вверх
отправить
поиск
админ
главная
|
Есть ли пределы у желания оперировать? |
 |
 |
 |
Отправлено Бережной Сергей 17 Август 2015, 01:16
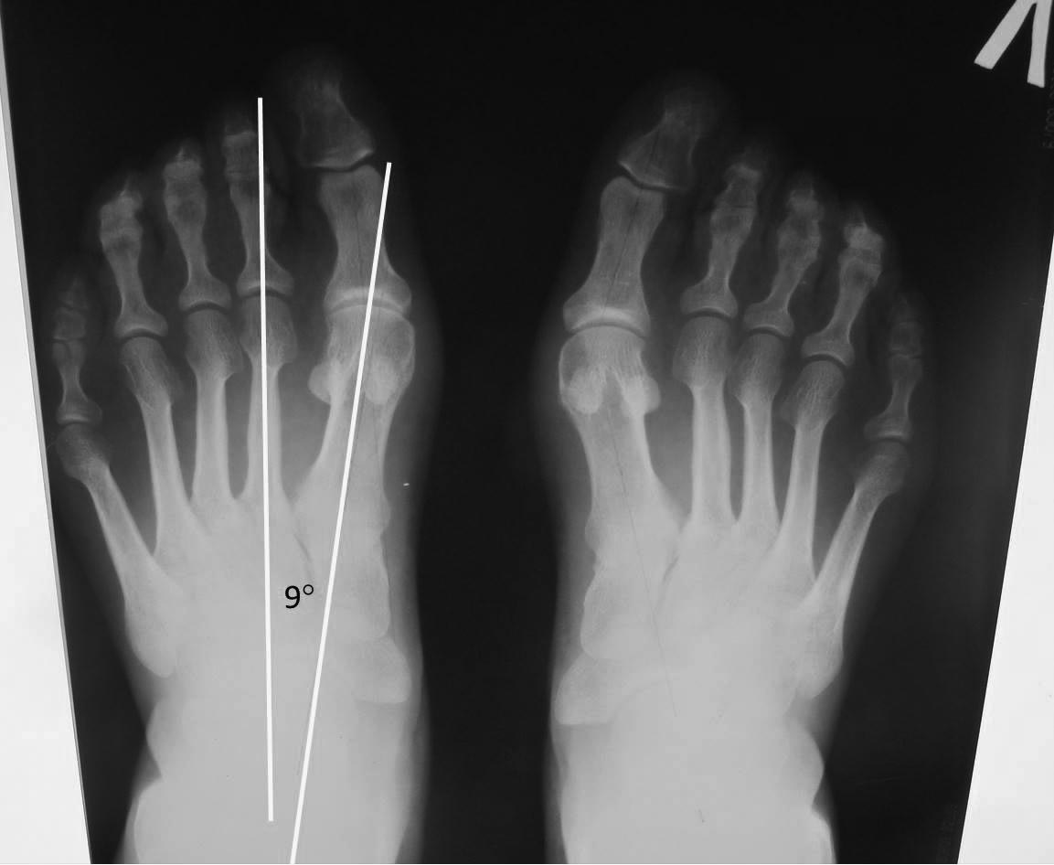
Уважаемые коллеги! Не знаю, найдет ли отклик этот пост? Долго сомневался, выкладывать ли случай на форум. Но уж больно необычный. Даже со скидкой на реалии сегодняшней жизни. Пациентка оперирована 6 мес назад в одной из московских ГКБ. С ее слов, обратилась с болями, характерными для болезни Мортона правой стопы. Была госпитализирована по ОМС. Как и положено, все было сделано бесплатно за исключением винтов (60 тыс.). Кроме удаления невромы были выполнены остеотомии scarf первых плюсневых, остеотомии пятых плюсневых и операции Гомана на четвертых пальцах. В диагнозе, правда, ничего о болезни портных и деформации 4-х пальцев не говорится. Наверное, это можно объяснить повседневной замотанностью и бумажной рутиной. Но как объяснить выполнение остеотомии scarf при величине первого межплюсневого угла 9 гр? И удаление невромы Мортона со стопы, которая не болела? На мой вопрос, как же она согласилась оперировать вторую стопу, пациентка ответила, что о второй ей сказали уже во время операции (спинальная анестезия), когда она была в полусонном от премедикации состоянии. И объяснили тем, что при УЗИ неврома была выявлена и на другой стопе и все равно рано или поздно заболела бы. Возможно, и невроме Мортона на другой стопе существует объяснение. Перепутали стопу, и пришлось искать аргументы. Но scarf при 9 гр… При том, что отклонение первого пальца кнаружи на одной стопе сохранилось. Сейчас пациентка испытывает сильные боли в стопах, длительное время нетрудоспособна. Я-то ей только один сильно торчащий винт удалил из 5 плюсневой. А чем еще помочь, кроме как психологически, не знаю.
<
|
>
|
|
Ответить
|
Re: Есть ли пределы у желания оперировать?
Лубенец Александр 18 Август 2015, 00:54
|
Это просто жесть какая то((
Очень сдержано и культурно изложена история))
я бы назвал пост по другому)
|
[
Ответить ]
|
Re: Есть ли пределы у желания оперировать?
Данила Курышев 18 Август 2015, 03:14
|
Уважаемый Сергей Юрьевич! С чем, на Ваш взгляд, связаны сильные боли в стопах и нетрудоспособность? Если не трудно будет ответить.
С уважением.
|
[
Ответить ]
|
Re: Есть ли пределы у желания оперировать?
