05
|
Ваш план мне нравится- делать что-то нужно. Я не считаю, что имеющаяся деформация является приемлемой и косметически допустимой. Единственно, что здесь все-таки лучше БИОС хотя бы лучевой кости- для ранней функции. По поводу раннего удаления спиц- да удалили рано- желательно было через 6-12 месяцев. Для того, чтобы спица в луче не мешала функции, ее лучше проводить не через сустав, а формировать вход канала в н/з луча- как при БИОС.
|
[
Ответить ]
|
Re: Ложный сустав с дефектом локтевой кости
Отправитель: Абдурашид 13 Февраль 2015, 22:51
|
Уважаемый Alexander, спасибо. но больной хочет служит в армии, поэтому и требует исправит деформацию.
Уважаемый Александр, у нас БИОС делается на бедро,голени и плече, пока гвоздей для предплечья не поступали, поэтому этот метод отпадает, и/м спицы у детей мы удаляем и через 1. и 1,5 месяца и никогда такого за 39 лет работы я не видел!.а в данном случае по Р-снимкам локтевая кость через 2 месяца полностью срослась!а потом что случилось локтевой костью не понимаю. мы же даже у взрослых после консервативного лечения наружную фиксацию снимаем через 2 месяца,.
С уважением Абдурашид.
|
[
Ответить ]
|
Re: Ложный сустав с дефектом локтевой кости
Отправитель: Савранский Александр 14 Февраль 2015, 00:36
|
Деформация все-таки возникла и это факт. Дело в том, что переломы предплечья не так уж редко дают замедленную консолидацию и несращение, хотя у детей меньше, чем у взрослых. По поводу претензий родителей- они должны были наблюдаться у своего врача в поликлинике и обратиться намного раньше, так что это их недосмотр. По лечению- если нельзя БИОС, то тогда LCP- пластину на луч после остеотомии. Что касается локтевой, то возможен вариант фиксации длинной блокированной пластиной или тонким стержнем Богданова, естественно после обработки концов отломков и установки аутографта. Кстати, если есть возможность с микрохирургами пересадить васкуляризованный участок кости, то это будет лучше.
С родителями и пациентом обсудите возможные риски и предупредите, что в армию его не возьмут в любом случае - это снимет вопросы в дальнейшем.
|
[
Ответить ]
|
|
Re: Ложный сустав с дефектом локтевой кости
Шведовченко Игорь Владимирович 17 Февраль 2015, 18:29
|
Добрый день, уважаемые коллеги. По моему вы недостаточно серьезно оцениваете имеющуюся ситуацию. При первом взгляде на рентгенограммы возникает только одна аналогия - латентный ложный сустав костей голени. Тот же дефект малоберцововй кости, та же дугообразная деформация большеберцовой кости. Можно лишь гадать о том, что послужило пусковым механизмом развития такой деформации костей предплечья, но сейчас вы имеете дело с явным нейротрофическим нарушением на данном сегменте.
И если это так (невролог, ЭМГ, ЭНМГ), то простого решения этой проблемы нет.
И вам придется давать ответы на несколько вопросов. Возможно ли без укорочения исправить угловую деформацию лучевой кости. Как надежно заместить дефект локтевой кости. Здесь уже нельзя говорить о ложном суставе, поскольку после исправления деформации предплечья диастаз между фрагментами увеличится. Предлагаемый метод пластики вызывает большие сомнения, поскольку имеются явные трофические нарушения дистального фрагмента локтевой кости. Наиболее надежна в этом случае микрохирургическая аутотрансплантация малоберцовой кости.
|
[
Ответить ]
|
Re: Ложный сустав с дефектом локтевой кости
Отправитель: Абдурашид 18 Февраль 2015, 23:00
|
Спасибо Игорь Владимирович! Понял, на днях должны звонить , попробуем сделать ЭМГ и ЭНМГ, консультация невролога, и дальше будем думать,..
С уважением Абдурашид.
|
[
Ответить ]
|
|
Re: Ложный сустав с дефектом локтевой кости
Носов Олег Борисович, в.н.с. отделения микрохирургии 19 Февраль 2015, 11:07
|
Уважаемые доктора, рассуждать сейчас о причиных деформации предплечья и формирования дефекта локтевой кости достаточно сложно. Вероятно сама травма и последующие вмешательства привели к выраженному нарушению васкуляризации диафиза локтевой кости. Атрофия мышц предплечья связана с локальными нейро-трофическими изменениями на уровне проксимальной/3 предплечья.Для исправления подобных деформаций в нашем институте травматологии применяются корригирующие остеотомии лучевой кости с одновременной пластикой дефекта локтевой кости сегментом малоберцовой кости на микроанастомозах, с обязательной ревизией сосудисто-нервных пучков.
|
[
Ответить ]
|
Re: Ложный сустав с дефектом локтевой кости
Отправитель: Абдурашид 27 Февраль 2015, 20:31
|
Уважаемый Олег Борисович, больной из Узбекистана, родители хотят узнать где можно лечится, и примерно сколько стоит? Можно ли к Вам обратиться, и как?
С уважением Абдурашид.
|
[
Ответить ]
|
Re: Ложный сустав с дефектом локтевой кости
Отправитель: Носов Олег Борисович, в.н.с. отделения микрохирургии 03 Март 2015, 12:57
|
Учитывая, что больной иностранец лечение может быть только на платной основе. Реконструкция верхней конечности с использованием микрохирургической техники проводится в микрохирургическом отделении "Приволжского федерального медицинского исследовательского центра" ("ПФМИЦ")г. Нижний Новгород, заведующий отделением к.м.н.Носов О.Б.(Email: ob-nosov@mail.ru или на сайт института WWW.nniito.ru для Носова О.Б.). Примерная стоимость:Операция - 36000 руб., стоимость койко-дня с медикаментами 1700, доп. исследования (R-графия, кт с контрастированием сосудов, ЭНМГ пенриферических нервов)-12000 руб., металлоконструкции (пластина LCP c винтами 40000руб.)
|
[
Ответить ]
|
Re: Ложный сустав с дефектом локтевой кости
Отправитель: Абдурашид 03 Март 2015, 21:46
|
Спасибо Олег Борисович! Я с родителями переговорю, если соглашаются , я Вам позвоню.
Еще раз спасибо!
С уважением Абдурашид.
|
[
Ответить ]
|
|
( Ответить )
|
|