AOTRAUMA.ORG Центр Илизарова  

Ортопедия и травматология Общие вопросы/General questions Help Информационные технологии в медицине
 вверх
 отправить
 поиск
 админ
 главная


ДЦП, подросток
Ортопедия и травматология Отправлено Др.Бахтамян 24 Апрель 2015, 18:15
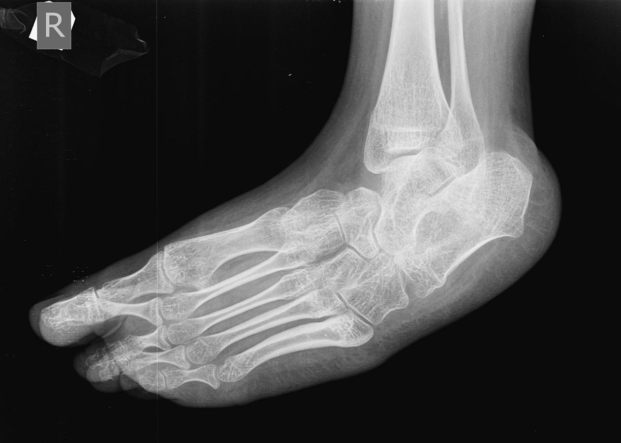
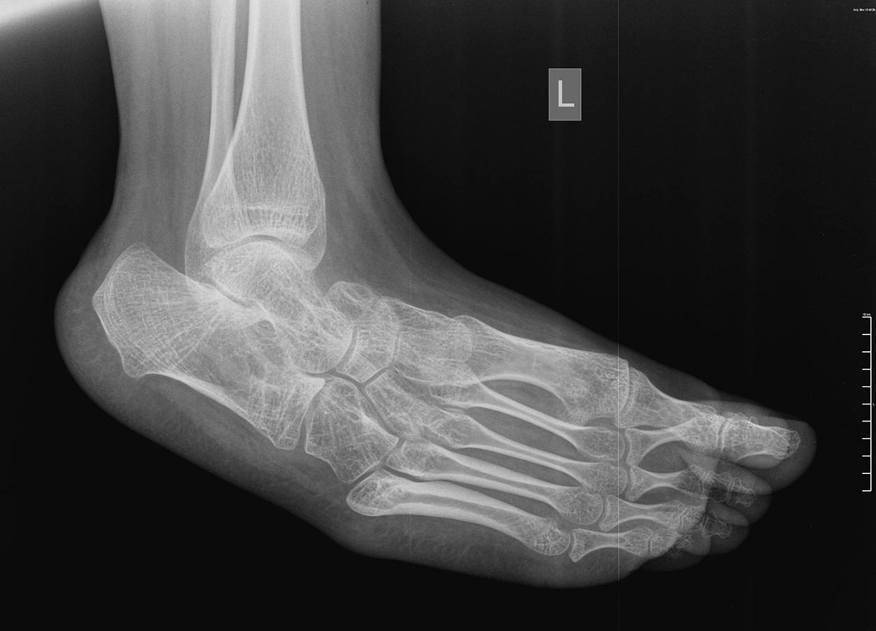
Девочка 15-и лет, страдает ДЦП
квадриплегия, хорошо "разработана", в 8-и летнем возрасте была проведена тенотомия икроножных мышц в подколенной ямке и приводящих, периодически проходит агрессивную разработку. До последнего времни могла ходит при помощи палочки, на ногах AFO. Последний год из-за выраженной эквино-варусной деформации обеих стоп не может носить ортезы и всвязи с этим ходит при помощи поддержки матери, стала "колясочной". Учиться на отлично ! Пассивно стопы выводятся из эквинуса спокойно, до +5 градусов тыльного сгибания,в подтараных суставах пассивные движения отсутствуют, ригидные. Была возможность выехать в Штаты на лечение, однако, в посольстве "зарубили"... Ваши предложения насчет оперативного лечения

<  |  >

 

  • Сообщения о Ортопедия и травматология
  • Также Др.Бахтамян
  • Связаться с автором
  • Ответить

    Re: ДЦП, подросток
    Ниязов Нияз 24 Апрель 2015, 23:59
    Уважаемый доктор Бахтамян, а что это за операция тенотомия икроножных мышц в подколенной ямке, наверное операция Страера имелось ввиду? "Хорошо разработана" и при этом девочка не ходит, а на фото тяжелая конская стопа. Так не бывает.
    Нужно комплексное лечение, где основную роль играет реабилитация. Из операций показано открытая ахилопластика, возможно коррегирующая остеотомия костей стопы, обычно в 15 можно уже сделать тройной артродез стопы .Это в общем, а если более детально, то обычно специалисты по лечению ДЦП исходят от шкалы типа L.Arens и других показателей(спастичности, двигательных возможностей, контрактур и вторичных деформаций.
    [ Ответить ]

    • Re: ДЦП, подросток
      Отправитель: Др.Бахтамян 25 Апрель 2015, 02:00
      Нет, Др.Ниязов, не Strayer, а тенотомия головок икроножных мышц.Девочка действительно была хорошо разработана, но последний год из-за ригидности деформации стопы не может носить AFO, появляются незаюивающие раны по наружной поверхости стоп. В целом и Вы, как и я, думаете об открытом удлинении ахилла + тройной артродез?

