Ответить
|
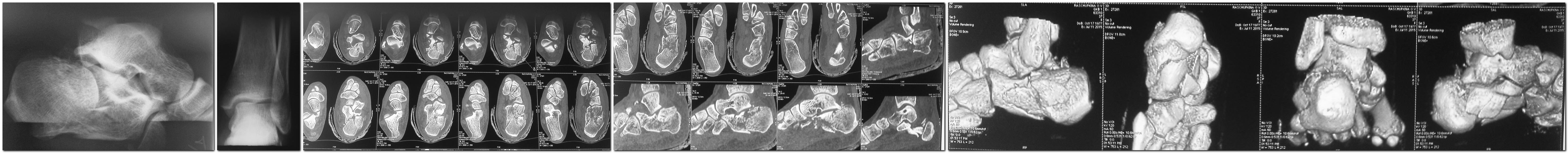
Re: Перелом пяточной кости
Кутков Александр Александрович 15 Июль 2015, 15:36
|
Добрый день!
Я больше склоняюсь в представленном случае в сторону оперативного лечения.
Смещение отломков в приведенном варианте типичное, поэтому последовательность действий по восстановлению пяточной кости прекрасно описана во всех последних руководствах по АО. Показания к оперативному лечению, раннее в одном из постов представлял очень хорошо Андрей Анатольевич Волна.
По поводу приобретения металлоконструкций наверное должна болеть голова у Вашей администрации.
Спасибо.
|
[
Ответить ]
|
Re: Перелом пяточной кости
Сергей 15 Июль 2015, 19:35
|
Да. Спасибо. Сегодня вопрос о приобретении пластины и Chronos решился положительно в администрации. Больше склонен к операции с пластиной.
|
[
Ответить ]
|
Re: Перелом пяточной кости
Александр 15 Июль 2015, 22:11
|
А вариант C-Nail не рассматривали?!
Оперативное лечение однозначно.
|
[
Ответить ]
|
Re: Перелом пяточной кости
Отправитель: Cергей 15 Июль 2015, 23:05
|
Первичный подтаранный артродез думали. Мне кажется еще успеем.
|
[
Ответить ]
|
|
Re: Перелом пяточной кости
Pavel L. 16 Июль 2015, 02:06
|
Здравствуйте! Костный аутотрансплантат из гребня, хорошая пластина LCP, что то так себе на пятку ставить не нужно. Удачи!
|
[
Ответить ]
|
Re: Перелом пяточной кости
Андрей Волна 16 Июль 2015, 09:22
|
Уважаемые коллеги, представлен хороший пример для того, что бы вновь оценить необходимость хирургии смещённых внутрисуставных переломов пяточной кости в соотношении с нашими возможностями. Ибо не так много локализаций, где некорректно выполненное вмешательство может нанести пациенту несопоставимо больший вред, чем консервативное лечение. Далеко не каждый случай консервативного лечения заканчивается необходимостью подтаранного артродеза, более того, даже ремоделирование сустава под действием нагрузки с годами возможно (Buckley R, Tough S, McCormack R et al. J Bone Joint Surg Am. 2002 Oct;84-A(10):1733-44)
Поэтому, из списка возможных вмешательств мы сразу же должны исключить так называемый "первичный артродез". Это необоснованно, непредсказуемо, более того, крайне травматично в ситуации несросшегося перелома.
Каковы цели в хирургии смещённых внутрисуставных переломов пяточной кости? 1. Восстановление сустава. Это понятно, это общий принцип лечения внутрисуставных переломов. 2. Восстановление формы пяточной кости. Для функции это имеет не меньшее значение, нежели восстановление собственно сустава
Что можно использовать в данном случае?
- Конечно, открытая репозиция с фиксацией пластиной при корректном исполнении позволяет и ликвидировать смещение суставной поверхности, и восстановить форму. При хорошем качестве кости пластина при небольшом количестве внутрисуставных фрагментов (а здесь два крупных отломка) может быть как традиционной, так и блокированной. В последнем случае пластика дефекта совершенно необязательна. Да и с традиционной пластиной этого можно избежать при известных хирургических навыках
- Если бы пациенту при такой вот рентгенологической картине было бы лет так 60-65, тогда под контролем ЭОПа можно долотом подправить суставную, на столько, насколько это возможно, ввести джойстик в пяточный бугор, исправить смещение, малоинвазивно фиксировать винтами
- То же самое можно сделать и без репозиции суставной, только для коррекции положения пяточного бугра (Совсем старый или совсем нездоровый пациент)
- АВФ - возможен, если сосредоточиться именно на том, что можно с помощью аппарата получить - восстановление формы пятки. Пяточный бугор можно низвести, устранить варус и укорочение. Фиксация аппаратом около 6 недель в режиме обязательной нагрузки. Почему нет?
