Ответить
|
Re: Спиральный перелом костей голени
Бережной Сергей 03 Март 2015, 09:47
|
-Консервативное лечение с последующей биопсией и пластикой?-
А чего откладывать биопсию? Сделайте и в зависимости от результата можно будет подбирать способ фиксации. Спешки с остеосинтезом до уточнения диагноза никакой нет.
|
[
Ответить ]
|
Re: Спиральный перелом костей голени
Денис Магсумов 03 Март 2015, 10:36
|
Учитывая возраст, локализацию перелома и проблемы с дистальным метафизом, отдаю предпочтение пластине. Рост будет продолжаться, а стержень с блокированием, вероятно, его остановит. Плюс блокирование в дистальном отделе, на мой взгляд, не будет таким прочным, как при интактной костной ткани. Хотелось бы услышать мнение более опытных коллег по данному поводу.
|
[
Ответить ]
|
Re: Спиральный перелом костей голени
Paul 03 Март 2015, 10:47
|
Правильный ответ - См. Сергей Бережной.
|
[
Ответить ]
|
Re: Спиральный перелом костей голени
Anatoly Lazarev 03 Март 2015, 10:59
|
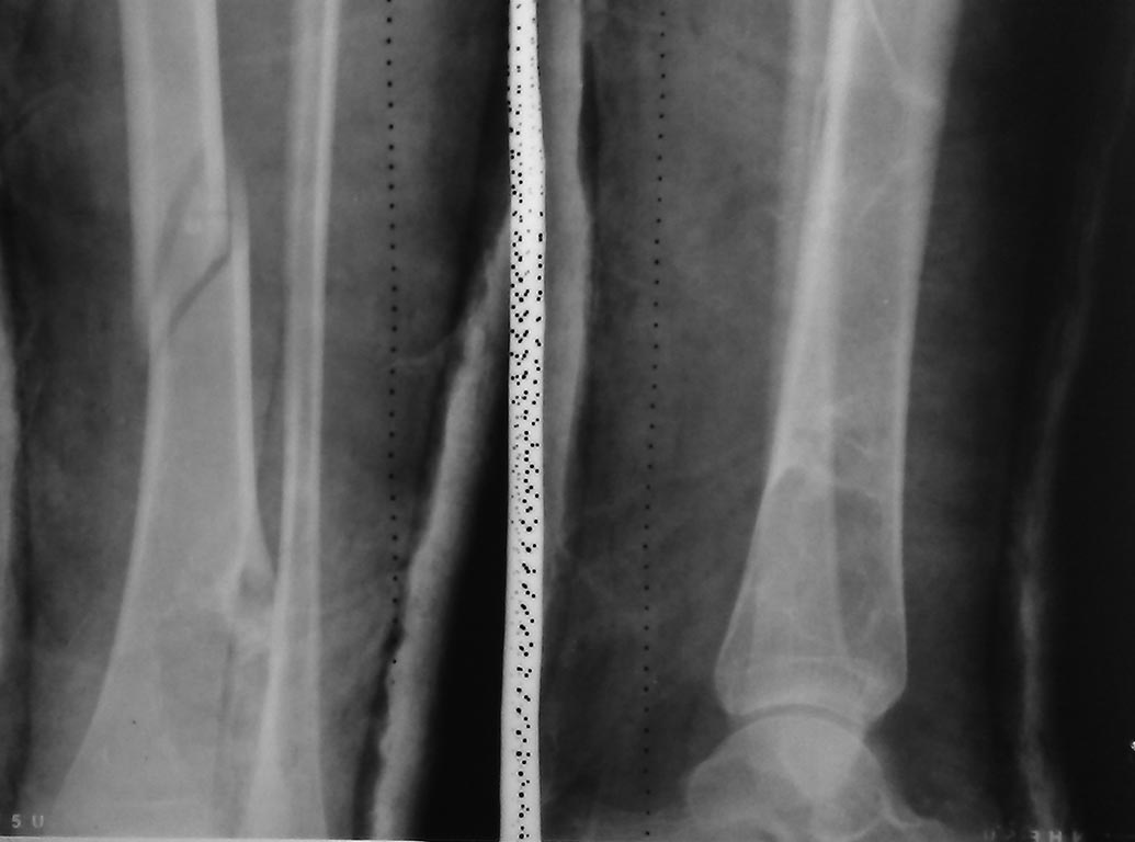
1. Снимок без гипса!!!