      [ Ответить ]
    Re: ДЦП, подросток
    Мирзаев Анвар 25 Апрель 2015, 09:23
    Эта операция отсечения головок икроножной мышцы от бедра (операция Сильвершельда). В настоящее время применяется очень редко, из-за высокой возможности рецидива деформации, невозможности полностью устранить деформацию. Иссекаются головки икроножной мышцы, в развитии эквинусной деформации участвует (положительном Сильвершельд тесте) и камбаловидная мышца, которая начинается на задней поверхности в/3 голени.
    Первым этапом надо проводить открытую ахиллопластику, заднюю капсулотомию голеностопного сустава, релиз контрагированных мягких тканей, после этого хорошее реабилитационное лечения. В зависимости от двигательного статуса, как ребенок начинает стоять, делать шаги (с поддержкой) надо подумать о тройном артродезе.
    P.S. Часто после артродеза на стопе у детей развивается артроз, болевой синдром, который еще ухудшает двигательный статус ребенка.

    [ Ответить ]

    • Re: ДЦП, подросток
      Отправитель: Др.Бахтамян 25 Апрель 2015, 13:56
      Спасибо, Др.Мирзаев, конечно же это операция Silfverskiold. И сечас у девочки колено пассивно разгибается до 165-170 гр.
      Вы предлагаете "открытую ахиллопластику, заднюю капсулотомию голеностопного сустава, релиз контрагированных мягких тканей, после этого хорошее реабилитационное лечения". Совершенно согласен с удлинением ахилла, но у девочки невозможно пассивно выправить эквинус в подтаранном суставе. Поможет ли капсулотомия и мягкотканный релиз? Я конечно понимаю, что тройной артродез в этом возрасте - операция отчаяния!

      [ Ответить ]
      • Re: ДЦП, подросток
        Отправитель: Никита 26 Апрель 2015, 01:18
        "..у девочки невозможно пассивно выправить эквинус в подтаранном суставе.." а такое,вообще, у кого-нибудь возможно? В подтаранном суставе совершаются эверсионно-инверсионные движения.

        [ Ответить ]
        • Re: ДЦП, подросток
          Отправитель: Др.Бахтамян 26 Апрель 2015, 01:37
          Прошу прощения! Я имел ввиду варус, а не эквинус!

          [ Ответить ]
    Re: ДЦП, подросток
    Lev Lapidus 25 Апрель 2015, 11:11
    Здравствуйте, др Бахтамян.
    Скажите, стопы выводятся в положение дорзифлексии при разогнутом или согнутом колене? При дорзифлексии в каком положении находится пятка - варус или вальгус? Какая форма ДЦП у девочки - спастическая или смешанная (mixed type)?
    С уважением

    [ Ответить ]

    • Re: ДЦП, подросток
      Отправитель: Др.Бахтамян 25 Апрель 2015, 13:50
      Спасибo! Симптом Silfverskiold очень трудно проверить - стопа в выраженном эвинусе, а колено разгибается до 165-170 градусов, но пассивная дорзидлексия, как я указывал до 85гр. и незначетильно уменьшается при разгибании в колене. При дорзифлексии пятка все равно в варусе. По экипризам невозможно понять форму ДЦП, но скорее всего спастическая

      [ Ответить ]
      • Re: ДЦП, подросток
        Отправитель: Ниязов Нияз 25 Апрель 2015, 16:41
        Первым этапом когда вы будете делать ахилопластику надо широко вскрыть скакательный сустав, часто этого бывает достаточно чтобы вывести стопу, а потом можно вторым этапом на костях. Мы обычно так делаем.
        Если после рассечения связок в скакательном суставе эквинус не устранится, капсулотомия и релиз мягких тканей, если будете делать, то на костях точно нужно оставить на следующий раз.А то нарушение питания и трофики гарантировано приведет к длительно незаживающим язвам.
        На фото ран не видно, но если это так, то сразу тройной артродез не получится(мы делаем классически по книге Мовшовича- разрез от наружной лодыжки до II клиновидный).

        [ Ответить ]
        • Re: ДЦП, подросток
          Отправитель: Др.Бахтамян 25 Апрель 2015, 16:46
          Скакательный сустав - что это?

