Ответить
|
Re: Перимплантный перелом бедра
Денис Ёлкин 07 Июль 2015, 19:59
|
Здравствуйте!
Первое, что мне пришло в голову - применить пластину для периэндопротезных переломов бедра. Типа, например, "Аккорд" с монокортикальными винтами и тросами-серкляжами.
Минус, конечно, - придётся делать большой доступ, "малой кровью" обойтись не получится.
Очень интересно узнать, какая тактика предусмотрена Вашим планом?
|
[
Ответить ]
|
Re: Перимплантный перелом бедра
Отправитель: Андрей Волна 07 Июль 2015, 23:13
|
Денис Валерьевич, конечно, в данном случае пластина - хороший выбор. И, не обязательно с достижением абсолютной стабильности и с открытой репозицией. Можно сделать и методом шинирования из малых доступов. Как жизнесберегающая операция - годится. Однако, если пациентка выживет ( на что мы вновь надеемся) то, как ходить? Костыли она не может использовать, вес у нее больше, чем ей лет
Несостоятельность остеосинтеза может случиться.
Это и смущает.
|
[
Ответить ]
|
|
Re: Перимплантный перелом бедра
Alexander Chelnokov 07 Июль 2015, 20:32
|
Привет, Андрей.
Идеально тут было бы использовать перипротезный гвоздь - но это в условиях Москвы задержка дня два на его изготовление. Но это индустриальный. Если какой-то кустарный вариант из старых запасов канюлированных гвоздей большого диаметра - можно и за полчаса подготовить.
Более распространенные варианты - замена на длинный PFN и пластина.
|
[
Ответить ]
|
Re: Перимплантный перелом бедра
Отправитель: Андрей Волна 07 Июль 2015, 23:27
|
Саша, привет!
Клиника наша большая, но частная, не бюджетное ЛПУ
Поэтому можно использовать любые, но индустриальные сертифицированные конструкции и их комбинации. Так что перипротезный гвоздь пока невозможен. Вопрос о стоимости не стоит.
Пластина - хороший выбор, о плюсах и минусах - чуть выше.
Если длинная версия гвоздя - как быть с аугментацией? Аугментировать новый клинок? Другая позиция?
|
[
Ответить ]
|
Re: Перимплантный перелом бедра
Отправитель: Alexander Chelnokov 08 Июль 2015, 10:20
|
Предприятие ЦИТО делает вполне индустриальные. А длинный PFN если - раз прорезания не видно, то лучше шеечный винт ввести в тот же канал.
|
[
Ответить ]
|
Re: Перимплантный перелом бедра
Отправитель: Александр Шатохин 09 Июль 2015, 01:05
|
Решение остроумное.
Получается основанием гвоздя вы вошли в дистальный конец стоявшего ранее PFN.
Если так, то будет ли здесь осевая и ротационная стабильность?
|
[
Ответить ]
|
Re: Перимплантный перелом бедра
Отправитель: Алексей Семенистый 09 Июль 2015, 03:17
|
Да, конечно. Это по сути посадка на конус.
|
[
Ответить ]
|
|
Re: Перимплантный перелом бедра
Альберт 07 Июль 2015, 23:22
|
Здравствуйте Андрей!
Позвольте предложить, а нельзя ли заменить гвоздь на более длинный?
|
[
Ответить ]
|
Re: Перимплантный перелом бедра
Отправитель: Андрей Волна 07 Июль 2015, 23:33
|
Здравствуйте, Альберт
Если длинная версия гвоздя - как быть с аугментацией? Аугментировать новый клинок? Другая позиция клинка?
|
[
Ответить ]
|
Re: Перимплантный перелом бедра
Отправитель: Иван 08 Июль 2015, 11:55
|
Добрый день. Возможные варианты лечения озвучены, а
если оценивать ретроспективно, учитывая возраст, может было бы лучше сразу установить длинную версию стержня большого диаметра?
|
[
Ответить ]
|
Re: Перимплантный перелом бедра
Отправитель: Андрей Волна 08 Июль 2015, 22:33
|
Возможно. Мои соображения поэтому поводу - в ремарке к совету Анатолия Фёдоровича.