2 Снимок на протяжении с обеими смежными суставами в 2-х проекциях
3 Ростковые зоны видимо уже закрылись - БИОС
4. Возможна пластина - МИО но обязательно межотломковая компрессия,
пластина по 6 кортикалов дистальнее и проксимальнее перелома -мостовидная нейтрализующая
Удачи. ЛАФ
|
[
Ответить ]
|
Re: Спиральный перелом костей голени
Отправитель: Бидула Сергей 03 Март 2015, 12:28
|
Уважаемый Анатолий.На данный момент снимок без гипса отсутствует (пропал у родителей после первичной амбулаторной консультации. М.берцовая-целая.Сегодня будет КТ-направили для оценки патологической перестройки очага. Спасибо.
|
[
Ответить ]
|
|
Re: Спиральный перелом костей голени
Бидула Сергей 03 Март 2015, 12:30
|
Уважаемый Анатолий.На данный момент снимок без гипса отсутствует (пропал у родителей после первичной амбулаторной консультации. М.берцовая-целая.Сегодня будет КТ-направили для оценки патологической перестройки очага. Спасибо.
|
[
Ответить ]
|
Re: Спиральный перелом костей голени
Бидула Сергей 04 Март 2015, 01:30
|

Добавляю информацию и пару встречных вопрссов: обычно в таком формате рентгенологически либо аневризмальная костная киста,либо фиброзная дисплазия. Мнения интересные, по поводу биопсии согласен, но вышеуказаные патологии можно определить визуально при биопсии, а гистологически - подтвердить.
А теперь вопрос: При верификации диагноза визуально и при экспрес-биопсии с чего начинать? Санация и армирование полости патологической перестройки с одномоментной фиксацией перелома?(каким фиксатором?) или без полной санации и армирования заниматься консолидацией перелома(каким фиксатором?) с дальнейшей санацией полости новообразования? Или ждать окончательное гистологическое Заключение? Недоброкачественное течение в данной ситуации маловероятно.Заранее всем спасибо!
|
[
Ответить ]
|
Re: Спиральный перелом костей голени
Бидула Сергей 04 Март 2015, 01:36
|

КТ
|
[
Ответить ]
|
Re: Спиральный перелом костей голени
Игорь Владимирович Шведовченко 04 Март 2015, 11:18
|
Полность согласен с мнением госоподина Бережного. Консервативное лечение перелома костей голени. И лишь потом разбираться с опухолью. Скорее всего аневризмальная костная киста.
|
[
Ответить ]
|
Re: Спиральный перелом костей голени
Скребцов Владимир 05 Март 2015, 02:02
|
Судя по всему перелом стабильный. Учитывая это, а так же юный возраст пациентки, было бы рационально ограничиться функциональной гипсовой повязкой (по Попсуйшапке А.К.)
|
[
Ответить ]
|
Re: Спиральный перелом костей голени
Djoldas Kuldjanov, M.D. 06 Март 2015, 09:01
|
Данный вариант опухоли Non-ossifying fibroma (NOF) неоссифицирующая фиброма, которая очень часто встречается у детей от 10-15 лет. Характеризуется фиброзными дефектами до 3 см. В большинстве бессимптомные, и проходит самостоятельно (заполняется костью), и не встречается после 30 лет.
Биопсия не обязательна и не требуется специальное лечение. Лечение только в тех случаях, когда дефект кости больше чем 50% диаметра кости, тогда кюретаж и заполнение ауто костью для профилактики стрессового перелома.
Для лечения перелома подойдет любой из вариантов фиксации, включая консервативное, но решение принимается на основании рентген снимков с включением суставов. Гвоздь не желателен из-за возможного вовлечения опухолевого процесса!
|
[
Ответить ]
|
( Ответить )
|