Ответить
|
Re: Остеосинтез н/3 предплечья
Савранский Александр 28 Июль 2015, 00:33
|
Выглядит классно. Но без ЭОПа так не получится :(
|
[
Ответить ]
|
Re: Остеосинтез н/3 предплечья
alexandr erokhin 28 Июль 2015, 00:57
|
В данном случае наверное такой синтез излишен. Зачем? - Можно и просто отрепонировать,без синтеза было,не? Другое дело если бы проблемная кожа была или др причины,исключающие возможность внешней иммобилизации.
А метод интересный. Сразу подумал о шейке плеча у пожилых. Метод Лазарева Y-образными спицами в чем то похож и,говорят, себя оправдал- сам делал несколько раз,но только шейки бедра,получилось хорошо.А шейки плеча и правда проблема- лизируются бывает после открытого синетеза.
Почему вдруг встал вопрос о допустимости? Если бы Вы( я почему-то думаю,что Вы сами и придумали способ) просто скрепили бы спицами чрескожно,без напряжения,то и вопроса бы не было,так?
|
[
Ответить ]
|
Re: Остеосинтез н/3 предплечья
Дедок Михаил 28 Июль 2015, 01:02
|
Весьма оригинально и вполне функционально. Первый раз такое вижу. Главное дешево, что немаловажно.
|
[
Ответить ]
|
Re: Остеосинтез н/3 предплечья
Молодой специалист 28 Июль 2015, 01:22
|
Уважаемый коллега! Импровизация мысли привела именно к такому синтезу по нескольким причинам. Репозиции была и гипс был, но стояние отломков было неудовлетворительное. Следующее, это то, что у пациента сломано второе предплечье, и для облегчения самообслуживания лучше создать именно вот такое напряжение, что бы вести без гипса. Ваше предложение с транскутанными спицами требуют, как мне кажется, последующей иммобилизации. Мне в моем случае не получилось отказаться от гипса из-за того что пациент недотрога.
А вопрос о допустимости возник из-за некоторого скептизицма к этому подходу у людей кому уже показывал снимки.
|
[
Ответить ]
|
Re: Остеосинтез н/3 предплечья
Отправитель: Молодой специалист 28 Июль 2015, 01:27
|
Ответ был адресован доктору Ерохину.
|
[
Ответить ]
|
Re: Остеосинтез н/3 предплечья
Отправитель: erokhin alexandr 28 Июль 2015, 01:48
|
Да,я вроде не слепой,видел,что Р-граммы с гипсом.-) А какое моё было предложение?- Использовать Ваш же метод для шейки плеча. Про гипс я ничего не говорил.- Я что-то не то предложил? Подумайте про шейку плеча,может скоро все так начнем делать..
|
[
Ответить ]
|
Re: Остеосинтез н/3 предплечья
Отправитель: Молодой специалист 28 Июль 2015, 02:05
|
Из Вашего ответа мне не понятно, Вы не в курсе, что напряженными спицами уже давно активно пользуются в Москве и многих других регионах, при переломах хир. шейки плеча? Даже кандидатская есть.
А предлагали Вы может и правильно, но я решил развернуть свой ответ, по использованию именно такого подхода.
|
[
Ответить ]
|
Re: Остеосинтез н/3 предплечья
Отправитель: alexandr erokhin 28 Июль 2015, 03:11
|
Именно так скомпонованными? Без доп разрезов? -Не,не в курсе. А поперечную спицу проводят через головку или акромион?
Дайте ссылочку(Р-граммы,фото),буду признателен.
|
[
Ответить ]
|
Re: Остеосинтез н/3 предплечья
Отправитель: Молодой специалист 28 Июль 2015, 10:02
|
Нет, не именно такая компановка, но что то похожее есть. Я, в какой то степени от "напряженных спиц плеча" и отталкивался.
Вот ссылка, http://weborto.net/forum/1101309779/index_html.
