вверх
отправить
поиск
админ
главная
|
Несращение бедра-выбор метода |
 |
 |
 |
Отправлено Илья 03 Октябрь 2015, 20:16
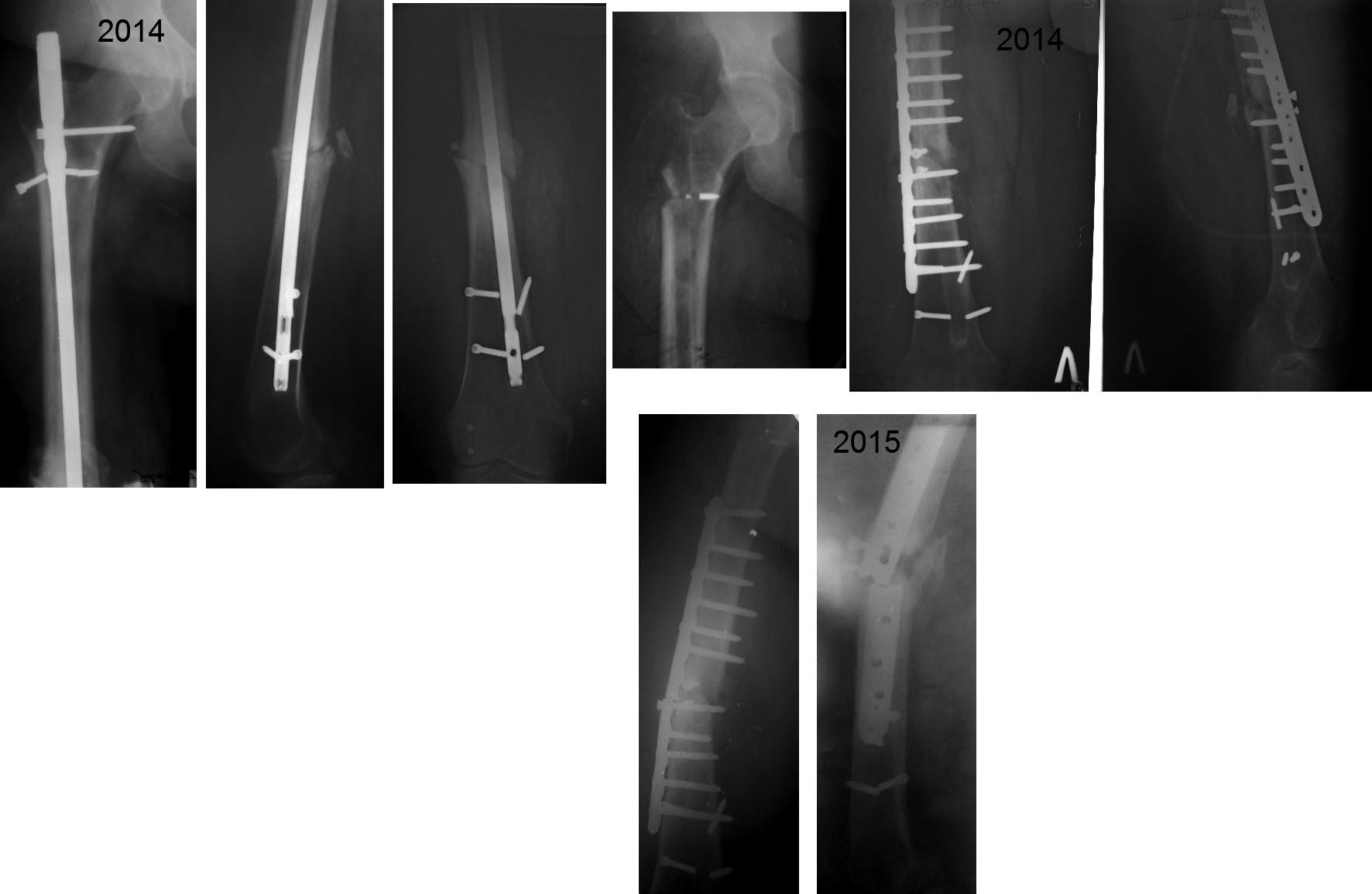
Здравствуйте уважаемые коллеги, прошу поделиться опытом лечения подобных пациентов. Пациентка К.40 лет ,вес- 130кг, рост 170 см, курит, С.Д. 2 тип-компенсированный.Травма в рез. ДТП 2008 г.- БИОС.Август 2014 г.-удаление стержня (судя по снимку с немалыми трудностями),костная аутопластика, МОС пластиной –заживление первичное. Поступила 29 09 2015 с несращением перелома и переломом фиксатора. СОЭ-16, Лейк-11.0.Предварительный план обследования и лечения:1.Исключить(подтвердить) наличие инфекции. Какой алгоритм, в сомнительных случаях, используете Вы? 2.Фиксация перелома длинной Gamma или PFNа с (или без) антибактериальной мантией (склоняемся к данному методу, однако настораживает потенциальный риск инфекции).3.Аппаратный метод лечения (со своими достоинствами и недостатками).Благодарю за помощь в принятии решения .С Уважением, Накоренок Илья.
