AOTRAUMA.ORG Центр Илизарова  

Ортопедия и травматология Общие вопросы/General questions Help Информационные технологии в медицине
 ВХОД ДЛЯ ПАЦИЕНТОВ
 вверх
 поиск
 админ
 главная


Pipkin 4 Продолжение разговора
Ортопедия и травматология Прислано Гамиль Гарифуллов 31 Март 2015, 00:52
из ГАУЗ РКБ МЗ РТ
Уважаемые коллеги добрый вечер! Хотелось бы узнать ваше мнение о возможных ранних сроках наступления асептического некроза или коксартроза при данном виде оперативного лечения, может кто-то уже оперировал данную патологию и есть наблюдения.
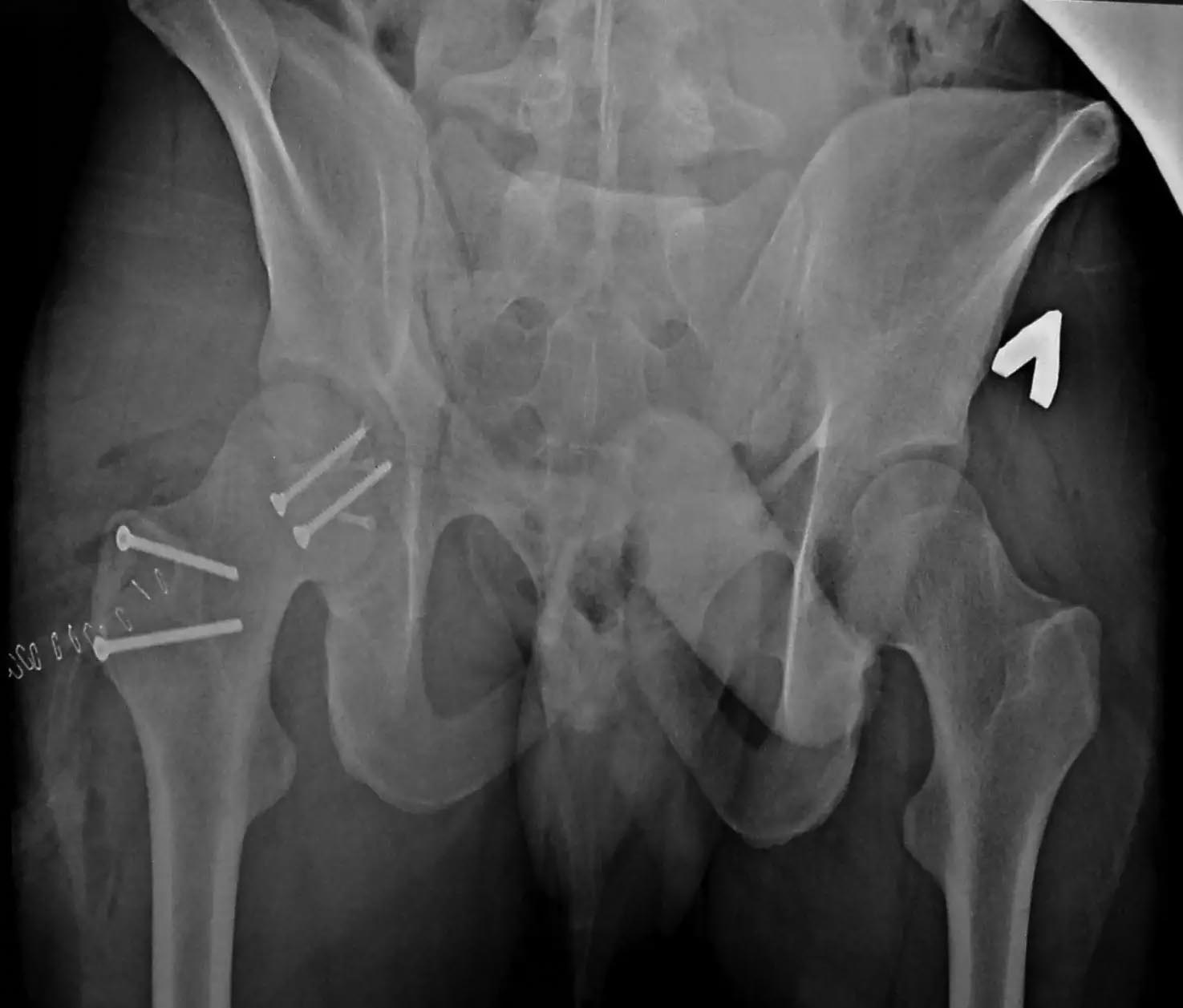
Случай практически идентичный описанный в январе 2015 на ортофоруме Никитой Николаевичем Заднепровским. Молодой человек 20 лет ДТП 23.02.2015, Диагноз: Сочетанная травма. Закрытый переломо-вывих головки и перелом заднего края вертлужной впадины (Pipkin4) правой бедренной кости. Открытый подтаранный вывих правой стопы. При поступлении в ЦРБ вправление вывиха головки бедра и подтаранного вывиха стопы.

