вверх
отправить
поиск
админ
главная
|
Удаление погнувшегося винта |
 |
 |
 |
Отправлено Михаил 18 Февраль 2015, 00:43
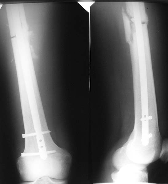
Доброго времени суток, уважаемые коллеги! Наверняка у кого-нибудь есть опыт удаления сильно погнувшегося блокирующего винта из круглого отверстия штифта.Может быть вы применяли какие-то приемы или хитрости?Если не трудно, поделитесь.Спасибо!
<
|
>
|
|
Ответить
|
Re: Удаление погнувшегося винта
Alexander Chelnokov 18 Февраль 2015, 10:12
|
Винт, скорее всего, сломанный, а не погнутый.
|
[
Ответить ]
|
Re: Удаление погнувшегося винта
Отправитель: Михаил 18 Февраль 2015, 10:34
|
Тоже так думаем, просто надеясь на лучшее, готовимся к худшему.
|
[
Ответить ]
|
Re: Удаление погнувшегося винта
Отправитель: Alexander Chelnokov 18 Февраль 2015, 12:04
|
Снимок покажите. Какой срок после остеосинтеза?
|
[
Ответить ]
|
Re: Удаление погнувшегося винта
Отправитель: Михаил 18 Февраль 2015, 18:21
|
Год. Собираемся рассверлить и реостеосинтезировать.
|
[
Ответить ]
|
|
Re: Удаление погнувшегося винта
Бережной Сергей 19 Февраль 2015, 00:06
|
А может убрать верхний винт и часть со шляпкой нижнего, дать полную нагрузку и подождать еще?
Вполне может консолидироваться.
|
[
Ответить ]
|
Re: Удаление погнувшегося винта
Отправитель: Alexander Chelnokov 19 Февраль 2015, 00:14
|
Срок слишком большой. И несращение и так обусловлено нестабильностью, судя по картине. И усугубление нестабильности может завесить проблему на неопределенный срок. Или до перелома собственно гвоздя.
|
[
Ответить ]
|
Re: Удаление погнувшегося винта
Отправитель: Бережной Сергей 19 Февраль 2015, 00:44
|
Фантастика. Написанное через секунду появляется на экране. Такого еще не видел. Здорово.
Но может быть все-таки несращение обусловлено отсутствием динамизации?
|
[
Ответить ]
|
Re: Удаление погнувшегося винта
Отправитель: Alexander Chelnokov 19 Февраль 2015, 01:05
|
Может быть - если месяцев 10 назад. А так - вот она потом произошла, "самодинамизация". Статический винт давно сломался, место несращения просело чуть не на сантиметр, динамичесий винт проехал до верхнего края отверстия. Так что можно бы растянуть псевдартроз, и запереть статически, сохранив напряжение на дистракцию.
|
[
Ответить ]
|
Re: Удаление погнувшегося винта
Отправитель: Бережной Сергей 19 Февраль 2015, 01:22
|
Как раз это я и имел в виду. Что динамический винт не проехал до верхнего края отверстия, а мог находиться там или в середине отверстия с самого начала. И полноценной динамизации он препятствует. Хотя и не сломался до сих пор. Значит сращение намечается. Без первичных или этапных снимков конечно только гадать остается.
|
[
Ответить ]
|
Re: Удаление погнувшегося винта
Отправитель: Михаил 19 Февраль 2015, 10:09
|

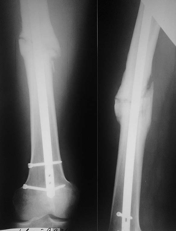
Хотели установить максимально толстый штифт и блокировать динамически. Послеоперационные снимки прилагаются.
|
[
Ответить ]
|
Re: Удаление погнувшегося винта
Отправитель: Багиров А.Б. 19 Февраль 2015, 21:16
|
Я предлагаю не гоняться за сломанным винтом. Оставить его в покое. Удалить динамичный винт, пока он не сломался. На каждый отломок бедра ввести по два стержня 6 мм, создать рамочную систему по наружной поверхности бедра деталями аппарата Илизарова. Это позволит стабилизировать в целом фиксацию штифта и создать компрессию между отломками.
|
[
Ответить ]
|
Re: Удаление погнувшегося винта
Отправитель: Данила Курышев 19 Февраль 2015, 00:52
|
Можно спросить?
|
[
Ответить ]
|
Re: Удаление погнувшегося винта
Отправитель: рюмик 19 Февраль 2015, 01:28
|
можно
|
[
Ответить ]
|
Re: Удаление погнувшегося винта
Отправитель: Данила Курышев 19 Февраль 2015, 02:10
|
Судя по виду гвоздя - он ретроградный? овальное отверстие - проксимальнее. Винт сломался и позволил гвоздю "самодинамизироваться"? Когда это произошло - не известно. Не стоит ли в этом случае ещё подождать. Или поломка гвоздя - вопрос ближайшего времени? При условии - что всё не плохо в месте перелома? С уважением!
|
[
Ответить ]
|
Re: Удаление погнувшегося винта
Отправитель: Станислав Дмитриев 19 Февраль 2015, 18:47
|
>Судя по виду гвоздя - он ретроградный? овальное отверстие - проксимальнее
Универсальный гвоздь ChM или DC-"Деост". Возможно введение антеградно/ретроградно. Овальные отверстия на обоих концах гвоздя.
Ждать на стоит. Рассверлить, толстый гвоздь - динамически. Или как Александр Николаевич предлагает. Я б снизу 3 винта ввел в разных плоскостях. "Беда" Деостовских гвоздей - блокирующие винты 4,5 мм.
|
[
Ответить ]
|
Re: Удаление погнувшегося винта
Отправитель: Леонид Пак 19 Февраль 2015, 21:07
|
Привет всем! А чито клинически? Боль? Нестабильность? Вроде мозоль формируется Я бы убрал все дистальные винты да и подождал
С уважением Леонид Пак
|
[
Ответить ]
|
Re: Удаление погнувшегося винта
Отправитель: Михаил 20 Февраль 2015, 01:07
|
Клинически- боль в области перелома при длительной нагрузке. Штифт- DC.
|
[
Ответить ]
|
Re: Удаление погнувшегося винта
Отправитель: Paul 24 Февраль 2015, 09:45
|
Мне кажется, произошла избыточная динамизация в ближайшем послеоперационном периоде, т. е. появилась нестабильность. Скорее всего, дистальный винт - сломался (полнорезьбовой - более склонен к разрушению на изгиб). Считаю достаточным - зафиксировать (заново) дистальный отломок на стержне. Выполнить СТАБИЛЬНЫЙ остеосинтез.
Хотя правильно - более толстый стержень с рассверливанием.
|
[
Ответить ]
|
Re: Удаление погнувшегося винта
Отправитель: Paul 24 Февраль 2015, 09:45
|
Мне кажется, произошла избыточная динамизация в ближайшем послеоперационном периоде, т. е. появилась нестабильность. Скорее всего, дистальный винт - сломался (полнорезьбовой - более склонен к разрушению на изгиб). Считаю достаточным - зафиксировать (заново) дистальный отломок на стержне. Выполнить СТАБИЛЬНЫЙ остеосинтез.
Хотя правильно - более толстый стержень с рассверливанием.
|
[
Ответить ]
|
|
( Ответить )
|
|