AOTRAUMA.ORG Центр Илизарова  

Ортопедия и травматология Общие вопросы/General questions Help Информационные технологии в медицине
 вверх
 отправить
 поиск
 админ
 главная


Перелом ладьевидной кости
Ортопедия и травматология Отправлено Бен Эльайфар М. 21 Июль 2015, 14:25
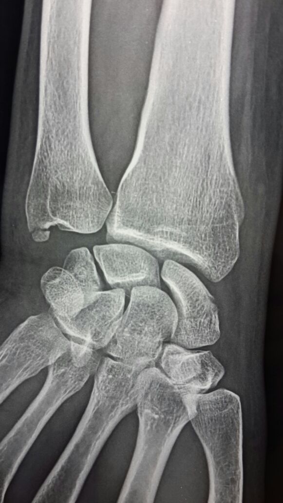
Уважаемые коллеги, перелом ладьевидной кости и шиловидного отростка локтевой кости, возраст больного 40 лет.
Я наложил пистолетную гипсовую повязку, коллеги рекомендуют иммобилизировать локтевой сустав на 2-3 недели, одни говорят чтобы блокировать проносупинацию, другие не могут аргументировать (просто привикли накладывать гипс с захватом локтевого сустава). Швейцарские хирурги кисти Chick и Papaloïzos в своей последней книге: Экстренние ситуации кисти и запястья (2015 г.) рекомендуют в таком случае гипс от предплечья до головок пястных костей, и ещё пишут что польза от иммобилизации основания большого пальца (пястнофалангового сустава) научно не доказана. Как Вы делаете, уважаемые коллеги? И как нам быть с новыми рекомендациями?

<  |  >

 

  • Сообщения о Ортопедия и травматология
  • Также Бен Эльайфар М.
  • Связаться с автором
  • Ответить

    Re: Перелом ладьевидной кости
    SAGo 22 Июль 2015, 16:09
    А когда был перелом? Что Вы подразумеваете под термином "пистолетная повязка": углы сгибания-разгибания, отведения-приведения кисти, положение 1 пальца? Что такое основание 1 пальца: это пястно-фаланговый или запястно-пястный сустав?
    [ Ответить ]

    Re: Перелом ладьевидной кости
    Бен Эльайфар М. 22 Июль 2015, 22:53
    Больной сделал снимок и обратился в день травмы.
    Основание большого пальца, это была цитата из книги, автор имел ввиду запястно-пястный сустав, а так реальнее наложить иммобилизацию с захватом пястно-фалангового сустава первого пальца.
    Пистолетная повязка описана во всех учебниках травматологии и СССР и РФ, я её наложил в положении лёгкого разгибания л/зап сустава, с лучевой девиацией, и оппозицией первого пальца.
    [ Ответить ]

    Re: Перелом ладьевидной кости
    Бен Эльайфар М. 22 Июль 2015, 22:54
    Больной сделал снимок и обратился в день травмы.
    Основание большого пальца, это была цитата из книги, автор имел ввиду запястно-пястный сустав, а так реальнее наложить иммобилизацию с захватом пястно-фалангового сустава первого пальца.
    Пистолетная повязка описана во всех учебниках травматологии и СССР и РФ, я её наложил в положении лёгкого разгибания л/зап сустава, с лучевой девиацией, и оппозицией первого пальца.
    [ Ответить ]

    • Re: Перелом ладьевидной кости
      Отправитель: SAGo 23 Июль 2015, 15:17
      Спасибо, сейчас уже понятно, что такое основание 1 пальца: то есть запястно-пястный сустав, а не пястно-фаланговый, как Вы написали сначала.

      Если можно, то дайте ссылку на все учебники травматологии СССР и РФ, где описана "пистолетная повязка". Я же не просто так спросил про углы и 1 палец при "пистолетной повязке". Насколько я понял, то Вы наложили "пистолетную повязку" совсем не так, как рекомендуется "во всех учебниках".

