AOTRAUMA.ORG Центр Илизарова  

Ортопедия и травматология Общие вопросы/General questions Help Информационные технологии в медицине
 вверх
 отправить
 поиск
 админ
 главная


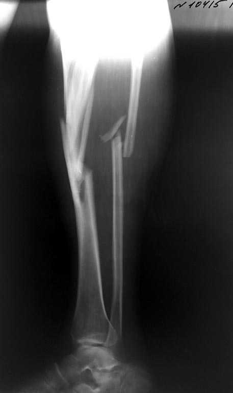
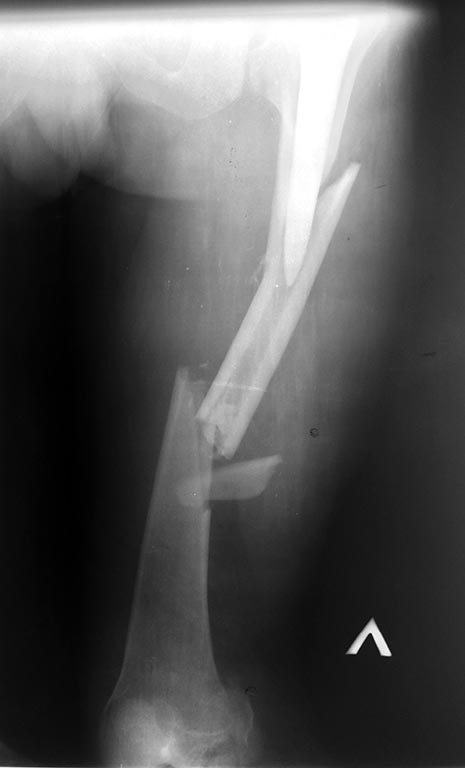
Перипротезный перелом бедра и перелом костей голени
Общие вопросы/General questions Отправлено Павел 15 Июнь 2015, 22:51
Здравствуйте!Пациент М 54 года. 25.05.2015 г. в результате ДТП получает сочетанную травму.
Снимки прилагаются. Интересно ваше мнение по тактике лечения данного пациента. Есть многочисленные металлоконструкции и технологии оперативных вмешательств.
P.s. Прошу прощение за качество снимков.

<  |  >

 

  • Сообщения о Общие вопросы/General questions
  • Также Павел
  • Связаться с автором
  • Ответить

    Re: Перипротезный перелом бедра и перелом костей голени
    Nikolay 17 Июнь 2015, 16:08
    Для перипротезного перелома вероятнее подойдет БИОС ретроградно штифтом, который использует активно Александр Николаевич Челноков.
    [ Ответить ]

    Re: Перипротезный перелом бедра и перелом костей голени
    Maxim Agalakov 18 Июнь 2015, 09:47
    есть стандартные решения - пластина для перипротезных переломов, есть нестандртные - гвоздь антеградно или аппарат.
    [ Ответить ]

    • Re: Перипротезный перелом бедра и перелом костей голени
      Отправитель: Maxim Agalakov 19 Июнь 2015, 14:13
      опечатался ретроградно конечно же

      [ Ответить ]
    Re: Перипротезный перелом бедра и перелом костей голени
    Александр 19 Июнь 2015, 09:45
    На бедро пластина с монокортикальной фиксацией проксимально. На голень БИОС.
    [ Ответить ]

    Re: Перипротезный перелом бедра и перелом костей голени
    Денис Магсумов 20 Июнь 2015, 01:37
    Фиксаторами из металла с памятью форм никто не работал в подобных случаях?
    [ Ответить ]

    • Re: Перипротезный перелом бедра и перелом костей голени
      Отправитель: Maxim Agalakov 20 Июнь 2015, 13:25
      наверное экспериментировали в новокузнецке

      [ Ответить ]

     

    ( Ответить )

    Powered by Zope  Squishdot Powered MedLink
    Посетитель: 0174184
      "По форме правильно, а по существу - издевательство" В.И.Ленин
    ©2001-2019Orthoforum Coordinator.
    [ Главная | Отправить сообщение | Поиск | Админ ]