AOTRAUMA.ORG Центр Илизарова  

Ортопедия и травматология Общие вопросы/General questions Help Информационные технологии в медицине
 вверх
 отправить
 поиск
 админ
 главная


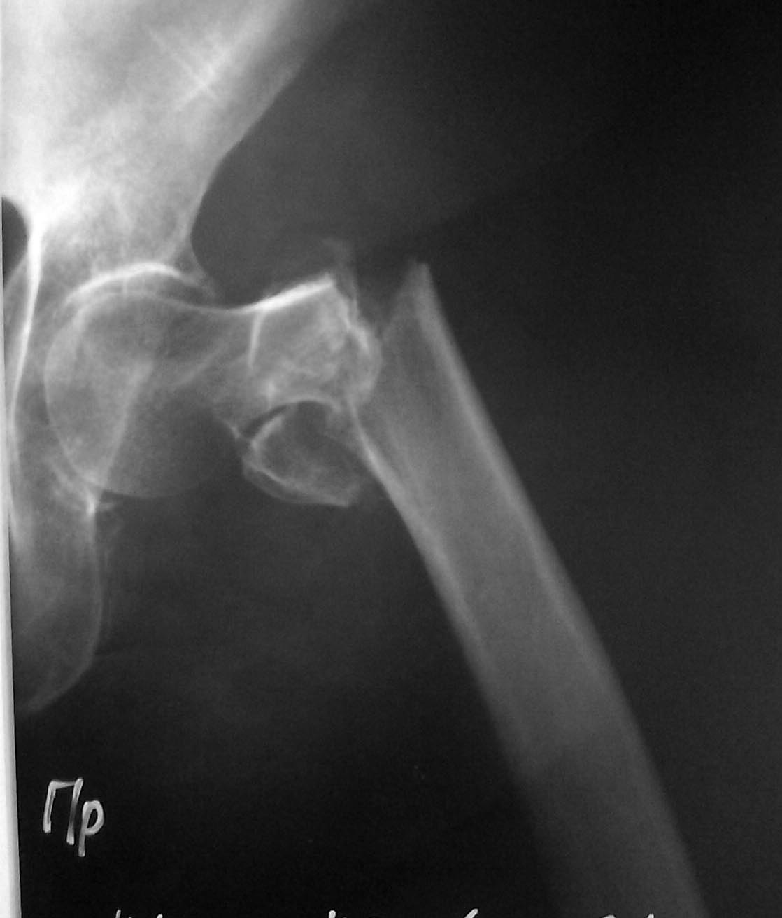
Чрезвертельный перелом
Ортопедия и травматология Отправлено Роман храмцов 10 Октябрь 2015, 04:22
Больная 77 лет чрезаертельный перелом, коллегам просьба помочь в выборе метода лечения


<  |  >

 

  • Сообщения о Ортопедия и травматология
  • Также Роман храмцов
  • Связаться с автором
  • Ответить

    Re: Чрезвертельный перелом
    Alexander Chelnokov 10 Октябрь 2015, 11:02
    Что доступно на месте, чем обычно фиксируете вертельные переломы? И чем обусловлен вопрос - этот перелом выглядит каким-то необычным?
    Так, абстрактно - какой-нибудь PFN, если есть такая возможность. Или DHS.
    [ Ответить ]

    • Re: Чрезвертельный перелом
      Отправитель: Роман храмцов 10 Октябрь 2015, 20:12
      Александр Николаевич извиняюсь что сразу не обозначил проблему. До этого чаще ставили PFN но за средства больного. В данном случае родственников нет. Экономист говорит зарплату не чем выдавать, и что у нас всего лишь травматологические койки. При этом о переводе больного вообще вопрос не стоит. 5 лет назад купили ящик советских пластин, сказали пока ставить их.

      [ Ответить ]
      • Re: Чрезвертельный перелом
        Отправитель: Александр 10 Октябрь 2015, 22:12
        1. Скелетное вытяжение никто пока не отменял. Как ни крути. А "найти" противопоказания к операции можно.
        2. Корректно беседовать об оперативном лечении на снимке репонированного пепелома
        3. Забейте клинок, винты в шейку. Как-никак выписать сможете точно. Ну или стационарно, но все лучше чем лежать на скелетном.

        [ Ответить ]
      • Re: Чрезвертельный перелом
        Отправитель: Alexander Chelnokov 11 Октябрь 2015, 10:38
        А где события развиваются? Какой ближайший крупный город?

        [ Ответить ]
    Re: Чрезвертельный перелом
    Роман храмцов 10 Октябрь 2015, 21:04
    Возможно ли несколько изогнуть обычную пластину с ограниченным контактом, ввести в головку два спонгиозных канюлированных винта с неполной резьбой?.
    [ Ответить ]

    • Re: Чрезвертельный перелом
      Отправитель: Alexander Chelnokov 11 Октябрь 2015, 13:37
      Такого рода "импровизации" с большой долей вероятности создадут больше проблем, чем решат. Чтобы остеосинтез в условиях остеопороза был состоятелен, надо его сделать технически безупречно.
      Можно тут и аппаратом проблему решить - 2-3 стержня в шейку-головку, два в диафиз, и на одной планке с отверстиями все закрепить.

      [ Ответить ]
      • Re: Чрезвертельный перелом
        Отправитель: Paul 12 Октябрь 2015, 11:10
        В случае среднего веса, без развитых мышц бедра, хорошие социальные условия - можно полечить стержневым аппартом. Окончательный выбор способа лечения будет понятен после установки скелетного вытяжения и репозиции на вытяжении (сделать рентгенограммы) - монграфия Ключевского.

        [ Ответить ]
      • Re: Чрезвертельный перелом
        Отправитель: Paul 12 Октябрь 2015, 11:11
        В случае среднего веса, без развитых мышц бедра, хорошие социальные условия - можно полечить стержневым аппаратом. Окончательный выбор способа лечения будет понятен после установки скелетного вытяжения и репозиции на вытяжении (сделать рентгенограммы) - монография Ключевского.

        [ Ответить ]
    Re: Чрезвертельный перелом
    Роман храмцов 13 Октябрь 2015, 08:57
    Спасибо всем участникам за помощь. Жду PFN, вроде обосновал МЭСами экономическую целесообразность его приобретения, если нет готовы на аппарат.
    [ Ответить ]

    Re: Чрезвертельный перелом
    Роман храмцов 13 Октябрь 2015, 08:57
    Спасибо всем участникам за помощь. Жду PFN, вроде обосновал МЭСами экономическую целесообразность его приобретения, если нет готовы на аппарат.
    [ Ответить ]


    ( Ответить )

    Powered by Zope  Squishdot Powered MedLink
    Посетитель: 0392134
      "По форме правильно, а по существу - издевательство" В.И.Ленин
    ©2001-2019Orthoforum Coordinator.
    [ Главная | Отправить сообщение | Поиск | Админ ]