AOTRAUMA.ORG Центр Илизарова  

Ортопедия и травматология Общие вопросы/General questions Help Информационные технологии в медицине
 вверх
 отправить
 поиск
 админ
 главная


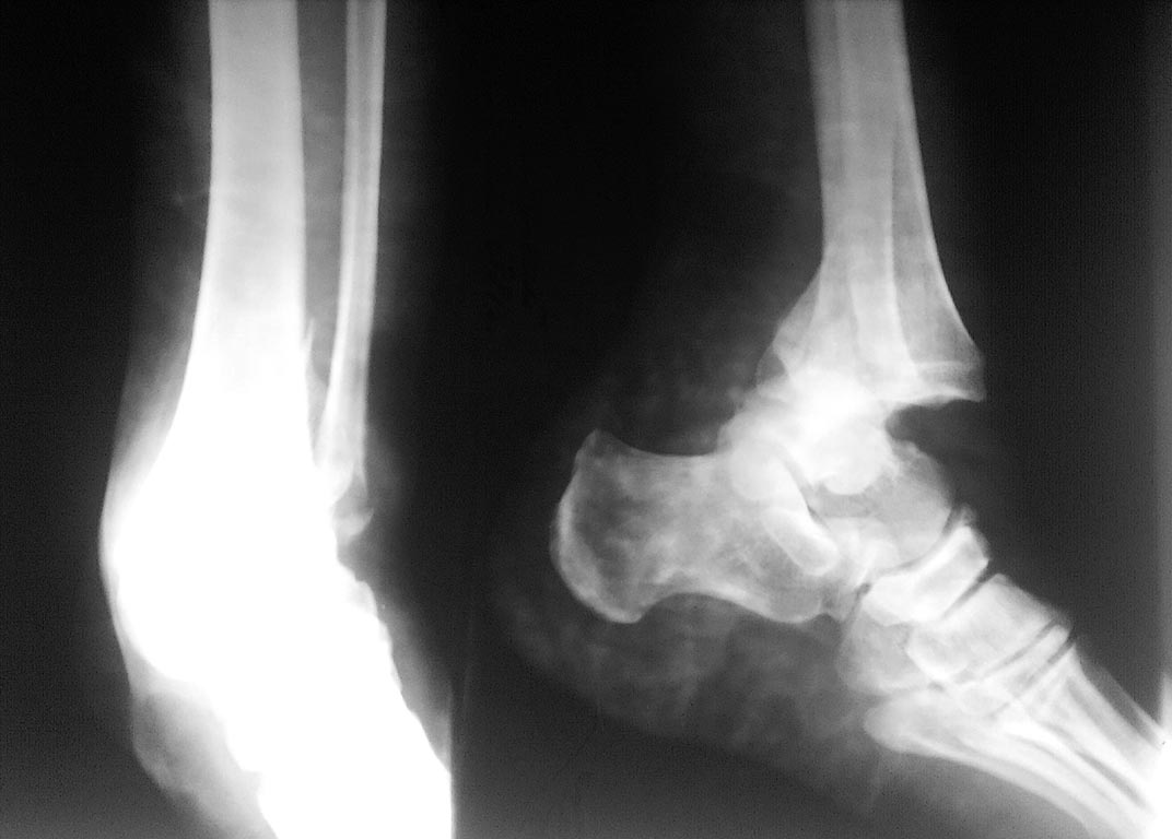
Опять лодыжки
Ортопедия и травматология Отправлено Сергей 30 Октябрь 2015, 20:52
Здравствуйте. Операция 2 дня назад по дежурству, объем движений в голеностопном суставе полный.
Пациенту 35 лет. Ограничиться заменой длинных винтов либо делать реостеосинтез малоберцовой кости?