          [ Ответить ]
          • Re: ДЦП, подросток
            Отправитель: Ниязов Нияз 25 Апрель 2015, 18:28
            Это таранно пяточный сустав.
            Когда вы Z-образно рассечете Ахилл то держа аккуратно за дистальный конец удлиненного Ахилла, ножницами нужно его отсепаровать от окружающих тканей. Пальцами нащупать суставную щель и разрезать связки и капсулу сустава. N.B.: тут нужно аккуратно работать не повредив медиальоный пучок. Потом зажимом расширить суставную щель, ножницами разорвать межкостную связку(иногда слышен хруст).
            Да еще есть варианты как астрагалэктомия и аппарат Иллизарова(ни разу не пробовали но много слышали про них )

            [ Ответить ]
            • Re: ДЦП, подросток
              Отправитель: Др.Бахтамян 25 Апрель 2015, 23:26
              Спасибо! Надо подумать! По-моему надо также удлинить и сухожилия m.tibialis posterior и сгибателей пальцев, рассечь дельтовидную связку, т.е. получится как при косолапости

              [ Ответить ]
              • Re: ДЦП, подросток
                Отправитель: Ниязов Нияз 25 Апрель 2015, 23:56
                При косолапости рассечение дельтовидной связки и сухожилий может привести к обратной деформации, а в итоге к тройному артродезу))))))
                ИМХО: Если ваша цель вертикализировать ребенка то ахилопластики с задним релизом, при неудаче артродез вполне достаточно. Дело в том что делать тройной артродез легче на более менее откорегированной стопе чем при выраженной конской стопе. Поэтому вам надо начать с ахилопластики и релиза. Если вы хотите обойтись только ахилопластикой тогда попробуйте максильно перед операцией откоррегироать стопы в гипсе в положении максимально возможного сгибания в коленном суставе. У маленьких детей это помогает может и у этой девочки получится. Тем более если ноги были разработаны.
                Удачи Вам доктор Бахтамян,все должно получиться.


                [ Ответить ]
                • Re: ДЦП, подросток
                  Отправитель: Никита 26 Апрель 2015, 01:34
                  "При косолапости рассечение дельтовидной связки и сухожилий может привести к обратной деформации, а в итоге к тройному артродезу"
                  Откуда такая информация? Без рассечения дельтовидной связки не получить коррекцию варуса. Мягкотканного вмешательства достаточно не будет. На снимках выраженные нарушения формы костей стопы-и речи не идет о приемлемой биомеханике. Жуткая инконгруентность - хоть все сухожилия удлините, какой толк? Вызывает большие сомнения возможность почти полной пассивной коррекции деформации этих стоп. Но если она все-таки возможна - ничто не мешает выполнить ахиллопластику и трехсуставной артродез одномоментно без предварительного проведения гипсовой коррекции. Аппарат Илизарова для спастика - мучение для пациента и врача. Астрагалэктомия - зачем? Трехсуставной оставит голенстоп подвижным, после астрагалэктомии движений не будет. Да и просто не показана она здесь. Таранно-пяточный (подтаранный) сустав - не скакательный. Честно говоря, слышал только про скакательную связку стопы (пяточно-ладьевидная).

                  [ Ответить ]
                  • Re: ДЦП, подросток
                    Отправитель: Ниязов Нияз 26 Апрель 2015, 11:23
                    Уважаемый Никита посмотрите результат операции Зацепина у детей старше 12 лет. Valgus Overcorrection частый типичный неблагоприятный исход у детей после любого -заднемедиального релиза. Насчет удлинения сухожилий я с Вами согласен толку нет. Про Акстрагалэктомию просто слышал что делают при артрогрипотической деформации стоп как крайняя мера, это не предложение, а наведение на мысль, о том как все не просто.
                    - ничто не мешает выполнить ахиллопластику и трехсуставной артродез одномоментно. Никита на фото нет ран, но автор темы говорил про длительно незаживающие раны? как в том случае делать?

                    [ Ответить ]
                    • Re: ДЦП, подросток
                      Отправитель: Никита 26 Апрель 2015, 21:50
                      Уважаемый Нияз, спасибо, посмотрел статьи, посвященные этому вопросу. Проблема имеет место, но тройной артродез - не единственно возможный вариант выхода из ситуации.
                      Касательно обсуждаемого случая:"- ничто не мешает выполнить ахиллопластику и трехсуставной артродез одномоментно" - фраза вырвана из текста. Если, как утверждает автор, пассивная коррекция деформации возможна (в чем я, все-таки, сомневаюсь) и при этом кожные покровы не мертвенно бледные и не стоит треск ломающихся костей, одномоментная коррекция деформации на столе без предварительной дистракции в АВФ или проведения гипсовых коррекций (по отзывам - у спастиков это довольно проблематично; в данном конкретном случае - думаю, бесполезно) будет возможна без дальнейших проблем с кровоснабжением мягких тканей. Если нет/если нет уверенности - нужно взять АВФ на всякий случай. Будут проблемы с кровоснабжением в положении достигнутой коррекции после снятия жгута - придется фиксировать в АВФ. Насчет незаживающих язв - я так понял, они появляются после применения ортезов и не заживают до тех пор, пока их не снимут (что естественно).