      По поводу необходимости захвата локтевого сустава при иммобилизации никто еще толком четко объяснить ничего не может. Кто знает, насколько супинация-пронация предплечья влияет на стабильность отломков ладьи? Никто не знает. В Вашем же случае я бы точно наложил повязку без фиксации локтевого сустава, так как локализация перелома находится ближе к дистальной трети.

      Никогда не понимал, каким образом движения в суставах 1 пальца могут оказать какое-то влияние на подвижность отломков ладьевидной кости. А особенно не понимал,зачем при классической "пистолетной повязке" еще и обязательно отводить 1 палец.

      [ Ответить ]
    Re: Перелом ладьевидной кости
    Бен Эльайфар М. 24 Июль 2015, 14:44

    Уважаемые коллеги,

    Гипс я наложил как на фото (книга:Ватсон-Джонс 1958 г.),только с захватом пястно-фалангового сустава 1-ого пальца.

    С точки зрения анатомии,чтобы оправдать выбранную мной иммобилизацию, лучевая девиация расслабит действие коллатеральной карпальной связки которая крепится к шиловидному отростку лучевой кости и ладьевидной кости (рисунок 9.76, номер 14), а оппозиция первого пальца расслабит его короткую отводящую мышцу которая тоже крепится к ладьевидной кости(рис.10.76 номер 1).




    [ Ответить ]

    • Re: Перелом ладьевидной кости
      Отправитель: SAGo 25 Июль 2015, 18:23
      Уважаемый Бен Эльайфар М.! Насколько я понял из местных учебников, то «пистолетная» повязка представляет из себя «Лечение переломов в области бугорка ладьевидной кости заключается в иммобилизации кисти гипсовой повязкой на 3-6 недель в положении отведения 1 пальца – «пистолетная» повязка ( рис. 138)…… После репозиции отломки фиксируют тыльной гипсовой лонгетно-циркулярной «пистолетной» повязкой от основания пальцев до верхней трети предплечья в положении легкого тыльного разгибания ( 150-160 градусов) и небольшого лучевого отведения кисти.»

      Ссылка

      То есть кисть фиксируется в положении разгибания до угла 20-30 градусов, 1 палец отводится ( но не в оппозицию!) и кисть отводится в лучевую сторону. А.М. Волкова ( Хирургия повреждений кисти. – Том 3. – 1996. – С. 29) повторяет практически то же самое: «Традиционный консервативный способ лечения свежих переломов ладьевидной кости состоит в фиксации кисти под углом 25 градусов, лучевым отведением до 20 градусов в положении среднем между пронацией и супинацией. Классическая гипсовая повязка накладывается от верхней трети предплечья с фиксацией головок 2-5 пястных костей и пястно-фалангового сустава 1 пальца ( рис 13).» На рисунке 13 изображена как раз та же «пистолетная» повязка. Но на странице 35 А.М.Волкова пишет: « Как упоминалось выше, таким положением и фиксацией кисти воспроизводится механизм повреждения ладьевидной кости. При этом не устраняется давление на фрагменты со стороны тыльного края и шиловидного отростка лучевой кости и поддерживается их первоначальное смещение по ширине и под углом. Поэтому, учитывая
      типичный экстензионно-абдукционный механизм перелома ладьевидной кости, широко рекомендуемый традиционный способ фиксации не может считаться рациональным.
      Наиболее физиологичной будет фиксация кистевого сустава в нейтральном положении, среднем между пронацией и супинацией, с оппозицией большого пальца к остальным. В этом положении устраняется давление на фрагменты со стороны лучевой кости, а
      лучеладьевидная и ладьевиднотрапециевидная связки, находясь в физиологическом натяжении, способствуют устранению углового смещения и сопоставлению фрагментов ладьевидной кости. Техника иммобилизации: гипсовая, моделированная, бесподкладочная циркулярная повязка накладывается от верхней трети предплечья до головок II—V пястных костей. Последние остаются свободными, так как II—V пястно-фаланговые суставы не являются смежными для ладьевидной кости. Большой палец, в положении
      оппозиции к остальным, фиксируется до средней трети проксимальной фаланги, так как ладьевидная, большая многоугольная, I пястная кости и I пястно-фаланговый сустав образуют единую лучевую функциональную колонну (рис. 15).» В принципе, объяснение вполне логичное, поэтому можно согласиться с мнением А.М.Волковой, что кисть надо фиксировать в нейтральной позиции, хотя существуют различные мнения от 20 градусов сгибания до 20 градусов разгибания для предупреждения консолидации в форме «горбатой» ладьевидной кости.