Ну, и консервативное лечение, особенно если нет соответствующих навыков, никто ещё не отменял. Активное консервативное лечение, имею ввиду.
Наверное, можно найти ещё варианты. Но, я бы принимал решение в этом поле.
Андрей
|
[
Ответить ]
|
Re: Перелом пяточной кости
Отправитель: Alexander Chelnokov 16 Июль 2015, 09:43
|
тогда под контролем ЭОПа можно долотом подправить суставную, на столько, насколько это возможно, ввести джойстик в пяточный бугор, исправить смещение, малоинвазивно фиксировать винтами
И закрыто ввести C-Nail.
|
[
Ответить ]
|
|
Re: Перелом пяточной кости
Paul 16 Июль 2015, 15:44
|
В данном случае имеются три крупных отломка, промежуточный фрагмент ушёл вниз, а пяточный бугор сместился кнаружи и "укоротился" - сместился кпереди, ну и, конечно, сместился краниально. Такой перелом достаточно просто репонируется закрыто с последующей фиксацией спицами (Патент №2368341 «Способ лечения переломов пяточной кости». Приоритет изобретения 04.09.2006 г. Жуков П.В., Стельмах К.К.). Кстати, Купитман сделал диссертацию - технология та же. Главное - результаты очень даже хорошие.
|
[
Ответить ]
|
Re: Перелом пяточной кости
Отправитель: Андрей Волна 16 Июль 2015, 16:51
|
Много способов и возможностей (вернее так - они есть) восстановить форму пяточной кости. Поэтому, если задача восстановления собственно сустава не ставится - этот способ имеет право на существование в ряду всех других, как приведённых выше, так и не упомянутых. Восстановить же подтаранный сустав закрыто не получится. При всём моём уважении к Купитману. Впрочем, повторюсь, не всегда и нужно ставить такую задачу.
|
[
Ответить ]
|
|
Re: Перелом пяточной кости
Александр 16 Июль 2015, 18:49
|
C-nail малоинвазивная методика которой сложно навредить (посмотрите в инете - не реклама!!!).
На место можно поставить и закрыто.
Пластины, спицы, винты - это пройденный этап.
|
[
Ответить ]
|
Re: Перелом пяточной кости
Отправитель: Андрей Волна 16 Июль 2015, 20:02
|
Сколько этих методик, "решающих все проблемы", мне удалось упустить... В одном только эндопротезировании тазобедренного сустава в свое время я так и не увлекся ресерфесингом, большими металлическими головами, парой трения металл-металл, ножками проксимальной фиксации. А я как оставался с керамикой - полиэтилен, что "пройденный этап" так и остаюсь. Проидет и это. Не обязательно слепо следовать за производителем. Особенно в тех моментах, что касаются репозиции суставной поверхности. Впрочем, я не собираюсь Вас разубеждать. Просто запомните, что Вам об этом говорили.
|
[
Ответить ]
|
Re: Перелом пяточной кости
Отправитель: Alexander Chelnokov 16 Июль 2015, 20:57
|
Приверженность к названному варианту эндопротезирования не говорит ни за, ни против чего-либо в лечении переломов пятки.
Конгруэнтность таранно-пяточного сустава надо восстанавливать безотносительно к методу окончательной фиксации. Гвоздик или внутрикостная пластинка всего лишь позволяют избежать широкого латерального доступа и связанных с этим проблем.
|
[
Ответить ]
|
Re: Перелом пяточной кости
Отправитель: Андрей Волна 16 Июль 2015, 21:29
|
Говорит только о том, что не всегда нужно следовать за модой, диктуемой производителем. Не передергивайте. Вы прекрасно понимаете, что я имею ввиду.
|
[
Ответить ]
|
Re: Перелом пяточной кости
Отправитель: Alexander Chelnokov 17 Июль 2015, 01:11
|
В случае с C-Nail никакой производитель ничего не диктовал. У нас внутрикостный остеосинтез пятки выполнялся задолго до появления этих штифтов в России - рекон пластинками и укороченными предплечными штифтами, свои всякие изобретали... Так что мы сами искали такой имплантат. И этот гвоздик с удобными инструментами очень пришелся впору. Есть еще франуцзский Calcanail, но у него другая идеология, и хуже он, и недоступен.
|
[
Ответить ]
|
Re: Перелом пяточной кости
Отправитель: Андрей 17 Июль 2015, 09:17
|
Позволю себе ответить в последний раз Уж простите великодушно.