Должно быть крайне доступно. Удачи!
|
[
Ответить ]
|
|
Re: Остеосинтез н/3 предплечья
трипио 28 Июль 2015, 01:36
|
имхо, нестабильный остеосинтез
|
[
Ответить ]
|
Re: Остеосинтез н/3 предплечья
Alexander Chelnokov 28 Июль 2015, 09:50
|

А ретроградно спицы вводить не ближе? И покомпактнее получается.
|
[
Ответить ]
|
Re: Остеосинтез н/3 предплечья
Отправитель: Молодой специалист 28 Июль 2015, 10:54
|
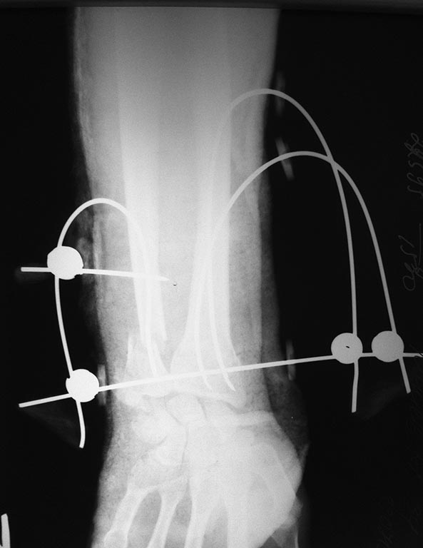
Здравствуйте, Александр Николаевич! Такой вариант я, находясь у Вас на учебе, видел и рассматривал. Но у меня перелом лучевой кости внутрисуставной и локтевая сломана. В итоге то, что придумалось мне показалось приемлемее.

Р-грамма после репозиции.
|
[
Ответить ]
|
|
Re: Остеосинтез н/3 предплечья
Немолодой специалист 28 Июль 2015, 12:28
|
Я бы это остеосинтезом не назвал бы....
Не, кому-нибудь ну только в самом крайнем случае. Себе бы- не дай Бог!
С неуважением,
немолодой специалист.
|
[
Ответить ]
|
Re: Остеосинтез н/3 предплечья
Отправитель: Молодой специалист 28 Июль 2015, 14:12
|
Столько негатива!! Не пойму - почему?!
Сказать конечно можно, но хотелось бы услышать аргументы в пользу порочности синтеза.
|
[
Ответить ]
|
|
Re: Остеосинтез н/3 предплечья
К.С.А. 28 Июль 2015, 15:00
|
Если перелом не репонируется - надо открываться, если репонируется, но не удерживается - то репонируем + закрыто можно фиксировать спицами. Для себя не вижу преимуществ данного метода.
|
[
Ответить ]
|
Re: Остеосинтез н/3 предплечья
Gilev Mikhail 28 Июль 2015, 16:57
|
Доброго времени суток, уважаемые коллеги!
Наверное, чтобы говорить/критиковать и делать какие-то выводы, необходимо посмотреть отдаленные функциональные результаты (у человек 10-15 с более или менее похожими переломами). Насколько стабилен данный синтез? Высока ли вероятность вторичного смещения отломков? Если без гипса - то синтезу большой плюс! Но, честно говоря, о возможности ранней активизации сустава вне гипса - сомнительно (опасность вторичного смещения высока).
С уважением, Гилев Михаил
|
[
Ответить ]
|
Re: Остеосинтез н/3 предплечья
Александр 28 Июль 2015, 17:26
|
a href="http://weborto.net/forum/pics/2015/09/1230">
Доброго времени суток,вариант стнтеза интересен советовал бы Вам изучить работы "Капанжи" думаю Вам будет интересно.
|
[
Ответить ]
|
Re: Остеосинтез н/3 предплечья
Отправитель: женя 13 Сентябрь 2015, 03:19
|
Смещение по оси не устранено, спицы проведены абы-как. Зачем такой позор выкладывать как вариант?