                      [ Ответить ]
                      • Re: ДЦП, подросток
                        Отправитель: Др.Бахтамян 26 Апрель 2015, 22:23
                        Никита, пассивно стопы не корригируются у этой девочки!

                        [ Ответить ]
                      • Re: ДЦП, подросток
                        Отправитель: Др.Бахтамян 26 Апрель 2015, 22:27
                        Да, Никита, раны были от ортезов!

                        [ Ответить ]
                    • Re: ДЦП, подросток
                      Отправитель: Др.Бахтамян 26 Апрель 2015, 22:19
                      Др.Ниязов, раны были в прошлом году, от AFO, по наржным поверхостям

                      [ Ответить ]
                  • Re: ДЦП, подросток
                    Отправитель: Др.Бахтамян 26 Апрель 2015, 22:17
                    "Аппарат Илизарова для спастика - мучение для пациента и врача. Астрагалэктомия - зачем?" - совершенно с Вами согласен, Никита!

                    [ Ответить ]
                • Re: ДЦП, подросток
                  Отправитель: Др.Бахтамян 26 Апрель 2015, 01:42
                  Спасибо большое, Др.Ниязов!Очень ценные советы! Только одно, все-таки ей уже 15 лет, если иммобилизовать колени в сгибании (тем более у нее разгибание до 165-170 гр.) - потом у нее будут проблемы и в этих суставах! Вы не сказали насчет удлинения сухожилия m.tib. posterior

                  [ Ответить ]
          • Re: ДЦП, подросток
            Отправитель: Alexander Chelnokov 26 Апрель 2015, 00:14
            Скакательный - это собственно голеностопный.

            [ Ответить ]
            • Re: ДЦП, подросток
              Отправитель: Др.Бахтамян 26 Апрель 2015, 01:43
              И откуда это пошло - скакательный?
              Есть же голеностопный или подтаранный

              [ Ответить ]
              • Re: ДЦП, подросток
                Отправитель: Данила Курышев 26 Апрель 2015, 02:15
                Это правда - голеностопный - скакательный сустав. У большинства млекопитающих пяточная кость растянута. На неё ахилл непосредственно действует и заставляет "скакать" . Подтаранным не скачут - он для опоры стопы.

                [ Ответить ]
                • Re: ДЦП, подросток
                  Отправитель: Ниязов Нияз 26 Апрель 2015, 10:57
                  Извините Коллеги ))))))когда только начинал работать в шутку этот сустав почему то называли скакательным, и у меня в голове закрепилось это название.

                  [ Ответить ]
                  • Re: ДЦП, подросток
                    Отправитель: Леонид Сычевский 28 Апрель 2015, 22:48
                    И это правильно Нияз. Потому что второе название таранной кости скакательная. Мы это забыли, а вот наши славянские родственники поляки её так и называют, и ни как иначе. Kosc skokowа. Соответственно голеностопный сустав - staw skokowy (скакательный сустав), подтаранный сустав - staw podskokowy (подскакательный сустав).

                    [ Ответить ]
    Re: ДЦП, подросток
    Данила Курышев 26 Апрель 2015, 02:36
    Человеку 15 лет - ребёнок вырос и надо начинать ходить на ногах , а не ездить в коляске. Не слышно мнения 18 больницы Москвы. Гиперселективная ризотомия, похоже, не поможет уже. Не могу сказать, что имею большой опыт - но в данном случае: использование этапного корригирования в АНФ Илизарова с последующим трёхсуставным артродезом - могли бы решить начальные проблемы с ходьбой и полной опорой на ноги. Для этого не нужна отправка в Штаты. ИМХО.
    [ Ответить ]

    • Re: ДЦП, подросток
      Отправитель: Ниязов Нияз 26 Апрель 2015, 11:58
      Не только в Москве, но и Санкт Петербурге в институте Турнера в отделении ДЦП своими глазами видел как делают филиграннно дорзальную поясничную селективную ризотомию и не только это. Может быть Вам ее туда направить? Если у ребенка проблемы с коленом, то точно она еще не скоро пойдет. Там ее поднимут минимум на один балл по шкале локомоторных функций L.Arens. Отделение у них шикарное, у врачей системный подход, рядом целое реабилитационное отделение, это не реклама, а реально то, что видел своими глазами.

