вверх
отправить
поиск
админ
главная
|
Остеомиелит предплечий у наркоманки |
 |
 |
 |
Отправлено Алексей Семенистый 09 Июль 2015, 04:22
Обратилась пациентка 26 лет с остеомиелитом обоих предплечий, значительной деформацией кистей, с обширным костным дефектом и некротической раной на левом предплечье. С ее слов и из представленной выписки известно, что в течении длительного времени употребляет(ла) наркотические в-ва (в последнее время метадон - последний раз около месяца назад). Утверждает, что "завязала". Внешность (за исключением рук) и интеллект вполне сохранены. В 2014 г. после в/в инъекций метадона отметила появление некрозов на предплечьях, 21.02.2014 г. после падения получила переломы костей правого предплечья. С 27.02.2014 г. по 26.03.2014 г. находилась на лечении в одной из московских ГКБ, гдевыполнена некрсеквестрэктомия костей обеих предплечий, ВХО ран. В дальнейшем наблюдалась амбулаторно.
Коллеги, возьмется ли кто из вас за этот случай? И что вообще можно сделать?
P.S. Пациентка очень настроена на лечение и какое-то минимальное восстановление функции для самообслуживания. Материальных проблем у семьи нет, могу себе позволить значительные затраты на лечение.
<
|
>
|
|
Ответить
|
Re: Остеомиелит предплечий у наркоманки
Андрей Волна 09 Июль 2015, 11:20
|
Алексей Юрьевич, дорогой друг, ну ты же знаешь, что это не вполне медицинская проблема. И доказательная медицина здесь вовсе не нужна. Собственного опыта достаточно. Все эти "точно завязал. и давно..." рассыпаются, как правило, в пух и прах. Нет, конечно, бывают исключения, но...
Вот совсем недавно опять поверил и прооперироровал одного из "точно завязал". Правда, и по сложности ситуация несравнима. Всего-навсего о подтаранном артродезе речь шла.
И? Не дожидаясь снятия швов улетел мальчик на Гоа. Наверное, очень искупаться хотел...
Звонит вот мама на днях - нога, говорит, гноится... Сейчас везёт его где-то из Индии
К вам отправлю, в ГБУЗ 13... Жди!
А в твоем случае, вполне возможно, это был так называемый "крокодил". Совсем плохо дело.
|
[
Ответить ]
|
Re: Остеомиелит предплечий у наркоманки
Отправитель: Алексей Семенистый 09 Июль 2015, 11:44
|
Про завязал на совсем я тоже не очень верю. Хотя лично знаю двоих, завязавших с героином уже более 15 лет. Конечно, отрезать эти руки шаловливые до шприцев проще всего. Но, возможно, хотя бы из любви к искусству кто-нибудь может предложить и попробовать сделать что-то другое?
|
[
Ответить ]
|
Re: Остеомиелит предплечий у наркоманки
Отправитель: Maxim Agalakov 09 Июль 2015, 13:49
|
Больше похоже на "крокодил", раньше у нас их много было, сейчас они на "соли" пересели. не слышал, чтоб с того или с другого спрыгивали. Помочь тут вряд ли чем-то возможно.
|
[
Ответить ]
|
|
Re: Остеомиелит предплечий у наркоманки
сергей 11 Июль 2015, 19:35
|
Не согласен с высказываниями выше. "Спрыгнул или нет" - не наше с вами право пророчить пациенту его судьбу. Бывает, что и отказываются от наркотиков. Вопрос был задан касаемо медицинского случая, а не социального. Лично я бы попробовал наложить аппарат Илизарова с базами в в/3 и н/3 предплечья, заложив своободные движимые кольца на будущее, для введения.. даже не репонируюших, скорее адаптирующих спиц. Восстановление оси конечности со свободными смежными суставами - это приоритет, на мой взгляд. Дальше по ситуации. Некрэктомии, дренирования в разных вариациях.. Пластики, в случае успеха первого этапа... Ампутация - это если уж совсем худо и вопрос встанет о сохранении жизни.
P.S. Грустно, что наши мэтры не способны предложить способы решение проблемы, а изыскивают словеса и случаи из практики, чтоб всех расчесать под одну гребенку. Не забывайте, этот форум читают и пациенты иногда. И наши с Вами тоже..
|
[
Ответить ]
|
Re: Остеомиелит предплечий у наркоманки
Отправитель: Андрей Волна 11 Июль 2015, 23:47
|
Сергей. Возьмите и сделайте. Это будет честно. Я же правдиво сказал - я не сделаю. Возьмите.
|
[
Ответить ]
|
Re: Остеомиелит предплечий у наркоманки
Отправитель: Алексей Семенистый 12 Июль 2015, 04:04
|
Сергей, умозрительно и я это себе так представляю. Но практического воплощения в своих руках не вижу. Возьметесь? Вопрос был именно в том, кто возьмется попытаться что-нибудьделать.