Нет "лучшего" приема в дискуссии, чем вырвать из контекста фразу и спорить не по сути, а вот с этой вот фразой. Этот прием практически столь же древний, как и мир. Так и было проделано с моим посылом о том, что некоторые этапы развития того или иного процесса можно пропустить.
Заметьте. Я не спорил с Вами об этом гвозде. Я вообще с Вами не спорил. Я прекрасно понимаю, что в Вашем с нами случае мы говорим практически об одних и тех же вещах. Более того, повторю то, что мне уже доводилось говорить неоднократно. Если ты понимаешь принципы лечения переломов, то, с известным и большим допущением всё равно, чем тот или иной перелом фиксировать. Принципы - впереди. Метод - дальше. Потом - устройство.
Более того, я даже и не спорил с Александром. Я просто подверг сомнению тезис о том, что появление нового имплантата перечеркивает все доныне существующие. И мой пример как раз был призван продемонстрировать, а в эндопротезировании, столь далеком от переломов пятки, Вы здесь безусловно правы, это можно показать очень наглядно - только на памяти ныне работающего поколения канули в лету многие техники, продвигаемые как способные "решить все проблемы".
Вот с этим положением я как раз и выразил свое несогласие.
К сожалению, и не по моей вине, дискуссия ушла достаточно далеко от обсуждаемой темы.
В этой ситуации считаю для себя оправданным решение выйти из обсуждения.
Спасибо.
|
[
Ответить ]
|
Re: Перелом пяточной кости
Отправитель: Alexander Chelnokov 17 Июль 2015, 12:55
|
некоторые этапы развития того или иного процесса можно пропустить.
Исчезновение в реке забвения разных модных некогда техник, например, в эндопротезировании - не имеет никакого отношения к обсуждаемому конкретному вопросу. Этот дискуссионный прием называется "удар по соседним клавишам". Мол, если это верно там, то верно и здесь.
Но именно в контексте обсуждаемой проблемы - перелома пятки - внутрикостный остеосинтез не стоит с ходу относить к тому, что "можно пропустить". Появление индустриальных внутрикостных имплантатов для пятки не "перечеркивает доныне существующие" там, где привержены традиционным подходам. Пока оставим за скобками, вынужденно или иррационально. В нашей клинике, например, последний традиционный остеосинтез пятки пластиной был сделан лет 5 назад.
Патетическая фраза "Ибо не так много локализаций, где некорректно выполненное вмешательство может нанести пациенту несопоставимо больший вред, чем консервативное лечение." абсолютно обоснована в контексте традиционного накостного остеосинтеза. А малоинвазивный внутрикостный делает хирургию безопаснее у диабетиков, курильщиков, при трофических нарушениях. Как-то так.
|
[
Ответить ]
|
Re: Перелом пяточной кости
Отправитель: Александр 17 Июль 2015, 22:01
|
А подскажите,пожалуйста,врзможна ли установка C-Nail без ЭОПа? Ибо нет такового.
|
[
Ответить ]
|
Re: Перелом пяточной кости
Отправитель: Alexander Chelnokov 18 Июль 2015, 11:21
|
Железку с кондуктором можно засунуть, не глядя, куда угодно. ЭОП нужен в куда большей мере для закрытой репозиции.
|
[
Ответить ]
|
Re: Перелом пяточной кости
Отправитель: Александр 19 Июль 2015, 14:03
|
Задаи вопрос иначе. Целесообразно ли стввить C-Nail без ЭОП? Оригинальная методика ведь тоже предусматривает элементы о/репозиции.
|
[
Ответить ]
|
Re: Перелом пяточной кости
Отправитель: Alexander Chelnokov 19 Июль 2015, 21:54
|
На этот вопрос можно ответить только интуитивно. Не думаю, что у кого-то есть заметный опыт использования малоинвазивного остеосинтеза пятки без ЭОП.
"Элементы о/репозиции" предусматривают использование рентгеновского телевизора.
Наверно, если нужда заставит делать это - какие-то наработки появятся.
Можно вспомнить давнюю уже работу И.В.Фишкина, где интраоперационно делали снимки пятки с металлической сеткой с разной формой ячеек по
обеим сторонам пятки, по отпечаткам сетки на коже определяли точки введения спиц и т.п.