Вполне возможно - это перспективное направление. Однако, не на 100% уверен, что мы просто не "передвинем" будущий перелом ещё дистальнее
Что очевидно, так это то, что короткие Гаммы первого поколения и их дженерики ставить не следует именно из-за возможности таких переломов. Всё остальное - пока оценочные суждения.
|
[
Ответить ]
|
|
Re: Перимплантный перелом бедра
Vladilen Kiskarev 08 Июль 2015, 11:51
|
Здравствуйте. Попробуйте вариант с фиксаторами с эффектом памяти формы (см. вложение)

pdf, 494 Kb
|
[
Ответить ]
|
Re: Перимплантный перелом бедра
Отправитель: Андрей Волна 08 Июль 2015, 15:45
|
Vladilen, я вообще-то первые лет так сорок своей жизни прожил и проработал в Кузбассе. Так что особо "пробовать" мне уже и не нужно...
Не вдаваясь в дискуссию по поводу этого металла (ибо дискуссия эта достаточно давно закрыта) замечу лишь одну, но достаточно принципиальную вещь:
При внесуставных переломах на фоне остеопороза мы должны добиваться относительной, а не абсолютной стабильности. Вместо метода межфрагментарной компрессии применяется метод шинирования. Попытки добиться компрессии - тупиковый путь при остеопорозе, вне зависимости от того, какие конструкции для этого применяются. Одно здесь исключение - перипротезные переломы типа В2 и В3 по ванкуверской классификации (для т/б сустава) Здесь мы должны обеспечить абсолютную стабильность вокруг ножки.
С уважением
|
[
Ответить ]
|
Re: Перимплантный перелом бедра
Отправитель: Alexander Chelnokov 08 Июль 2015, 16:07
|
Одно здесь исключение - перипротезные переломы типа В2 и В3 по ванкуверской классификации (для т/б сустава) Здесь мы должны обеспечить абсолютную стабильность вокруг ножки.
При нестабильных цементных даже это не сработает, а при бесцементных работает и одно шинирование, без создания абсолютной стабильности вокруг той же самой ножки...
|
[
Ответить ]
|
Re: Перимплантный перелом бедра
Отправитель: Андрей Волна 08 Июль 2015, 22:01
|
Может сработает, а может и нет.
При перипротезном переломе исход его лечения должен заключаться не только в сращении перелома, но и в том, что ножка будет стабильной. Иначе всё теряет смысл.
|
[
Ответить ]
|
Re: Перимплантный перелом бедра
Отправитель: Денис Ёлкин 08 Июль 2015, 23:26
|
В2 и В3 - это переломы с потерей стабильности бедренного компонента эндопротеза. Насколько я понимаю, при этом показана замена ножки с одновременным остеосинтезом, безотносительно к тому, цементная фиксация ножки или нет.
|
[
Ответить ]
|
Re: Перимплантный перелом бедра
Отправитель: Андрей волна 08 Июль 2015, 23:36
|
Да. Конечно
|
[
Ответить ]
|
Re: Перимплантный перелом бедра
Отправитель: Alexander Chelnokov 09 Июль 2015, 00:53
|
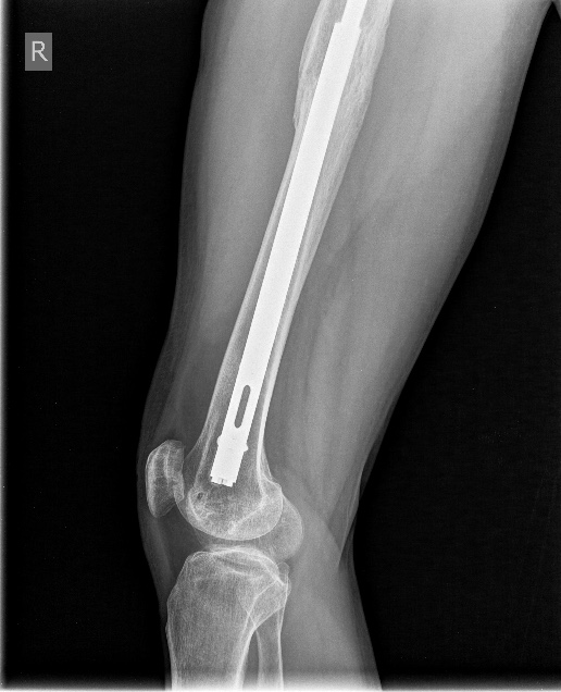
Закрытое штифтование с удлинением бесцементной ножки при переломах Vancouver B2/ B3 дает неожиданно для приверженцев традиционной догмы хорошие результаты.