|
[
Ответить ]
|
|
Re: Остеосинтез н/3 предплечья
Сергей Кудрань 28 Июль 2015, 17:37
|
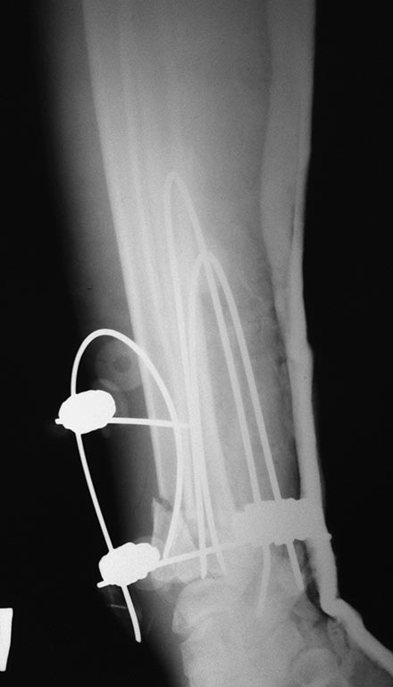
Здравствуйте,по снимкам неплохо. А какая причина отказа от открытой репозиции, остеосинтеза пластинами? Финансовая? Сохраняется смещение отломка Локтевой кости с диастазом между отломками. Не критично? Может наступить замедленная консолидация..
|
[
Ответить ]
|
Re: Остеосинтез н/3 предплечья
Отправитель: Молодой специалист 28 Июль 2015, 21:39
|
Можно сказать, что финансовая. Кое что по бюджетной закупке у нас есть, но в полном объеме, для такого случая фиксаторов не хватает. По поводу смещения локтевой, согласен. Я с нее начинал - стояло хорошо, а когда работал с лучевой появилось такое смещение. С учетом нормального соотношения в суставе и допустимой оси локтевой кости, я решил остановиться. Все выполнялось закрыто, в виду чего я надеюсь на своевременное сращение.
|
[
Ответить ]
|
|
Re: Остеосинтез н/3 предплечья
Александр 29 Июль 2015, 00:08
|
Вы потом снимки выложите контрольные. Интересно.
|
[
Ответить ]
|
Re: Остеосинтез н/3 предплечья
Данила Курышев 29 Июль 2015, 02:46
|
Метод очень неплох. У детей до 16 лет - очень проходит для экстренного лечения. Пользуюсь и готов предоставить, но в комбинации со стержневым АНФ. Фиксация - достаточная. Остроумно и бюджетно.
с глубоким уважением!
|
[
Ответить ]
|
Re: Остеосинтез н/3 предплечья
Тоже ещё молодой 30 Июль 2015, 00:29
|
Доброго времени суток.
Впервые такое вижу , не совсем понятно для чего поперечная спица через дистальные отломки?..Дистракция или...или что?
|
[
Ответить ]
|
Re: Остеосинтез н/3 предплечья
Отправитель: Молодой но и не совсем старый специалист 30 Июль 2015, 01:24
|
Классно, респект, сам делал! Спица через две кости предплечья . Скорее всего доктор делал компоновку с последующим остеосинтезом аппаратом Илизарова. Но все равно супер!
|
[
Ответить ]
|
Re: Остеосинтез н/3 предплечья
Отправитель: Молодой специалист 30 Июль 2015, 11:13
|
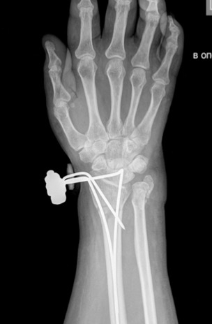
Здравствуйте, уважаемый коллега! К этой спице фиксируются изогнутые спицы, создающие тем самым напряжение. И еще, она проходит трансфрактурно, через внутрисуставной перелом лучевой кости.
