AOTRAUMA.ORG Центр Илизарова  

Ортопедия и травматология Общие вопросы/General questions Help Информационные технологии в медицине
 вверх
 отправить
 поиск
 админ
 главная


Перелом таранной кости
Ортопедия и травматология Отправлено Gorchakov Konstantin 08 Июль 2015, 20:07
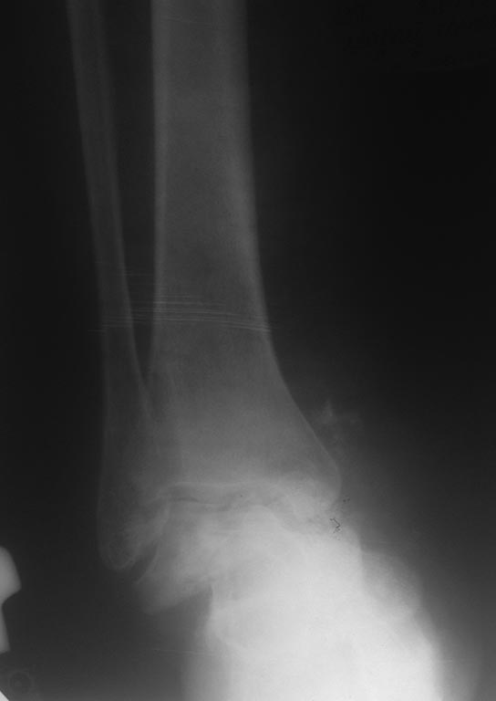
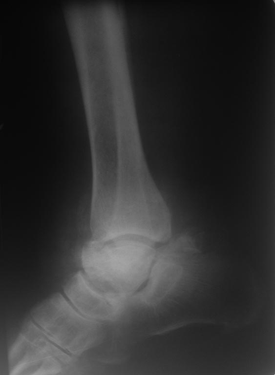
Перелом таранной кости. 56 лет женщина, подвернула правую стопу 06.07.15 не придала этому значения, продолжала ходить.
Постепенно стали усиливаться боли и деформация. 08.07.15 обратилась в поликлинику, больной сделан рентген . Из анамнеза страдает сахарный диабетом с 2002 года, онкопатологию отрицает. Хотелось бы узнать, уважаемые коллеги, о тактике лечения данной пациентки.

<  |  >

 

  • Сообщения о Ортопедия и травматология
  • Также Gorchakov Konstantin
  • Связаться с автором
  • Ответить

    Re: Перелом таранной кости
    Сергей 09 Июль 2015, 00:33
    Пожалуйста, боковую проекцию...
    [ Ответить ]

    Re: Перелом таранной кости
    Иван Строганов 09 Июль 2015, 10:33
    Такой переломо-вывих мог не беспокоить разве что при выраженной диабетической полинейропатии. Прогноз скверный. Вероятен исход в стопу Шарко.
    [ Ответить ]

    Re: Перелом таранной кости
    Vasily Bondarev 10 Июль 2015, 10:41
    Здравствуйте. Для принятия решения хорошо было бы получить рентгенограммы в проекции Mortise и Canale, лучше дополнить КТ-исследованием. Если возможно, выложите, пожалуйста и внешний вид стопы (фото).
    [ Ответить ]

    Re: Перелом таранной кости
    Gorchakov Konstantin 11 Июль 2015, 01:01
    Думали об КТ. Но выполнить КТ исследование затруднительно, вес больной около 130 кг, рентгенологи не одобряют. Мы не стали терять время и 10.07.15г. выполнили операцию: закрытая репозиция переломо - вывиха таранной кости. ЗЧКДО апп. Илизарова правой голени и стопы.
    [ Ответить ]


    ( Ответить )

    Powered by Zope  Squishdot Powered MedLink
    Посетитель: 0000288
      "По форме правильно, а по существу - издевательство" В.И.Ленин
    ©2001-2019Orthoforum Coordinator.
    [ Главная | Отправить сообщение | Поиск | Админ ]