Здесь первое наше наблюдение такого остеосинтеза с нестабильной ножкой. Прошло уже 6 лет - вот недавние снимки. Пациент не имеет жалоб, катается на коньках. Никакие дистальные винты не выдержали бы циклических нагрузок столько лет, если бы ножка оставалась нестабильной.

|
[
Ответить ]
|
Re: Перимплантный перелом бедра
Отправитель: Денис Ёлкин 09 Июль 2015, 02:18
|
Рекомендации по тактике лечения в зависимости от классификации уместнее назвать, наверное, "золотым стандартом". То есть такой тактикой, которая даёт наибольшую вероятность успешного разрешения проблемы и, соответственно, благоприятного для пациента исхода.
Тем не менее, рекомендация любой тактики в чём-то относительна и никто не запрещает принимать иные решения под воздействием множества факторов, в том числе и собственного опыта.
Ваше наблюдение исключительно позитивно. И, возможно, у такой методики есть все шансы стать новым "золотым стандартом". Когда всем станет ясно, что она даёт результаты не хуже. Но пока для большинства более верный путь - следовать уже сложившимся представлениям, тем более, если есть привязка к конкретной классификации.
История знает примеры, когда метод оказывался хорошим только в руках автора и трудновоспроизводим остальными.
А догмы - их, по-моему, вообще считанные единицы.
|
[
Ответить ]
|
Re: Перимплантный перелом бедра
Отправитель: Alexander Chelnokov 09 Июль 2015, 10:13
|
Жизнь сложнее, чем черно-белый стандарт, вернее, золотой или не золотой. И всем - никогда не станет ясно одно и то же, а то прогресс остановится.
Некоторые полагают, что раз знают про этот "золотой стандарт", то вопрос закрыт, шаг вправо-влево - ересь и криминал (знаю таких).
Глава про перипротезные штифты уже есть в недавней книжке "Periprosthetic fracture management", изданной AO Publishing. На EFORT-2014 впервые встретил перипротезный штифт на выставке, доступный для поставок в Европе.
Участники форума находятся в сильно выигрышном положении, множество врачей даже не знает про такую возможность. Как и про гексаподные аппараты, например.
Насчет "в руках автора" - применяют эту методику уже и в Москве, и в Хабаровске, и в Минске. Может, я даже не про все внедрение знаю.
|
[
Ответить ]
|
Re: Перимплантный перелом бедра
Отправитель: Денис Ёлкин 09 Июль 2015, 14:35
|
"Жизнь сложнее, чем черно-белый стандарт, вернее, золотой или не золотой. И всем - никогда не станет ясно одно и то же, а то прогресс остановится." - исключительно справедливо! Полностью солидарен.
И, собственно, не отрицаю возможностей появляющихся новых методов. Роль стандартов разного цвета:) - указывать ориентир, подходящий большинству для большинства, а не становиться догмой.
Но, честно говоря, пока сомневаюсь в применимости перипротезных штифтов для всех случаев типа В2-В3.
Да, далековато мы ушли от темы тактики для описанной пациентки. Очень интересно, а что Андрей Анатольевич всё-таки решил?
|
[
Ответить ]
|
Re: Перимплантный перелом бедра
Отправитель: Андрей Волна 09 Июль 2015, 16:05
|
В самом слове "догма" (в русском языке) уже содержится нечто заскорузло-уничижительное. Наверное, поэтому Денис и так среагировал. Корректно. Но - ярко.
Однако, всё же то, что результатом лечения должно становиться достижение стабильности ножки, я считаю, уж извините, догмой.
Равно и то, что нестабильная ножка не нужна никому - ни пациенту, ни хирургу. И, если это так же догма, то можете меня считать заскорузлым догматиком. Я - за стабильность ножки при эндопротезировании. Я догматик в этом смысле. Другое дело, что вот эта стабильность в случае перипротезного перелома может быть достигнута разными методами. И опять же понятно, что перипротезные гвозди уверенно могут быть применены и рекомендованы для переломов типа В1 и С. Это не значит, что эти гвозди не могут быть применены и при переломах В2. И даже - В3 (нестабильная ножка с потерей костной массы). Могут. Как исключение и в ряде случаев.
