AOTRAUMA.ORG Центр Илизарова  

Ортопедия и травматология Общие вопросы/General questions Help Информационные технологии в медицине
 вверх
 отправить
 поиск
 админ
 главная


Хирургия локтевого сустава
Ортопедия и травматология Отправлено Александр 05 Март 2015, 21:03
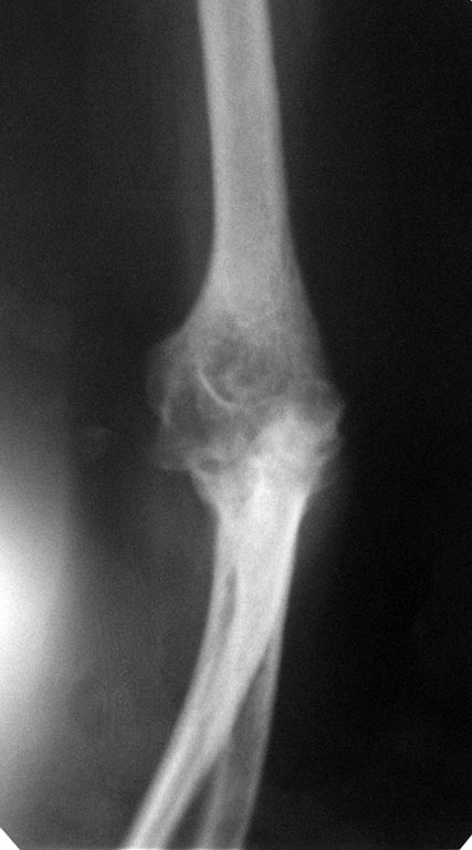
У женщины 54 лет имеются последствия закрытого вывиха костей предплечья...
Травма 08.11.14 г., окончательное вправление лишь 10.11.14 г., тогда же появились признаки нейропатии локтевого нерва, они остаются до сих пор.Движения в суставе качательные, практически анкилоз в положении 90 град.

Снимки КТ в приложении.

Уважаемые травматологи-ортопеды!

Что делать в такой ситуации? Эндопротез? Релиз? Ничего?

<  |  >

 

  • Сообщения о Ортопедия и травматология
  • Также Александр
  • Связаться с автором
  • Ответить

    Re: Хирургия локтевого сустава
    Савранский Александр 06 Март 2015, 18:29
    предоставьте пожалуйста все имеющиеся рентгенснимки
    [ Ответить ]

    Re: Хирургия локтевого сустава
    николай 09 Март 2015, 13:41
    все зависит от социальных условий пациентки и ее функциональных запросов
    по классики конечно-эндопротезирование ,но
    при этом нагрузка не более 4 кг и срок выживаемости
    эндопротеза около 7-10 лет до ревизионного эндопротезирования
    поэтому при определенных социальных условий
    требующих значительных нагрузок на пораженную конечность- артропластика локтевого сустава
    и первом и во втором случае полного объема движений
    в локтевом суставе не гарантируется

    [ Ответить ]

    Re: Хирургия локтевого сустава
    Сергей Пильников 05 Апрель 2015, 22:27
    Пришлите пожалуйста рентгенограммы. Какие жалобы?
    [ Ответить ]

    Re: Хирургия локтевого сустава
    Сергей Пильников 07 Апрель 2015, 23:35
    Думаю, что с локтевым нервом-невролиз и транспозиция, сустав-стандартная редрессация в аппарате Илизарова.
    [ Ответить ]


    ( Ответить )

    Powered by Zope  Squishdot Powered MedLink
    Посетитель: 0174198
      "По форме правильно, а по существу - издевательство" В.И.Ленин
    ©2001-2019Orthoforum Coordinator.
    [ Главная | Отправить сообщение | Поиск | Админ ]