<  |  >

 

  • Сообщения о Ортопедия и травматология
  • Также Сергей
  • Связаться с автором
  • Ответить

    Re: Опять лодыжки
    Сергей 30 Октябрь 2015, 23:36
    3

    [ Ответить ]

    • Re: Опять лодыжки
      Отправитель: Михаил Аcтафичев 31 Октябрь 2015, 21:57
      Реостеосинтез. Пластину малоберцовой расположить по задней поверхности, противоскользящая + межфрагментарный стягивающий винт вне пластины. Каждый этап-- R-контроль.

      [ Ответить ]
    Re: Опять лодыжки
    Дедок Михаил 31 Октябрь 2015, 01:22
    1. Нет репозиции обеих лодыжек.
    2. Зачем оперировать по дежурству, если нет р- контроля в операционной. Все " неточности" можно было исправить тогда сразу, не зашивая рану.
    3. Что делать, решать Вам.
    [ Ответить ]

    Re: Опять лодыжки
    Бен Эльайфар М. 31 Октябрь 2015, 02:21
    Реостеосинтез обеих лодыжек, устранить смещение медиальной лодыжки и синтез иным способом (ваши спицы слишком тонкие), что касается латеральной лодыжки менять шурупы, при необходимости и пластину.
    [ Ответить ]

    Re: Опять лодыжки
    Бережной Сергей 31 Октябрь 2015, 13:28
    А по-моему остеосинтез сделан нормально, переделывать особой нужды нет. Верхние 3 винта пластины расположены позади большеберцовой кости, их можно оставить до удаления всей пластины. Поменять только 2 нижних и, может быть, доставить еще один винт во второе снизу отверстие. Или переставить туда винт из третьего снизу отверстия, который проходит через область перелома.
    [ Ответить ]

    • Re: Опять лодыжки
      Отправитель: Сергей 31 Октябрь 2015, 14:26
      Со слов оперирующего хирурга, линия перелома попадает аккурат на второе снизу отверстие.

      [ Ответить ]
    • Re: Опять лодыжки
      Отправитель: Rt 31 Октябрь 2015, 14:53
      Лучше переделать. Наружная укорочена, винты огромны, направление их?(полный обьем?) пластина сзади предпочтительней(не реконструктивная). Внутренняя не критично, но не эстетично. Позиционный винт? Хотя можно и оставить. Качество жизни для всех разное, особенно в России.

      [ Ответить ]
    Re: Опять лодыжки
    Радмир 01 Ноябрь 2015, 14:43
    Реостеосинтез. Уточнить состояние заднего края, пластину по задней поверхности из этого доступа(вскорее по перед ней п-ов-ти) я против.
    [ Ответить ]

    • Re: Опять лодыжки
      Отправитель: Rt 03 Ноябрь 2015, 15:59
      Функция пластины уложенной спереди?

      [ Ответить ]
      • Re: Опять лодыжки
        Отправитель: Радмир 03 Ноябрь 2015, 21:31
        Я имел ввиду что пластину устанавливали из доступа по перед ней п-ов- ти малоберцовой

        [ Ответить ]
    Re: Опять лодыжки
    Радмир 01 Ноябрь 2015, 14:43
    Реостеосинтез. Уточнить состояние заднего края, пластину по задней поверхности из этого доступа(вскорее по перед ней п-ов-ти) я против.
    [ Ответить ]

    Re: Опять лодыжки
    Алексей В 01 Ноябрь 2015, 15:06
    Давайте напишем правильный диагноз

    Диагноз: 44 В 3 (может есть еще мнения?)
    На представленных рентгенограммах видим черезсиндесмозный перелом малоберцовой кости, перелом внутренней лодыжки, задний вывих таранной кости и скорей всего перелом заднего края.

    что сделано:
    1. выполнен остеосинтез малоберцовой кости - .
    но нет межфрагментарного винта, удерживающего обломки малоберцовой кости.
    2. треть трубчатая пластина не отмоделирована.
    3. остеосинтез малоберцовой кости можно было выполнить винтом и спицей киршнера. Этого более чем достаточно.
    4. Если возникли сомнения о сохранности межберцового синдесмоза - почему не поставлен позиционный межберцовый винт.