Это зависит от качества кости, возраста и биологических кондиций пациента, его веса, применённой при первичном эндопротезировании конструкции, хирургической техники во время первой операции и прошедшего времени. Личных предпочтений и опыта хирурга, в конце концов.
Однако, рекомендовать широкое применение перипротезных штифтов при переломах типа В2 и В3, несмотря на имеющиеся отдельные положительные результаты, мне кажется, было бы несколько преждевременным. Это и обсуждается
|
[
Ответить ]
|
Re: Перимплантный перелом бедра
Отправитель: Alexander Chelnokov 09 Июль 2015, 18:21
|
Достижение стабильности ножки, безболезненной опороспособности и функциональной пригодности конечности - это не методологические догмы, а конечные точки, которыми процесс лечения должен завершиться. То есть лечебные задачи. И успешно решаются эти задачи - оказывается, разными способами. В том числе теми, что за рамками текущей хирургической догмы.
Насчет "преждевременно" или нет - наверно, стоило бы ориентироваться в первую очередь на точку зрения тех, кто хорошо владеет методикой, и имел возможность ее применить на целевой группе пациентов, и отследить результаты. Критерий истины - практика. А если опираться в основном на умозрительные представления о возможностях и особенностях этого подхода, то, конечно, традиционный вариант более знаком, близок, понятен, логичен и авторитетен.
|
[
Ответить ]
|
|
Re: Перимплантный перелом бедра
Anatoly Lazarev 08 Июль 2015, 15:16
|
Мы крайне редко ставим короткие стержни, только, при большой кривизне бедра, и если невозможно поставить длинный стержень.
|
[
Ответить ]
|
Re: Перимплантный перелом бедра
Отправитель: Андрей Волна 08 Июль 2015, 22:10
|
Да, предупреждение переломов на фоне остеопороза, в том числе - периимплантных, в том числе - и хирургическим способом - тема, что активно сейчас разрабатывается. Вне сомнения, установка длинной версии стержня - это попытка хирургической профилактики таких осложнений.
Наверное, такой подход будет всё более и более востребован, мне кажется
|
[
Ответить ]
|
Re: Перимплантный перелом бедра
Отправитель: Андрей Волна 09 Июль 2015, 10:55
|
Согласен. Это было доказательно только в отношении первой версии Гаммы, что нынче практически не применяется. Поэтому однозначного ответа и нет на момент
|
[
Ответить ]
|
|
Re: Перимплантный перелом бедра
Александр 08 Июль 2015, 19:04
|
Почему то не прошёл первый пост. Как вариант поставить максимально рано на ноги. Гибридное протезирование цемент вертлуга и длинная с блокированием ревизионная ножка "Aesculap" или ножка Вагнра.
Спасибо.
|
[
Ответить ]
|
Re: Перимплантный перелом бедра
Отправитель: Андрей Волна 08 Июль 2015, 19:45
|
Спасибо.
Наверное, вариант который я бы не стал рассматривать, как первоочередной. Единственное, что у пациентки состоятельно на этом бедре, так это суставы. Плюс - крайне высокая травматичность.
|
[
Ответить ]
|
Re: Перимплантный перелом бедра
Отправитель: Кутков Александр Александрович 09 Июль 2015, 01:38
|
Вобщето как первоочередной - этот вариант и не предлагается. Безусловно предложения Александра Николаевича и Алексея Юрьевича можно рассматривать как метод выбора, в данном случае, но как вариант протезирование считаю нельзя сбрасывать со счетов. Говорить о целостности тазобедренного сустава после такой аугментации головки и не дай бог необходимости удаления стержня. Да и о малотравматичности тогда речи не будет. А поменяв стержень на стержень ( при условии долгожительства бабушки - дай бог ей здоровья), через очень непродолжительное время вопрос о протезированнии может возникнуть из-за колапса головки бедра.
В своём активе имею аналогичный случай, тоже у бабушки с французской фигурой 150 рост - 150 (ну может немногим меньше) вес, остеосинтез делал перевёрнутой мыщелковой бедренной пластиной LCP, при условии родственников, что она сразу станет на ногу, но без дополнительных финансовых вливаний на лечение, сделал по типу мостовидного, обмотал на всём пртяжении серкляжём. Однако несмотря на все извращения кость у бабки всётаки срослась. Да лет ей было 83.