<
|
>
|
|
Ответить
|
Re: Несращение бедра-выбор метода
Станислав митриев 04 Октябрь 2015, 20:07
|
Уважаемый Илья! С учетом веса 130 кг: гвоздь тонкий на блокирующих винтах диаметром 4.5 мм (предположу, что это ChM??)произошла самодинамизация. Далее ротационная нестабильность и несращение. Пластина + костная пластика - из разряда экспериментов над пациенткой. Подобные случаи неоднократно обсуждались на форуме. Убрать все железо, рассверлить/санировать канал. Толстый гвоздь на винтах диаметром 6 мм!! в динамическом варианте. Если есть клинические признаки инфекции - гвоздь в а/б мантией. Вопрос: почему именно Гамма/PFN? Не даст "динамики". По-моему, здесь и обычный диафизарный гвоздь пойдет с хорошей дистальной фиксацией в 2-х плоскостях. Или там на снимках уже и подвертельный перелом "проявился"?
С уважением, Станислав Дмитриев. Нижний Новгород
|
[
Ответить ]
|
Re: Несращение бедра-выбор метода
Отправитель: Илья 04 Октябрь 2015, 21:37
|
Благодарю Станислав за комментарий,причины неудач обеих операций очевидны.
Основанием выбора Гамма/PFN и т.п.являются:
1.Уже имеющееся, избыточно латеральное для стандартных стержней, место введения.
2.Скомпрометированная(после удаления стержня) подвертельная область(снимок 4)
Гамма/PFN имеют дистальные динамические отверстия,соответственно "динамика" вполне возможна.
Клинических проявлений инфекции нет,нужна ли в данной ситуации перестраховка?
|
[
Ответить ]
|
Re: Несращение бедра-выбор метода
Отправитель: Alexander Chelnokov 05 Октябрь 2015, 11:15
|
Клинических проявлений инфекции нет,нужна ли в данной ситуации перестраховка?
К сожалению, в том, что она таки была нужна, убеждаешься уже после операции.
Интуитивно представляется, что стоит позаимствовать подход из тромбопрофилактики - там мы не занимаемся индивидуальным прогнозированием, а при переломах бедра проводим ее просто всем подряд.
А в обсуждаемом контексте - гвозди с покрытием используем всем, у кого предстоит не первичный остеосинтез при закрытом переломе.
|
[
Ответить ]
|
Re: Несращение бедра-выбор метода
Отправитель: Илья 05 Октябрь 2015, 16:10
|
Благодарю Александр Николаевич за отзыв.Действительно,задача в поиске компромисса (потенциальный инфекционный риск- максимальная стабильность),мы так же склоняемся в сторону перестраховки.На сколько критично"нестабильны",по Вашему мнению, импланты с мантией?
|
[
Ответить ]
|
Re: Несращение бедра-выбор метода
Отправитель: Alexander Chelnokov 08 Октябрь 2015, 13:32
|
Нет никакой у них нестабильности из-за диаметра - он из-за цемента должен как раз больше, 13-15 мм.
