AOTRAUMA.ORG Центр Илизарова  

Ортопедия и травматология Общие вопросы/General questions Help Информационные технологии в медицине
 ВХОД ДЛЯ ПАЦИЕНТОВ
 вверх
 поиск
 админ
 главная


Необходимо ли срочно делать реостеосинтез?
Ортопедия и травматология Прислано Михаил 22 Февраль 2015, 16:25
из
Доброго времени суток, уважаемые коллеги!
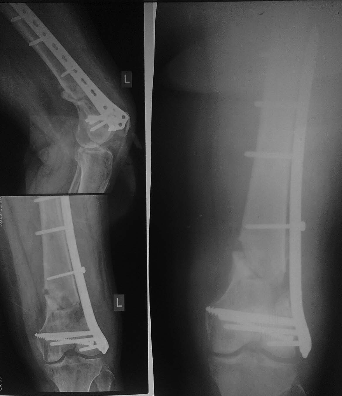
Представляю пациентку Д., 57 лет.Пострадала в ДТП в августе 2014 г.Диагноз:Открытый оскольчатый внутрисуставной перелом дистального метаэпифиза левой бедренной кости со смещением отломков. Рваные раны и ссадины левых бедра и голени. Закрытый перелом V ребра слева без смещения отломков. Травматический шок I ст(снимок 1).

Операция 16.09.14.-Открытая репозиция мыщелков бедренной кости, остеосинтез винтом, закрытая аппаратная репозиция, малоинвазивный остеосинтез бедренной кости опорной мыщелковой пластиной на винтах с угловой стабильностью с контролем под С-дугой(снимок 2).

После операции были даны рекомендации заниматься ЛФК для суставов, нагрузка не ранее, чем через 2,5 мес. Пропала из поля зрения (лечилась в поликлинике по месту жительства в другом районе области).

Сегодня пришла на консультацию (снимок 3). С ее слов: в своей поликлинике ей запрещают до сих пор нагрузку, аргументируя несращением.

Самостоятельно была на консультации в институте травматологии и ортопедии в областном центре, где ей предложили выполнить реостеосинтез с костной пластикой. Стоит ли торопиться с оперативным лечением или дать походить с возрастающей нагрузкой- возможно произойдет полная консолидация? Спасибо всем откликнувшимся!

Послать ответ

Имя
Email
Уведомление Сообщить мне по e-mail об ответах на это сообщение
Название
Комментарий
(Проверьте URL! Не забудьте написать http://!)
Кодировка
Если не знаете, что выбрать, выберите "Просто текст"!
Приложение
Можно приложить к сообщению файл c изображением, который затем будет доступен увидевшим сообщение.
Подготовка иллюстраций:
  • Рентгенограммы: черно-белые полутоновые изображения в формате JPEG (8 bit, greyscale) с разрешением от 300х200 до 1024х768 пикселов;
  • Клинические фотографии: полноцветные изображения в формате JPEG (24 bit, truecolor) с разрешением от 300х200 до 1024х768 пикселов;
  • Схемы и рисунки: черно-белые (2 bit) штриховые (line-art) изображения в формате GIF или compressed TIFF
  • Подберите степень сжатия файла JPEG и размер изображения таким образом, чтобы необходимые детали были различимы, но размер файла не превышал 75 кб.
  • Учтите, что текущая версия программного обеспечения Форума позволяет приложить к одному сообщению лишь один файл-вложение. Поэтому, если необходимо отправить несколько изображений, можно либо послать каждое как отдельное сообщение, либо в графическом редакторе объединить изображения в одно (сделать коллаж).
  • Если при подготовке изображений встречаются трудности, не стесняйтесь обратиться к координатору Форума.

  • Введите видимые символы в обратном порядке. Enter the above characters in reverse order (*Обязательно)
    В тексте сообщения можно использовать теги HTML <B> <I> <P> <A> <LI> <OL> <UL> <EM> <BR> <TT> <HR> <STRONG> <BLOCKQUOTE> <DIV .*> <DIV> <P .*>
  • Обратите внимание: Поля с жирными названиями обязательны.
  • Старайтесь отвечать в рамках обсуждаемой темы, а не начинать новые обсуждения.
  • Указывайте адекватную тему сообщения, чтобы было ясно, о чем оно.
  • Не послайте сообщений не по теме (оффтопик), раздраженных, грубых или обидных комментариев. Здесь это неуместно.
  • Powered by Zope  Squishdot Powered MedLink
    Посетитель: 0204460
      "По форме правильно, а по существу - издевательство" В.И.Ленин
    ©2001-2019Orthoforum Coordinator.
    [ Главная | Отправить сообщение | Поиск | Админ ]