AOTRAUMA.ORG Центр Илизарова  

Ортопедия и травматология Общие вопросы/General questions Help Информационные технологии в медицине
 ВХОД ДЛЯ ПАЦИЕНТОВ
 вверх
 поиск
 админ
 главная


рефрактура проксимальных отделов бедра
Ортопедия и травматология Прислано Илья Столяров 24 Ноябрь 2015, 22:55
из БСМП г. Дзержинск
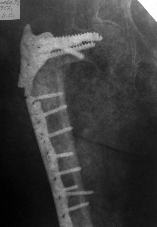
Здравствуйте, уважаемые коллеги! Прошу Ваших мнений по следующему случаю. Женщина 63г. Травма в январе 2013г, тогда же оперирована по поводу чрезвертельного перелома бедра DHS (снимки отсутствуют).
Зимой 2014-2015 без повторной травмы - перелом металлоконструкции и предположительно, повторный перелом бедра, повторная операция, с помощью металлоконструкции видимой на снимках (снимки послеоперационные отсутствуют).
3 недели тому - при сгибании бедра (стригла ногти) почувствовала хруст, выраженный болевой синдром, потеря опороспособности, рентгенологическая картина представлена.Сопутствующая патология: ревматоидный артрит с поражением суставов стоп, кистей. Принимает постоянно в течение нескольких лет метатрексат и преднизолон.

Анемия Hb-около 90 г/л. Планируемое лечение: 1.) отмена или снижение дозировок метатрексат, преднизолон.
2.) коррекция анемии
3.) Оперативное лечениес удалением металлоконструкции и с использованием 3.1 )конструкции типа PFNA максимально возможной длины. 3.2) Предложен еще вариант эндопротезирования с длинным бедренным компонентом. Буду благодарен за участие в судьбе моей родственницы.
Извините за качество снимков.

Послать ответ

Имя
Email
Уведомление Сообщить мне по e-mail об ответах на это сообщение
Название
Комментарий
(Проверьте URL! Не забудьте написать http://!)
Кодировка
Если не знаете, что выбрать, выберите "Просто текст"!
Приложение
Можно приложить к сообщению файл c изображением, который затем будет доступен увидевшим сообщение.
Подготовка иллюстраций:
  • Рентгенограммы: черно-белые полутоновые изображения в формате JPEG (8 bit, greyscale) с разрешением от 300х200 до 1024х768 пикселов;
  • Клинические фотографии: полноцветные изображения в формате JPEG (24 bit, truecolor) с разрешением от 300х200 до 1024х768 пикселов;
  • Схемы и рисунки: черно-белые (2 bit) штриховые (line-art) изображения в формате GIF или compressed TIFF
  • Подберите степень сжатия файла JPEG и размер изображения таким образом, чтобы необходимые детали были различимы, но размер файла не превышал 75 кб.
  • Учтите, что текущая версия программного обеспечения Форума позволяет приложить к одному сообщению лишь один файл-вложение. Поэтому, если необходимо отправить несколько изображений, можно либо послать каждое как отдельное сообщение, либо в графическом редакторе объединить изображения в одно (сделать коллаж).
  • Если при подготовке изображений встречаются трудности, не стесняйтесь обратиться к координатору Форума.

  • Введите видимые символы в обратном порядке. Enter the above characters in reverse order (*Обязательно)
    В тексте сообщения можно использовать теги HTML <B> <I> <P> <A> <LI> <OL> <UL> <EM> <BR> <TT> <HR> <STRONG> <BLOCKQUOTE> <DIV .*> <DIV> <P .*>
  • Обратите внимание: Поля с жирными названиями обязательны.
  • Старайтесь отвечать в рамках обсуждаемой темы, а не начинать новые обсуждения.
  • Указывайте адекватную тему сообщения, чтобы было ясно, о чем оно.
  • Не послайте сообщений не по теме (оффтопик), раздраженных, грубых или обидных комментариев. Здесь это неуместно.
  • Powered by Zope  Squishdot Powered MedLink
    Посетитель: 0189612
      "По форме правильно, а по существу - издевательство" В.И.Ленин
    ©2001-2019Orthoforum Coordinator.
    [ Главная | Отправить сообщение | Поиск | Админ ]