AOTRAUMA.ORG Центр Илизарова  

Ортопедия и травматология Общие вопросы/General questions Help Информационные технологии в медицине
 вверх
 отправить
 поиск
 админ
 главная


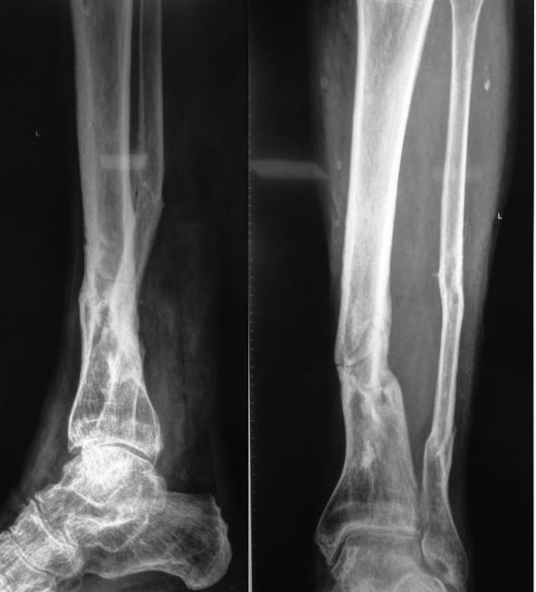
Перелом костей голени. Прошло 6 месяцев.
Ортопедия и травматология Отправлено Никита 25 Сентябрь 2015, 00:40
Здравствуйте. Прошу помощи участников форума. Обратился мужчина 55 лет. Травма в марте этого года: на ногу упало бревно. Лечение в гипсовой повязке.

Сентябрь 2015

март 2015
На данный момент ходит самостоятельно с тростью и в ортезе с шинами и замками. Боли нет. Может наступать на ногу и без ортеза - боли также не испытывает. Пальпация в области перелома безболезненна. Последняя рентгенограмма от 22.09.2015 - прослеживается линия перелома.
В анамнезе: 30 лет назад уже имел место открытый перелом костей голени, осложнившийся развитием инфекции - проводили лечение в АВФ. С тех пор и до марта этого года конечность не беспокоила. Курит.
Прошу помочь с выбором тактики ведения. Есть опасения, что если отпустить его с полной нагрузкой, рано или поздно произойдет перелом - вопрос решится сам собой в пользу БИОСа. Имеет ли смысл выполнять его сейчас, превентивно/с лечебной целью? Как расценить ситуацию: несращение, сращение, как назвать, вообще?Спасибо.

<  |  >

 

  • Сообщения о Ортопедия и травматология
  • Также Никита
  • Связаться с автором
  • Ответить

    Re: Перелом костей голени. Прошло 6 месяцев.
    Alexander Chelnokov 28 Сентябрь 2015, 14:24
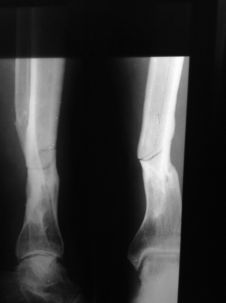
    Здесь сращение сомнительно, а деформация посттравматическая очевидна. Так что, конечно, здесь вполне уместен остеосинтез с коррекцией оси. Аппаратом или внутрикостный - что уж выберете.
    [ Ответить ]

    Re: Перелом костей голени. Прошло 6 месяцев.
    Никита 28 Сентябрь 2015, 22:14
    Спасибо большое, уважаемый Александр Николаевич. Пациенту все разъяснили: хочет попробовать ходить без приспособлений, а дальше, сказал, готов к любому варианту.
    [ Ответить ]


    ( Ответить )

    Powered by Zope  Squishdot Powered MedLink
    Посетитель: 0000117
      "По форме правильно, а по существу - издевательство" В.И.Ленин
    ©2001-2019Orthoforum Coordinator.
    [ Главная | Отправить сообщение | Поиск | Админ ]