    Это мое личное видение данной проблемы.

    Вот одно из упражнений которое укажет вам правильный путь
    http://www.youtube.com/watch?v=51Xdyc9GaII
    [ Ответить ]

    Re: Опять лодыжки
    Paul 02 Ноябрь 2015, 09:25
    Возникает ощущение, что если сделать правильные укладки и повторить рентгенографию, то у многих возникнет желание посоветовать реостеосинтез....
    [ Ответить ]

    Re: Опять лодыжки
    Николай 03 Ноябрь 2015, 18:42
    Однозначно реостеосинтез. Повторная репозиция и фиксация первоначально стягивающим винтом. Пластину использовать эту же, только отмоделировать и опустить на одно отверстие, чтобы в дистальном отломке держалась на 2х винтах. Винты брать покороче и в сустав не вводите. Для того, чтобы устанавливать или нет позиционный винт можно проверить состоятельность синдесмоза однозубым крючком (здесь травма чрезсиндесмозная; при надсиндесмозных - устанавливать всегда). Установите хуже не будет, только нужно будет удалить через 2 месяца, чтобы не образовался синостоз.
    Что касается внутренней лодыжки, лучше ничего не переделывать - фрагмент очень маленький, хуже сделаете. На будущее если делаете по Веберу, спицы нужно взять немного потолще (или на рентгене просто кажется что они тонкие?)
    Задний край ББК менее 25% - он не фиксируется, но вывести его желательно гипсовой лонгетой.
    [ Ответить ]

    Re: Опять лодыжки
    Олег Ровенский 03 Ноябрь 2015, 23:25
    Я думаю, что надо запретить оперирующему делать операции - нарушены все принципы АО - диагностика, планирование, обеспечение, опыт и тд. Пациенту 35 лет -жизнь впереди. Как можно так прооперировать?
    [ Ответить ]

    • Re: Опять лодыжки
      Отправитель: Бережной Сергей 04 Ноябрь 2015, 00:11
      Если за такую операцию запрещать оперировать, то оперировать будет просто некому. Припомните критично свои первые операции. Да и не только первые. И принципы АО не должны быть догмой для всех. Они меняются, кстати, с завидной регулярностью. А вспомните давние полузабытые и совсем недавние работы по функциональному лечению переломов лодыжек с ранней нагрузкой и без оперативного лечения. Сейчас тренд для переломов лодыжек - оперативное лечение с точным устранением всех смещений. Но сколько этих трендов мы уже пережили?

