AOTRAUMA.ORG Центр Илизарова  

Ортопедия и травматология Общие вопросы/General questions Help Информационные технологии в медицине
 вверх
 отправить
 поиск
 админ
 главная


Несращение tibia на стержне
Ортопедия и травматология Отправлено Константин Николаевич Сергеев 09 Декабрь 2015, 23:18
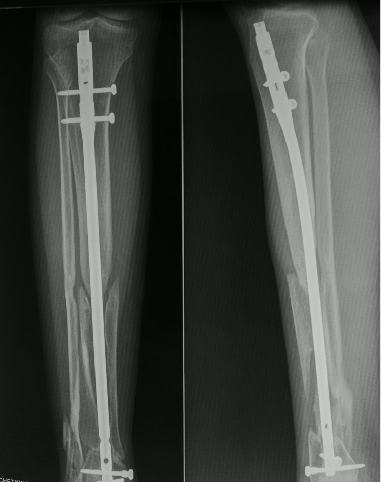
Женщина, 24 г. В июне прошлого года закрытый интрамедуллярный остеосинтез tibia (за 6 нед. до этого - открытый перелом голени после мотоаварии). На данный момент - клиника несращения. Проявлений инфекции нет. Снимки в приложении.
План предполагаемого хирургического лечения:
1 - удалить штифт;
2 - рассверлить канал;
3 - остеотомия малоберцовой кости, устранение вальгусной деформации;
4 - остеосинтез штифтом большего диаметра;

Вопросы на обсуждение:
1 - необходимость костной пластики или остановиться на рассверливании?
2 - если выполнять костную пластику, то на одном или двух уровнях
3 - целесообразность замены штифта на пластину?
4 - возможна ли пластика собственно малоберцовой костью сегмента?
Врач травматолог-ортопед
Константин Николаевич Сергеев.

<  |  >

 

  • Сообщения о Ортопедия и травматология
  • Также Константин Николаевич Сергеев
  • Связаться с автором
  • Ответить

    Re: Несращение tibia на стержне
    Урал Мустаев 10 Декабрь 2015, 20:28
    А Вы не думали о динамизации стержня с предварительной остеотомией малоберцовой кости?
    [ Ответить ]

    Re: Несращение tibia на стержне
    Дедок Михаил 10 Декабрь 2015, 22:44
    Да тут одной динамизацией дело не решишь. И только рассверливанием, наверное, тоже. Надо искать инфекцию. Думается, сдесь удел микрохирургов с пересадкой васкуляризованного трансплантата и аппарат.
    [ Ответить ]

    Re: Несращение tibia на стержне
    Alexander Chelnokov 11 Декабрь 2015, 07:04
    План вполне адекватный, вопрос только в технических нюансах - как собираетесь исправлять ось большеберцовой? Можно одномоментно, постпепенно, таким или другим аппаратом....
    Надо добиться, чтобы стержень оказался в запланированом отделе дистального эпиметафиза большеберцовой кости.
    Малоберцовую надо пересечь.

    [ Ответить ]

    Re: Несращение tibia на стержне
    Алексей В 12 Декабрь 2015, 18:15
    Здравствуйте.
    При первом рассмотрении представленной рентгенограммы сложилось впечатление о аваскулярном некрозе. Остеопороз прогрессирует. Биология нарушена. Есть желание проконсультировать у сосудистого хирурга, выполнить ангиографию.
    Хотелось бы увидеть фотографию конечности.


    [ Ответить ]

    Re: Несращение tibia на стержне
    Алексей В 12 Декабрь 2015, 18:15
    Здравствуйте.
    При первом рассмотрении представленной рентгенограммы сложилось впечатление о аваскулярном некрозе. Остеопороз прогрессирует. Биология нарушена. Есть желание проконсультировать у сосудистого хирурга, выполнить ангиографию.
    Хотелось бы увидеть фотографию конечности.


    [ Ответить ]

    Re: Несращение tibia на стержне
    Анатолий 13 Декабрь 2015, 07:49
    В Курган отправьте
    [ Ответить ]

    Re: Несращение tibia на стержне
    Alexander Larionov 14 Декабрь 2015, 08:34
    По моему стоит начать с динамизации, ЭРУВТ и ФТЛ и посмотреть через полгодика. Если, конечно, данных за инфекцию совсем нет.
    Малоберцовую, конечно же пересек бы.