      [ Ответить ]
      • Re: ДЦП, подросток
        Отправитель: Др.Бахтамян 26 Апрель 2015, 22:25
        Спасибо! И над этим подумаем с родителями!

        [ Ответить ]
        • Re: ДЦП, подросток
          Отправитель: Леонид Сычевский 28 Апрель 2015, 23:06
          Пожалейте родителей. Селективная дорзальная ризотомия лечит исключительно спастику. Показана в возрасте 4-8 лет. На имеющиеся деформации она никак не повлияет. А если вы «радикально» прооперируете стопы, как собираетесь, и дополните СДР - Croush Gait будет 100 процентов.Вы девочку уже никогда на подымете.

          [ Ответить ]
          • Re: ДЦП, подросток
            Отправитель: Др.Бахтамян 28 Апрель 2015, 23:50
            А что Вы предлагаете делать?

            [ Ответить ]
          • Re: ДЦП, подросток
            Отправитель: Никита 30 Апрель 2015, 01:02
            С тем, что ризотомия не показана согласен. С возрастом - нет. Выполнять можно и в более старшем возрасте. С тем, что вообще нужно кому-то выполнять - вопрос открыт.

            [ Ответить ]
    • Re: ДЦП, подросток
      Отправитель: Др.Бахтамян 26 Апрель 2015, 14:10
      Тоже логично!
      Но , девочка перестала ходить в последний один год, не может носить AFO

      [ Ответить ]
      • Re: ДЦП, подросток
        Отправитель: Никита 26 Апрель 2015, 22:01
        Учитывая представленные данные, почти на 100% уверен, что ризотомия ей не показана. Выраженная спастичность преимущественно мышц голеней - не показание. Если о чем и думать (тонуспонижающие операции) - так о селективной невротомии моторной ветви заднего большеберцового нерва, что тоже вряд ли нужно этому человеку. Решить это без осмотра - невозможно.
        Абсолютно согласен с мнением другого автора - полечить человека можно и не в Штатах.

        [ Ответить ]
    Re: ДЦП, подросток
    Мирзаев Анвар 27 Апрель 2015, 10:42
    Уважаемый Др.Бахтамян . «Поможет ли капсулотомия и мягкотканный релиз?» Большинстве случаев помогает. Чтобы устранить варус можно комбинировать транспозицией m.tibialis ant. Цель операции минимальным объемом хирургического вмешательство вертикализировать ребенка, создать условия для передвижения (ходунком, костылем).
    «Симптом Silfverskiold очень трудно проверить - стопа в выраженном эвинусе, а колено разгибается до 165-170 градусов, но пассивная дорзидлексия, как я указывал до 85гр. и не значительно уменьшается при разгибании в колене» Симптом Silfverskiold или трицепс тест определяет причастность икроножной и камболавидной мышцы в формированию эквинусной деформации. В данном случае даже с фото видно тест положительный. Удлинения ахиллова сухожилия возможно дополнить (при положительном хамстринг тесте) с фракционным удлинением сгибателей голени (полусухожильная мышца, полуперепончатая мышца, двуглавая мышца бедра).
    «По-моему надо также удлинить и сухожилия m.tibialis posterior и сгибателей пальцев, рассечь дельтовидную связку, т.е. получится как при косолапости» Согласен с Вами. Это решается интраоперационно. При спастических формах ДЦП тонус мышц сгибателей повышается (задняя группа мышц голени), а разгибателей наоборот, ниже нормы (передняя группа мышц голени). Иногда после ахиллопластики из-за слабости мышц разгибателей стопы (drop foot). Возможно укорачивающая тендопластика, тенодез, транспозиция сухожилий.
    Жуткая инконгруентность - хоть все сухожилия удлините, какой толк? Обучить ребенка передвигаться, чтобы обслуживать себя.
    Думаю в данном случае не дорзальная ризотомия, не селективная невротомия не поможет.


    [ Ответить ]

    • Re: ДЦП, подросток
      Отправитель: Никита 27 Апрель 2015, 13:00
      "Жуткая инконгруентность - хоть все сухожилия удлините, какой толк? Обучить ребенка передвигаться, чтобы обслуживать себя."
      Чтобы дать ребенку возможность самостоятельного передвижения, нужно не сухожилия удлинять или выполнять ризотомию, или ЛФК заниматься, а выпонить вмешательство, результатом которого явится опорная, обуваемая, безболезненная стопа. Так вот вопрос, "в чем толк удлинения сухожилий?", был задан в таком ключе: если суставные поверхности костей стопы инконгруентны ввиду длительно существующей деформации, какой толк рассекать мягкие ткани вокруг суставов, если никакой нормализации соотношений не добиться из-за имеющегося механического несоответствия?
      "Чтобы устранить варус можно комбинировать транспозицией m.tibialis ant." - транспозиция сухожилия передней большеберцовой мышцы никак проблему с устранением варуса не решает. Ее цель - профилактика рецидива, и обязательное условие для выполнения - откорригированная стопа.

