AOTRAUMA.ORG Центр Илизарова  

Ортопедия и травматология Общие вопросы/General questions Help Информационные технологии в медицине
 вверх
 отправить
 поиск
 админ
 главная


Травма голеностопного сустава 44С3 помогите определиться с оперативной тактикой
Ортопедия и травматология Отправлено Дмитрий 15 Декабрь 2015, 12:02
Пациентка 49 лет, повышенного питания, получила травму поскользнувшись на улице, сразу поступила к нам,
при поступлении наложен стержневой авф, прошло 5 суток, отек умеренный, будем готовы к пятнице к операции. Думаем 1/3 трубка на наружную, фиксация синдесмоза, вопрос в медиальной лодыжке и заднем крае, коллеги, подскажите какой фиксатор предпочтительнее, заранее благодарен, Дмитрий.
P.S: провести кт нет возможности и ни под каким углом(

<  |  >

 

  • Сообщения о Ортопедия и травматология
  • Также Дмитрий
  • Связаться с автором
  • Ответить

    Re: Травма голеностопного сустава 44С3 помогите определиться с оперативной тактикой
    Молодой специалист 16 Декабрь 2015, 16:41
    Здравствуйте, коллега! Интересный случай.
    С таким внутрисуставным характером перелом думаю лучше рассматривать как "пилон", а не "лодыжечный", т.е. 43С.
    В данном случае повреждение межберцового синдесмоза выражается в отрыве заднего края б/б кости, восстановив который, вы компенсируете повреждение ДМС. Для восстановления метафиза с медиальной стороны лучше будет положить пластину (опорная, противоскользящая). Внутреннюю лодыжку можно винтами, можно по Веберу - это зависит от ваших ресурсов.
    А теперь последовательность. Я бы наверно начал с синтеза пластиной, и потом уже к восстановленному метафизу фиксировал бы задний край и внутреннюю лодыжку, потому что сначала легче собрать большие фрагменты.
    Кто то скажет, что надо начинать с м/б кости, но на мой взгляд после вышеупомянутых манипуляций соотношения структур г/стопного сустава будут вполне допустимыми.
    Удачи!
    [ Ответить ]

    • Re: Травма голеностопного сустава 44С3 помогите определиться с оперативной тактикой
      Отправитель: Дмитрий 16 Декабрь 2015, 19:23
      Механизм травмы позволяет считать этот перелом 44с. Исходя из этого думаем начать все-таки с малоберцовой кости, на счёт синдесмоза... Ну позиционный винт считаю не навредит, насчёт противоскользящей пластины: дистальная медиальная как вы полагаете может быть использована или 1/3 трубки предпочтительней, втрой доступ рассматриваем задне-медиальный с открытой репозицией заднего края. Спасибо за неравнодушие ). Дмитрий

      [ Ответить ]
      • Re: Травма голеностопного сустава 44С3 помогите определиться с оперативной тактикой
        Отправитель: Alexander Chelnokov 16 Декабрь 2015, 21:03
        Все вместе это, тем не менее, перелом пилона, ближе к 43B1. КТ все-таки стоило бы изыскать возможность сделать. Лучше после наложения временного наружного фиксатора.
        До создания дистракции на уровне сустава можно "пришпилить" наружную лодыжку к тарану 1-2 спицами, тогда длина fibula восстановится, и можно будет ее пластиной не фиксировать.
        Тут есть вероятность, что хорошую репозицию получится сделать закрыто.


        [ Ответить ]
        • Re: Травма голеностопного сустава 44С3 помогите определиться с оперативной тактикой
          Отправитель: Дмитрий 16 Декабрь 2015, 21:49
          С кт большая проблема, в клинике нет, а "лимиты" исчерпали - декабрь ( . Спасибо за совет. P.S: прошу извинить за непонятливость, ) но почему все-таки " пилон" и по механизму, да и по характеру повреждения больше 44.

