Ответить
|
Re: Нелеченный перелом Hoffa
Бережной 01 Март 2015, 20:41
|
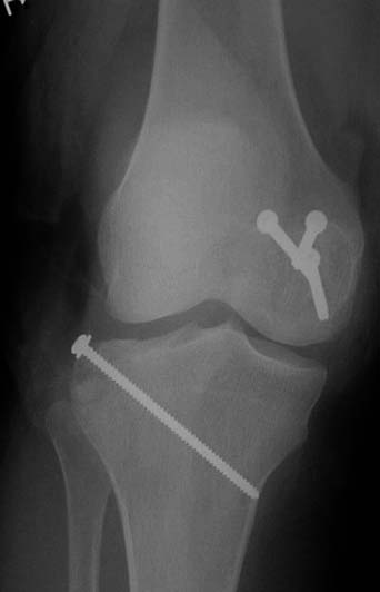
По одной проекции конечно сложно представить себе ситуацию во всех подробностях. Но первое, что приходит в голову, учитывая молодой возраст, хорошую функцию сустава и достаточно ровную линию перелома - открытая репозиция с фиксацией отломков мощными компрессирующими винтами.
|
[
Ответить ]
|
Re: Нелеченный перелом Hoffa
Paul 02 Март 2015, 10:26
|
Открытая репозиция и хорошая фиксация. Прогноз благоприятный.
|
[
Ответить ]
|
Re: Нелеченный перелом Hoffa
Федутинов Дмитрий 02 Март 2015, 17:58
|
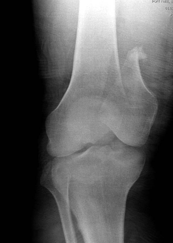
Около двух лет назад оперировали подобный перелом у женщины лет 45, с момента травмы до обращения к нам прошло около 1,5 месяцев. Выполнили открытую репозицию, остеосинтез компрессирующими спонгиозными винтами. Во время операции столкнулись с проблемой: так как задний фрагмент сместился вверх, а его суставная поверхность основная нагружаемая часть мыщелка, то вся нагрузка по оси пришлась на суставную поверхность переднего отломка и возник импрессионный перелом с вдавлением ло 1 см по высоте. После элевации хряща и сухондральной кости пришлось делать костную пластику.Результат и рентгенологический и функциональный через 6 мес был хороший. Если найду Р-граммы выложу
|
[
Ответить ]
|
Re: Нелеченный перелом Hoffa
Djoldas Kuldjanov 04 Март 2015, 18:56
|
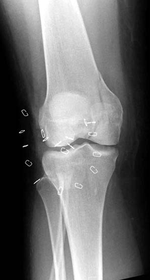
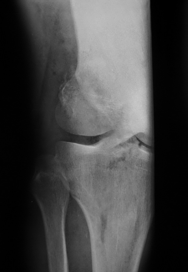
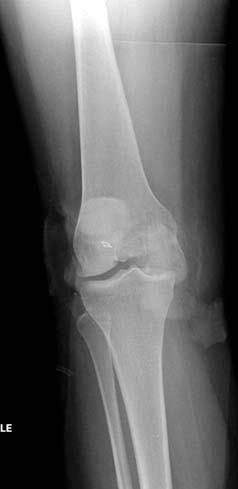
“Перелом наружного мыщелка правого бедра во фрональной плоскости был не замечен”
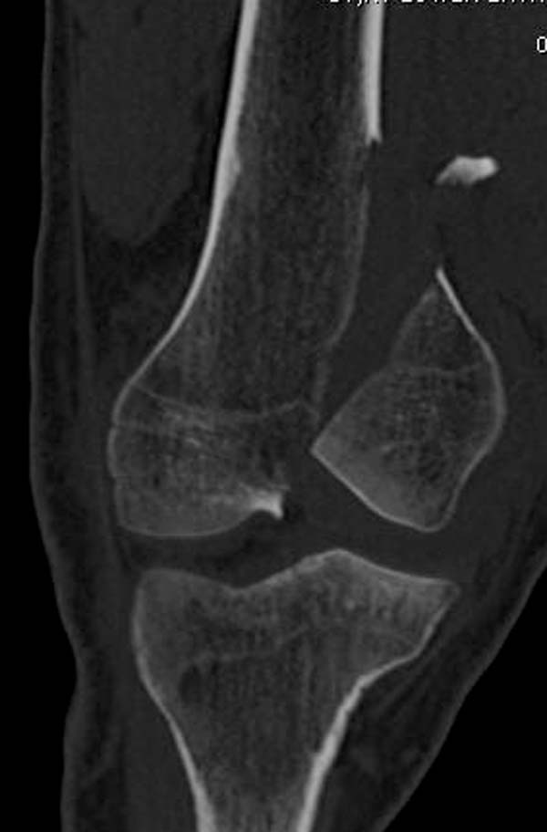
Диагностическая ошибка происходит, когда игнорируется правила обследования внутрисуставных переломов. Вместо полного обследования, включая КТ, ограничиваются рентгенограммой, и то в одной проекции!
