Ответить
|
Re: Нестабильность остеосинтеза, несращение перелома плечевой кости.
Николай 01 Июнь 2015, 22:34
|

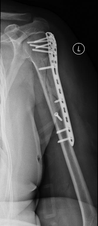
Еще Рентгенограммы
|
[
Ответить ]
|
Re: Нестабильность остеосинтеза, несращение перелома плечевой кости.
Александр 01 Июнь 2015, 22:40
|
Изначально нужно было выполнить БИОС, ну или DCP пластину положить.
Сейчас, конечно,БИОС.
|
[
Ответить ]
|
Re: Нестабильность остеосинтеза, несращение перелома плечевой кости.
Николай 01 Июнь 2015, 22:45
|

то, что было после операции
|
[
Ответить ]
|
Re: Нестабильность остеосинтеза, несращение перелома плечевой кости.
Виктор 01 Июнь 2015, 23:05
|
Биос спасет ситуацию,конечно если владеете Вы данным методом остеосинтеза. Не хочу Вас обидеть, но именно этот метод лечения изначально был оптимальным.
|
[
Ответить ]
|
Re: Нестабильность остеосинтеза, несращение перелома плечевой кости.
Paul 02 Июнь 2015, 09:54
|
Накостный остеосинтез получился приемлемым (по данным рентгенограмм), если были сомнения в стабильности, связанные с фрагментацией, то можно было бы перенести активизацию (разработку) на 1-2 недели.
Интрамедулярная фиксация - конечно метод выбора, но и правильно выполненный накостный- то же хорош.
|
[
Ответить ]
|
Re: Нестабильность остеосинтеза, несращение перелома плечевой кости.
Айрапетов Г.А. 07 Июнь 2015, 00:15
|
А почему бы не попробовать полечить его в течение месяца в гипсовой иммобилизации? Возможно и не все еще потеряно
|
[
Ответить ]
|
Re: Нестабильность остеосинтеза, несращение перелома плечевой кости.
ВВ 08 Июнь 2015, 14:42
|
Имеютс ли жалобы у пациентки?
|
[
Ответить ]
|
Re: Нестабильность остеосинтеза, несращение перелома плечевой кости.
Maxim Agalakov 09 Июнь 2015, 19:17
|
пластина была явно коротка, можно было полечить по Сармиенто, сейчас гвоздь, вероятно, предпочтительнее
|
[
Ответить ]
|
Re: Нестабильность остеосинтеза, несращение перелома плечевой кости.
Levikovich 13 Июнь 2015, 13:56
|
Здравствуйте.
А может изначально такое смещение сохранялось,проекции ведь разные?Думаю,что можно подождать с реостеосинтезом.А я думал,что только я интраоперационный снимок в одной проекции делаю,а потом за голову хватаюсь,хотя учили делать в двух проекциях ,в любом случае.
|
[
Ответить ]
|
Re: Нестабильность остеосинтеза, несращение перелома плечевой кости.
Ряполов Юрий 13 Июнь 2015, 16:26
|
А жалобы есть? +1 за снимок в той же проекции, что и послеоперационный
|
[
Ответить ]
|
( Ответить )
|