AOTRAUMA.ORG Центр Илизарова  

Ортопедия и травматология Общие вопросы/General questions Help Информационные технологии в медицине
 вверх
 отправить
 поиск
 админ
 главная


Застарелое повреждение коленного сустава.
Ортопедия и травматология Отправлено Сергей Дукер 09 Сентябрь 2015, 20:16
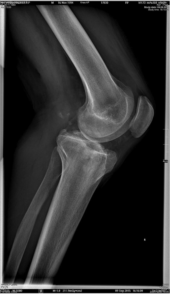
Пациент 21 г.посттравматический гонартроз. Застарелое повреждение наружной боковой и задней крестообразной связок. Посттравматическая нейропатия малоберцового нерва.
Травма 3 года назад.
Вывих костей голени.
Лечение консервативное. Два года назад ревизия малоберцового нерва-без эфaекта.
На момент осмотра: Жалобы на нестабильность в коленном суставе. Объем движений в коленном суставе полный. Нестабильность наружно-задняя.Р-гр в приложении.
Планируется первым этапом корригирующая остеотомия внутреннего мыщелкабольшеберцовой кости и восстановление наружной боковой связки.При необходимости вторым этапом пластика ЗКС.
Кто что посоветует?

<  |  >

 

  • Сообщения о Ортопедия и травматология
  • Также Сергей Дукер
  • Связаться с автором
  • Ответить

    Re: Застарелое повреждение коленного сустава.
    Сергей Дукер 11 Сентябрь 2015, 14:16


    ///

    [ Ответить ]

    Re: Застарелое повреждение коленного сустава.
    Алексей В 12 Сентябрь 2015, 17:04
    Здравствуйте. Нет анамнеза заболевания.
    расскажите, какой механизм травмы был у пациента, что с ним произошло, есть ли первичные рентгенограммы? был ли у пациента гемартроз? Судя по предоставленным снимкам - был гемартроз. И диагноз - посттравматический гонартроз с нейропатией не полный.
    [ Ответить ]

    Re: Застарелое повреждение коленного сустава.
    женя 12 Сентябрь 2015, 18:45
    Добрый день! Знание механизма травмы сегодня уже не важно, ясно, что было нечто высокоэнергетическое. Если есть возможность КТ с 3D-реконструкцией, то будет понятнее с характером остеотомии внутреннего мыщелка б/б + артроскопия по ходу. Хорошенько "поднять" мыщелок и стабилизировать латеральную КС, далее наблюдать в течение 4-6 мес. в плане нестабильности - м.б. восстановление анатомии на костном уровне позволит несколько стабилизировать сустав + формирование мышечного корсета + легкий ортез?
    Прошло 3 года, с хрящем наверняка дело плохо, да и любые вмешательства повышают риск вялотекущей инфекции, тугоподвижности (которая, вероятно, и так есть).
    Надо подумать (о пациенте) на несколько лет вперед - колено, увы (хоть и нежный возраст) все-равно "под замену" - и создать максимально благоприятные условия для эндопротезирования
    [ Ответить ]


    ( Ответить )

    Powered by Zope  Squishdot Powered MedLink
    Посетитель: 0174803
      "По форме правильно, а по существу - издевательство" В.И.Ленин
    ©2001-2019Orthoforum Coordinator.
    [ Главная | Отправить сообщение | Поиск | Админ ]