      [ Ответить ]
      • Re: ДЦП, подросток
        Отправитель: Др.Бахтмян 28 Апрель 2015, 03:39
        Совершенно с Вами согласен, Никита!

        [ Ответить ]
      • Re: ДЦП, подросток
        Отправитель: Мирзаев Анвар 28 Апрель 2015, 13:38
        Уважаемый Никита
        «явится опорная, обуваемая, безболезненная стопа» согласен с Вами. Исправить все инконгруентные суставные поверхности невозможно. Поэтому первым надо устранить эквинусную деформацию. Потом в зависимости от двигательного статуса ребенка операция на костях. Повторюсь часто после артродеза на стопе у детей развивается артроз, болевой синдром, который еще ухудшает двигательный статус ребенка.


        [ Ответить ]
        • Re: ДЦП, подросток
          Отправитель: Никита 30 Апрель 2015, 01:00
          Уважаемый Анвар, у человека эквино-аддукто-варусная деформация стопы. Зачем устранять лишь один из компонентов? Можно компенсировать эквинус коском - разве будет ребенок после этого ходить? Можете ли вы подтвердить какими-либо данными эту "частоту" развития болевого синдрома после проведения тройного артродеза?

          [ Ответить ]
    • Re: ДЦП, подросток
      Отправитель: Др.Бахтамян 29 Апрель 2015, 00:02
      Др.Мирзаев, я кнечно знаю, что такое симптом Silfverskiold и как его проверяют

      [ Ответить ]
    Re: ДЦП, подросток
    Шведовченко Игорь Владимирович 27 Апрель 2015, 11:40
    Уважаемые коллеги. А может быть вместо того, чтобы с жаром обсуждать возможные технические особенности т.н. заднего релиза (профессиональные переводчики называют такие слова "калька", т.е. дословный перевод с иностранного) можно попросить доктора Бахтамяна продемонстрировать нам возможности пассивного выведения стоп из эквинуса до +5 тульного сгибания?
    [ Ответить ]

    • Re: ДЦП, подросток
      Отправитель: Др.Бахтмян 28 Апрель 2015, 03:41
      При повторной встрече не забыть бы сфотографировать пассивный вывод из эквинуса!

      [ Ответить ]
    Re: ДЦП, подросток
    Леонид Сычевский 28 Апрель 2015, 22:34
    Снимок сделан в «произвольно-лежачем» положении, поэтому создаётся впечатление «грубой» деформации. В любом случае при патологии стопы при ДЦП функция важнее анатомии. Если Вы смогли вывести руками стопу до дорсифлексии, то на операционном столе вы выведите её ещё больше даже после Страйера. Варус тоже уйдёт (кстати, если Вы будете выводить стопу очень меденно, то, я думаю, варус ликвидируется даже при осмотре). У девочки диплегия и сгибательные контрактуры в коленных суставах, то есть, после удлиннения ахилловых сухожилий и капсулотомий большая вероятность развития crouch gait, это трагедия, которую трудно исправить. Лучше недокоррекция. В данном случае проблему нужно решать на уровне коленных и голеностопных суставов одномоментно. Разгибательные остеотомии н\3 бёдер + низведение надколенников + Страйер (эквинус не проблемма).
    [ Ответить ]

    • Re: ДЦП, подросток
      Отправитель: Др.Бахтамян 28 Апрель 2015, 23:59
      crouch gait, всмысле сгорбленная походка?
      " Разгибательные остеотомии н\3 бёдер + низведение надколенников + Страйер" - ой-ой-ой......
      А почему эквинус не проблема?


      [ Ответить ]
      • Re: ДЦП, подросток
        Отправитель: Леонид Сычевский 29 Апрель 2015, 00:51
        Если Вы задаёте этот вопрос - значит не совсем в теме. Проблеме crouch gait, которая в большинстве случаев бывает ятрогенной и,возможно, самой большой и сложной в области ортопедического лечения ДЦП в последнее время посвящено много монографий Gage, Matsuo Takashi и др. Но Вы можете помочь этой девочке очень просто даже их не читая - операция Страйера и всё. Никаких сложно-грубых деформаций здесь нет. Если Вы хотите конкретно ей помочь, тогда ещё коленные суставы. Как минимум релиз хамстрингов, с последующими ортезами-аппаратами бедро-голень-стопа.

