Ответить
|
Re: Деформация стопы
Ниязов Нияз 25 Июль 2015, 15:02
|
Уважаемый Абдурашид, попробуйте метод Понсети, кроме времени Вы ничего не потеряете, самое главное не будет того, чего потом нельзя исправить. личный опыт лечения трех таких стоп и несколько авторитетных статей это подтверждает. Основные принципы: в положении СУПИНАЦИИ стопы (архиважно) нажимая на головку таранной кости и одновременно противодавлении на передний отдел стопы вы поэтапно каждые 7 дней выведите стопу на максимальную гиперкоррекцию(не делайте ложную гиперкоррекцию за счет скручивания голени, это частая ошибка). когда стопа в положении гиперкоррекции или наложите минимум на три месяца гипс или можно прооперировать в виде операции лигаментокапсулотомии). Фото моих больных выложу как приеду домой
|
[
Ответить ]
|
Re: Деформация стопы
Наидко Николай 28 Июль 2015, 16:29
|
Уважаемый Абдурашид! Учитывая изменения костей скелета стопы, девочка нуждается в повторном ОП лечении в выведении стопы в нормальное положение и артродезирования апредленных суставов стопы. Лучше всего это, конечно сделать по Илизарову.
|
[
Ответить ]
|
Re: Деформация стопы
Отправитель: Ниязов Нияз 28 Июль 2015, 19:38
|
Любое атродезирование рано (Имхо). Если стопа выводится как сказал Абдурашид, то Иллизарова аппарат нужен ли?!, из операций подойдет любая- где присутствует релиз связок по медиальоный части стопы и удлинения сухожилий и подощвеннного апоневроза(чем лучше владеете), вероятность рецидива низкая вследствии возраста ребенка. Для ношения обуви тоже пойдет. Но насчет исправления деформации тут все будет зависеть от качества релиза.
|
[
Ответить ]
|
Re: Деформация стопы
Отправитель: Ниязов Нияз 28 Июль 2015, 23:01
|

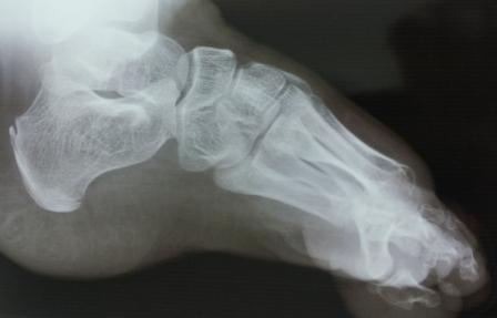
фото до лечения, после операции по Зацепину в год и операции резекции костей стопы по типу Куслика в пять лет
|
[
Ответить ]
|
Re: Деформация стопы
Отправитель: Ниязов Нияз 28 Июль 2015, 23:04
|
после 5 повязок и подкожной ахилотомии и снова гипсовой повязки на три месяца
|
[
Ответить ]
|
Re: Деформация стопы
Отправитель: Абдурашид Тураев 28 Июль 2015, 23:53
|
Уважаемый Нияз! Спасибо! мне кажется идея правильная, насколько мне помнится , метод Понсетти применяется в основном у нововрожденных и у маленьких детей, у которых еще кости не деформировались., наша пациентка почти подросток, и еще мне кажется здесь девочке мешает в основном вывих в первом плюсне- фаланговом суставе . поэтому если произвести релиз мед.связок. удлинение апоневроза и сухожилий сгибателя ( если понадобиться). вправление вывиха с трансартикулярной фиксацией - можно ли добиться результата?
С уважением Абдурашид.
(конечно с наружной фиксацией)!
|
[
Ответить ]
|
Re: Деформация стопы
Отправитель: Ниязов Нияз 29 Июль 2015, 02:33
|
Два года назад я тоже относился скептически к методу Понсети хотя активно им пользовался, но после поездки в институт им.Турнера полностью поменял свое мнение. Они сейчас как я,знаю пропагандирует комплексное лечение косолапопости. Хоть три стопы после заднемелиального релиза это немного, но зато еще раз повторюсь вы ничего не теряете. В гипсе выведите стопу, а потом можно сделать и релиз если надо, но зато Вы обойдется малой кровью. Не нужно будет рассекать дельтовидную связку повторно. Так как ее рассечение может привести к вторичной деформации которую лечить сложнее чем сам рецидив. Вывих тоже устранится при маневре Понсети. Аппарат вешь хорошая, но помойму тут ему пока не место. Многие его применяют как альтернативу костным процедурам при укороченной стопе, так как резекции могут привести к дополнительному укороченнию. Аппарат хорош когда имеется грубая костная деформация. В вашем случае подойдет операция лигаментокапсулотомия по Штурму. Простая и небольшая по объему процедура а фиксация спицей и гипс.
