вверх
отправить
поиск
админ
главная
|
Чрезвертельный неправильно консолидирующийся перелом |
 |
 |
 |
Отправлено Тимур 25 Октябрь 2015, 06:09
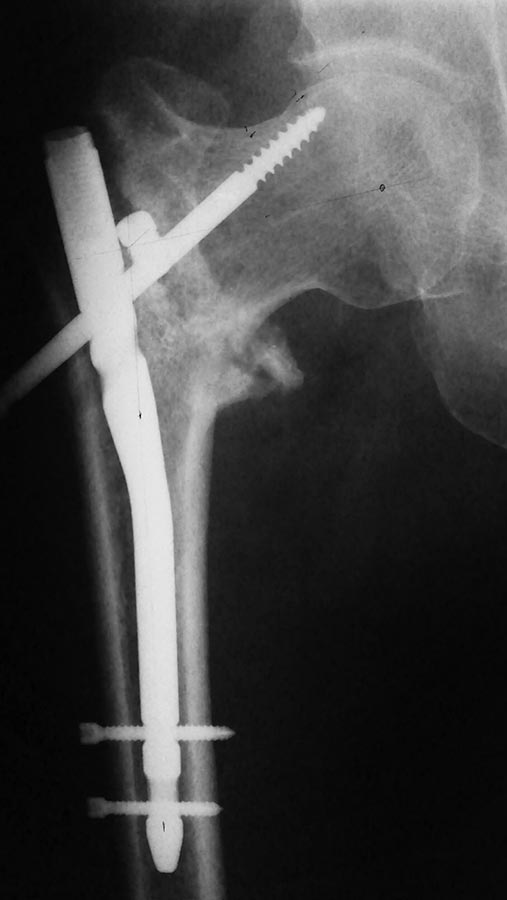
Травма, МОС PFN в апреле 2015 В июне миграция шеечного винта, удаление его. На данный момент в течение недели усилились боли, ходит с костылём с частичной нагрузкой на конечность. Имеем вот такой снимок. Консультирован дважды в областной, рекомендовано в 1 сучае лечиться далее консервативно, а другом протезирование сустава. Собственные мысли: Удаление МК, ремос в нормальном вальгусном положении шейки. Этим же стержнем? По документам это Beznoska. Можно раздобыть установочный инструмент. DHS видится неплохим вариантом, но его нет в наличии. Протезирование имеется, но не хочется -норм.сустав. прошу совета.
<
|
>
|
|
Ответить
|
Re: Чрезвертельный неправильно консолидирующийся перелом
Alexander Chelnokov 25 Октябрь 2015, 15:33
|
Это хороший аксиальный снимок. Хотя ситуация понятна, фас желательно тоже увидеть.
Мы бы сделали вальгизирующую межвертельную остеотомию с фиксацией внутрикостным гвоздем. Желательно спланировать положение имплантата в интактных участках головки. Возможно, стоит подумать об аугментации ее, т.е. заполнении дефектоа от прежних шеечных винтов чем-то.
|
[
Ответить ]
|
Re: Чрезвертельный неправильно консолидирующийся перелом
Alexander Konovalov 25 Октябрь 2015, 15:42
|
Хотелось бы увидеть, как минимум, правый тазобедренный сустав в 2х проекциях и не обрезанных с захватом бедра.
А также анамнез подробнее (привычки, соматика?), п/о период как протекал?
С уважением КАБ.
|
[
Ответить ]
|
Re: Чрезвертельный неправильно консолидирующийся перелом
Отправитель: Тимур 27 Октябрь 2015, 01:14
|
Доброго времени суток! Анамнез без особенностей- мужчина 45-49 лет, не алкаш, рработяга. В п\о периоде как уже писал миграция шеечного винта, удаление его. Сначала вроде начал ходить с опорой, потом усилился б\с, ходит с костылём. Вторая проекция.
|
[
Ответить ]
|
Re: Чрезвертельный неправильно консолидирующийся перелом
Отправитель: Paul 27 Октябрь 2015, 09:58
|
Для шеечного компанента как минимум - клинковая пластина или заполнение полости... цементом, если аутокость. то длительная иммобилизация в кокситной повязке (8-12 недель). Вальгизация - обязательна.
|
[
Ответить ]
|
|
Re: Чрезвертельный неправильно консолидирующийся перелом
Alexander Chelnokov 27 Октябрь 2015, 23:14
|
А где пациент находится? Можно к нам попытаться его взять.
|
[
Ответить ]
|
Re: Чрезвертельный неправильно консолидирующийся перелом
Отправитель: Тимур 31 Октябрь 2015, 23:46
|
В Ленинградской области. попробую предложить, хотя до вас далеко..
|
[
Ответить ]
|
Re: Чрезвертельный неправильно консолидирующийся перелом
Отправитель: Тимур 31 Октябрь 2015, 23:47
|
Спасибо за участие!
|
[
Ответить ]
|
|
Re: Чрезвертельный неправильно консолидирующийся перелом
Дмитрий 02 Ноябрь 2015, 08:18
|
Винт-заглушка в линии перелома. Как он туда попал? Не поэтому-ли прямую проекцию не хотели показывать)))
Надо удалять. Похоже, остается только протезирование, т.к. шейка "пустая", по снимку видно, что винт прорезался и сместился краниально, на аксиале тоже видно. Поэтому Гамма не пойдет, пластина на спонгиозных винтах тоже. Можно конечно цемента напихать, потренироваться... А стоит? Думаю протез лучший вариант.
|
[
Ответить ]
|
( Ответить )
|
|