|
[
Ответить ]
|
Re: Остеосинтез н/3 предплечья
Отправитель: SAGo 30 Июль 2015, 14:40
|
А как технически Вы провели изогнутые спицы в лучевую кость? И какое напряжение создается изогнутыми спицами? На снимке этого напряжения не видно.
|
[
Ответить ]
|
Re: Остеосинтез н/3 предплечья
Отправитель: Молодой специалист 30 Июль 2015, 16:25
|
В отверстие, произведенное сверлом 2,5, вводится 2мм спица у которой загнут только конец, а остальная часть прямая. И только после достижения желаемого результата, т.е. спицы в метафизе с допустимой репозицией, спицы сгибаются с сохранением пружинящего эффекта и фиксируются к дист. спице. Как мне кажется, напряжение в спицах должно быть.
|
[
Ответить ]
|
Re: Остеосинтез н/3 предплечья
Отправитель: SAGo 30 Июль 2015, 16:43
|
Ясно. То есть Вы делаете разрез кожи, а потом вбиваете изогнутую спицу. Насколько я понял, то "напряжение" - только умозрительное. И насколько оно "полезно" для обеспечения стабильности-компрессии отломков? Если бы это напряжение было выраженным, то изогнулась бы поперечная спица, а этого на снимке не видно. Может быть я неправильно понимаю какую-то "биомеханику"?
|
[
Ответить ]
|
Re: Остеосинтез н/3 предплечья
Отправитель: Молодой специалист 30 Июль 2015, 17:38
|
На мой взгляд компрессии тут нет. Есть стабильность.
Поперечная спица (дистальная, как я понял) изогнуться не должна. Силы напряжения, фиксированных к ней спиц, реализуются по ее оси. Проще говоря, они эту спицу растягивают, а не гнут.
А проксимальная поперечная спица в локтевую кость добавлена, чтобы спицы лучевой кости не вытянули дистальную в лучевую сторону. В таком случае связующий узел с локтевой стороны мог упереться в головку локтевой кости и "организовать" там пролежень.
Масло масленное какое то получается). Надеюсь доступно написал. Легче, конечно, с материалом.
|
[
Ответить ]
|
Re: Остеосинтез н/3 предплечья
Отправитель: SAGo 30 Июль 2015, 18:02
|
Правильно, я так и понял, что компрессии при таком варианте быть не должно, а должно вроде бы быть "натяжение" дистальной поперечной спицы. Но, извините за излишнюю придирчивость, на рентгенограмме дистальная спица несколько изогнута даже в "обратную" сторону. Из-за чего она так себя ведет, я не понимаю. Ну, с компрессией вроде бы разобрались.
По поводу какого-то влияния "напряжения" в спицах на стабильность перелома я бы тоже говорил с большой осторожностью. Влияние "напряжения" на стабильность кто-то изучал? Если да, то каковы результаты? То есть имеются вопросы по поводу "напряжения" в спицах, поэтому я бы эту тему с "напряжением", на всякий случай, не стал развивать.
|
[
Ответить ]
|
Re: Остеосинтез н/3 предплечья
Отправитель: Молодой специалист 30 Июль 2015, 19:26
|
Нет, коллега, я не изучал и результатов тоже не знаю. А говорить так позволил себе из-за того, что неплохо знаком с методикой "напряженных спиц" ЦИТО которая хорошо себя зарекомендовала. Влияние сил конструкций конечно не идентичное, но на мой взгляд, что то похожее есть.
|
[
Ответить ]
|
Re: Остеосинтез н/3 предплечья
Отправитель: SAGo 30 Июль 2015, 23:47
|
Ясно, спасибо. Насчет самой методики, если Вы заметили, я ничего плохого не сказал. Да и Ваш результат закрытого вправления и синтеза тоже выглядит неплохо. Можно и так. Почему бы и нет?