Спасибо.
|
[
Ответить ]
|
Re: Перимплантный перелом бедра
Отправитель: Андрей Волна 09 Июль 2015, 12:08
|
Уважаемый Александр Александрович, наверное я виноват в том, что не пояснил подробнее, а Вы меня не вполне поняли поэтому.
Здесь речь не идёт об импровизированной аугментации цементом для эндопротезирования. Речь идёт об апробированной технологии, соблюдение которой не приводит к возникновению термальных некрозов головки бедра. Вот здесь можете прочитать подробнее:
Ex vivo evaluation of the polymerization temperatures during
cement augmentation of proximal femoral nail antirotation blades
Ladina Fliri, MSc, Mark Lenz, MD, Andreas Boger, PhD, and Markus Windolf
J Trauma, Volume 72, Number 4, 2012
Клиническое применение аугментации так же не приводит к осложнениям, в коих Вы столь уверены. Вот здесь первый европейский опыт аументации:
Injury 42 (2011) 1484 - 1490
При желании Вы легко можете найти и более свежие публикации
Конечно, я совершенно не исключаю, что подобные осложнения могут случиться и будут позднее описаны
Но, не столь с однозначной предопределённостью, о которой Вы говорите, мне кажется
Поэтому, что-что, а эндопротезирование здесь вряд ли показано
|
[
Ответить ]
|
|
Re: Перимплантный перелом бедра
Игорь 08 Июль 2015, 21:51
|
Зачем велосипед изобретать? Длинная версия и по возможности старый канал. А.Н. Мне кажется все сказал...
|
[
Ответить ]
|
Re: Перимплантный перелом бедра
Отправитель: Андрей Волна 08 Июль 2015, 22:04
|
Игорь, Вам - ясно. Коллеги же не без удовольствия, как мне кажется, обсуждают. Ведь это достаточно интересно - каждый кейс спроэцировать на свою личную практику и обсудить личное же решение.
В Вашем предложении - с аугментацией как поступим?
|
[
Ответить ]
|
|
Re: Перимплантный перелом бедра
Андил 08 Июль 2015, 23:01
|
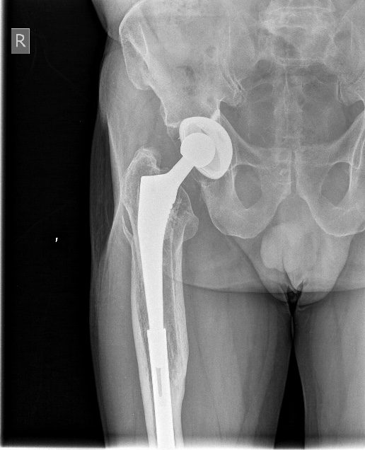
Разделяю мнение Александра Николаевича. И как наглядный пример сей идеи - рентгенограммы Алексея Юрьевича (Респект! Снимки прямо порадовали). Если совсем малоинвазивно - аугментация цементом вдоль всего гвоздя. Бабке в 90 лет должно хватить.
С ув.
|
[
Ответить ]
|
Re: Перимплантный перелом бедра
Volodymyr Kovalchuk 09 Июль 2015, 02:30
|
Как только увидел снимок, сразу промелькнула мысль - на старый гвоздь одеть новый ретроградный, именно это первым делом порекомендовал Шнеттлер. Отличные кейсы на этот счёт продемонстрировали Александр Николаевич и Алексей Юрьевич. По-моему, это очень даже reasonable вариант, учитывая аугментацию головки и остеопороз проксимального отдела.
|
[
Ответить ]
|
Re: Перимплантный перелом бедра
Александр 09 Июль 2015, 12:39
|
LISS с монокортикальной фиксацией в области PFNa
|
[
Ответить ]
|
Re: Перимплантный перелом бедра
Александр 09 Июль 2015, 12:43
|
Если ей надо сразу ходить, а сама не может, то замените PFNa на более длинный.
|
[
Ответить ]
|
Re: Перимплантный перелом бедра
Андрей Волна 09 Июль 2015, 17:40
|
Уважаемые коллеги, наша дискуссия давно вышла за пределы довольно таки узкой темы - темы периимплантных переломов и ушла на круги обсуждения переломов на фоне повышенной хрупкости костей и даже профилактики переломов при остеопорозе. Громадное спасибо!