        [ Ответить ]
    • Re: ДЦП, подросток
      Отправитель: Ниязов Нияз 29 Апрель 2015, 00:41
      Насчет недокоррекции где-то в подсознании было такое, спасибо за совет,можно сказать не знал.
      Уважаемый Леонид Сычевский, а можно узнать по подробнее про пересадку Ахилла кпереди, и что такое не дословно а по смыслу crouch gait, это же не про походку Фраучи(я могу ошибиться в названии )?

      [ Ответить ]
      • Re: ДЦП, подросток
        Отправитель: Леонид Сычевский 29 Апрель 2015, 01:25
        Уважаемый Нияз Ниязов, в переводе - это означает согнутая ходьба. В нашей литературе она упоминается как пяточная стопа или хамстринг-синдром, что не отражает... да ничего не отражает. Все, кто занимается ДЦП обязательно видит этих больных, потому что это не только результат возможного естественного развития спастического синдрома при диплегии, но и результатат чрезмерного усердия хирургов при эквинусной деформации у диплегиков. Больной ходит на согнутых в коленных суставах ногах или совсем садится и не может подняться. Лечение - в основном только остеотомии на нескольких уровнях (разгибательные остеотомии бедра, деротационные остеотомии голени, операция Эванса на стопах и др.). У Gage это хорошо, концептуально написано. Он гуру в области ортопедического лечения ДЦП в настоящее время. Что касается пересадки ахилла можете ознакомиться на сайте www.orto.by Там должна быть выложена моя диссертация по ДЦП. В диссертации вы и про сrouch gait прочитаете

        [ Ответить ]
      • Re: ДЦП, подросток
        Отправитель: Никита 30 Апрель 2015, 01:29
        Пересадка ахилла (если не ошибаюсь, операция Краснова А.Ф.) разработана для пациентов с последствиями перенесенного полиомиелита. Сухожилие ахилла расщепляют вдоль и переносят на тыл стопы. Показание - отсутствие функции активной тыльной флексии стопы. Разумеется, последний вариант - когда другие мышцы-доноры отсутствуют.

        [ Ответить ]
    • Re: ДЦП, подросток
      Отправитель: Никита 30 Апрель 2015, 01:18
      То, что снимки нужно делать с нагрузкой - согласен. Повторюсь: сомневаюсь, что стопы выводятся до дорсифлексии. Девочка не может использовать ортезы - то есть, стопы помещены в жесткую форму на длительное время, при этом не корригируются - вряд ли варус исправляется, даже если "выводить стопу очень медленно". Ребенку ранее рассекли икроножную мышцу в верхней трети, вы предлагаете Страйером рассечь ее в нижней трети - лишить человека функции замыкания коленного сустава при помощи этой мышцы. + "недокоррекция для коленных суставов" - да это и есть выход в crouch gait. Зачем рекомендовать разгибательную остеотомию бедра и низведение бугристостей, не видя ни снимков, ни ребенка? Вы уверены, что у нее есть дефицит активного разгибания голеней? Если выполнить такой объем можно и stiff knee gait получить - не сильно лучше.


      [ Ответить ]
    Re: ДЦП, подросток
    Леонид Сычевский 29 Апрель 2015, 00:22
    Жалею, что поздно зашёл на этот топик. Вот смотрю я на фотографию - обычная,классическая стопа в эквиноварусной деформации при ДЦП. Смотрю Rg - снимки - обычные снимки эквиноварусной деформации при ДЦП, сделанные в том положении в котором они сделаны. Девочка ещё год назад ходила. Да это мечта любого ортопеда,занимающегося ДЦП. Какие артродезы и капсулотомии с пересадками. Поверьте мне Доктор Бахтамян, дадите наркоз, стопы выведутся, проверите Silverscold на операционном столе и , в зависимости от результата - удлиннение ахилла или Страйер. Я бы делал пересадку Ахилла кпереди и то что я написал выше, но это наши заморочки. Вам я рекомендую Страйера при сгибательных контрактурах в коленных суставах (лучше лёгкий эквинус чем crouch gait, тем более, что девочка уже выросла и рецидивов на будет). Операция 10 минут и Вы будете героем. Таких пациентов я прооперировал сотни. самая благодарная операция при ДЦП.
    [ Ответить ]

    • Re: ДЦП, подросток
      Отправитель: Др.Бaхтамян 29 Апрель 2015, 01:23
      Большое спасибо, Др.Сычевский за ценые советы! Конечно,я не совсем в этой теме...А иначе зачем я тут. Неужели Stryer и все тут? А все-таки може из-за неконгруэнтности не выправится варус?И действительно, что значит пересадка ахилла кпереди?

      [ Ответить ]
    • Re: ДЦП, подросток
      Отправитель: Др.Бaхтамян 29 Апрель 2015, 01:24
      Большое спасибо, Др.Сычевский за ценые советы! Конечно,я не совсем в этой теме...А иначе зачем я тут. Неужели Stryer и все тут? А все-таки може из-за неконгруэнтности не выправится варус?И действительно, что значит пересадка ахилла кпереди?