|
[
Ответить ]
|
Re: Остеомиелит предплечий у наркоманки
Отправитель: Maxim Agalakov 12 Июль 2015, 14:11
|
хватит троллить сергея, на мой взгляд ситуация тупиковая, может быть в лучших клиниках мира чего-нибудь имплантировали
|
[
Ответить ]
|
Re: Остеомиелит предплечий у наркоманки
Отправитель: Алексей Семенистый 14 Июль 2015, 03:18
|
Так и запишем: -"Отрезать нельзя сохранить",- только запятые расставить
|
[
Ответить ]
|
Re: Остеомиелит предплечий у наркоманки
Отправитель: Андрей Волна 14 Июль 2015, 15:23
|
Лёша, ну ты любого уговоришь... Ладно, присылай свою протеже, поговорю с ней. Можешь мой тел оставить
|
[
Ответить ]
|
Re: Остеомиелит предплечий у наркоманки
Отправитель: Сергей Никитин 14 Июль 2015, 18:30
|
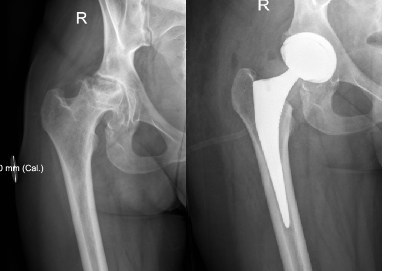
За последние 2-3 года прооперировал пациентов 8 молодого возраста с АНГБК из "бывших". У 3 точно все хорошо, одна умерла через 2 года после операции, остальных активно не вызывал, сами тоже не звонят... такой опыт с ними.

Проблемы с ними бывают, безусловно, один сбежал сразу после синтеза лодыжек, зимой в тапочках, но и отказать как-то тоже не могу... вот снимки девушки 27 лет с АНГБК, оперировал на прошлой неделе. Клянется, что "завязала"... дай Бог! Дочке 2 года...
|
[
Ответить ]
|
Re: Остеомиелит предплечий у наркоманки
Отправитель: Андрей Волна 15 Июль 2015, 18:10
|
Сначала исследуем сосуды правой руки (артерии и вены, у наркоманов часты венозные тромбозы). Там, судя по виду руки, что-то осталось. Потом наши замечательные пластические хирурги закрывают лоскутом (свободным или нет - определимся по р-ам исследования сосудов)зону рубцов в области бывших разгибателей. Затем - пластика дефекта лучевой кости, остеосинтез. Потом - транспозиция части сгибателей на разгибательную поверхность. Вот такой план после осмотра пациентки формируется по правой руке. Слева - нужна санация сначала. Потом посмотрим.
|
[
Ответить ]
|
Re: Остеомиелит предплечий у наркоманки
Отправитель: Андрей Волна 15 Июль 2015, 18:18
|
О! Не видел Вашей вставочки. Вы где здесь троллинг увидели? Парень впрямую меня оскорбил - цитата: " ...изыскивают словеса и случаи из практики, чтоб всех расчесать под одну гребенку."
Я ему и предложил сделать самому. Какой здесь троллинг? Весьма деликатный ответ на достаточно несбалансированные, так скажем, обвинения.
Впрочем, вступать с Вами по этому поводу в дискуссию не намерен. А вот ответить - посчитал нужным.
|
[
Ответить ]
|
|
Re: Остеомиелит предплечий у наркоманки
Alexander Chelnokov 14 Июль 2015, 18:25
|
Мне тоже про аппарат как минимум первым этапом думается. Может, в Курганский центр им. Илизарова попробовать ее пристроить, в гнойное отделение?
Ау, курганские коллеги - если из гнойной ортопедии никто это обсуждение не увидел, может, посоветуетесь с кем-то из этой клиники?
|
[
Ответить ]
|
Re: Остеомиелит предплечий у наркоманки
Отправитель: Konstantin Kudinov 17 Июль 2015, 11:41
|
я сегодня у наших специалистов по гнойной остеологии буду с консультацией, так и спрошу про это, не забуду.
|
[
Ответить ]
|
Re: Остеомиелит предплечий у наркоманки
Отправитель: Konstantin Kudinov 17 Июль 2015, 11:43
|
Наши берут ее, можно звонить хоть завтра, 8(912)570-80-07 Иван Иванович Мартель.
Если что, можно звонить прямо мне, телефон в подписи.
З. Ы. По-моему, от Иван Иваныча прозвучало что-то вроде "Можно это сделать по квоте". В общем, надо звонить и обговаривать. Все реально.
|
[
Ответить ]
|
|
( Ответить )
|
|