AOTRAUMA.ORG Центр Илизарова  

Ортопедия и травматология Общие вопросы/General questions Help Информационные технологии в медицине
 вверх
 отправить
 поиск
 админ
 главная


Трехгранная кость ?
Ортопедия и травматология Отправлено Эльдар Шамадаев 04 Декабрь 2015, 04:12
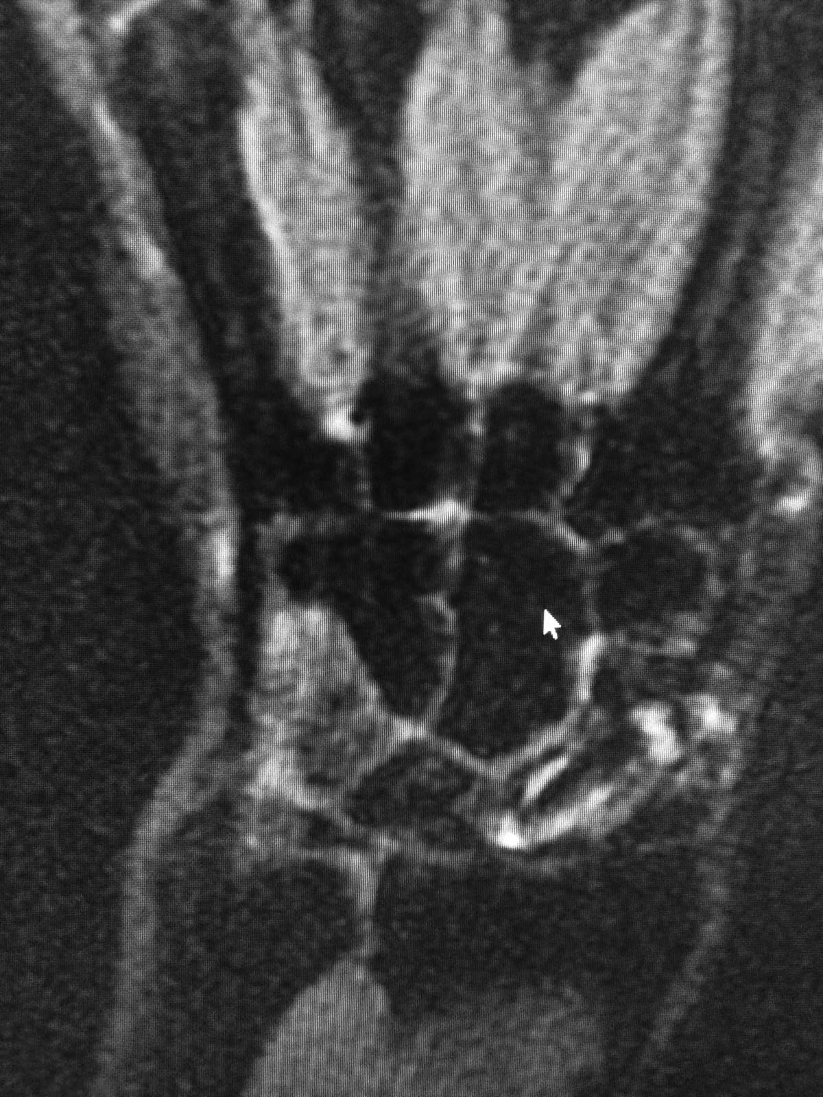
Здравствуйте. Мужчина 30 лет. Травма около 5ти лет назад
МОС винтом, в данное время в проекции ладьевидной кости болей нет, осевая нагрузка на 1ю пястную кость безболезненная, боли беспокоят при пальпации в проекции трехгранной кости и движениях в лучезапястном суставе(при пассивных и активных движениях возникают острые боли, так же в проекции трехгранной кости). На МРТ отмечаются проблемы в этой зоне. Со слов пациента, при периодических болях принимает таблетку найза, после чего все проходит.

