AOTRAUMA.ORG Центр Илизарова  

Ортопедия и травматология Общие вопросы/General questions Help Информационные технологии в медицине
 вверх
 отправить
 поиск
 админ
 главная


Вывих головки луча
Ортопедия и травматология Отправлено Абдурашид 26 Апрель 2015, 00:26
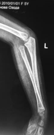
Обратилась девочка 2010г.р., 8 месяцев назад в результате падения на руку получила травму, гипсовая повязка , которую сняли через неделя и дальше не лечилась, со слов матери постепенно нарастает деформация.
Объективно отмечается волярное выбухание головки лучевой кости, и гиперэкстензия в локтевом суставе, функция почти не нарушена, супинация и пронация сохранены. Какой-то чувство, что возможно была разгибательный переломо-вывих Монтеджа. Фото руки и Р-снимки представляются.

Мать спрашивает, будет ли деформация еще увеличиваться, и если да, на операцию согласны.

В плане корригируюшая остетотомия на уровне с-в/з локтевой кости с восстановлением дуги локтевой кости ( сначала измерить другую локтевую кость), фиксация - или пластина или и/м штифт., вправление вывиха головки луча, восстановление кольцевидной связки из местных тканей, временная фиксация спицей к локтевой кости.-это пока предварительно то, что пришла на ум сейчас!
Уважаемые коллеги? хотелось бы услышать Ваше мнение?

<  |  >

 

  • Сообщения о Ортопедия и травматология
  • Также Абдурашид
  • Связаться с автором
  • Ответить

    Re: Вывих головки луча
    Никита 26 Апрель 2015, 19:30
    Уважаемый Абдурашид, скажите пожалуйста, что со сгибанием? План хороший, только зачем фиксировать спицей к локтевой кости? К головчатому возвышению - я бы понял.
    [ Ответить ]

    • Re: Вывих головки луча
      Отправитель: Абдурашид 26 Апрель 2015, 22:52

      Уважаемый Никита! Спасибо., фиксация головки луча к головчатому возвышению спицей проходить через сустав с повреждением хряща, чего не хотелось бы., сгибание и разгибание в локтевом суставе: слева(поврежденная) 140/0/20, справа 160/0/10.
      С уважением Абдурашид.

      [ Ответить ]
      • Re: Вывих головки луча
        Отправитель: Никита 26 Апрель 2015, 23:56
        Если не делать большого количества попыток, вред хрящу будет нанесен минимальный и необходимый. Техника с проведением спицы трансартикулярно описана и используется. Позволяет, кроме того, (при стабильной фиксации локтевой кости) проводить раннюю разработку ротационных движений предплечья, что хорошо.

        [ Ответить ]
    Re: Вывих головки луча
    ШЦРБ 27 Апрель 2015, 00:48
    Доброго времени суток.
    Будьте внимательны с ветвью лучевого нерва!!!Имею плохой опыт с лечением застарелого вывиха головки луча-перерезали ветвь лучевого нерва!!!!!
    К большому счастью -функция нерва восстановилась через 6-7 мес(выполнен первичный шов нерва,травматологом)
    [ Ответить ]


    ( Ответить )

    Powered by Zope  Squishdot Powered MedLink
    Посетитель: 0174853
      "По форме правильно, а по существу - издевательство" В.И.Ленин
    ©2001-2019Orthoforum Coordinator.
    [ Главная | Отправить сообщение | Поиск | Админ ]