      [ Ответить ]
      • Re: Опять лодыжки
        Отправитель: Андрей Волна 04 Ноябрь 2015, 12:21
        Сергей, наверное, я не открою большого секрета, если скажу, что все мы, с той или иной регулярностью ошибаемся. Ибо люди. Конечно, с годами, появлением соответствующих знаний и опыта, и частота, и цена (степень влияния на здоровье пациента)этих ошибок закономерно снижаются. Но, для того, что бы это произошло, необходимы, как минимум - осознание того, что именно произошло, признание ошибки и коррекция ошибки, как таковой.
        Конечно, в отсутствие ресурсов существуют и консервативные способы лечения нестабильных переломов лодыжек. Но, пациента лечили хирургически. И, наверное, это не совсем честный путь - сначала не получить желаемого в ходе операции, а затем пытаться объяснить ошибку и отсутствие реакции на неё тем, что существуют и другие способы лечения переломов. Это - тупиковый путь для обеих сторон: для пациента, который теряет шанс на восстановление утраченного, и для хирурга, который не признаёт, и не исправляет ошибки - это так же путь в тупик.
        Конечно, подчеркну ещё раз, в отсутствие ресурсов и навыков нестабильные переломы лодыжек можно лечить консервативно. Это - не лучший путь, но, что поделаешь?
        Однако - лучше прооперировать. Сергей, к сожалению я не знаком с Вами лично, поэтому не могу судить о Вашем возрасте, и о том, сколько раз при Вашей жизни менялись принципы АО, но вот при моей жизни, и при жизни АО - с 1958 года, в том, что касается лечения внутрисуставных переломов, эти принципы не то, что не усовершенствовались, они, принципы, не изменились ни на йоту - а именно:
        1. Анатомичная (зубец в зубец) репозиция
        2. Стабильная (абсолютная стабильность) фиксация
        3. Бережное отношение к мягким тканям
        4. Ранняя активная мобилизация
        Для хирургического лечения переломов лодыжек у молодого пациента с хорошим качеством кости не нужны дорогие конструкции. Нужны знания - тех принципов, что не меняются. Нужны знания техники вмешательства и последовательности действий. Нужен, хотя бы минимальный хирургический опыт.
        Переделывать, конечно же, сложнее. Желательно это сделать в присутствии (при помощи) хирурга, имеющего бОльший опыт
        Я бы, в данном случае, сделал бы, для начала, Ргр в стандартных проекциях для лучшего планирования. То, что оперировать нужно, сомнений нет, и, после Ргр я бы составил уже детальный план. Скорее всего, убирать придётся весь имеющийся металл и "начинать заново".
        А обманывать не нужно. Ни себя, ни пациента. Это всегда дорогого стоит.
        Простите, Сергей, великодушно. Совершенно не собирался морализировать, ибо сам грешен. Это просто случай такой. Хорошая хирургия - это всегда ещё и честная хирургия. Согласны?

        [ Ответить ]
        • Re: Опять лодыжки
          Отправитель: Бережной Сергей 04 Ноябрь 2015, 21:14
          Андрей, не знаю, что заставило Вас так длинно ответить именно на этот пост, посвященный всего лишь предложению предыдущего участника дискуссии запретить оперирующему хирургу делать операции. Отвечу еще длиннее. Умение «не заметить» в сказанном главного и, наоборот, сконцентрироваться на второстепенном не так уж сложно и регулярно применяется в дискуссиях. Вот Вы пишете, что «с годами, появлением соответствующих знаний и опыта, и частота, и цена (степень влияния на здоровье пациента) ошибок закономерно снижаются». А ведь очень часто происходит как раз наоборот. В молодости мы готовимся к каждой операции, как «к последней», смотрим руководства перед тем, как идти в операционную. Нам легко отказаться от операции, если она «не по зубам». А появлению опыта, признания часто сопутствует нехватка времени на подготовку к каждому конкретному случаю. Отказаться от операции становится «невозможно», статус не позволяет. В результате, цена ошибок может многократно возрастать. Не знаю, как Вы, я таких примеров знаю достаточно.

          В 2006 г. была защищена докторская диссертация С.Н. Хорошкова «Лечение повреждений голеностопного сустава и их последствий». Качественная диссертация. Во многом посвященная консервативному лечению переломов лодыжек. Уверен, что автора побудило к этой работе вовсе не «отсутствие ресурсов и навыков».

          Вы пишете, что «с 1958 года, в том, что касается лечения внутрисуставных переломов, принципы АО не то, что не усовершенствовались, они, принципы, не изменились ни на йоту - а именно:
          1. Анатомичная (зубец в зубец) репозиция
          2. Стабильная (абсолютная стабильность) фиксация
          3. Бережное отношение к мягким тканям
          4. Ранняя активная мобилизация».

