Ответить
|
Re: Оскольчатый перелом плеча
ОСАГО 12 Март 2015, 17:44
|
Шансы на сращение без операции есть (они практически всегда есть), но при таком типе перелома случится это очень и очень не скоро. Терпение больного, вероятно, закончится гораздо раньше. С этой точки зрения синтез был бы предпочтителен.
Из методов выбора №1 - внутрикостный блокируемый штифт (снизу вверх). №2 - какой-нибудь аппарат внешней фиксации (Илизарова, например). Но аппарат придётся протаскать, если навскидку, месяцев шесть, а то и более. А это геморрой тот ещё - и для больного и для доктора. Немалые шансы на проблемы с "текущими и лопнувшими" спицами, вторичным смещением и т.п.
"Открывать" такой перелом - не есть гуд. Мостовидную пластину (учитывая n radialis) - туда же.
Если есть навыки в/к остеосинтеза блокируемым штифтом, необходимый инструмент, оборудование (C-arm), фиксаторы - это будет практически безальтернативный вариант. Если чего-то из названного нет... тогда нужно спрашивать иначе: кто возьмётся полечить ))
|
[
Ответить ]
|
Re: Оскольчатый перелом плеча
Александр Ситник 12 Март 2015, 20:55
|
Было несколько похожих случаев, которые прекрасно сраслись в функцииональном ортезе по Сармиенто. Учитывая большое количество осколков = большая площаль для консолидации, думаю, что перелом срастется недель за 8-12. С активными движениями в локтевом суставе с первого дня. Не до полной физ. нагрузки с поднятием тяжестей, но до снятия повязки точно. Но надо за пациентом наблюдать.
Если хотеть потешить свое "хирургическое эго", я предпочел бы мостовидно пластину из заднего доступа с выделением проксимально лучевого нерва.
Интрамедуллярный остеосинтез проблематичен из-за слишком короткого дистального фрагмента. Если делать ретроградно - на мой взгляд очень просто расколоть его (там вполне могут быть скрытые на рентгенограмме щели перелома).
Внешняя фиксация - на любителя, тут я полностью согласен с вышесказанным.
|
[
Ответить ]
|
Re: Оскольчатый перелом плеча
Отправитель: ОСАГО 12 Март 2015, 21:28
|
Дистальный отломок слишком короткий - это факт. Но проблемой он будет не только для гвоздя, для пластины станет проблемой не меньшей - и надёжно "зацепиться" за него будет сложно (сколько там винтов получится ввести бикортикально?), и расколоть по винтам легко. Причём расколоть не только на операции, но и после неё, при минимальных скручивающих и сгибающих нагрузках. Шансы на то, что нерв отреагирует на пластину "слишком нервно", заметно повыше, чем на гвозде.
Кроме картинок, нужно понимать, что это за больной, чего он хочет и как настроен. Если это любитель гнуть пальцы и будет таскать "по инстанциям" за ложный сустав - это одна ситуация. Если готов спокойно мириться с возможной длительной нетрудоспособностью и без истерики отреагирует на возможное хирургическое лечение впоследующем (уже по поводу ложного сустава) - это другая ситуация. При консервативном лечении диафизарных переломов С3 совсем нередкий сценарий, когда "вот всё срослось, а в одном месте - ну никак" ) Оперировать при таком развитии сюжета может быть станет даже попроще, но вот сроки лечения вырастут очень прилично. Насколько это критично для больного?
А обещать 8 недель здесь, ИМХО, чересчур оптимистично )
|
[
Ответить ]
|
|
Re: Оскольчатый перелом плеча
Бехтерев Антон 12 Март 2015, 22:57
|
"Отличный" перелом для остеосинтеза (шинирования) пластиной. Задный доступ Обязательно сразу! выделить и взять на держалки лучевой нерв. Недавно оперировали схожий.Главное: контроль нерва и не ковыряться в отломках.
"Отличный" перелом для освоения функционального шинирования по Sarmiento. Главное, чтобы больной и доктор понимали что делают.
https://yadi.sk/i/S5r5BWHQfD62H
|
[
Ответить ]
|
Re: Оскольчатый перелом плеча
Отправитель: Кирилл 13 Март 2015, 00:16
|
Доброго времени суток! Линия перелома дистально проходит по краю костно-мозгового канала(завтра выложу ещё снимок), поэтому и сомневаюсь в возможности интрамедуллярного остеосинтеза( возможности и определённый опыт есть). Сегодня наложил короткую циркулярную повязку, попытавшись устранить осевые смещения, завтра выложу контрольные рентгенограммы.
Настрой больного пока адекватный, а дальше -кто знает.