Если наложите предварительно поэтапно гипс то на столе вам не придется рассекать или удлинять многие элементы. Это и есть суть комплексного лечения косолапости. А когда ребенок вырастит можно будет подумать об тройном артродезе.
|
[
Ответить ]
|
Re: Деформация стопы
Отправитель: Ниязов Нияз 29 Июль 2015, 02:36
|
Ребенку на фото 9 лет
|
[
Ответить ]
|
|
Re: Деформация стопы
Никита 29 Июль 2015, 19:19
|
Здравствуйте. Не вижу большого смысла в применении методики Понсети у данного ребенка. Проблем с задним и средним отделами стопы у нее нет. Если беспокоит 1 палец - с ним и работать. Думаю, артродезирование даже 1 ПФС - вынужденная мера. Не пощупав стопу, сложно определенно что-то сказать. Но суть как всегда: попытаться обойтись мягкотканным релизом (удлинение сгибателя первого пальца, надсечь плантарный апоневроз, капсулотомия 1 ПФС). Не хватит этого - разгибательная укорачивающая остеотомия 1 плюсневой. Не устранить подвывих из-за инконгруентности суставных поверхностей - артродез ПФС. АВФ, думаю, не понадобится.
|
[
Ответить ]
|
Re: Деформация стопы
Отправитель: Ниязов Нияз 29 Июль 2015, 20:29
|
Уважаемый Никита, посмотрите на рентген, проблема не в первом пальце, а кавусе стопы. Скорее всего за счет высокого свода стопы у ребенка затруднение в одевании обуви. Поэтому только капсулотомиия 1 ПФС и апоневротомии будет не достаточно, нужна капсулотомия по Штурму. Но без заднего релиза.
Раньше я бы так не дисскутировал, но неблагоприятные исходы релизов побудили к комплексному подходу. При так называемом маневре Понсети сначала передний отдел выводится по отношению к среднему, продолжая маневр средний отдел выводится по отношению к заднему. Я это к тому что можно вывести передний отдел и исправить кавус, что лучше всего получается при методике Понсети.
|
[
Ответить ]
|
Re: Деформация стопы
Отправитель: Ниязов Нияз 29 Июль 2015, 20:33
|

pdf, 343 Kb
Is it Possible to Treat Recurrent Clubfoot with the Ponseti
Technique After Posteromedial Release?
A Preliminary Study
Monica Paschoal Nogueira MD, Anna Maria Ey Batlle MD,
Cristina Gomes Alves MD
|
[
Ответить ]
|
Re: Деформация стопы
Отправитель: Никита 30 Июль 2015, 02:23
|
Уважаемый Нияз. В очередной раз спасибо за статьи. Придерживаемся того же алгоритма лечения рецидивирующей косолапости: коррекция деформации, задний релиз, транспозиция ПБМ. Все здорово, только в данном случае речь идет не о рецидиве эквино-аддукто-варусного компонента или динамической супинации, а о рецидиве кавуса с формированием пяточной стопы и вывиха в ПФС, положение пятки при этом, как минимум, среднее. Кавус рецидивирует крайне редко и, вероятно, в данном случае является ятрогенным. Что вы предлагаете корригировать в повязках я понимаю, но не вижу необходимости в коррекции у этого пациента- нечего тут корригировать по Понсети. Проблема кавуса есть, но пациента, со слов доктора, беспокоит 1 палец. Кавус мягкотканным релизом у этого пациента не устранить, а резецировать и артродезировать средний отдел рано. Так и предлагаю решать проблему первого пальца.
|
[
Ответить ]
|
Re: Деформация стопы
Отправитель: Ниязов Нияз 31 Июль 2015, 00:44
|
Никита, правильно кавус рецидивирует редко при условии, что он был устранен. При небольшой степении приведения или других компонентов, Метод Понсети мало эффективен(три стопы помогли только тем, у кого были жуткие результаты после релизов, а при небольшом приведении я не получил ожидаемого результата ). Поэтому говорить категорично "нечего тут корригировать по Понсети" немного радикально. Тем более метод Понсети не требует больших финансовых и организациионных в плане операции потребностей.врач потеряет возможно время. Метод Понсети позволит исправить частично, а может и больше- это однозначно и категорично. Нету причин для обратного. В дальнейшем по ходу уже врач определит что и где дополнить релизом. По фото кстати стопы напоминают атипичную форму косолапости, поэтому тем более не следует торопиться с радикальным вмешательством
|
[
Ответить ]
|
Re: Деформация стопы
Отправитель: Ниязов Нияз 31 Июль 2015, 00:44
|
Никита, правильно кавус рецидивирует редко при условии, что он был устранен. При небольшой степении приведения или других компонентов, Метод Понсети мало эффективен(три стопы помогли только тем, у кого были жуткие результаты после релизов, а при небольшом приведении я не получил ожидаемого результата ). Поэтому говорить категорично "нечего тут корригировать по Понсети" немного радикально. Тем более метод Понсети не требует больших финансовых и организациионных в плане операции потребностей.врач потеряет возможно время. Метод Понсети позволит исправить частично, а может и больше- это однозначно и категорично. Нету причин для обратного. В дальнейшем по ходу уже врач определит что и где дополнить релизом. По фото кстати стопы напоминают атипичную форму косолапости, поэтому тем более не следует торопиться с радикальным вмешательством
|
[
Ответить ]
|
Re: Деформация стопы
Отправитель: Никита 31 Июль 2015, 12:21
|
"При небольшой степении приведения или других компонентов, Метод Понсети мало эффективен"..Откуда такие выводы? В приведенной вами же статье: "Patients who had full correction had lower (p = 0.002)mean initial scores than those who did not achieve full correction (3.32 versus 4.14, respectively)." Эффективность метода не от выраженности деформации зависит, а от того, по делу его применяют или нет. Ничего радикального не вижу в сказанном. Непонятно: то вы предлагаете устранять все компоненты деформации (которых у ребенка нет), теперь, видимо, только кавус. Кавус - единственный компонент, который может "утоптаться", ребенок на этой стопе доходил до 9 лет, а деформация так и осталась - надеетесь гипсом растянуть?