Отправитель: Бережной Сергей 18 Август 2015, 11:40
|
На самом деле ответить достаточно трудно. Пациентка сложная в соматическом и психологическом планах. Прежде всего, как я понимаю, она была не готова к такому объему вмешательств и, соответственно, к последующей длительной реабилитации, необходимости смены обуви, пользования стельками. Работа пациентки связана с длительной ходьбой. Незадолго до операции она много путешествовала пешком по горной местности (Крым) и вынуждена была периодически останавливаться и пережидать боль в правой стопе. Это типично для невромы Мортона. Она ожидала быстрого избавления от этой боли. И такой результат был вполне реален. Но по отношению к объему выполненных операций ее ожидания оказались не реалистичными, как сейчас принято говорить. Происшедшее явилось для пациентки шоком, от которого она до сих пор не может психологически оправиться. К тому же, после операции, с ее слов, в течение трех месяцев держались выраженные отеки стоп, чему могут быть подтверждением яркие кожные рубцы. Все это время она ходила совсем мало, в ботинках с разгрузкой переднего отдела, что тоже могло сыграть отрицательную роль. В соматическом плане - Вы видели ее диагноз. Вестибулоатаксический синдром и т.д. Совсем недавно она перенесла операцию по поводу новообразования шейного позвонка, что не отражено в диагнозе. Страдает хронической люмбалгией с частыми обострениями. Все это могло и может отражаться на координации движений и формировании болевого синдрома. Я бы ни за что не оперировал подобной пациентке сразу обе стопы, тем более одновременно медиальный и латеральный лучи.
Современные подходы к хронической (более трех мес) боли любого происхождения предполагают участие в лечении психотерапевта и применение психотропных препаратов. До сих пор такое лечение пациентке не проводилось, хотя и предлагалось неврологом. Роль психотерапевта в данном случае я постарался сыграть. Думаю, это даст эффект.
|
[
Ответить ]
|
Re: Есть ли пределы у желания оперировать?
Отправитель: Данила Курышев 19 Август 2015, 04:09
|
Спасибо, Сергей Юрьевич! всё понятно.
|
[
Ответить ]
|
|
Re: Есть ли пределы у желания оперировать?
A. Larionov 18 Август 2015, 17:40
|
Где именно у нее болит?
ААЛ
|
[
Ответить ]
|
Re: Есть ли пределы у желания оперировать?
Отправитель: Бережной Сергей 18 Август 2015, 23:25
|
Помимо общей боли при ходьбе в переднем и среднем отделах обеих стоп, локально боль концентрируется в проекции головок 5 плюсневых костей и возникает при тыльном сгибании в плюснефаланговых суставах, особенно - первых пальцев, больше - на правой стопе. Тесная обувь усугубляет болевой синдром. При этом подвижность пальцев хорошая - пациентка упорно занималась физкультурой.
|
[
Ответить ]
|
|
Re: Есть ли пределы у желания оперировать?
Савранский Александр 25 Август 2015, 17:51
|
Не знаю может у меня неправильный транспортир, но угол получился по этим снимкам больше чем 9. Судя по контрольным снимкам ничего катастрофического нет. Да слева тоже стоило сделать остеотомию по Эйкин. Жаль нет фотоснимков ног до операции, чтобы сравнить стоило ли так усердствовать. По поводу отеков стоп до 3 месяцев- у меня такое тоже бывало, ничего - проходили.Насчет того, что до операции не обсудили с пациенткой объем операции, не рассказали о длительности реабилитации- да- это серьезнейшая ошибка, о чем, если не путаю, в Вашей диссертации, Сергей Юрьевич, говорится. Также непонятна операция на бессимптомной по невроме ноге. Насчет сохраняющихся болей, нетрудоспособности- тут очень многое зависит от психотипа пациента- некоторые даже после очень удачно сделанных операций, ноют, недовольны и т.д. Тут уж действительно надо быть психотерапевтом.
|
[
Ответить ]
|
Re: Есть ли пределы у желания оперировать?
Отправитель: Бережной сергей 27 Август 2015, 01:56
|
Транспортир правильный, не сомневайтесь. Разница в измерениях углов очень частое явление. В мае я даже читал доклад на одной из конференций на эту тему. Предварительно попытался провести опрос на форуме с просьбой определить величину угла М1М2 на 4-х простых рентгенограммах (пост от 06 апреля, http://weborto.net/forum/1428264407/index_html). Большого интереса опрос не вызвал, но на почту 18 ответов все-таки получил, за что участникам большое спасибо. Так вот, разница в измерениях достигала 40-50%. На эту тему много работ написано. Но даже если не 9 гр., а 11-12. Разве это достаточный повод для остеотомии scarf? Иногда за одну неделю мне приходится делать по 4-5 повторных операций. И всяких «ужасов» мог бы показать. «Ужас» же этой ситуации в том, что остеотомии сделаны прекрасно. Только зачем? По поводу отеков стоп тоже согласен. Не только у Вас они бывают, но и у многих пациентов. И если на фоне отека пациент ходит, занимается физкультурой – это нормально. А если преимущественно лежит и страдает от болей, да еще гипертрофические рубцы формируются – тогда это уже осложнение.
|
[
Ответить ]
|
Re: Есть ли пределы у желания оперировать?
Отправитель: Савранский Александр 27 Август 2015, 02:51
|
Спасибо за представленный случай. Если есть еще интересные повторные операции- было бы полезно поделиться Вашим большим опытом. Ведь лучше учиться на чужих ошибках.
|
[
Ответить ]
|
|
( Ответить )
|
|