Большое спасибо всем за комментарии. Кирилл
|
[
Ответить ]
|
|
Re: Оскольчатый перелом плеча
Александр 13 Март 2015, 02:03
|
Учитывая тип перелома 12 С3, механизм травмы (высокоэнергитическая), состояние м/тканей, больному однозначно показана относительная стабильность.Наименее травматичный способ в данном случае это скелетное вытяжение за локтевой отросток на пару недель.А далее функциональная повязка.Переломы диафиза плечевой кости прекрасно сростаются консервативно.ИМХО.
|
[
Ответить ]
|
Re: Оскольчатый перелом плеча
Кирилл 13 Март 2015, 13:10
|

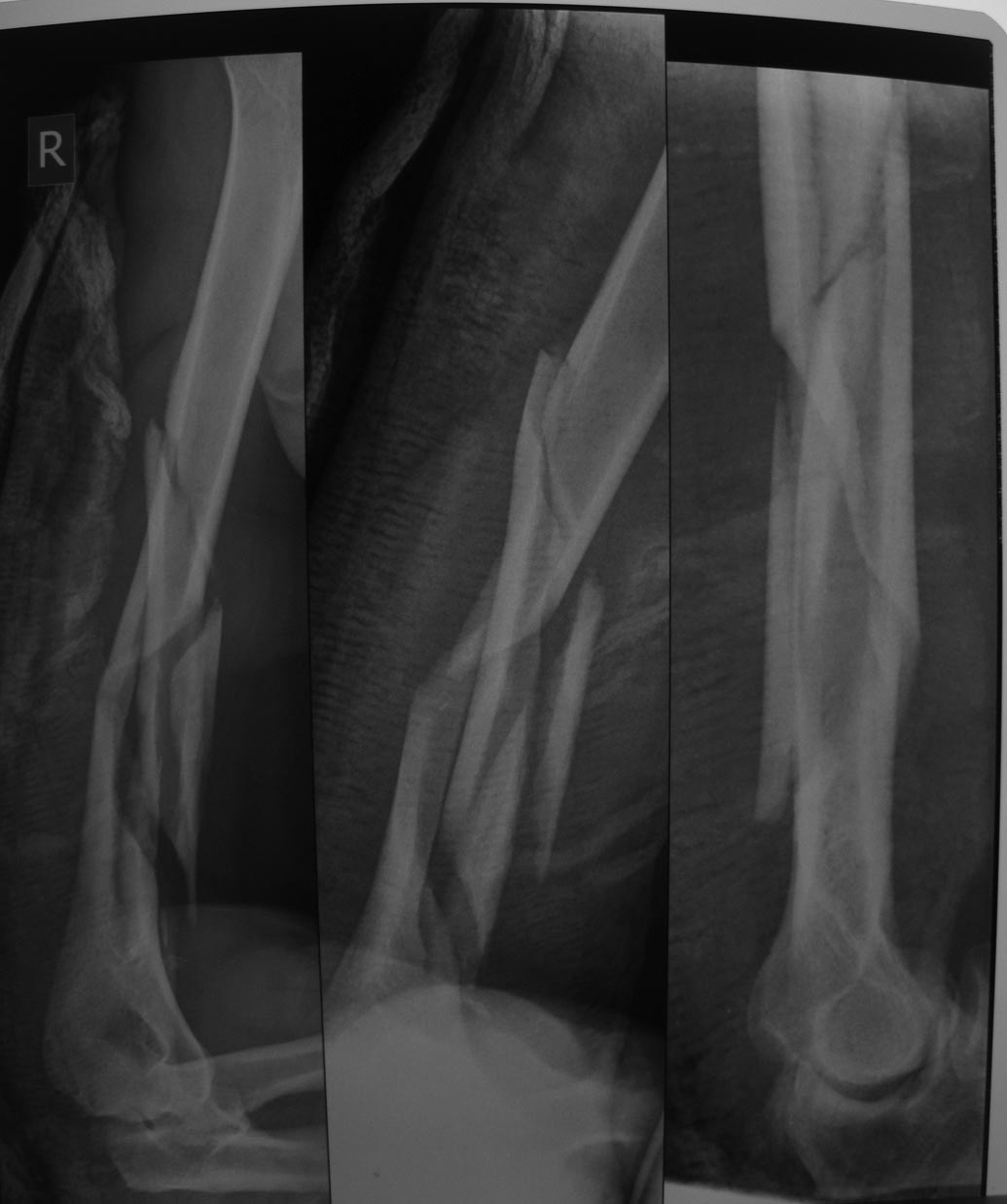
Первичный снимок и контроль(13.03.14) в циркулярной гипсовой повязке
|
[
Ответить ]
|
Re: Оскольчатый перелом плеча
Отправитель: Alexander Larionov 13 Март 2015, 20:20
|
С повязкой и вытяжением по Колдуэлло ось была бы лучше IMHO.