Если нет ЭОП - лучше отправить пациента туда, где он есть.
|
[
Ответить ]
|
Re: Перелом пяточной кости
Отправитель: Виталий 18 Июль 2015, 03:33
|
Малоинвазивный внутрикостный остеосинтез безусловно делает хирургию безопаснее, но называть C-Nail малоинвазивным... это очеть громко сказано. Даже традиционный остеосинтез пластиной менее травматичен. В каждом методе как бы он ни нравился увлекаться пожалуй не стоит, доходит до перегибов. К примеру АВФ тоже в определенных случаях очень хорош, но когда в некоторых клиниках у нас в стране его используют абсолютно при ВСЕХ переломах.... Стоит всё же подходить дифференцированно.
Зачем лезть в глотку через анус?!
|
[
Ответить ]
|
Re: Перелом пяточной кости
Отправитель: Alexander Chelnokov 18 Июль 2015, 11:17
|
Даже традиционный остеосинтез пластиной менее травматичен.
Чиво? Это вот такое вот - менее травматично?
Тогда это, видимо, более травматично?

И опять "к примеру АВФ" - очередной "удар по сосединм клавишам". Очевидно, что "перегибы с АВФ в некоторых клиниках" не имеют никакого отношения к обсуждаемой теме.
Малоинвазивный внутиркостный остеосинтез пятки (и до появления индустриальных штифтов он проводился) - это как раз пример дифференцированного подхода. И в сравнении с ним - традицинный накостный не ближе ли к Вашей высокохудожественной метафоре про глотку и анус?
|
[
Ответить ]
|
Re: Перелом пяточной кости
Отправитель: Виталий 18 Июль 2015, 11:57
|
Конечно если сравнивать самый нелучший пример остеосинтеза пластиной и самый лучший со штифтом то возразить нечего, победителей не судят, но для восстановления задней фасетки как правило немного раскрывать открыто приходится и со штифтом, а суммировав все разрезы ничуть не меньше получится рана, чем с пластиной.
|
[
Ответить ]
|
Re: Перелом пяточной кости
Отправитель: Alexander Chelnokov 19 Июль 2015, 18:08
|
Так открывать - точно не приходится. И десять разрезов по 1 см - это не один 10 см.
|
[
Ответить ]
|
Re: Перелом пяточной кости
Отправитель: Виталий 18 Июль 2015, 12:06
|
К тому же стоит учитывать и тот факт что далекооо не все травматологи так виртуозно могут собирать на штифте как Вы, а если брать массово, то ИМХО предпочтение все же стоит отдавать пластине.
|
[
Ответить ]
|
Re: Перелом пяточной кости
Отправитель: Alexander Chelnokov 19 Июль 2015, 18:11
|
Эти операции у нас в клинике делают другие специалисты, в том числе молодая довольно докторша. "Если брать массово" - любой методике надо научиться. Те, кто владеет обеими - предпочитают малоинвазивный вариант.
|
[
Ответить ]
|
Re: Перелом пяточной кости
Отправитель: Alexander Konovalov 19 Июль 2015, 22:30
|
Не только в УНИИТО используют, но и в Свердловской области данная методика "поднимается". А если ничего не пробовать и не делать, тогда ничего и не получится!
|
[
Ответить ]
|
|
Re: Перелом пяточной кости
Maxim Agalakov 17 Июль 2015, 10:13
|
перелом по типу "языковидного фрагмента", подойдет методика Essex-Lopresti, дешево и сердито. А можно и ничего не делать, я на таких пятках уже 30 лет хожу, больших проблем не испытываю.
|
[
Ответить ]
|
Re: Перелом пяточной кости
Отправитель: Анатолий 23 Июль 2015, 18:43
|
"я на таких пятках уже 30 лет хожу, больших проблем не испытываю"-
...можете выложить снимки для подтверждения своих слов?!
|
[
Ответить ]
|
Re: Перелом пяточной кости
Отправитель: Анатолий 24 Июль 2015, 21:26
|
https://www.vumedi.com/video/calcaneal-malunions/?utm_campaign=Technique+and+Graft+Modification+for+ACL+Reconstruction+in+Multi-Ligament+Injuries&utm_term=Calcaneus+Fracture&utm_content=Technique+and+Graft+Modification+for+ACL+Reconstruction+in+Multi-Ligament+Injuries&utm_source=USER+Foot+%26+Ankle%2C+Trauma_5848&utm_medium=Video&token=eyJyZWNpcGllbnQiOjEwNjY2MjYwOCwidXNlciI6NTAxMTksImVtYWlsIjoiYmFybmV0QGluYm94LnJ1In0:1ZFKXN:VRCOQ_PR2lq-AN-LUxbFGhbtAIs
|
[
Ответить ]
|
|
Re: Перелом пяточной кости
Александр 17 Июль 2015, 20:50
|
1. Под наркозом закрыто отрепонировать. Наложить балеринку до спадения отёка. Потом циркулярная повязка.