    ААЛ
    [ Ответить ]

    Re: Несращение tibia на стержне
    Maxim Agalakov 14 Декабрь 2015, 18:21
    Столько ложняков для одной голени - многовато. Учитывая анамнез, инфекция таки есть, от этого и плясять
    [ Ответить ]

    Re: Несращение tibia на стержне
    Djoldas Kuldjanov 15 Декабрь 2015, 08:17
    Цель лечения создание опороспособности конечности, а также достижение полной консолидации ложного сустава! Опорособность создается очень легко, установил гвоздь и проблема решена, а для достижения абсолютного сращения надо поработать.
    Вопрос можно решить после изучения истинной топографии, особенно свободных фрагментов. КТ срезы или дополнительные косые снимки точно
    укажут состояние разделенных друг от друга фрагментов в центре, а также атрофические регионы на различных уровнях.

    сложилось впечатление о аваскулярном некрозе. Остеопороз прогрессирует. Биология нарушена. Есть желание проконсультировать у сосудистого хирурга, выполнить ангиографию

    По поводу ангиографии согласен, но вряд ли сосудистый хирург сможет добавить что то новое в лечении ложного сустава. Насчет аваскулярного некроза не уверен, и в возрасте 24 лет неуместно говорить о системном остеопорозе. Но наличие “disuse osteopenia” никто не отрицает, который образовался из-за ограничения нагрузки в течение процесса.

    Предложенный вариант по Илизарову решит проблему, где между отломками можно создать компрессию и осевую компрессию на всех уровнях. Если имеется возможность, можно поехать в Курган, но необходимо учесть желание больной. Потому что при наличии современных менее инвазивных технологий некоторые с трудом соглашаются на наружный фиксатор.
    Потом, в данном случае, возможно, без костной пластики не обойтись, а для восстановления по Илизарову потребуется значительное время...

    Рассверливания канала, устранение деформации и фиксация большим диаметром гвоздя создаст опороспособность конечности сразу, но при многоуровневых ложных суставах рассверливания канала бывает недостаточным. Для сращения потребуется пластика аутокостью!

    По моему, идеальную фиксацию можно создать пластиной, которая создаст компрессию между фрагментами, коррекцию деформации и восстановит ось.
    При этом не потребуется остеотомия малоберцовой! Но в лечении ложного сустава, особенно после гвоздя, имеется одна особенность. Удаленный гвоздь оставляет пустоту и внутри канала после рассверливания остается жидкость. Это питательная среда для микроорганизмов, риск более тяжелого
    осложнения!

    Инфекцию можно увидеть во время операции, потому что в любом случае надо удалить гвоздь. Если найдется инфекция, тогда мероприятия по борьбе: промывание, спейсер в канал и т.д.

    Учитывая желание создать опороспосбность как можно быстрее, я бы рекомендовал смешанную технику: гвоздь, пластина, аутокостная пластика. Мне кажется, такая тактика лучше, чем один гвоздь.
    Сначала до удаления гвоздя надо создать ложе для костной пластики. Для этого подойдет передний доступ, от гребня на 1.5 см латерально, и со стороны передней большеберцовой мышцы декортикация кости. Decortication by Judet описан во многих руководствах.
    Затем удалить гвоздь и провести рассверливание. Забить гвоздь и аутокость на уровне ложных суставов и на медиальной стороне адаптированная или 1/3 трубчатая пластина. Пластина будет служить для создания непрерывности
    медиальной колонны, а также для удержания костной пластики.

    Теперь о главном, почему образовался ложный сустав при современном методе фиксации винтами ASLS (Angular Stability Locking System)?
    Компания Синтез рекламировал, что эти винты создают стабильность в гвозде при низких и коротких переломах. В зоне перелома создается абсолютная стабильность и уменьшается движения на 80% до 3 месяцев.
    При низком качестве кости улучшается фиксация и уменьшается вторичное смещения за счет блокировки винта внутри гвоздя!

    На самом деле, около 5 лет назад, как только получили разрешение на ASLS, я применил винты для больных, которые нуждались в дополнительной стабильности. 48 больных набрали в течение 8-9 месяцев, и результат показал, что у половины больных сращение замедлилось, а у 8 больных
    образовался ложный сустав.

    Данный результат доложен Синтез и опубликован моим fellow на ОТА Poster presentation. Была попытка опубликовать в журнале, но потребовали дополнительные исследования и классификация леченных переломов. После окончания fellow уехал на постоянное место работы, и к теме потерял интерес.
    Замедление консолидации объяснили механическим усилением, что чрезмерная стабильность и обездвиженный фрагмент отрицательно влиял на возможность сращения!

    Не настаиваю на абсолютности наших данных, и для доказательства, возможно, потребуются другие дополнительные исследования. Но для нас этого было
    достаточным, чтобы остановить применение стабилизирующих винтов!

    Надеюсь, наши коллеги будут более удачливыми, и не будут иметь проблему с ASLS….


    Djoldas Kuldjanov, M.D.

