AOTRAUMA.ORG Центр Илизарова  

Ортопедия и травматология Общие вопросы/General questions Help Информационные технологии в медицине
 ВХОД ДЛЯ ПАЦИЕНТОВ
 вверх
 поиск
 админ
 главная


Нелеченный более полугода перелом проксимального отдела tibia - что делать???
Ортопедия и травматология Прислано Данилов Евгений Кислицын Михаил ГБ 38 03 Июнь 2015, 15:10
из Гб38 г. Пушкин
Уважаемые коллеги, форумчане! Хочется услышать ваше мнение по данной проблеме.
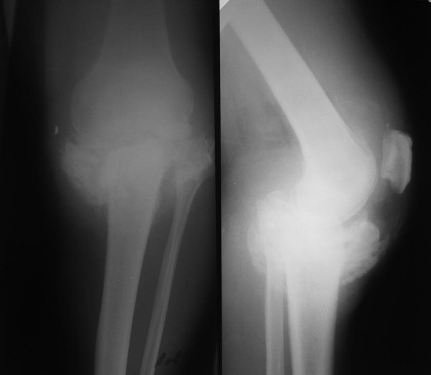
Пациент мужчина, 46 лет, гражданин Украины, рост 170, вес около 70-74. Работал до травмы и в настоящее время, средние физические нагрузки. Травма в декабре 2014, со слов выставил прямую ногу вперед во время катания на велосипеде, факту травмы не придал значение вплоть до моего осмотра (апрель 2015), лечил ушиб. Рентгенограммы (1) январь 2015 год, (2) 25.05.2015 г.

Порочное положение конечности, объем движений: разгибание в к/суставе до 165 - 170 гр, сгибание до 105-110, выраженная хромота, болезненность при нагрузках и в ночное время, но работать может. Онкоанамнез не отягощен, туберкулезом не болел (спросил, учитывая странное соотношение тяжести и механизма травмы).
Диагноз: Застарелый многооскольчатый (С3) перелом проксимального отдела ББК. По срокам после травмы (более 6 мес): Ложный сустав (неоартроз) проксимального отдела ББК.
Эндопротез пациенту не доступен 100% (тем более при таком дефекте ББК), поэтому мы можем предложить ему остеосинтез или артродез.
Вопросы:
1. Ваше мнение по тактике лечения.
2. При артродезе:
- гвоздь бедро-голень?
- открыто или закрыто?
- сколько этапов?
- что предпринять, чтобы оставить как можно меньший дефект, исключив тем самым большое укорочение конечности)?

3. Для этого случая и на будущее: гвоздь бедро-голень где найти, как заказать, инструмент?!

Большое всем спасибо.
С уважением, вр Кислицын, вр Данилов

Послать ответ

Имя
Email
Уведомление Сообщить мне по e-mail об ответах на это сообщение
Название
Комментарий
(Проверьте URL! Не забудьте написать http://!)
Кодировка
Если не знаете, что выбрать, выберите "Просто текст"!
Приложение
Можно приложить к сообщению файл c изображением, который затем будет доступен увидевшим сообщение.
Подготовка иллюстраций:
  • Рентгенограммы: черно-белые полутоновые изображения в формате JPEG (8 bit, greyscale) с разрешением от 300х200 до 1024х768 пикселов;
  • Клинические фотографии: полноцветные изображения в формате JPEG (24 bit, truecolor) с разрешением от 300х200 до 1024х768 пикселов;
  • Схемы и рисунки: черно-белые (2 bit) штриховые (line-art) изображения в формате GIF или compressed TIFF
  • Подберите степень сжатия файла JPEG и размер изображения таким образом, чтобы необходимые детали были различимы, но размер файла не превышал 75 кб.
  • Учтите, что текущая версия программного обеспечения Форума позволяет приложить к одному сообщению лишь один файл-вложение. Поэтому, если необходимо отправить несколько изображений, можно либо послать каждое как отдельное сообщение, либо в графическом редакторе объединить изображения в одно (сделать коллаж).
  • Если при подготовке изображений встречаются трудности, не стесняйтесь обратиться к координатору Форума.

  • Введите видимые символы в обратном порядке. Enter the above characters in reverse order (*Обязательно)
    В тексте сообщения можно использовать теги HTML <B> <I> <P> <A> <LI> <OL> <UL> <EM> <BR> <TT> <HR> <STRONG> <BLOCKQUOTE> <DIV .*> <DIV> <P .*>
  • Обратите внимание: Поля с жирными названиями обязательны.
  • Старайтесь отвечать в рамках обсуждаемой темы, а не начинать новые обсуждения.
  • Указывайте адекватную тему сообщения, чтобы было ясно, о чем оно.
  • Не послайте сообщений не по теме (оффтопик), раздраженных, грубых или обидных комментариев. Здесь это неуместно.
  • Powered by Zope  Squishdot Powered MedLink
    Посетитель: 0000021
      "По форме правильно, а по существу - издевательство" В.И.Ленин
    ©2001-2019Orthoforum Coordinator.
    [ Главная | Отправить сообщение | Поиск | Админ ]