|
[
Ответить ]
|
|
Re: Остеосинтез н/3 предплечья
Никита 30 Июль 2015, 23:45
|
Честно пытаюсь понять принцип действия, но не укладывается. Ознакомился с методикой ЦИТО. Общее конечно есть, но тут что-то не то. Компрессии никакой. Репозиция возможна. Удержание - разве только спицы действуют в качестве осевых. Принцип ясен, по сути, как ТЕНы. Но получается, вы вводите в канал спицу, напряжение которой направлено только в одну сторону (даже если этих спиц две) и действует на оба отломка одинаково, фиксация к спице, проведенной трансфрактурно не дает ничего. Эта спица же без напайки, без крюка, она не тянет дистальный отломок в противоположную сторону. По сути, поперечная спица нужна лишь для фиксации внешним узлом. Вот если бы вы вводили две спицы, фиксированные к поперечной двумя узлами по разные стороны от кости - получилось бы полезное взаимное напряжение - удержание отломков ожидаемо, понятно, травматичность меньше - нет необходимости узел вводить в канал. А так - не уверен. Осевые спицы после закрытой репозиции, по-моему, дали бы такой же эффект. А проведенные перекрестно еще лучший. Все равно интересно, спасибо. Не увидел бы здесь - не весть когда узнал бы. Надеюсь, критика конструктивная.
|
[
Ответить ]
|
Re: Остеосинтез н/3 предплечья
Молодой специалист 31 Июль 2015, 21:22
|
Уважаемые коллеги! Всем огромное спасибо за дискуссию!
Абсолютно согласен с одним из докторов, которым подмечено, что оценка и критика метода должна базироваться на исследованиях, контрольных группах и т.д. Но видите ли, я обычный врач обычного стационара, одного из провинциальных городов. И для того, что бы "дать жизнь" какой-либо методике, нужно одобрение большинства. В отделении меня поддержали и на форуме, в целом, положительный настрой, хотя могли "зарубить" на начальном этапе.
Теперь у меня есть над чем поработать. Все учту и приму к сведению. О результатах постараюсь держать в курсе.
С уважением У.К.А!
|
[
Ответить ]
|
Re: Остеосинтез н/3 предплечья
Бысов Максим 07 Август 2015, 11:28
|
Дополнительной иммобилизации нет. Больной мобильный. Хотелось бы узнать об ощущениях пациента при движениях в л/з суставе, просупинационных движениях в предплечьи при обычных жизненных ситуациях(одеться, раздеться и т.д.), не мешают, беспокоят торчащие спицы во время сна. Если пациент в АВФ зацепится, ударится то ощущения не из приятных, а здесь думаю вообще жесть.
|
[
Ответить ]
|
Re: Остеосинтез н/3 предплечья
Михаил Купитман 07 Август 2015, 16:42
|
Устройство работает только как фиксируюшее. Напряжения спиц при изгибе нагужных частей спиц не будет. Я это лично исследовал. При изгибе спица упрется в край просвещённого Вами отверстия и напряжение её не возникнет. У Лазарева другая физическая модель: отверстие шире, шпилька вводится в отверстие и раскрывается внутри кости.
В обобщении: я в ходе эксперимента не обнаружил увеличения коэффициента жёсткости спицы при такой коитаком типе напряжения. Хотя первоначально думал как и Вы, что оно будет.
Ранее было обсуждение перелома пяточной кости. Я там выложил фото аппарата, работающего на подобном принципе.
|
[
Ответить ]
|
Re: Остеосинтез н/3 предплечья
Djoldas Kuldjanov 11 Август 2015, 21:53
|
И для того, что бы "дать жизнь" какой-либо методике, нужно одобрение большинства. В отделении меня поддержали и на форуме, в целом, положительный настрой, хотя могли "зарубить" на начальном этапе
Уважаемые: молодые, немолодые, давно не молодые и остальные зрелые специалисты. Для того, что бы дать жизнь какой-либо методике, необязательно одобрение большинства. Надо доказать эффективность на практике и тогда, независимо от работы, метод получит путевку. Кстати, все предложения - результат работы практических врачей, так что если имеется идеи можно смело предлагать!