    [ Ответить ]

    Re: Несращение tibia на стержне
    A Startcev 15 Декабрь 2015, 21:19
    Удалить стержень и, при отсутствии признаков инфекции, выполнить реостеосинтез длинной комбинированной пластиной с угловой стабильностью. При этом Вы надёжно исправите ось конечности, освежите костные фрагменты. С высокой долей вероятности, потребуется костная пластика. Проксимально можно использовать перемещённый фрагмент малоберцовой кости, дистально - пластика аутокостью из гребня подвздошной кости.
    Не следует стремиться лечить стержнями всё подряд - и что нужно, и что нет.
    [ Ответить ]

    Re: Несращение tibia на стержне
    Юрий Алексеевич Булахтин 16 Декабрь 2015, 05:29
    Для участия в обсуждении хотелось-бы увидеть снимки до операции


    С уважением, Юрий Алексеевич Булахтин

    Камчатский Военно-морской госпиталь
    [ Ответить ]

    Re: Несращение tibia на стержне
    Arshak Mizoyan 16 Декабрь 2015, 21:49
    Я бы убрал гвоздь, наложил бы аппарат Илизарова, исправил бы вальгус г/с
    сустава, (одномоментно или постепенно в зависимости от контакта костей в
    н/3); косопоперечными спицами с упором добился бы контакта отломков.
    Внимательно просмотрев снимки можно предположить, что остеогенные
    возможности отломков не подавлены окончательно. Не уверен, что понадобиться
    остеотомия м/б кости, так как основное направление компрессии не по длине, а
    бок в бок. Думаю, что курганцы без особых проблем справятся.
    Может и не наиболее короткий путь, но как говорится по умению врачей
    предпочтению пациента

    С наилучшими пожеланиями,

    Аршак Мирзоян, Д.М.Н.

    Ереванский Центр Реконструкции и
    Удлинения Конечностей
    Армения, 0015 Ереван
    Ул. Пароняна 21
    [ Ответить ]

    Re: Несращение tibia на стержне
    Vladimir B. Abduev 19 Декабрь 2015, 00:25
    Представленный случай очень интересен с точки зрения выбранной тактики лечения, её хирургической реализации. Без детального анализа этого подходить к выбору метода лечения очень рискованно. Сейчас необходимо понять: Что произошло, и тогда станет понятно что делать? Очень интересно увидеть рентгенограммы до выполненного остеосинтеза. По имеющимся можно предположить, что выбранный стержень оказался неадекватным диаметру костномозговой полости (она на этом уровне имеет овоидную передне-заднюю форму) и поэтому стал клином который разъединил отломки вдоль оси и стал причиной диастазов в разных плоскостях. Это о механике. Биология: диастазы очень быстро заполнились рубцовой тканью. Очень стабильный остеосинтез не способствовал формированию хотя бы несколько избыточной костной мозоли. В результате атрофический многоплоскостной псевдоартроз.
    Что делать? Можно предложить открытый интрамедуллярный остеосинтез с тщательным предварительным удалением межотломковых рубцовых тканей, с предварительной коррекцией дистального отломка одним из предложенных выше способов, адаптацией отломков в правильном положении, рассверливанием костномозговой полости вплоть до придания ей округлой формы, стержень максимально возможного диаметра, ранней динамизацией, адекватным реабилитационным лечением. Другой вопрос: позволит ли состояние мягких тканей после ранее перенесённого открытого перелома всё это выполнить без риска получить некроз кожи и т.д. ? Тогда только спицевой аппарат, удаление стержня, добавить две точные косые проекции Р-гр. под 45гр. и т.д. , как предложено предыдущим автором. Медленно, точно, стабильно, функционально и безопасно. Малотравматично, дёшево, и почти со 100% гарантией положительного результата. Время? После того как прошло 1,5 года есть ли смысл говорить об этом? С ув. В.Абдуев.
    [ Ответить ]

    Re: Несращение tibia на стержне
    Paul 21 Декабрь 2015, 11:01
    Дистальный отломок, такого размера - никогда не фиксируется двумя винтами. Нестабильность - режет глаза.
    В данном случае:
    - Удалить интрамедуллярные конструкции
    - Выполнить ангиографию, вены тоже посмотреть на УЗИ
    - Лечить как псевдосртроз в условиях полного отсутствия медуллярного кровотока (склоняюсь к аппарату внешней фиксации, костная пластика - после попытки закрытого сближения отломков (1-2 мес))
    [ Ответить ]


    ( Ответить )

    Powered by Zope  Squishdot Powered MedLink
    Посетитель: 0388592
      "По форме правильно, а по существу - издевательство" В.И.Ленин
    ©2001-2019Orthoforum Coordinator.
    [ Главная | Отправить сообщение | Поиск | Админ ]