Ответить
|
Re: Метод операции
Бережной сергей 21 Апрель 2015, 03:04
|
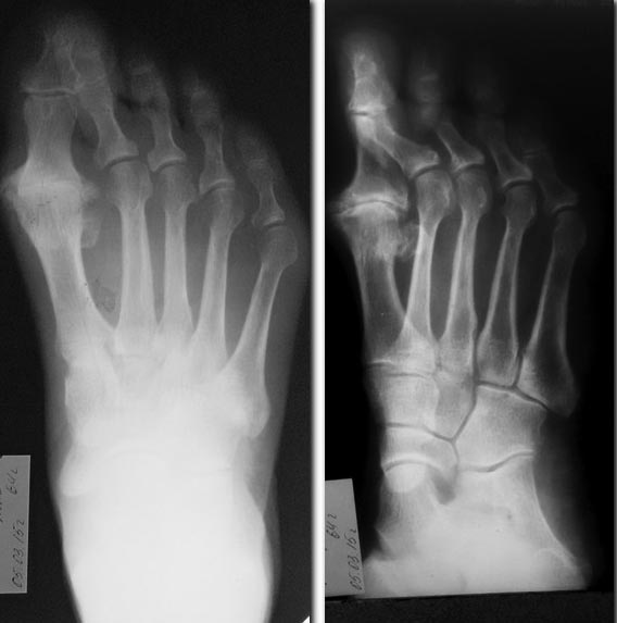
Причем тут Лапидус? Этим именем часто называют артродез первого плюснеклиновидного сустава. А на представленных снимках - артроз первого плюснефалангового сустава. Возможно, Вы имели ввиду его артродез? В принципе, правильно. В сочетании с хейлэктомией головки первой плюсневой и основания основной фаланги. Только по снимкам имеется еще и молоткообразная деформация 2-3(4?) пальцев с перекрестом первого и второго. Нужно продумать, что делать с этим. По-крайней мере, второй палец не должен после операции остаться поверх первого. И вообще важно понять, что беспокоит пациентку. Часто при таких артрозах (жаль, что нет фотографий стопы) ведущие жалобы связаны не с болью в пораженном артрозом суставе, а с наличием массивных костных разрастаний вокруг него. А в данном случае еще и деформации 2 пальца. И может быть в 63 г. пациентке будет достаточно хейлэктомии и устранения деформации 2 пальца?
|
[
Ответить ]
|
Re: Метод операции
Отправитель: К.С.А. 22 Апрель 2015, 23:47
|
Полностью согласен, даже добавить нечего.
|
[
Ответить ]
|
|
Re: Метод операции
Шведовченко Игорь Владимирович 21 Апрель 2015, 11:51
|
Добрый день, уважаемый Сергей. А можно полюбопытствовать - какой диагноз у этой пациентки? И что вынуждает вас так срочно оперировать ее?
|
[
Ответить ]
|
Re: Метод операции
Отправитель: Сергей 21 Апрель 2015, 16:26
|
Hallux valgus. Вынуждает зав.отд. Просто прооперировать. Я даже не лечащий. Но сегодня операцию перенесли. Не успели.
|
[
Ответить ]
|
|
Re: Метод операции
Шведовченко Игорь Владимирович 21 Апрель 2015, 18:33
|
А этот пациент уже прооперирован ранее по поводу Hallux valgus?
|
[
Ответить ]
|
Re: Метод операции
Отправитель: Сергей 21 Апрель 2015, 21:45
|
Нет, не оперирована.
|
[
Ответить ]
|
|
Re: Метод операции
Антон 22 Апрель 2015, 00:57
|
посмотреть бы педографию - скорее всего, перераспределение зон давления в сторону головок 2-3 лучей. возможно, это может провоцировать боль там при ходьбе.
вообще да, отталкиваться от жалоб.
если "лечить" рентгенограммы, то:
- артродез 1го плюснефалангового сустава с обстоятельным удалением остеофитов;
- дистальная Weil-остеотомия 2 и, возможно, 3 лучей (по рентгену - относительное удлинение минимум второго луча)
- коррекция деформации 2-3 пальцев: PIP-артродез с отделением сухожилий длинных сгибателей как можно дистальнее и пересадкой их кпереди (intrinsic-procedure) с временной трансфиксацией спицами на 6 недель
|
[
Ответить ]
|
Re: Метод операции
Сергей 25 Апрель 2015, 13:10
|

Прооперировали
|
[
Ответить ]
|
Re: Метод операции
Бережной Сергей 25 Апрель 2015, 18:52
|
Жаль, что зафиксировали спицами, а не винтами или пластиной. Спицы сколько продержите? Пять-шесть недель, больше рискованно. А за такой срок анкилоз редко формируется. К тому же, винтами или пластиной можно было создать компрессию суставных поверхностей. И, конечно, второй палец нужно было тоже укорачивать. Из-за укорочения первого луча стопа переведена в ярко выраженный греческий тип. Избыточная длина второго пальца может вызывать неудобство и провоцировать рецидив деформации.
|
[
Ответить ]
|
Re: Метод операции
Отправитель: сергей 25 Апрель 2015, 21:19
|
Спасибо за критические замечания. Операция чуть ли не первая в практике.
|
[
Ответить ]
|
|
( Ответить )
|