Но из вашего предложения не понятно, что это, единичный-удачный случай, case presentation для разбора, или предлагается как новый метод фиксации? Если case presentation, тогда надо выложить полную информацию с начала до конца с отдаленным результатом.
Для облегчения работы ежедневно пользуемся различными “приемами”, и в большинстве эти “секреты” остаются неопубликованными. Но иногда некоторые удачные “приемы”признаются и получают статус нового “метода”, но к сожалению, такие явления единичные...
Если предлагаете новый метод, тогда, почему не устраевают старые существующие? Перкутанный Kapandji, наружный фиксатор, пластина от Hand Innovation или мини-скобы от TriMed system? Как достигается стабильность? Какие осложнения и пути предупреждения? Сколько пациентов в год?
Стабильность в внутрисуставных переломах и как осуществляется реабилитация с выступающими за пределы кости элементами? Кстати, показанием к более стабильному синтезу является наличие травмы во второй конечности, и при желании стабильность можно создать несколькими винтами!
В вашем предложении спица проходит через зону перелома, но сравнительно с открытым остеосинтезом, наружные фиксаторы имеют высокий процент осложнения с вовлечением спиц или стержней через линии перелома. Поэтому популярность техники Kapandji (“intrafocal pinning”) невысокая, в сравнении с “внеочаговыми методами”.
А новый дизайн должен отвечать современным требованиям, а не до Илизаровской эре, когда лечили гипсовыми повязками. Лучшие биомеханические показатели и возможности компрессии в зоне между фрагментами. Пути профилактики расшатывания спиц-винтов в метафизарной зоне, а также охват всех зон повреждения фиксатором.
Успех Jorge L. Orbay, M.D, трудно повторить, потому что как специалист по кисти, он убедился о преимуществе волярного доступа и разработал Hand Innovation Volar plate. Невероятный успех и популярность, что DePuy trauma приобрела его компанию за 150 миллионов. Это было началом,
когда все остальные компании стали копировать, начиная от восстановления высоты до установки специального винта под углом в шиловидный отросток!
По восторгам коллег многие поддерживают идею перкутанной техники, но как известно, единого стандарта лечения не бывает. Каждый доказывает преимущество своего любимого метода, но мне кажется, что надо брать технику, которая создаст лучшие комфортные условия во время операции и создаст стабильность! Открытый остеосинтез гарантирует стабильность, и многие предпочитают технику даже из-за того, что не надо пользоваться рентгеном.
А так, поддерживаю идею создания в стране новых методов и фиксаторов, тем более актуален во время “санкций”! Надо создавать свой современный, с применением инновационных методов и материалов, а так, “спицевая технология” подустарела немного!
А метод можете практивать у себя, никто не может запретить, а результат надо опубликовать более обширным материалом!
|
[
Ответить ]
|
Re: Остеосинтез н/3 предплечья
Отправитель: SAGo 13 Август 2015, 18:31
|
" А метод можете практивать у себя, никто не может запретить, а результат надо опубликовать более обширным материалом!" -
Уважаемый Djoldas Kuldjanov! Честно сказать, я не знаю, каким образом обычному врачу из обычной больницы, особенно молодому, можно что-то придумать и ШИРОКО внедрить в практику по всей стране. Вроде бы существуют какие-то государственные-региональные-местные протоколы, которых должны придерживаться врачи. Поэтому врачу, как мне кажется, могут запретить применять новую методику как раз многие люди. Я, допустим, не представляю, как все это делается-пробивается на уровне страны. Предполагаю, что очень-очень много препятствий, иногда непреодолимых, даже в финансовом плане. Может быть я и неправ.
