AOTRAUMA.ORG Центр Илизарова  

Ортопедия и травматология Общие вопросы/General questions Help Информационные технологии в медицине
 ВХОД ДЛЯ ПАЦИЕНТОВ
 вверх
 поиск
 админ
 главная


Контрактура коленных суставов
Ортопедия и травматология Прислано Шухрат 22 Сентябрь 2015, 13:38
из ГКБ № 1 г.Худжанд, Таджикистан
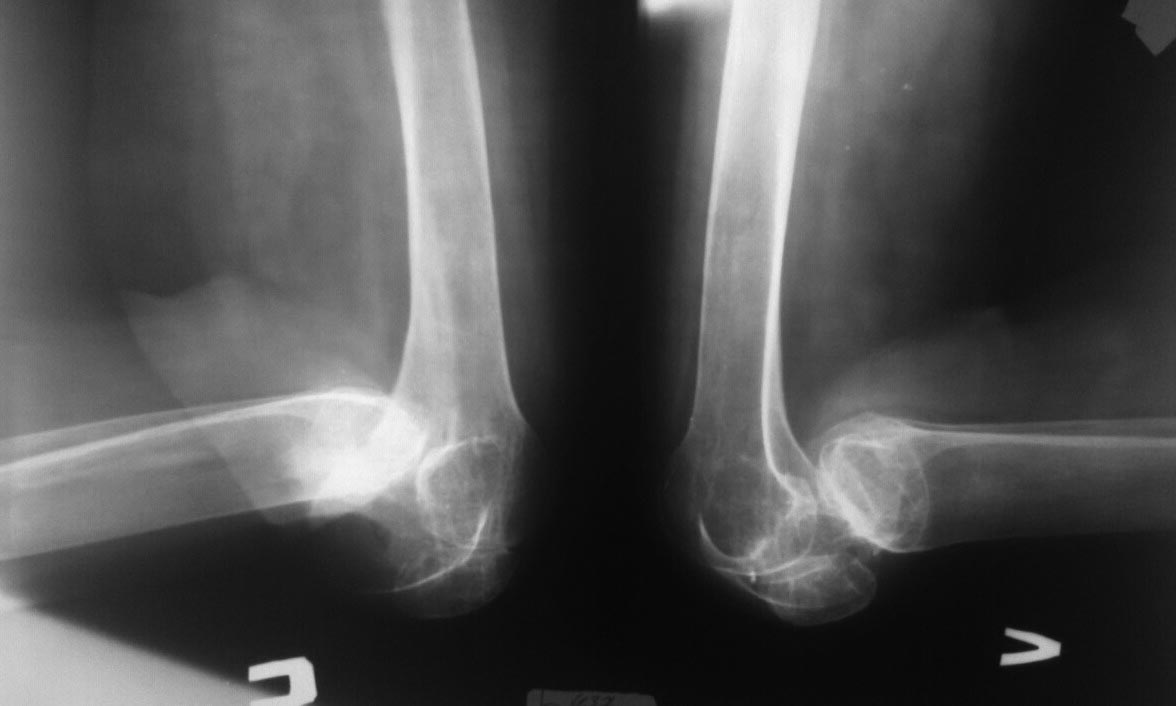
Девочка 16 лет, 4 года назад по поводу ожога пламенем тяжелой степени обеих нижних конечностей она лечилась в сельской больнице, несколько этапов аутодермопластики, и в настоящее время обратилась в отделение травматологии и ортопедии за помощью.
Если честно, такую категорию больных никто давно не помнит, 4 года как она не ходит, материальная сторона больной, естественно, не может позволить ей куда то выехать и лечиться. Наш диагноз: Двухсторонняя постожоговая контрактура коленных суставов, вывих голеней кзади.
Фото и рентген снимки прилагаются. Мы думали о метаплазии по Вредену, Капсулотомии по Вильсону, Резекции суставных поверхностей и артродезе, можно в аппарате Илизарова, но во всех случаях сомнения и вопросы:
Сможем ли одномоментно вывести конечность в более правильное положение, не рановато ли с артродезирванием в 16 лет? Буду рад и признателен советам форума
Спасибо.
С уважением, Шухрат

Послать ответ

Имя
Email
Уведомление Сообщить мне по e-mail об ответах на это сообщение
Название
Комментарий
(Проверьте URL! Не забудьте написать http://!)
Кодировка
Если не знаете, что выбрать, выберите "Просто текст"!
Приложение
Можно приложить к сообщению файл c изображением, который затем будет доступен увидевшим сообщение.
Подготовка иллюстраций:
  • Рентгенограммы: черно-белые полутоновые изображения в формате JPEG (8 bit, greyscale) с разрешением от 300х200 до 1024х768 пикселов;
  • Клинические фотографии: полноцветные изображения в формате JPEG (24 bit, truecolor) с разрешением от 300х200 до 1024х768 пикселов;
  • Схемы и рисунки: черно-белые (2 bit) штриховые (line-art) изображения в формате GIF или compressed TIFF
  • Подберите степень сжатия файла JPEG и размер изображения таким образом, чтобы необходимые детали были различимы, но размер файла не превышал 75 кб.
  • Учтите, что текущая версия программного обеспечения Форума позволяет приложить к одному сообщению лишь один файл-вложение. Поэтому, если необходимо отправить несколько изображений, можно либо послать каждое как отдельное сообщение, либо в графическом редакторе объединить изображения в одно (сделать коллаж).
  • Если при подготовке изображений встречаются трудности, не стесняйтесь обратиться к координатору Форума.

  • Введите видимые символы в обратном порядке. Enter the above characters in reverse order (*Обязательно)
    В тексте сообщения можно использовать теги HTML <B> <I> <P> <A> <LI> <OL> <UL> <EM> <BR> <TT> <HR> <STRONG> <BLOCKQUOTE> <DIV .*> <DIV> <P .*>
  • Обратите внимание: Поля с жирными названиями обязательны.
  • Старайтесь отвечать в рамках обсуждаемой темы, а не начинать новые обсуждения.
  • Указывайте адекватную тему сообщения, чтобы было ясно, о чем оно.
  • Не послайте сообщений не по теме (оффтопик), раздраженных, грубых или обидных комментариев. Здесь это неуместно.
  • Powered by Zope  Squishdot Powered MedLink
    Посетитель: 0178924
      "По форме правильно, а по существу - издевательство" В.И.Ленин
    ©2001-2019Orthoforum Coordinator.
    [ Главная | Отправить сообщение | Поиск | Админ ]