вверх
отправить
поиск
админ
главная
|
Стопа Шарко. Риск операции. |
 |
 |
 |
Отправлено Денис Ёлкин 29 Июнь 2015, 01:55
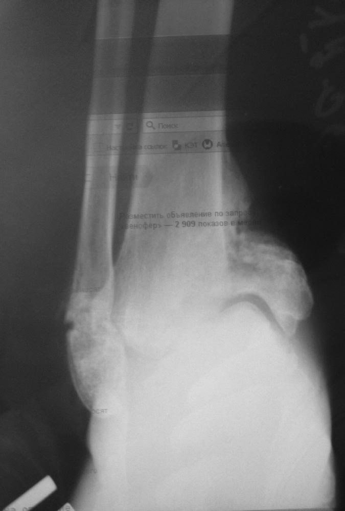
Здравствуйте, коллеги! У пациентки 28 лет СД 1 типа, остеоартропатия стопы, полинейропатия. Перелом лодыжек и пяточной кости произошёл, по-видимому, спонтанно, без явной травмы3 месяца назад. Сейчас признаки консолидации лодыжек в порочном положении - вн. лодыжка смещена краниально, стопа в варусе. Аваскулярный некроз таранной кости с частичным остеолизом.Возникает мысль о необходимости артродеза голеностопного и подтаранного суставов штифтом.В настоящее время СД компенсирован.
Как думаете, насколько велик риск осложнений после операции?
PS извините за качество снимка, пока располагаю только таким.
<
|
>
|
|
Ответить
|
Re: Стопа Шарко. Риск операции.
Paul 30 Июнь 2015, 15:41
|
Предлагаю разделить на:
Социальные показания
Ортопедические
Если больная асоциальная или имеет психические отклонения, то выполнить только заведомо успешные операции - коррегирующая остеотомия, артродез, фиксация стержнем.
Для ортопедического решения - дообследовать (дополнительные проекции, МРТ, ЭНМГ, доплерометрия сосудов стопы)
|
[
Ответить ]
|
Re: Стопа Шарко. Риск операции.
Отправитель: Денис Ёлкин 30 Июнь 2015, 16:50
|
А если адаптирована социально и имеет нормальную психику, то советуете предпочесть что-либо другое? Что?
Что касается дообследования, что даст МРТ? (я планировал КТ, по возможности, с 3-мерным моделированием)
|
[
Ответить ]
|
|
Re: Стопа Шарко. Риск операции.
Андрей 02 Июль 2015, 00:20
|
Я думаю самым правильным решением будет артродез!
|
[
Ответить ]
|
Re: Стопа Шарко. Риск операции.
Андрей Волна 02 Июль 2015, 00:21
|
Артродез (корригирующий) и подтаранного и голеностопного суставов показан здесь, Денис. Одна из немногих, если не единственная ситуация, когда это делать нужно именно при помощи гвоздя. Ну а риск... СД должен быть компенсирован.
С Вашим ортопедическим опытом - очень хороший шанс на успех. Другого пути здесь не просматривается.
С уважением. Андрей.
|
[
Ответить ]
|
Re: Стопа Шарко. Риск операции.
Отправитель: Денис Ёлкин 02 Июль 2015, 01:06
|
Спасибо, Андрей Анатольевич!
|
[
Ответить ]
|
|
( Ответить )
|
|