|
[
Ответить ]
|
|
Re: Остеосинтез н/3 предплечья
Виталий 16 Август 2015, 02:47
|
ИМХО метод "странный" но как минимум интересный, самое важное - хуже чем было точно не будет, результатом поделитесь, в условиях малообеспеченной клиники почему бы и нет, а касатально рекомендаций и методов ЦИТО да простят меня коллеги ЦИТО к счастью(или к сожалению) уже давно не авторитет...
|
[
Ответить ]
|
Re: Остеосинтез н/3 предплечья
Михаил Купитман 17 Август 2015, 09:43
|
Обычные врачи могут и должны думать и придумывать! Очень многие полезные вещи в технике сделаны обычными изобретателями. Так же и в медицине.
Я вот в обычном травмптологическом отделении работаю. А работу делал на кафедре травматологии и ортопедии.Для такого варианта самое главное - хороший научный руководитель.
В России исторически своя хорошая научная база. Если взять лучшее у западных исследователей и обеденить отечественными идеями, то могут получиться новые эффективные способы лечения.
|
[
Ответить ]
|
Re: Остеосинтез н/3 предплечья
Отправитель: SAGo 17 Август 2015, 16:41
|
Я двумя руками за то, чтобы обычные врачи думали и что-то новое придумывали. Без этого неинтересно работать. Но вот не знаю, как обычному врачу что-то новое придумать и внедрить у себя в больничке, а потом по всей стране или даже дальше. Имеет ли право обычный врач в обычной городской больнице самостоятельно применить придуманный способ или устройство для лечения? Не может ли заведующий, начмед, главный врач и т.д. по восходящей запретить врачу "самодеятельность"? Не всегда врач, особенно неопытный, амбициозный или малограмотный, может придумать что-то безопасное и эффективное. Поэтому должен быть какой-то контроль, в том числе и ограничительный, со стороны многих людей. Как можно будет что-то объяснить больному в случае фатального исхода после "нововведения", тем более, что больной дает перед медицинской манипуляцией информированное согласие? На скольки людях можно в обычной больнице выполнить "медицинский эксперимент"? Есть ли какие-то законы и порядок? А как обстоит дело во всяких НИИ, на кафедрах? Сколько человек в этимх учреждениях можно прооперировать по своей методике без получения разрешения на клиническое применение и широкое внедрение придуманной методики? Есть какие-то документы и объяснения. Почему спрашиваю: просто не знаю.
|
[
Ответить ]
|
Re: Остеосинтез н/3 предплечья
Отправитель: Djoldas Kuldjanov 01 Сентябрь 2015, 01:20
|
Не может ли заведующий, начмед, главный врач и т.д. по восходящей запретить врачу "самодеятельность"? Не всегда врач, особенно неопытный, амбициозный или малограмотный, может придумать что-то безопасное и эффективное. Поэтому должен быть какой-то контроль, в том числе и ограничительный, со стороны многих людей
Любое новое внедрение не обходится без препятствий, и это не означает, что надо остановиться и ждать разрешения сверху. На примере Илизарова можно научится многому, что не место работы, а энтузиазм автора играет роль! И в данном случае, если уверен, что внедряет безукоризненную технику и «напряженные спицы» являются «изобретением», тогда надо доказать состоятельность. А насчет запрета, я уже писал, что никто не может запретить «метод» улучшающий результат!
Насчет неопытного, амбициозного или малограмотного специалиста надо определиться, какой врач подходит к этой категории? Кто имеет право определить его малограмотность или наличие опыта? Все ли главные врачи, начмеды или заведующие правы, и кто может оценить их компетенцию?
Возможно, каждая страна по-разному определяет опытность врача? Но везде было так, если врач прошел необходимую специализацию в клинической ординатуре (резидентуре) и был принят на работу приказом на должность ортопеда, тогда он может оказать специализированную помощь без оглядки на заведующего, начмеда или на главного врача. Он отвечает за действия, которые могут привести к ухудшению состояния из-за применения непопулярного метода!
