Ответить
|
Re: Помогите с тактикой оперативного вмешательства
Кудрат 14 Июль 2015, 19:23
|
Уважаемый Александр! По моему лучше лечить со скелетном вытяжением или Закрытый ЧКДО с помощью аппарата Илизарова. С Уважением Кудрат!!!
|
[
Ответить ]
|
Re: Перелом пилона и диафиза - помогите с тактикой оперативного вмешательства
Alexander Chelnokov 14 Июль 2015, 19:33
|
Вы бы рассказали, какое вмешательство планируется. И из чего выбор, в чем загвоздка, какие возможности на месте?
|
[
Ответить ]
|
Re: Перелом пилона и диафиза - помогите с тактикой оперативного вмешательства
Отправитель: Александр 18 Июль 2015, 11:46
|
Планировалось. Ревизия полости г/ст с-ва, анатомическая репозиция в области дистального метаэпифиза,малоинвазивная мостовидная фиксация б/б кости по принципу "ось-длина-ротация".
Вопрос основной состоял в том,нужно ли синтезировать м/б кость? При истинном пилоне это аксиома.А тут нюанс.
Также столкнулся с такой проблемой как отсутствие дистально-медиальной пластины у поставщика более 258 мм. Поэтому на случай неподходящей длины первый этап тот же, а дальше стержневой АВФ.
Из технических проблем главная - отсутствие ЭОП. Это беда.
|
[
Ответить ]
|
|
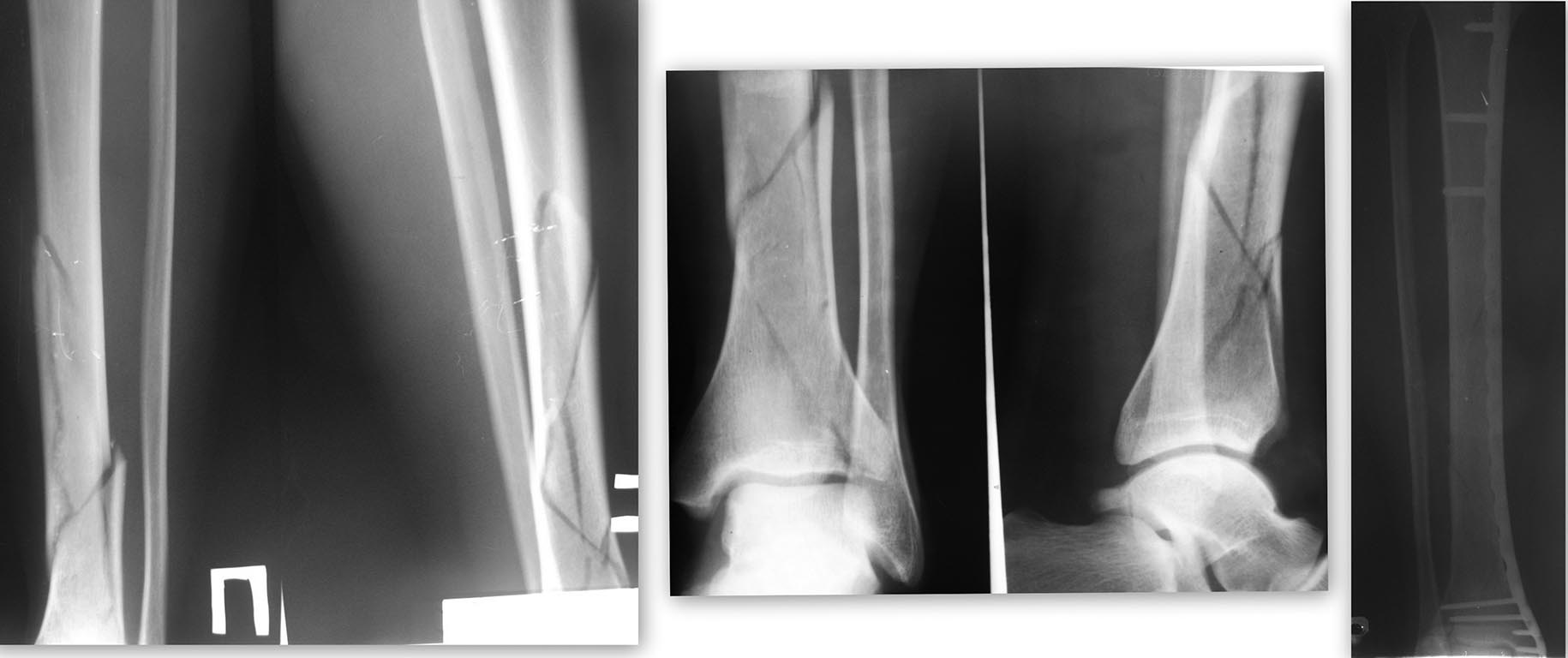
Re: Перелом пилона и диафиза - помогите с тактикой оперативного вмешательства
Кирилл 15 Июль 2015, 01:19
|
Доброго времени суток! Может как-то так? Закрытая репозиция, мостовидная фиксация. Случаю 4 года, функциональный результат хороший(прошу прощения за качество снимков)
|
[
Ответить ]
|
Re: Перелом пилона и диафиза - помогите с тактикой оперативного вмешательства
Отправитель: Александр 18 Июль 2015, 11:50
|
Подскажите,пожалуйста,какого производителя пластину Вы поставили. Мой поставщик длиннее 258 мм найти не смог.
|
[
Ответить ]
|
Re: Перелом пилона и диафиза - помогите с тактикой оперативного вмешательства
Отправитель: Кирилл 20 Июль 2015, 01:44
|
Synthes
|
[
Ответить ]
|
|
Re: Перелом пилона и диафиза - помогите с тактикой оперативного вмешательства
Александр 18 Июль 2015, 16:59
|
Уважаемый Кирилл предоставил отличный послеоперационный снимок. Мой хуже, конечно. Но без ЭОП и через два разреза вышло вот так.

Там ещё вверху винт добавил и в эпифизе один спонгиозный с фиксацией костного фрагмента и аутотрансплантата.
|
[
Ответить ]
|
( Ответить )
|