Может быть меньший запас усталостной прочности из-за того, что гвоздь-то внутри относительно тонкий, и запирающие винты соответствующие. В наших условиях они все равно были бы раз не 6 мм, то хотя бы 5.
На начальном этапе они даже стабильнее могут быть, из-за цемента не будет люфта в отверстиях гвоздя.
|
[
Ответить ]
|
Re: Несращение бедра-выбор метода
Отправитель: Станислав Дмитриев 08 Октябрь 2015, 09:14
|
Тогда лучше не Гамму, а реконструктивный гвоздь с 2-я винтами 6,5 мм в шейку. Все таки, возраст 40 лет. Толстый 10-11 мм винт в шейке в молодом возрасте - не очень гуд, вдруг удалять придется...
|
[
Ответить ]
|
Re: Несращение бедра-выбор метода
Отправитель: Илья 08 Октябрь 2015, 18:24
|

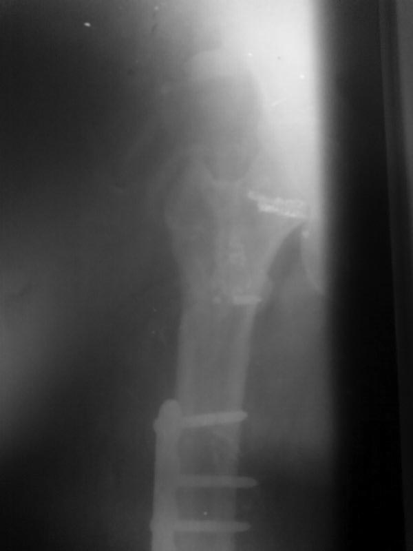
Вариант реконструктивного стержня с латеральной точкой введения также рассматривается.
Так выглядит проксимальный отдел бедра на данный момент.
|
[
Ответить ]
|
Re: Несращение бедра-выбор метода
Отправитель: Александр 08 Октябрь 2015, 12:50
|
1.Убрать, рассверлить, поставить адекватный по диаметру стержень/реконструктивный стержень/PFN/PFNa.
2.Проблемы с инфекцией, как по мне, там нет. Есть проблема с выбором фиксаторов.
3. Динамизация это плохая идея. С биологией там все ок. Как раз в первом случае не хватало стабильности, а во втором пластина на перелом бедра с дефектом внутренней стенки. Но опять таки мозоль неплохая. Динамизация на стержне сейчас мало того, что не решит проблему так еще есть риск перелома винтов. Так что только статическое блокирование. ИМХО.
|
[
Ответить ]
|
Re: Несращение бедра-выбор метода
Отправитель: Илья 08 Октябрь 2015, 18:28
|
Возможно так бы и поступили при несколько других обстоятельствах. Имеем СРБ ++,склоняемся к импланту с а.б. мантией.
|
[
Ответить ]
|
|
Re: Несращение бедра-выбор метода
Maxim Agalakov 04 Октябрь 2015, 22:15
|
нужно сделать СРБ, инфицирование очень вероятно, при использовании гвоздя с а/б покрытием - он будет тонкий, соответственно нестабильности будет больше. я за максимально толстый гвоздь с рассверливанием и продленной антибиотикопрофилактикой по чувствительности, постараться максимально удалить имеющееся железо.
|
[
Ответить ]
|
Re: Несращение бедра-выбор метода
Отправитель: Илья 05 Октябрь 2015, 00:10
|
Здравствуйте Максим.Спасибо за Ваш вариант решения данной проблемы,обязательно примем во внимание.Чем обусловлена возможная нестабильность, если стержень с мантией 12-13 мм.,потенциальным риском ее разрушения при операции, в динамике или...?
|
[
Ответить ]
|
|
( Ответить )
|
|