Однако понятно, что пациентка не может ждать окончания и результатов нашего обсуждения (хотя в такой дискуссии, наверное, главное - это собственно обмен мнениями), просто физически она не выдержит этого. Поэтому она и была прооперирована после недлительной предоперационной подготовки примерно через 24 часа после поступления к нам.
При планировании операции мы с коллегами исходили из следующих посылов:
1. Операция, по возможности, должна быть минимально травматичной и занять наименьшее количество операционного времени. Кровопотеря крайне нежелательна, даже небольшая
2. Операция, по возможности, должна дать пациентке шанс ходить с минимальным использованием дополнительной опоры. Костыли по её кондициям невозможны.
Именно исходя из пункта два был выбран вариант интрамедуллярного ревизионного остеосинтеза.
Вопросы вызывала только необходимость удаления аугментированного клинка, так как такого опыта у нас (в стране?) пока ещё не было. Конечно, в зарубежных статьях я видел, что это возможно, но тем не менее...
А тем не менее клинок, очевидно, благодаря режущим кромкам каждого из отверстий, через которые цемент и попадает в головку и шейку бедра, удалился безо всякого напряжения.
Цемент реально был "срезан" и остался в головке/шейке.
Ну, а установить новый длинный гвоздь такого же диаметра - не проблема, естественно
Новый клинок так же пришлось аугментировать 3 мл специального цемента.
На момент - пациентка достаточно активна, сидит в кровати подолгу, ходит по палате с методистом.
Дорогие друзья, тем не менее, я услышал много возможных ярких, зачастую и неординарных решений, что будут мне полезны в дальнейшей практике. Дай Б-г только здоровья всем нам, как говорится
Ну а дискуссию мы вполне можем продолжить в рамках Курса "Переломы на фоне повышенной хрупкости костей и остеогериартрия", что пройдёт в СПб в октябре по председательством Стива Шелкана и Вашего покорного слуги
Как попасть? Все вопросы к Семенистому. Он - может :)
Спасибо!
|
[
Ответить ]
|
Re: Перимплантный перелом бедра
Отправитель: Алексей Семенистый 09 Июль 2015, 21:21
|
Не прада, я ничего такого на могу, Андрей Анатольевич) "Спасение утопающих дело рук самих утопающих".
Осталось 9 мест. Регистрация открыта. Требований два: членство в АО и пройденный Базовый курс.
|
[
Ответить ]
|
Re: Перимплантный перелом бедра
Отправитель: Денис Ёлкин 09 Июль 2015, 22:03
|
Спасибо Вам, Андрей Анатольевич, за интересный представленный случай.
|
[
Ответить ]
|
Re: Перимплантный перелом бедра
Отправитель: Денис Ёлкин 09 Июль 2015, 22:04
|
Спасибо Вам, Андрей Анатольевич, за интересный представленный случай.
|
[
Ответить ]
|
Re: Перимплантный перелом бедра
Отправитель: Alexander Larionov 10 Июль 2015, 20:21
|
Спасибо, Андрей Анатольевич! Ваш опыт очень важен! Буду иметь в виду и такой вариант и, возможно, меньше бояться аугментации клинка. Хотя и не очень понимаю суть аугментации при возможности введения 2-го деротационного винта. У Вас был раньше опыт удаления аугментированных клинков?
Коллеги! Помниться у Страйкера был протез ТБ сустава с длинной ножкой и дистальным блокированием. Кто-нибудь пользовался им? Есть ли опыт применения? Выпускается ли сейчас?
ААЛ
|
[
Ответить ]
|
Re: Перимплантный перелом бедра
Отправитель: Андрей Волна 10 Июль 2015, 23:25
|
Нет, раньше аугментированные лезвия я не удалял
Деротационный винт и аугментация работают по разному. Деротационный - простите, на то и деротационный, простите за тавтологию, что препятствует ротации. Что не исключает ни Кат-аута, ни Z эффекта
Аугментация улучшает в первую голову якорность имплантата. Причем, чем выраженнее остеопороз, тем ярче эффект. Случаев кат-аута при использовании аугментации клинка пока не описано. Я не встречал в литературе, во всяком случае. Ждём:)
|
[
Ответить ]
|
|
( Ответить )
|
|