Nork et al, J Orthop Trauma, 87:564, 2005 доложили, что над- и чрезмыщелковые переломы бедра в 38% имеют линию перелома в корональной плоскости!
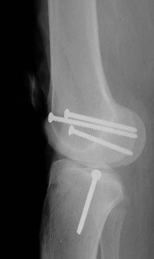
При изолированных переломах можно лечить миниинвазивно каннюлированными винтами, но в большинстве Hoffa компонент сопровождается другими типами перелома дистального бедра. Выбор доступа зависит от расположения фрагментов и большинстве латеральный субвастус доступ подойдет для фиксации перелома.
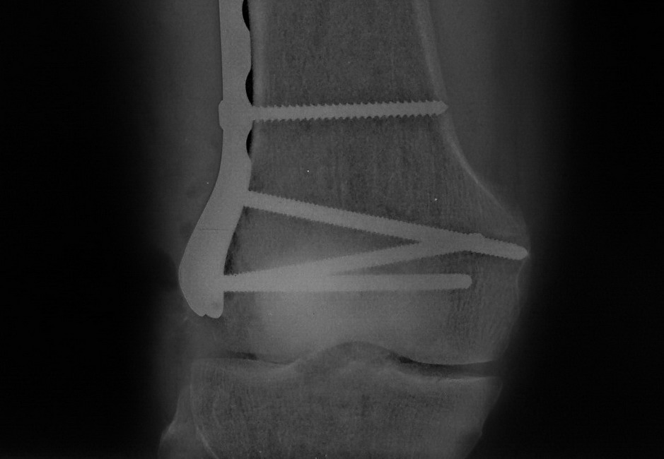
В данном случае предпочтителен парапателлярный доступ, где необходимо создать лучший обзор к мыщелку. После остеотомии и репозиции фиксацию надо проделать поперечными винтами и дополнительно задней antiglade plate - сделанной из 1/3 tubular plate.



Здесь представлены различные варианты фиксации перелома, а также снимки комбинации перелома с повреждением хряща (12-19). Пластика хряща OsseoFit и установка custom made plate.
|
[
Ответить ]
|
Re: Нелеченный перелом Hoffa
Иван Базаров 04 Март 2015, 19:26
|
Спасибо большое за советы! Добавляю некоторые КТ снимки. Перелом коллеги не диагностировали, видимо, расценив костную травму как повреждение задне-латерального комплекса коленного сустава. Отпишусь по результату выполненной операции.
|
[
Ответить ]
|
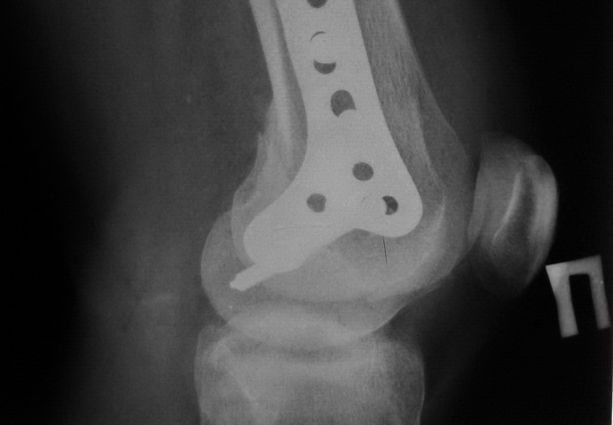
Re: Нелеченный перелом Hoffa
Андрей 05 Март 2015, 01:32
|

Остеосинтез LCP пластиной
|
[
Ответить ]
|
( Ответить )
|