ААЛ
|
[
Ответить ]
|
|
Re: Оскольчатый перелом плеча
Андрей 13 Март 2015, 13:30
|
Вполне можно положить длинную 3,5 блокируемую пластину сбоку. Естесственно очень аккуратно, возможно без достижения анатомической репозиции, мостовидно. Теоретически, можно ещё предложить мыщелковую пластину ( с винтами 2,7 для мыщелка и 3,5 для диафиза), если такие бывают в длинной версии.
|
[
Ответить ]
|
Re: Оскольчатый перелом плеча
Alexander Chelnokov 13 Март 2015, 13:52
|
Для таких переломов отлично подходит закрытый интрамедуллярный остеосинтез плеча плоским титановым стержнем по методике, основанной на разработках ярославских коллег (Ключевский, Зверев и др.). У нас даже на эту тему была защищена кандидатская диссертация А.В.Баженовым. Статья на эту тему, напримем, см http://mine-med.ru/archive/polytravma/Politrauma_1_2011.pdf.
|
[
Ответить ]
|
Re: Оскольчатый перелом плеча
Отправитель: Leonid Pak 13 Март 2015, 21:36
|
Согласен с Александром Николаевичем, правда в мастерской попотеть придется, особенно с дистальной часть гвоздя.
С уважением Леонид Пак
|
[
Ответить ]
|
|
Re: Оскольчатый перелом плеча
Антон Бехтерев 14 Март 2015, 02:12
|
Цитата из АО-Принципы лечения переломов, второе переработанное и дополненное издание, русская версия (выделено цветом, стр. 595, том 2): В настоящее время использование функциональных шин-брейсов является, вероятно, наиболее широко принятым методом лечения диафизарных переломов плечевой кости... Умеренные угловые деформации (<20 кпереди и <30 варус), ротационные смещения (<40) и укорочения (<3 см) хорошого переносятся.
По ссылке рентгенограммы оперированного пластиной плеча и случай лечения по Sarmiento перелома плечевой кости с повреждением Лучевого нерва.
https://yadi.sk/d/64LLed4HfEsbp
|
[
Ответить ]
|
Re: Оскольчатый перелом плеча
Отправитель: Alex 15 Март 2015, 14:15
|
архив запоролен...перезалейся плиз
|
[
Ответить ]
|
Re: Оскольчатый перелом плеча
Отправитель: Alex 15 Март 2015, 14:17
|
*запаролен
|
[
Ответить ]
|
|
Re: Оскольчатый перелом плеча
Павел Гуреев 14 Март 2015, 08:30
|
Шинирующая пластина из заднего доступа с выделением нерва, вполне пригодный вариант. Подойдет рыбинская узкая прямая комбинированная с УС.
|
[
Ответить ]
|
Re: Оскольчатый перелом плеча
Отправитель: Anatoly Lazarev 15 Март 2015, 15:59
|
Для любителей накостного остеосинтеза: здесь можно положить слегка предизогнутую пластину по передней поверхности из 2 доступов. Таким образом устраняется конфликт с нервом.
ЛАФ.
|
[
Ответить ]
|
Re: Оскольчатый перелом плеча
Отправитель: Кирилл 15 Март 2015, 16:05
|
Дистальнее линии перелома бикортикально получится только 1 винт при заднем расположении такой пластины
|
[
Ответить ]
|
|
Re: Оскольчатый перелом плеча
Антон Бехтерев 15 Март 2015, 20:58
|
Sorry. На автомате пароль создал.
pass: ortoforum
|
[
Ответить ]
|
Re: Оскольчатый перелом плеча
Maxim Agalakov 19 Март 2015, 09:56
|
Для лечения по Сармиенто перелом несколько неудобен из-за низкого расположения перелома, но вполне возможно. Только к ортезу нужно подойти тщательно, фабричные у нас в регионе появились недавно, только в одной аптеке, после 2-х лет промывания мозгов всем этим драгдилерам.За репозицией особо гоняться не нужно.
Оперировать "чем попало" - не получится. Если интрамедуллярно, то "зверем", как рекомендовал А.Н. Из минусов - надо владеть методикой и потренироваться на переломах попроще.
Накстно - мостовидно длинной пластиной для низких переломов с заходом на латеральный мыщелок, отличная есть у Synthes, с обычными прямыми лучше не экспериментировать.
Можно и аппаратом - 2 стержня сверху, сна балку, дистально - по стержню через мыжелки (косо вверх мимо ямки) и спица над ямкой, вполне себе изящно и движениям не мешает.
Удачи!
|
[
Ответить ]
|
( Ответить )
|