          В 1996 г. в России было опубликовано «Руководство по внутреннему остеосинтезу (методика, рекомендованная группой АО)» в переводе Андрея Королева. Насколько я знаю, для многих российских травматологов эта книга стала первой возможностью близко познакомиться с принципами АО. Уже за одно это Королеву можно было бы поставить хотя бы маленький памятник. На странице 610 руководства написано: «Точная анатомическая репозиция малоберцовой кости в incisura fibularis tibiae гарантирует восстановление нормального строения вилки голеностопного сустава». Ни о какой репозиции «зубец в зубец» речь не идет. Да и как можно говорить о репозиции «зубец в зубец» и «абсолютно стабильной фиксации», например, при внутрисуставных оскольчатых переломах дистального конца большеберцовой кости? А бережное отношение к мягким тканям? В том же руководстве рекомендуется откладывать операцию до спадения отека и заживления фликтен. К чему эта рекомендация приводит в наших клиниках Вы, наверняка, знаете. Пациентов оперируют через 2-3 недели после травмы, когда ни о какой ранней мобилизации речь уже не идет. Или посмотреть на мнения участников этой дискуссии, сплошь базирующиеся на рекомендациях АО. Например, переделать, но пластину поставить уже по задней поверхности малоберцовой. То есть, наружная поверхность лодыжки уже скелетирована. Давайте теперь еще и заднюю скелетируем. Увеличит это шансы на успешное сращение? Да и что плохого в положении наружной лодыжки кроме слишком длинных винтов? Суставные поверхности таранной и большеберцовой костей параллельны. Признаков подвывиха, по крайней мере, на представленных рентгенограммах, нет. Недостаточная стабильность? Так все равно в гипсе пациент. А внутренняя лодыжка? Маленькая щель между отломками по внутреннему контуру? Для внутренней лодыжки это не критично. В суставе отломки сопоставлены хорошо. Тонкие спицы и проволока? Так опять же в гипсе, какая разница? Вот и получается, что принципы одни, а понимание их и советы разные. Вплоть до того, чтобы вывести задний край большеберцовой кости лонгетой. При этом мы не знаем ничего о состоянии мягких тканей, величине отека. Но почти все дружно рекомендуем все переделать. А когда? По спадении отека, как рекомендует АО? К этому времени может уже и срастется?
          P.S. За что попросили прощения у меня, если честно, не понял. Ничего для себя обидного в Ваших словах не нашел.



          [ Ответить ]
          • Re: Опять лодыжки
            Отправитель: Сергей 04 Ноябрь 2015, 22:45
            Позвольте и мне, как создателю темы вмешаться в вашу дискуссию. Для начала несколько слов в защиту оператора, которого уже предлагают отлучить от травматологии. Оперировал молодой доктор, второй год после интернатуры, с большим желанием работать. Большинство его синтезов, хоть и, скажем честно, не самых трудных, с очень хорошим результатом, но бывают и такие... Но многие ли из тех, кто оставил сообщение в этой теме сразу начали оперировать без ошибок? А если забрать ЭОП, то, возможно, результаты у многих могут быть еще хуже. Поэтому, если за такие операции молодым докторам запрещать оперировать, то кто тогда будет работать вообще?
            На счет дальнейшей тактики у нас в отделении тоже мнения разошлись (сообственно, поэтому я и воспользовался форумом). Лично я, считаю, что синтез выполнен не так плохо, как неэстэтично. Внутренняя, да и наружная лодыжка недорепонированы, но, по-моему, некритично. Линия сустава параллельна, задний край составляет менее 1/4 суставной поверхности, синдесмоз интраоперационно был цел (со слов хирурга). Конечно, без внешней иммобилизации перелом вести нельзя.
            И последнее... Очень хорошо помню, как с приходом и быстрым распространением методик АО все синтезы, в том числе диафизарных переломов, требовали от нас делать "зубец в зубец". И если у кого-то на рентгенограмме перелом диафиза выглядел не кортикал-в-кортикал, то коллеги уже шептали про руки-крюки. Прошло время, и оказалось, что для диафизарных переломов важна абсолютная стабильность, но не педантичная репозиция. Поэтому, надеется, что сегодняшние рекомендации АО - это абсолютная истина, не приходится.
            Всем большое спасибо за помощь. Будьте добрее.


            [ Ответить ]
    • Re: Опять лодыжки
      Отправитель: Николай 04 Ноябрь 2015, 09:45
      Не надо осуждать оператора. Что сделано, то сделано. А не ошибается тот, кто ничего не делает...