Если прикладывать к стопе подорожник - это будет еще менее затратно. Тоже потеряем только время. Финансовая сторона, в данном случае, не аргумент. Нужно тратить время на то, что работает.
Ну и, наконец: "По фото кстати стопы напоминают атипичную форму косолапости, поэтому тем более не следует торопиться с радикальным вмешательством". Почему не следует торопиться с радикальным вмешательством, если это атипичная форма косолапости? Вы считаете, в случае атипичной косолапости метод Понсети эффективнее, чем в случае идиопатической? Атипичную форму удается вылечить по Понсети чаще, чем идиопатическую?
|
[
Ответить ]
|
Re: Деформация стопы
Отправитель: Ниязов Нияз 31 Июль 2015, 19:38
|
-"При небольшой степении приведения или других компонентов, Метод Понсети мало эффективен"..Откуда такие выводы?
Это малоизвестный факт характерен для лечения рецидивов,который мне поведал один ортопед учавствовавший в закуларной беседе на конференции посвященной косолапости.Имхо:Поэтому наверное у них за рубежом распросранены всевозможные костные резекции с перемещением костного клина с латеральной стороны на медиальоную из мини разрезов. Эти операции как и пересадка ПББС получили распросранение именно после популяризации метода Понсети для устранения остаточных деформаций. Хотя лет 30 назад динамическая супинация несчиталось как плохой результат лечения. Сам я тоже пробовал два раза лечить остаточное приведение после заднемелиального релиза, но не получилось.
"-Нужно тратить время на то, что работает."
Никита это же не перелом или острый остеомилит? Что будет если врач обсудит эту идею с родителями пациента, и заранее скажет что возможно как излечение так и последующая операция. Родители только рады будут. Всем моим пациентам после заднемелиального релиза эта идея очень понравилось.да и еще если родители верили доктору, то результат у этих троих получился отличный, у двух других было явное недоверие и скептицизм(как так после операций поможет гипс?!).
По поводу атипичной формы косолапости(я как то писал тут на форуме что первые 20 лет хирург учится когда нужно оперировать, еще 20 лет когда не нужно), эта самая неблагоприятная вещь для консервативного лечения, но консервативно можно и нужно довести стопы до такого состояния когда операция будет реально полезной.
Как мне кажется у данного ребенка консервативное введение с последующим оперативным вмешательством даст лучшие результаты чем сразу оперировать(получится комплексный подход ).
|
[
Ответить ]
|
|
Re: Деформация стопы
Алибек 07 Август 2015, 18:35
|
Попробовать метод Понсети можно, но стоит ли? Все компоненты косолапости, на которые воздействует метод Понсети, устранены. При возрасте более 2,5 лет метод Понсети малоэффективен. Для устранения приведения пальцев, тем более с вывихом в первом плюснефаланговом суставе, метод Понсети никак не приложим. Можно попробовать этапные гипсовые повязки для устранения приведения пальцев и вывиха 1-пальца, но это никакого отношения к методу Понсети не имеет. Скорее всего понадобится дополнительное удлинение сгибателя 1- го пальца с релизом и , менее вероятно- субкапитальная остеотомия нескольких плюсневых костей. Думаю, что не зря воздерживаются от комментариев понсетисты Кенис, Вавилов и Попченко.
|
[
Ответить ]
|
Re: Деформация стопы
Отправитель: Никита 08 Август 2015, 01:31
|
Вот-вот.
|
[
Ответить ]
|
Re: Деформация стопы
Отправитель: Абдурашид Тураев 14 Август 2015, 19:45
|
Уважаемые коллеги! Спасибо! Что-то больная пропала. все жду , никак не появляется..если придут еще раз пообследуем и сообщу на форуме.
С уважением Абдурашид.
|
[
Ответить ]
|
|
( Ответить )
|
|