AOTRAUMA.ORG Центр Илизарова  

Ортопедия и травматология Общие вопросы/General questions Help Информационные технологии в медицине
 вверх
 отправить
 поиск
 админ
 главная


Осложнение Hallux valgus
Ортопедия и травматология Отправлено Рамиль 08 Июль 2015, 21:41
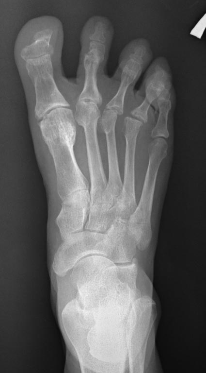
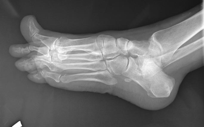
Пциентка Н, 58 лет. Больна с 2005г. Лечилась консервативно. Со слов, тогда было сильное искривление 1,2,3,4 пальцев в латеральную сторону.
В 2012г. операция: коррекция деформаций 1,2,3, 4 пальцев.Рецидив. В 2013г. – коррекция деформации 2,3,4 пальцев. С ноября 2014г. рецидив деформации 1,2,3,4 пальцев. Возможные варианты коррекции?

<  |  >

 

  • Сообщения о Ортопедия и травматология
  • Также Рамиль
  • Связаться с автором
  • Ответить

    Re: Осложнение Hallux valgus
    Бережной Сергей 09 Июль 2015, 02:31
    А что беспокоит пациентку? Есть ли натоптыши на подошве? Болит ли первый плюснефаланговый сустав? Или еще где болит? Лечим ведь пациента, а не деформацию. Если же исходить из имеющихся данных и отсутствия информации о ранее выполненных операциях, то необходимо выполнить обратную остеотомию Akin, чтобы устранить hallux varus; укорачивающие остеотомии 1-4 плюсневых костей (первой - для декомпрессии первого плюснефалангового сустава, поскольку имеются признаки его тугоподвижности - установка основной фаланги в положении подошвенного сгибания, а также hallux hyperextensus. Второй-четвертой плюсневых для того, чтобы легче было устранить отклонение кнаружи соответствующих пальцев). Остеотомии (дистальные) 2-4 плюсневых лучше не фиксировать. И выполнить остеотомии оснований основных фаланг 2-4 пальцев, которые зафиксировать на 4-5 недель повязкой в нужном положении, не прибегая к остеосинтезу. Конечно, оптимальным в подобном случае является чрескожный метод (выполнение остеотомий через проколы кожи).
    [ Ответить ]


    ( Ответить )

    Powered by Zope  Squishdot Powered MedLink
    Посетитель: 0181325
      "По форме правильно, а по существу - издевательство" В.И.Ленин
    ©2001-2019Orthoforum Coordinator.
    [ Главная | Отправить сообщение | Поиск | Админ ]