Многих интересует стандарты и разрешенные операции в Америке. Скажу сразу, что кроме общего guideline, которому должны следовать специалисты, запрещающего списка не бывает. Если уверены, что новая методика поможет больному, тогда делайте на свой риск! Только свободный от запретов может заниматься творчество!
В России исторически своя хорошая научная база. Если взять лучшее у западных исследователей и объединить с отечественными идеями, то могут получиться новые эффективные способы лечения
Возможно Вы правы, но по моему, такая оценка по инерции, со времен Советского союза, когда считали что у нас хорошая наука! Здесь информация “кто и сколько выделяет на науку от своего ВПП” и показатели стран СНГ отстают от развитых стран.
http://www.inauka.ru/science/article65711.html “Кто сыграет первую cкрипку в мировом научно-техническом прогрессе”
“Больше всего средств на научные изыскания выделяется в Северной Америке - 37% от общего количества общемировых расходов. На втором месте - Азия 31.5%, на третьем - Европа (27.3%). На долю Латинской Америки и стран Карибского бассейна приходится 2.6% мировых расходов на эти цели, на долю Африки - 0.6%. За последние годы, научно-исследовательские расходы США и Канады несколько сократились (в 1997 году они составляли 38.2% от общемировых). Аналогично уменьшилась и доля Европы, в то время, как Азия демонстрирует постоянный рост ассигнований.
К примеру, ряд азиатских государств, таких как Тайвань, Сингапур и Южная Корея, тратят на науку более 2% своего ВВП. Вплотную к ним приблизилась Индия.
А по поводу количества ученых, в России ныне работают 8.9% от общего числа ученых мира. По этому показателю Россия занимает четвертое место, уступая лишь США 22.8%, Китаю 14.7% и Японии 11.7% научных сотрудников. Однако по степени финансирования Россия проигрывает. Она тратит на одного ученого $30 тыс., в то время, как США - $230 тыс., Китай - $88.8 тыс., Япония - $164.5 тыс.”
По количеству патентов и сертификатов изобретений страны СНГ не отстает от остального мира, но много обязательных, для диссертации, которые успешно забывается после защиты. В связи с тенденцией к "импортозамещению" можно было бы создать технопарки и наладить выпуск своих фиксаторов. Но последний пост Осторожно - рыбинский “Остеосинтез” показал, что задачу не так просто решить. Следующий вариант “made in Skolkovo”?
Здесь по поводу финансовых интересов среди врачей. Мне известно, что в большинстве авторы создавали что-то новое ради практики, и не думая про оплату. Только после широкого признания сами компании обращались к автору. И компании выбирают тех, кто имеет большой опыт работы и публикации по этой теме.
При успешности совместной работы, тогда расходы за рекламирование и выпуск берет компания, а автору выделяется гонорар от общей прибыли. Процент зависит от контракта, обычно около 5-6% от продажи, но имеются случаи, когда гонорар превышает более чем семизначную сумму. Эту информацию по Sunshine Act невозможно скрыть, и про отношения с компаниями все работники должны сообщить своевременно.
Если открытие создано на работе - университетской кафедре или в научной лаборатории, тогда половину гонорара получает ваш работодатель, а остальное делится между соавторами. Ваш мозг целиком, и даже то, что творите в свободное время, на 100% принадлежит вашему работодателю!
Более выгодно тому, кто работает на себя, на приват практике. Тогда изобретатель сам занимается получением разрешения и внедрением. Процесс долгий, но возможный. Подаются все результаты стандартных тестов из независимой лаборатории, и FDA в течение двух месяцев присылает ответ. Выпуск, маркетинг и страховка на ответственности изобретателя. 100% прибыль за вычетом расходов!
Примерно такая же практика существует с публикациями, книги публикуются ради престижа, а гонорары идут в Publishing Co. Автор получает презент - пару бесплатных экзямпляров!
|
[
Ответить ]
|
|
( Ответить )
|
|