2. Открыть, отрепонировать,зафиксировать метпластиной. Б/у можно найти, если на новую денег нет.
|
[
Ответить ]
|
Re: Перелом пяточной кости
Михаил Купитман 03 Август 2015, 13:02
|
Жалко, что не смог написать сразу - не был в России.
Мы такие переломы лечим с применением минимально-инвазивной репозиции по собстсвенной методике. Для этого нужен ЭОП, и набор аппарата Илизарова. Репозиция пердставленного перелома не представляет значительных затруднений. Выполняется всеми врачами нашего травматологического отделения. Её легко воспроизвести.
Остеосинтез выполняем аппаратом аксиальной фиксации(комплектуется из делалей аппарата Илизарова) или винтами. Обе методики остеосинтеза просты, надежны и доступны для любого травматологического отделения.И в экстренном поряжке - так же доступны.
Аппарат аксиальной фиксации позвлляет раннюю нагрузку(особенно важно при двусторонних переломах пяточных костей и переломов контрлатеральной конечности) и восстановление объема движений. Осложнения минимальные.
Готов рассказать про особенности применяемой нами методики любому травматологу.
В последнее время практически не использую при таких переломах открытую репозицию. Общался с людьми, применяющими минимально-инвазивную репозицию и остеосинтез внутрикостными конструкциями. Думаю, что это хорошая методика. У нее так же есть свои преимущества и недостатки.
|
[
Ответить ]
|
Re: Перелом пяточной кости
Отправитель: Alexander Chelnokov 04 Август 2015, 12:18
|
Готов рассказать про особенности применяемой нами методики любому травматологу.
Любые травматологи будут признательны за рассказ и картинки, тут очень удобное место для этого.
Спасибо заранее.
|
[
Ответить ]
|
|
Re: Перелом пяточной кости
Cергей 04 Август 2015, 15:37
|
Спасибо за активное обсуждение. Прооперировали 2 недели назад с пластиной LCP и винтами, Chronos. Заживление проблемное. Сохраняется скудное серозное отделяемое. Швы сегодня сняли. По техническим причинам не получается выложить послеоперационные снимки. Как только, так сразу выложу.
|
[
Ответить ]
|
Re: Перелом пяточной кости
Отправитель: Михаил Купитман 06 Август 2015, 22:59
|
Архив zip, 52 Mb.
Спасибо Вам Александр Николаевич за приглашение на форум.
Коротко о себе: работаю в МУЗ ГБ №3 г. Магнитогорска Челябинской области в отделении экстренной травмы. Соответственно на себе испытал все реалии современной травматологии в России.
В отделении ранее активно применялся накостный остеосинтез переломов пяточной кости. Про шкалу Андрея Анатольевича Волны (ABCDEF) мы тогда не знали (думаю, что могли бы иметь меньшее количество осложнений). Но осложнений было много. Частая причина – краевые некрозы кожных лоскутов и подлоскутные гематомы. Мало привлекательно, когда после снятия швов из раны длительно подбегает серозная жидкость или видна пластина.
Неудачи в накостном остеосинтезе заставили нас искать другие возможности. Начали с методики Essex-Lopresti, только остеосинтез выполняли не стержем, а пучком аксиально проведенных спиц. Количество осложнений резко уменьшилось.
В настоящее время используем следующий подход:
1. Репозиция минимально-инвазивно
2. Остеосинтез аппаратом аксиальной фиксации или винтами
Репозицию выполняем следующим образом:
Определяем тип перелома:
1. К переломам I типа относим все краевые переломы, переломы с ротационным типом смещения (при этих переломах пользуемся рычаговыми способами репозиции: шилом, стержнями Шанца и т.д)
2. К переломам второго типа относим любой перелом при котором есть импрессия хотя бы одного фрагмента суставной поверхности. При этом типе перелома репозицию выполняем поэтапно: 1) Репозиция пяточного бугра по отношению к телу пяточной кости и фиксация аксиально спицей; 2) Дистракция для формирования пространства в подтаранном суставе для последеющей редукции осколков суставной поверхности; 3) Шилом с подошвенной поверхности стопы выполняем отверстие в направлении осколков суставной поверхности и толкателем произодим их репозицию снизу-вверх согласно их смещению. При этом каждый осколок репонируем отдельно (можно его временно фиксировать спицей к таранной кости). При необходимости возможны манипуляции шилом. В окончании репозиции восстанавливаем ширину пяточной кости сдавлением с боковых поверхностей руками или костными щипцами. При необходимости можно установить субхондрально винт (делаю это редко).
