AOTRAUMA.ORG Центр Илизарова  

Ортопедия и травматология Общие вопросы/General questions Help Информационные технологии в медицине
 вверх
 отправить
 поиск
 админ
 главная


Hallux valgus+грибковое поражение 2 пальца
Ортопедия и травматология Отправлено Виктор 06 Октябрь 2015, 00:54
Больной 67 лет обратился с просьбой удалить 2 палец, так как уже целый год испытывает сильные боли в области 2 пальца при ходьбе.
Лечение у дерматолога оказалось не эффективным. Вальгусная деформация 1 пальца стопы беспокоит тоже пациента, но в гораздо меньшей степени.Уважаемые коллеги - подскажите наиболее разумную тактику лечения.

<  |  >

 

  • Сообщения о Ортопедия и травматология
  • Также Виктор
  • Связаться с автором
  • Ответить

    Re: Hallux valgus+грибковое поражение 2 пальца
    Бережной Сергей 06 Октябрь 2015, 18:02
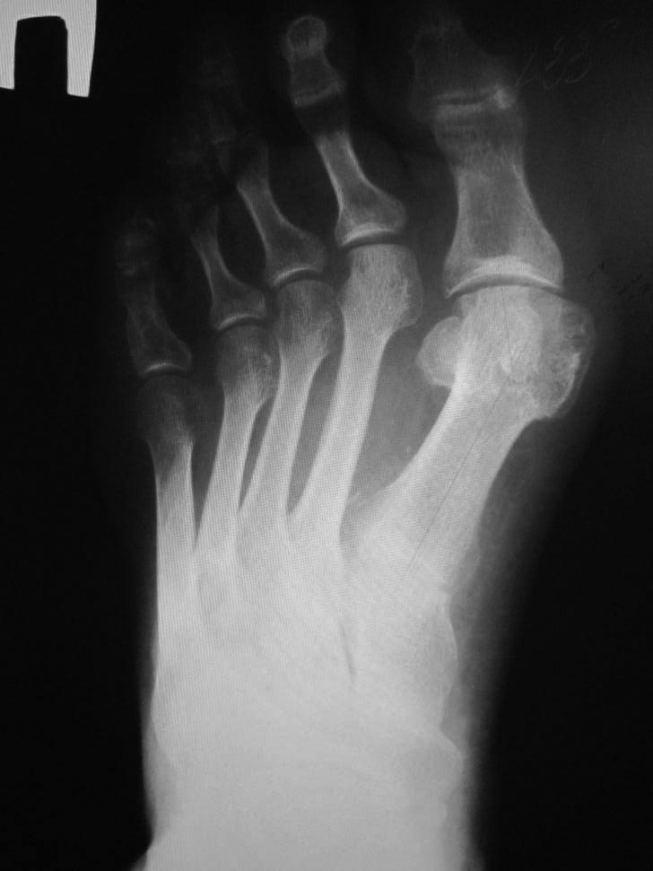
    А что заставляет Вас думать о том, что упорный болевой синдром обусловлен грибковым поражением? Поражением чего? Ногтевой пластинки, кожного покрова,суставов? На единственной фотографии виден отек всей стопы (судя по отпечаткам носка на коже), включая 1 и 2 пальцы. Есть вальгусная деформация 1 и 2 пальцев, легкая молоткообразная деформация 2 пальца. А какое место болит? Болит при ходьбе в обуви или при ходьбе босиком тоже? Где рентгенограммы? Почему отечна стопа? Есть ли признаки воспаления в анализах крови? Понять отчаявшегося пациента можно. Но чтобы спрашивать совета, нужно предоставить хотя бы минимум полезной информации.
    [ Ответить ]

    Re: Hallux valgus+грибковое поражение 2 пальца
    Виктор 06 Октябрь 2015, 21:44
    уважаемый Сергей Юрьевич. Кроме грибкового поражения особых изменений больше нет. Боль у пациента возникает в области ногтевой фаланги как в обуви, так и босиком. Пациент за последний год отмечает усиление деформации 2 пальца стопы (загибается книзу). По анализам крови - без патологии.
    [ Ответить ]

    Re: Hallux valgus+грибковое поражение 2 пальца
    Савранский Александр 06 Октябрь 2015, 23:28
    Первое, что бросается в глаза- явно удлиненная 2 плюсневая кость. Может все-таки боли связаны с молоткообразной деформацией 2 пальца? Возможно стоит рассмотреть такой план- SCARF на 1 луче, укорачивающая остеотомия на 2 луче, остеотомия основной фаланги 2 пальца, тенотомии сгибателей 2 пальца. Ну и в конце удалить ногтевую пластинку 2 пальца.
    [ Ответить ]

    Re: Hallux valgus+грибковое поражение 2 пальца
    Paul 07 Октябрь 2015, 10:54
    Согласен с Александром - удлинение 2 луча - очевидно. Палец упирался в обычную (дешёвую) обувь (если присмотреться - контур, по пальцам, в виде правильного овала, скорее всего носил "керзачи" или что-то подобное), вызывая неприятные болезненные ощущения при ходьбе. С этим всё связано. Микотическое поражение стоп у 80% больных с вальгусной деформацией и плоскостопием, клинические проявления скудные, в лёгких случаях онихомикоз и межпальцевой дерматит или другие проявления (лихинефикация. оккантолиз, могут быть пустулы в кожных покровах стопы....).
    Можно "футболить" пациента (как ни как инфекционное заболевание), можно лечить, лучше комплексно, одно другому не мешает.
    [ Ответить ]

    Re: Hallux valgus+грибковое поражение 2 пальца
    Бережной Сергей 08 Октябрь 2015, 00:24
    Согласен с коллегами. Греческий тип стопы - вполне возможная причина болей. Плюс - формирующаяся молоткообразная деформация второго пальца, в т.ч., связанная с постепенным разрывом подошвенной пластинки второго плюснефалангового сустава. Период формирования разрыва может быть болезненным. Вероятно, нужно думать об укорочении второго луча. И устранении вальгусной деформации первого и второго (а может и других) пальцев. По рентгенограмме не очень получается оценить первый межплюсневый угол. Возможно, вмешательство на первой плюсневой кости и не нужно, если угол маленький. И достаточно будет остеотомии Akin, субкапитальной остеотомии М2 и корригирующей вальгус и укорачивающей остеотомии основной фаланги второго пальца. Не очень понятным остается отек стопы.
    [ Ответить ]

    Re: Hallux valgus+грибковое поражение 2 пальца
    Бен Эльайфар М. 11 Октябрь 2015, 00:33
    Нужно исключить системное заболевание, нужна консультация ревматолога
    [ Ответить ]


    ( Ответить )

    Powered by Zope  Squishdot Powered MedLink
    Посетитель: 0388378
      "По форме правильно, а по существу - издевательство" В.И.Ленин
    ©2001-2019Orthoforum Coordinator.
    [ Главная | Отправить сообщение | Поиск | Админ ]