      [ Ответить ]
    Re: Опять лодыжки
    Андрей 04 Ноябрь 2015, 10:40
    Думаю, что остеосинтез проводился без использования ЭОП.

    Я за реостеосинтез.
    IMHO:
    1). Для остеосинтеза наружной лодыжки 1/3 трубчатую пластину в данном случае (при реостеосинтезе) расположить уже по задней поверхности м/берцовой кости (противоскользящая)

    2). Реостеосинтез внутренней лодыжки с анатомичной репозицией также по Веберу.

    3). Считаю, что перелом заднего края ББК требует фиксации ( по представленным снимкам, кажется достаточно крупным фрагментом=1/3 суставной поверхности).

    4). По поводу проведения позиционного винта при данном типе перелома считаю спорным моментом:
    Задняя межберцовая связка оторвана вместе с задним краем ББК, а вот повреждение передней межберцовой связки можно оценить только интраоперационно).
    Если имеется повреждение передней межберцовой связки, то на счёт позиционного винта сомнений нет (т.к ДМБС нестабильный), а если повреждения связки нет, то ДМБС будет частично нестабильным ( из-за отрыва заднего края ББК).
    Если фиксировать задний край ББК и нет повреждения передней межберцовой связки, то позиционный винт не нужен.
    Если НЕ фиксировать задний край ББК ( + ещё есть повреждение передней межберцовой связки), то позиционный винт считаю необходимым.

    Как-то так...)
    С уважением.
    [ Ответить ]

    Re: Опять лодыжки
    Levikovich 04 Ноябрь 2015, 11:05
    Думаю в данной ситуации самое сложное это-как сказать больному ,что нужно повторно оперировать!Если дистальный винт не мешает движениям,то можно оставить так, переломы консолидируют и движения восстановятся.Артроз?..артроз будет даже при самой точной репозиции.В случае реостеосинтеза,первое-репозиция в/лодыжки,фиксация маллеолярным винтом+спицей.А вот с н/лодыжкой,наверное ограничился бы заменой дистального винта более коротким.Стягивающий винт?2 винта в дистальный отломок?...думаю не получиться,перелом оскольчатый...(передняя порция синдесмоза оторвала фрагмент передней поверхности лодыжки,..не???..если не ошибаюсь,то по автору тож есть название такому перелому)..и позиционный винт тож не будет лишним...шоб подвывиха не осталось...а на будущее-никогда не ушивайте рану без рентген-контроля!!!..даже Ваш сон крепче будет с рентген-контролем))
    [ Ответить ]

    Re: Опять лодыжки
    Василий 11 Ноябрь 2015, 13:19
    Реостеосинтез обязателен. Есть подвывих стопы кнаружи за счёт неполной репозиции медиальной лодыжки. Если оставлять так, то будет артроз, будут ограничение функции, а пациент молодой. Лучше сделать сейчас:
    -реостеосинтез мед. лодыжки по Веберу ("кортикал в кортикал")
    -репозиция малоберцовой удовлетворительная, только поменять винты и обязательно "задавить вилку" межберцовым винтом
    -задний край оценить сложно, но по-моему нужен его остеосинтез( чтобы третий раз не переделывать).
    -после такого остеосинтеза ранняя функция, поздняя нагрузка.
    Не ошибается только тот, кто ничего не делает. А нехороший результат - это тоже результат
    [ Ответить ]

    Re: Опять лодыжки
    Владимир 12 Ноябрь 2015, 19:43
    Чем закончилась инвалидизирующая история?
    [ Ответить ]


    ( Ответить )

    Powered by Zope  Squishdot Powered MedLink
    Посетитель: 0000220
      "По форме правильно, а по существу - издевательство" В.И.Ленин
    ©2001-2019Orthoforum Coordinator.
    [ Главная | Отправить сообщение | Поиск | Админ ]