AOTRAUMA.ORG Центр Илизарова  

Ортопедия и травматология Общие вопросы/General questions Help Информационные технологии в медицине
 вверх
 отправить
 поиск
 админ
 главная


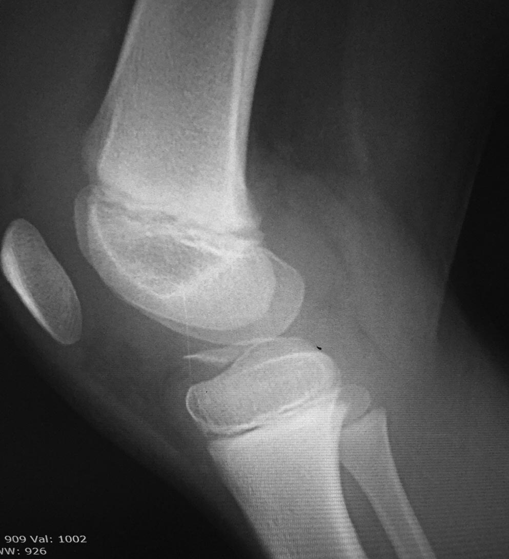
Перелом сегонда.
Ортопедия и травматология Отправлено Арслан Дуйсенбаев 01 Декабрь 2015, 15:46
Уважаемые коллеги! Хотел бы услышать Ваше мнение, а также помочь с тактикой ведения.
Пациент 8 лет, девочка. Перелом межмыщелкового возвышения по 2 типу. Есть артроскоп, но все что мы можем сделать это диагностика, к сожалению. Кто имеет опыт подскажите как лучше поступить. Заранее благодарю.

<  |  >

 

  • Сообщения о Ортопедия и травматология
  • Также Арслан Дуйсенбаев
  • Связаться с автором
  • Ответить

    Re: Перелом сегонда.
    Дедок Михаил 01 Декабрь 2015, 21:09
    А больше ничего и не нужно. Входите артроскопом. Через другой порт узенькое долото или что-то подобное, чтобы прижать, затем чрескожно парой спиц "нанизать" фрагмент. Гипс 3 нед., спицы тоже. Если есть тибиальный направитель для пкс, тот прижимаете им, и через него проводите. В конце концов направитель можно попросить у местных дилеров. А если есть С-дуга, то ещё проще. Сейчас попробую найти фото. Методу подсказал детский травматолог Синюк из Красноярска. Они так делают детям. С его подачи мы несколько раз так оперировали взрослых. Только гипс и спицы на 6 нед.

    [ Ответить ]

    Re: Перелом сегонда.
    Роман 01 Декабрь 2015, 21:09
    Зафиксируйте конечность в гипсовой лонгете в гиперекстензии.
    [ Ответить ]

    Re: Перелом сегонда.
    Александр Киев 04 Декабрь 2015, 18:19
    Перед артроскопией я бы добавил МРТ коленного сустава,чтобы определиться,что помимо межмыщелкового возвышения могло пострадать при травме(связочный аппарат,мениски) и в зависимости от степени повреждения подготовиться к самой артроскопии.
    Переразгибание в коленном суставе не восстановит суставную поверхность,нужен либо МОС спицами или винтом или же зафиксировать лигатурами.
    [ Ответить ]


    ( Ответить )

    Powered by Zope  Squishdot Powered MedLink
    Посетитель: 0191196
      "По форме правильно, а по существу - издевательство" В.И.Ленин
    ©2001-2019Orthoforum Coordinator.
    [ Главная | Отправить сообщение | Поиск | Админ ]