AOTRAUMA.ORG Центр Илизарова  

Ортопедия и травматология Общие вопросы/General questions Help Информационные технологии в медицине
 вверх
 отправить
 поиск
 админ
 главная


Коррекция стопы
Ортопедия и травматология Отправлено Александр 27 Апрель 2015, 22:40
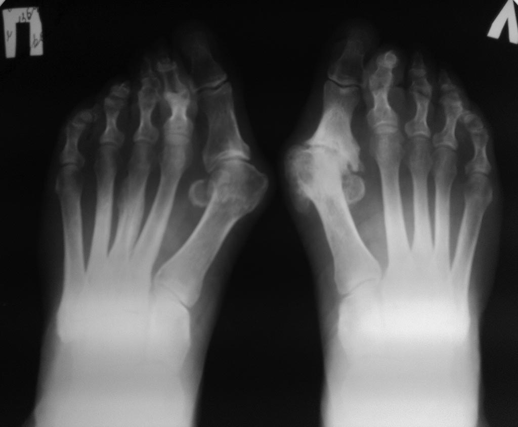
Женщина 60 лет,имеет деформацию пеереднего отдела обеих стоп в виде Hallux valgus, молоткообразной деформации вторых пальцев, артроза первых плюсне-фаланговых и других суставов.
Каков может быть объем коррекции стоп, с учетом артроза слева?

<  |  >

 

  • Сообщения о Ортопедия и травматология
  • Также Александр
  • Связаться с автором
  • Ответить

    Re: Коррекция стопы
    Др.Бахтмян 28 Апрель 2015, 03:52
    Александр, если нет диабета, то особенно не заморачивайтесь - артродез в 1-м плюснефаланговом с фиксацией 2я винтами, а 2 пальцы резекционная артропластика проксимального межфаланговог с обязательным Z-образным рассечением сухожилий разгибателей. Спицу держите 6 недель!
    [ Ответить ]

    Re: Коррекция стопы
    Бережной Сергей 28 Апрель 2015, 18:32
    Кроме hallux valgus и артроза первого плюснефалангового сустава левой стопы на снимках мы видим значительное преобладание длин 2-4 плюсневых костей над длиной первой плюсневой. Значит головки центральных плюсневых костей подвергаются перегрузке, которая, вероятно, раньше уже проявилась маршевым переломом (или была травма?) третьей плюсневой на правой стопе (сейчас уже сросшимся). По идее должны быть натоптыши на подошве, о которых Вы не пишете. Даже если нет натоптышей, такую избыточную длину нужно учитывать во время операции. С первым плюснефаланговым суставом левой стопы понятно - лучше всего сделать артродез, одновременно устранив отклонение пальца кнаружи. А на правой стопе никакого особенного артроза нет. Можно сделать любую операцию, которой вы владеете, по устранению hallux valgus. Например, шевронную остеотомию: первый межплюсневый угол тут маленький и этой относительно мало травматичной операции вполне будет достаточно. Если при этом полностью не устранится отклонение первого пальца - дополнить операцию остеотомией основания основной фаланги. Что же касается латеральных лучей, я бы советовал выполнить остеотомию по Вейль 2-4 плюсневых. Ее можно фиксировать винтами, а можно и не фиксировать. Как Вам больше нравится. Остаются вторые пальцы. Нужно быть очень уверенным в себе хирургом, чтобы думать о резекционной артропластике на таком красном, воспаленном пальце, как на левой стопе. Да и на правой. Конечно, наилучшее решение в такой ситуации - чрескожная операция. Можно сделать похожую на чрескожную операцию: при выполнении остеотомии плюсневых костей удлинить разгибатели пальцев и из этого же доступа микропилой пересечь основание основной фаланги 2 пальца. Можно под углом, чтобы добиться большего укорочения. Фиксировать ничем, кроме повязки, не нужно. Но повязка должна быть наложена качественно, с фиксацией по отдельности каждого пальца. А если контрактура проксимального межфалангового сустава фиксированная (об этом Вы тоже не пишете), можно самым узким скальпелем через подошвенный прокол пересечь и сухожилия сгибатели. В любом случае нужно постараться избежать вмешательства на проксимальном межфаланговом суставе и внутренней фиксации пальца.
    [ Ответить ]

    • Re: Коррекция стопы
      Отправитель: Александр 28 Апрель 2015, 21:19
      Сергей, спасибо за очень подробный ответ! Еще один встречный вопрос: можно ли всё-таки использовать приспособленное оборудование для чрезкожной хирургии - из стоматологии, или же это категорически неприемлемо? Если да, то где посмотреть? Спасибо!!!

      [ Ответить ]
      • Re: Коррекция стопы
        Отправитель: Бережной Сергей 28 Апрель 2015, 22:42
        Если честно, я не знаю, что это за приспособленное оборудование и где его посмотреть. Ни разу не сталкивался.

        [ Ответить ]
      • Re: Коррекция стопы
        Отправитель: Др.Бахтамян 28 Апрель 2015, 23:45
        Согласен насчет операции Вейля (Weil), но иногда при запущенных деформациях не удается без резекционной артропластики вывести проксимальный сустав и разгибания. Насчет стоматологических инструментов. Вы имеете ввиду, наверное, метод Insham? В youtube или есть много роликов, но будьте осторожны. Для метода Insham нужен опыт

        [ Ответить ]
        • Re: Коррекция стопы
          Отправитель: Бережной Сергей 29 Апрель 2015, 01:16
          Если Вы имеете ввиду доктора Stephen Isham, то он ни в коем случае не является автором или изобретателем метода чрескожной хирургии стопы. И будучи человеком очень скромным всегда возражал, когда его так называли. Популяризатором - да. Автором двух или трех методик - да. Но какое отношение он имеет к стоматологическим инструментам?

          [ Ответить ]

     

    ( Ответить )

    Powered by Zope  Squishdot Powered MedLink
    Посетитель: 0000096
      "По форме правильно, а по существу - издевательство" В.И.Ленин
    ©2001-2019Orthoforum Coordinator.
    [ Главная | Отправить сообщение | Поиск | Админ ]