AOTRAUMA.ORG Центр Илизарова  

Ортопедия и травматология Общие вопросы/General questions Help Информационные технологии в медицине
 вверх
 отправить
 поиск
 админ
 главная


Hallux abductovalgus
Ортопедия и травматология Отправлено Виктор 15 Июль 2015, 15:24
Обратилась больная 75 лет с нallux abductovalgus. начало деформации отмечает с 16 лет. лечение не проводилось.
причина обращения - появление болезненных, длительно незаживающих пролежней на подошвенной поверхности головок 1-х плюсневых костей. Уважаемые коллеги,подскажите пожалуйста план реконструктивной операции.

<  |  >

 

  • Сообщения о Ортопедия и травматология
  • Также Виктор
  • Связаться с автором
  • Ответить

    Re: Hallux abductovalgus
    Бережной Сергей 16 Июль 2015, 00:51
    Случай очень сложный. И по рентгенограмме в одной проекции разобраться невозможно. Как минимум нужна еще одна проекция и фото стопы с тыльной и подошвенной стороны. Ведь по одному снимку неясно, какие пальцы лежат сверху, какие снизу, в каком состоянии сейчас пролежни. А еще лучше - компьютерная томограмма, которая позволит точно понять взаимоотношения фаланг и плюсневых костей, размеры, форму и положение сесамовидных костей.
    [ Ответить ]

    Re: Hallux abductovalgus
    Денис Ёлкин 16 Июль 2015, 09:48
    Хорошо бы увидеть фото стопы.
    [ Ответить ]

    Re: Hallux abductovalgus
    Виктор 19 Июль 2015, 13:12

    Выкладываю фото стоп в разных ракурсах.
    Дополнительные рентгенограммы выложу через пару дней (снимки у больной на руках)

    [ Ответить ]

    Re: Hallux abductovalgus
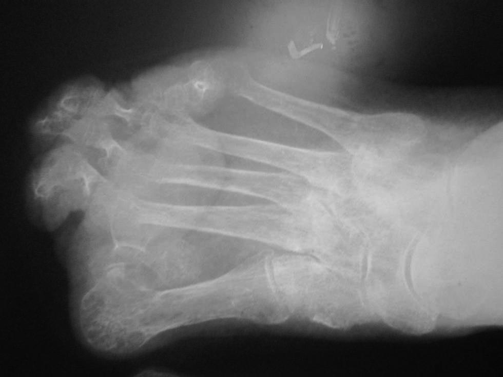
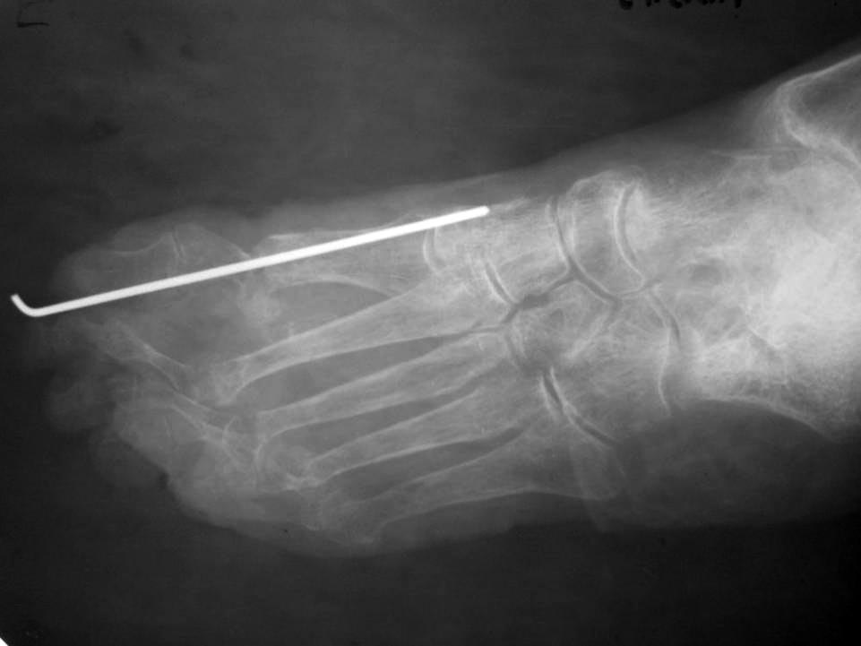
    Виктор 20 Июль 2015, 02:12

    рентген

    [ Ответить ]

    • Re: Hallux abductovalgus
      Отправитель: Анатолий 20 Июль 2015, 15:26
      Cдается мне- "болезненный пролежень"- под головкой 2-й плюсневой (выложите фото подошвенной поверхности). Исходя из этого- чрескожные остеотомии 2,3,4 плюсневых плюс-минус фаланг дадут желамеое облегчение пациентке.


      [ Ответить ]
    Re: Hallux abductovalgus
    Бардюгов Петр 11 Август 2015, 22:48
    Тема "заглохла"...
    можно узнать о судьбе пациентки?
    [ Ответить ]

    Re: Hallux abductovalgus
    Виктор 22 Август 2015, 21:58

    Пациентке выполнен артродез 1-ого плюснефалангового сустава, резекции говок 2-3 плюсневых костей, субкапитальная остеотомия 4 плюсневой кости, тенотомиии разгибаталей 2-5 п. стопы. Раны зажили первичным натяжением.
    Выражаю огромную признательность Бережному С.Ю. за огромную консультативную помощь по данному случаю.

    [ Ответить ]


    ( Ответить )

    Powered by Zope  Squishdot Powered MedLink
    Посетитель: 0174141
      "По форме правильно, а по существу - издевательство" В.И.Ленин
    ©2001-2019Orthoforum Coordinator.
    [ Главная | Отправить сообщение | Поиск | Админ ]