Далее перевод к нам в Травмоцентр и 03.03.2015. через 8 дней операция, выполнен остеосинтез головки 3-мя самокомпрессирующими винтами Autofix под разными углами с погружением в субхондральный слой. Доступ Kocher-Langenbeck с флип-остеотомией большого вертела и задним хирургическим вывихом головки бедра. В полости сустава два свободно-лежачих фрагмента хряща головки, которые были удалены. На снимках виден дефект хряща головки после репозиции. Небольшой фрагмент заднего края фиксирован двумя спонгиозными винтами. Далее шов раны с дренированием. На 2 сутки пациент поворачивался на здоровый бок с валиком между ног, на 4 сутки сидел в кровати и на 6 сутки ходил с помощью костылей.

Вопрос о первичном эндопротезировании у нас не стоял, и при разговоре пациент морально не был готов к такому повороту событий.

С уважением, Гамиль Гарифуллов
Казань, ГАУЗ РКБ МЗ РТ Травматологический центр
отделение травматологии №1

Послать ответ

Имя
Email
Уведомление Сообщить мне по e-mail об ответах на это сообщение
Название
Комментарий
(Проверьте URL! Не забудьте написать http://!)
Кодировка
Если не знаете, что выбрать, выберите "Просто текст"!
Приложение
Можно приложить к сообщению файл c изображением, который затем будет доступен увидевшим сообщение.
Подготовка иллюстраций:
  • Рентгенограммы: черно-белые полутоновые изображения в формате JPEG (8 bit, greyscale) с разрешением от 300х200 до 1024х768 пикселов;
  • Клинические фотографии: полноцветные изображения в формате JPEG (24 bit, truecolor) с разрешением от 300х200 до 1024х768 пикселов;
  • Схемы и рисунки: черно-белые (2 bit) штриховые (line-art) изображения в формате GIF или compressed TIFF
  • Подберите степень сжатия файла JPEG и размер изображения таким образом, чтобы необходимые детали были различимы, но размер файла не превышал 75 кб.
  • Учтите, что текущая версия программного обеспечения Форума позволяет приложить к одному сообщению лишь один файл-вложение. Поэтому, если необходимо отправить несколько изображений, можно либо послать каждое как отдельное сообщение, либо в графическом редакторе объединить изображения в одно (сделать коллаж).
  • Если при подготовке изображений встречаются трудности, не стесняйтесь обратиться к координатору Форума.

  • Введите видимые символы в обратном порядке. Enter the above characters in reverse order (*Обязательно)
    В тексте сообщения можно использовать теги HTML <B> <I> <P> <A> <LI> <OL> <UL> <EM> <BR> <TT> <HR> <STRONG> <BLOCKQUOTE> <DIV .*> <DIV> <P .*>
  • Обратите внимание: Поля с жирными названиями обязательны.
  • Старайтесь отвечать в рамках обсуждаемой темы, а не начинать новые обсуждения.
  • Указывайте адекватную тему сообщения, чтобы было ясно, о чем оно.
  • Не послайте сообщений не по теме (оффтопик), раздраженных, грубых или обидных комментариев. Здесь это неуместно.
  • Powered by Zope  Squishdot Powered MedLink
    Посетитель: 0000148
      "По форме правильно, а по существу - издевательство" В.И.Ленин
    ©2001-2019Orthoforum Coordinator.
    [ Главная | Отправить сообщение | Поиск | Админ ]