При репозиции осколки суставной поверхности часто сами правильно ориентируются о суставную поверхность таранной кости. Возможно управлять ими при помощи толкателя.
Остеосинтез мы выполняем либо винтами, либо аппаратом собственной конструкции. Выбор этих способов остеосинтеза был обусловлен их доступностью и эффективностью. Оба фиксатора присутствуют в операционной в любое время.
Аппарат аксиальной фиксации позволяет нашим пациентам передвигаться с опорой в спецобуви и рано восстанавливать функцию смежных суставов. Аппрарат функционирует на принципе педнапряженной арочной конструкции в котором два пучка спиц, проведенных аксиально наряжены по отношению друг к другу о точки опоры на пяточной кости.
После операции сразу приступаем к восстановлению объема движений в голеностопных суставах, суставах стопы и учим пациента передвигаться в спецобуви с разгрузкой заднего отдела стопы. При двусторонних переломах пяточных костей разрешаем нагрузку в спецобуви на обе пяточных кости (сначала пациент ходит с ходунками, потом с костылями). При переломе пяточной кости и контралатеральной конечности – опора при ходьбе выполняется на стопу со сломанной пяточной костью. Спецобувь используем заводского типа или сами изготавливаем её из резиновых тапок «на платформе» отрезая необходимые части подошвы. В итоге: размеры аппарата минимальные, а функциональные возможности хорошие.
Метод остеосинтеза перелома пяточной кости для конкретного больного мы выбираем индивидуально. Я всегда предпочитаю аппарат при двусторонних переломах пяточных костей и переломах контралатеральной конечности.
Во вложении фото снимков пациента на всех этапах лечения.
|
[
Ответить ]
|
|
Re: Перелом пяточной кости
Михаил Купитман 10 Август 2015, 14:47
|
Сергей, Вы можете выложить результат остеосинтеза и фото раны?
|
[
Ответить ]
|
Re: Перелом пяточной кости
Сергей 17 Август 2015, 08:32
|

снимки, фото если получится обработать попозже
|
[
Ответить ]
|
Re: Перелом пяточной кости
Михаил Купитман 17 Август 2015, 09:54
|
Сергей, посмотрите файл, который я сбросил ранее. Этот перелом можно было про оперировать с меньшими рисками и экономическими затратами. При это остеосинтез возможно выполнить винтами или аппаратом.
Если интересно, то могу лично пообщаться и рассказать более подробно.
|
[
Ответить ]
|
Re: Перелом пяточной кости
Отправитель: Сергей 19 Август 2015, 09:56
|
Да не спорю. Только за.
|
[
Ответить ]
|
Re: Перелом пяточной кости
Отправитель: Сергей 20 Август 2015, 09:33
|
Фото. 2 дня отделяемого нет. Получает по 1,0 гр ванкомицин 3 раза в день. Местно перевязки с бетадином.
|
[
Ответить ]
|
Re: Перелом пяточной кости
Отправитель: Михаил Купитман 20 Август 2015, 16:21
|
Посмотрите файлы в присланном мной ранее приложении и напишите мне на почту. Пообщаемся по скайпу.
|
[
Ответить ]
|
Re: Перелом пяточной кости
Отправитель: Сергей 21 Август 2015, 08:23
|
Технические проблемы с компъютерами. Не могу открыть ни вложение ни скайп. Ни на работе ни дома. Дома смог обработать снимки и фото, а с работы отправить.
|
[
Ответить ]
|
|
Re: Перелом пяточной кости
Михаил Купитман 20 Август 2015, 16:41
|
Мой логин скайп kupitman_mih.
|
[
Ответить ]
|
Re: Перелом пяточной кости
Отправитель: Сергей 21 Август 2015, 08:29
|
Только если на почту. Я хоть на работе открою. solovei975@mail.ru
|
[
Ответить ]
|
|
Re: Перелом пяточной кости
Maxim Agalakov 21 Август 2015, 14:06
|
по просьбам трудящихся
2015807150042.zip
137KB (141311 bytes)
|
[
Ответить ]
|
( Ответить )
|
|