AOTRAUMA.ORG Центр Илизарова  

Ортопедия и травматология Общие вопросы/General questions Help Информационные технологии в медицине
 вверх
 отправить
 поиск
 админ
 главная


Последствие огнестрельного перелома костей предплечья
Ортопедия и травматология Отправлено Артем 27 Май 2015, 20:38
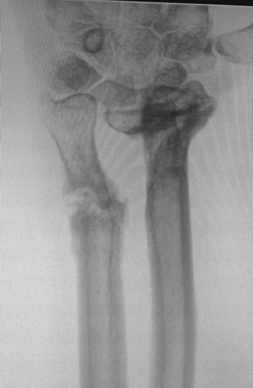
Предлагаю обсудить возможную тактику лечения пациента с деформацией костей предплечья.
Пациент получил огнестрельное ранение левого предплечья с переломом обеих костей в нижней трети в августе 2014г. Первоначально лечился в аппарате Илизарова. Со слов пациента, в связи с развитием ИО в область проведения спиц аппарат демонтирован, продолжено лечение в повязке. В настоящее время в области левого предплечья множественные окрепшие послеоперационные рубцы, отмечается деформация в виде выстояния головки локтевой кости, формирования гипертрофической костной мозоли лучевой кости. Рентгенограммы прилагаю.
Основная жалоба - ограничение супинации, которое мешает выполнять работу.
Прошу помочь в выборе тактики лечения.
Спасибо.

<  |  >

 

  • Сообщения о Ортопедия и травматология
  • Также Артем
  • Связаться с автором
  • Ответить

    Re: Последствие огнестрельного перелома костей предплечья
    SAGo 01 Июнь 2015, 00:01
    Может быть укоротить локтевую кость?
    [ Ответить ]

    • Re: Последствие огнестрельного перелома костей предплечья
      Отправитель: Данила Курышев 01 Июнь 2015, 04:49
      Не удлинить ли лучевую кость?

      [ Ответить ]
      • Re: Последствие огнестрельного перелома костей предплечья
        Отправитель: SAGo 01 Июнь 2015, 13:54
        Что проще выполнить?

        [ Ответить ]
    Re: Последствие огнестрельного перелома костей предплечья
    Максим Григорьев 01 Июнь 2015, 12:17
    Добрый день. Необходимо выполнить КТ и МРТ исследования лучезапястного сустава для определения степени повреждения хряща и возможностей коррекции деформации лучевой кости. От этого напрямую зависит выбор типа оперативного лечения.
    [ Ответить ]


    ( Ответить )

    Powered by Zope  Squishdot Powered MedLink
    Посетитель: 0204695
      "По форме правильно, а по существу - издевательство" В.И.Ленин
    ©2001-2019Orthoforum Coordinator.
    [ Главная | Отправить сообщение | Поиск | Админ ]