<  |  >

 

  • Сообщения о Ортопедия и травматология
  • Также Эльдар Шамадаев
  • Связаться с автором
  • Ответить

    Re: Трехгранная кость ?
    Панченко Андрей 04 Декабрь 2015, 14:52
    Здравствуйте. По моему мнению у больного "Стеноз лучевого запястного канала" ( в этом канале проходит сухожилие лучевого сгибателя кисти). Одной из причин является перелом трёхгранной или ладьевидной костей.
    В литературе под редакцией Волковой А.М 1991 г (том второй) есть описание данного заболевания.
    [ Ответить ]

    • Re: Трехгранная кость ?
      Отправитель: SAGo 04 Декабрь 2015, 18:40
      Не очень понятно, причем здесь лучевой сгибатель запястья и трехгранная кость. То есть вообще непонятно.

      [ Ответить ]
    Re: Трехгранная кость ?
    SAGo 04 Декабрь 2015, 20:37
    Похоже на остеоид-остеому. Аспириновую пробу провести бы, хотя найз тоже вроде бы сыграл свою роль.
    [ Ответить ]

    Re: Трехгранная кость ?
    Levikovich 05 Декабрь 2015, 00:49
    Уважаемый Эльдар Шамадаев ,наша задача какова?Определить какая кость "болеет", иль что...?Ладья или трехгранка,эт ток вам, под силу определить-локальный статус!...пощупать бы. По-моему ,что ладья,что трёхгранная...лечение одно-консервативное. Внутрисуставной перелом безследно не проходит!
    [ Ответить ]

    Re: Трехгранная кость ?
    Сергей Безрученко 07 Декабрь 2015, 15:05
    Добрый день. Мое мнение по данной проблеме - диагноз - посттравматический деформирующий артроз кистевого сустава, хондроматоз трехгранно-гороховидного сустава. Для подтверждения диагноза - КТ исследование кистевого сустава) или же на МРТ которое у Вас есть вывести данный сустав. Лечение - ексцизия гороховидной кости.
    [ Ответить ]

    • Re: Трехгранная кость ?
      Отправитель: SAGo 07 Декабрь 2015, 21:21
      На 3/4 проекции с гороховидно-трехгранным суставом все в порядке. Хондроматоза не видно, а видно, что очаг "затемнения" на трехгранной кости сместился медиально, то есть он расположен на тыльной поверхности трехгранной кости, там, где и болит больше всего. И,во-вторых, даже если бы это был хондроматоз указанного сустава, то: с какой целью необходимо удалять гороховидную кость?

      [ Ответить ]
    Re: Трехгранная кость ?
    Konstantin 10 Декабрь 2015, 00:16
    Эльдар, по предоставленным срезам МРТ и описанной клинике сложно судить о состоянии связочного аппарата (в частности полулунно-трехгранной связки) и треугольного фиброзно-хрящевого комплекса (в частности суставного диска), повреждение которых могут давать описанные жалобы. Возможно, в описании МРТ что-то сказано об этом? Что можете сказать о тестах, выявляющих повреждение указанных образований? И все-таки боли возникают периодически или всегда сопровождают движения в кистевом суставе? Болит ли в покое? Андрей, Ваша логика совсем не ясна. Что общего между обсуждаемым пациентом и "стенозом лучевого запястного канала", кроме когда-то сломанной ладьевидной кости? Сергей, с хондроматозом тоже не ясно. Вы его видите на имеющихся снимках? Хондроматоз сустава - показание для удаления одной из образующих сустав костей? SAGo, в сообщении Эльдара нет указания на то, что болит больше всего по тыльной поверхности трехгранной кости.
    [ Ответить ]

    • Re: Трехгранная кость ?
      Отправитель: SAGo 10 Декабрь 2015, 19:01
      "SAGo, в сообщении Эльдара нет указания на то, что болит больше всего по тыльной поверхности трехгранной кости." -

      Уважаемый Konstantin! Пост №1: четко указано, что при пальпации болит область трехгранной кости. Вы с какой поверхности пальпируете трехгранную кость: с ладонной или тыльной? Я обычно с тыльной, по известным причинам.

      [ Ответить ]

     

    ( Ответить )

    Powered by Zope  Squishdot Powered MedLink
    Посетитель: 0175030
      "По форме правильно, а по существу - издевательство" В.И.Ленин
    ©2001-2019Orthoforum Coordinator.
    [ Главная | Отправить сообщение | Поиск | Админ ]