      [ Ответить ]
      • Re: ДЦП, подросток
        Отправитель: Леонид Сычевский 29 Апрель 2015, 01:54
        Да всё там конгруэнтно. Вы придайте своей стопе эквиноварус, положите на бок и сделайте снимок - будет примерно тоже самое. Делайте Страйера и утрёте нос американцам. Я гарантирую успех. Но если даже мы окажемся не правы (что мало вероятно), то мы будем иметь дело с чистым варусом стопы (не искажённым контракцией ахилла, который является в том числе самым мощным инвертором). Мы чётко будем видеть это варус заднего, среднего или переднего отдела стопы и окончательно прооперируем a la carte. И опять выйдем победителями без crouch gait и масакры в виде тройных артродезов.

        [ Ответить ]
        • Re: ДЦП, подросток
          Отправитель: Никита 30 Апрель 2015, 01:24
          Очень смело вы гарантируете успех.
          Чего ради ахилл стал самым мощным инвертором?

          [ Ответить ]
    • Re: ДЦП, подросток
      Отправитель: Никита 30 Апрель 2015, 01:36
      Если все контрактуры устранят на столе при оказании анестезиологического пособия - какая нужда, вообще, оперировать? Ботулотоксин вводите. Зачем оперировать тоническую контрактуру?
      Ребенок не ходит и не пользуется ортезами уже около года - вы думаете фиксированная контрактура еще не сформировалась? Зачем транспонировать ахилл? Не пугайте доктора краучем - дело не только в технике вмешательства, но и в п/о ведении.

      [ Ответить ]
      • Re: ДЦП, подросток
        Отправитель: Др.Бaхтамян 30 Апрель 2015, 17:32
        Ботокс - это на 3-6 месяцев... А дальше?

        [ Ответить ]
        • Re: ДЦП, подросток
          Отправитель: Никита 01 Май 2015, 02:01
          А дальше - опять Ботокс... Да я не к тому, что этой пациентке необходимо введение ботулотоксина, а про то, что не настолько она мягкая, как мне кажется, чтобы ограничиваться Страйером.

          [ Ответить ]
      • Re: ДЦП, подросток
        Отправитель: Леонид Сычевский 01 Май 2015, 10:04
        Не уже около года, а всего лишь около года. Пересадка ахилла кпереди (вентрализация) - это не операция Краснова. Забудьте.

        [ Ответить ]
    Re: ДЦП, подросток
    Леонид Сычевский 01 Май 2015, 08:48
    Уважаемый доктор Бхатамян, не делайте Rg-снимки стоп больным с ДЦП. Они не несут информации, не играют роль в принятии решения и вводят в заблуждение окружающих. Когда следующий раз придёт к Вам эта больная положите её на живот согните одну из ног в коленном суставе, положите свои ладони ей на стопы и медленно, очень медленно выведите стопы. Это, для Вас, будет доказательством того, что никаких «грубо-фиксированно-инконгруэтных» деформаций нет. Конечно, лечить больных с ДЦП не видя их трудно и глупо. Но, к счастью для нас, клинико-двигательные нарушения у больных с симметричной формой спастической диплегии проходят по определённому сценарию. У этой девочки 3 патерн этих нарушений (судя по фотографии и Вашим описаниям). Эквиноварусная деформация-сгибательная контрактура коленных суставов-сгибательная контрактура тазобедренных суставов (хотя Вы об этом не пишете, но она есть). Изолированное удлинение ахилловых сухожилий, тем более с капсулотомиями и прочее ПРОТИВОПОКАЗАНО. Исход - crouch gait. Это беда. Если дополнить релизом хамстрингов, исход передняя тазовая инклинация - это полбеды.Нужно делать релиз хамстрингов и релиз илиопсоас из внутритазового доступа (это принципиально). Но в 15-летнем возрасте релиз хамстрингов может не вывести коленные суставы до коррекции, поэтому я писал об остеотомиях. Если у Вас нет опыта лечения этих больных, то лучше не заморачиваться на всём этом, а сделать рецессиию гастрокнемиус (Страйер, Вульпеус, Бейкер, что лучше получается) и всё. Девочка опять будет ходить. Хотя плохо. Чтобы хорошо, запишите видео и вышлите, можно в личку. Я распишу операции. Ну,... моё мнение. Да, сделайте снимки тазобедренных суставов.

    [ Ответить ]


     

    ( Ответить )

    Powered by Zope  Squishdot Powered MedLink
    Посетитель: 0192713
      "По форме правильно, а по существу - издевательство" В.И.Ленин
    ©2001-2019Orthoforum Coordinator.
    [ Главная | Отправить сообщение | Поиск | Админ ]