      По поводу необходимости отведения-оппозиции 1 пальца и его фиксации вообще.
      1. "The position of the thumb had no influence on the fracture gap when the wrist was neither ulnar deviated nor dorsiflexed. However, when the wrist was in any position in which the fracture gap was open, then moving the thumb into abduction closed the gap"- Yanni D., Lieppins P., Laurence M. Fractures of the carpal scaphoid. A critical study of the standard splint. // The Journal of Bone and Joint Surgery. - V. 73-B, #4. - 1991.- P.600-602.

      2. NIGEL R. CLAY, JOSEPH J. DIAS, P. S. COSTIGAN, P. J. GREGG, N. J. BARTON.

      NEED THE THUMB BE IMMOBILISED IN SCAPHOID FRACTURES?
      A RANDOMISED PROSPECTIVE TRIAL //J Bone Joint Surg [Br]. - 1991. - 73-B. – Р. 828-832.

      http://www.boneandjoint.org.uk/highwire/filestream/14639/field_highwire_article_pdf/0/828.full-text.pdf

      3. «Recommendation for clinical practice
      Neither above-elbow nor below-elbow casting, nor ‘scaphoid-type’ cast (including
      thumb) or ‘Colles-type’ casting (not including thumb) differed significantly and
      patients casted in wrist extension did have significantly less functional limitation in
      term of range of motion. Given the inadequate data, the only recommendation is that
      the treatment variations studied all seem acceptable and patients and surgeons can
      continue to follow their preferences pending better data.» http://dare.uva.nl/document/2/107660



      4. «It is unclear which joints should be immobilised and in what position. Different opinions exist regarding the position of the wrist. The current trend is the neutral position. Immobilisation of the thumb eliminates the effects of the abductor pollicis longus and brevis muscles. Immobilisation of the thumb, which is common practice in the Netherlands, has no added value. Immobilisation of the elbow mainly eliminates the strain on the extrinsic and intrinsic carpal ligaments on the scaphoid during pro- and supination. Consequently, the chance of union increases and the period to heal decreases. Temporary treatment with an “above the elbow” cast can present a solution for those patients requiring operative treatment but are not eligible for surgery.” https://openaccess.leidenuniv.nl/bitstream/handle/1887/12857/01.pdf?sequence=13


      5. « …immobilization of the thumb metacarpophalangeal joint does not contribute to fracture stability under physiologic loading.» - J. Mark Schramm, Minhthy Nguyen, Montri D. Wongworawat, Ingrid Kjellin. Does Thumb Immobilization Contribute to Scaphoid
      Fracture Stability? \\ HAND (2008) 3:41–43.

      Поэтому по поводу необходимости фиксации 1 пальца тоже есть большие сомнения: зачем его фиксировать?




      [ Ответить ]
    Re: Перелом ладьевидной кости
    Alexander Chelnokov 24 Июль 2015, 22:21
    Уменьшайте картинки до приблизительно 1024x768 пикселов перед размещением. Картинки плохого качества, но размером более 5000 пикселов в файлах в 5-6 Мб размещать в web совершенно бессмысленно. Только каналы связи загружаются напрасно.
    [ Ответить ]


    ( Ответить )

    Powered by Zope  Squishdot Powered MedLink
    Посетитель: 0182866
      "По форме правильно, а по существу - издевательство" В.И.Ленин
    ©2001-2019Orthoforum Coordinator.
    [ Главная | Отправить сообщение | Поиск | Админ ]