          [ Ответить ]
          • Re: Травма голеностопного сустава 44С3 помогите определиться с оперативной тактикой
            Отправитель: Alexander Chelnokov 16 Декабрь 2015, 22:35
            Классификация OTA/AO строится на морфологии повреждения, что определяет лечение, а не на механизме травмы. Который, конечно, довольно точно иногда может быть косвенно предположен. Скорее, надо спрашивать, почему возникает желание назвать это 44, если 44 - это переломы лодыжек. Да, здесь есть перелом внутренней лодыжки, но это же не все.

            А здесь линия перелома tibia распространяется до границы с диафизом, если не выше, и связанной с диафизом остается только латеральная стенка дистального отдела tbia. То есть по характеру повреждения это никак не перелом лодыжек, а именно перелом пилона.

            Соответственно, фиксация нужна не как при переломах лодыжек (треть трубки на малоберцовую+винт в задний край+спицы и проволока или винты во внутреннюю лодыжку), а как при переломе пилона - еще и опорная пластина на дистальный отдел tibia, или аппарат.



            [ Ответить ]
            • Re: Травма голеностопного сустава 44С3 помогите определиться с оперативной тактикой
              Отправитель: Дмитрий 16 Декабрь 2015, 23:08
              С опорной пластиной согласен 100%. Ещё раз спасибо, аргументировано, исчерпывающе.

              [ Ответить ]
              • Re: Травма голеностопного сустава 44С3 помогите определиться с оперативной тактикой
                Отправитель: Немолодой специалист 17 Декабрь 2015, 02:42
                Уважаемый "Молодой специалист", а с малоберцовый костью совсем ничего не делать?

                Все-таки, несмотря на значительный медиальный фрагмент метафиза большедерцовой кости, это 4.4.С.3.2
                Кроме очевидного повреждения синдесмоз в виде отрывного перелома заднего края (задняя связка состоятельна, иначе бы на оторвался задний край), есть еще и "невидимый" на снимках полный разрыв передней межберцовой связки, а также разрыв межкостный мембраны. Эти два последних повреждения, как и механизм травмы не характерны для 43. Общим для 44 и 43 является в этом случае и вообще то, что 1) необходимо аналогично восстановить поврежденные суставные поверхности и взаимоотношения между сочленяющимися костями: наружной лодыжкой, большеберцовой и тараном, 2) оперировать можно только через здоровые, неотечные ткани. Последнее требует времени: 5-7 дне для 44, а в два-три раза больше для 43. Очень правильно, что был наложен аппарат!
                Итак, если все же это 44 то, 1) анатомичная реконструкция (ось, длина, ротация основных фрагментов)) малоберцовой кости, и ее репозиция в вырезку большеберцовой кости, 2) репозиция заднего края (в данном случае - закрытая, прямая) и фиксация стягивающим(и) винтом(и) - спереди назад или наоборот - не принципиально.3) согласен про опорную/противоскользяшую пластину для фиксации метафизарного отломка большеберцовый кости. Репозиция получится закрыто, скорее всего автоматически к этому этапу, техника фиксации - MIPO, 4) отрывной перелом внутренней лодыжки - как хотите, что больше нравиться, только с аналогичной репозицией и компрессией. 5) Только теперь проверяем состоятельность синдесмоз - на 95% он будет состоятелен и позиционный винт не потребуется....

                А если не фиксировать малоберцовую?.. "Пришпилить" дистальный отломок малоберцовый кости к тарану, потом растянуть - восстановится длина малоберцовый кости. Длина, может быть, и да (а можно и перетянуть ведь)), а вот ось и ротация вредли аналогично остановятся. Допустим, все остальный переломы (болбшеберцовой) благополучно репетированы и фиксированы. убираем спицы, "пришпиливающие" наружную лодыжку к тарану и.... В условиях поврежденной передней связки синдесмоза и межкостный мембраны, не фиксированная теперь наружная лодыжка чуть-чуть сместится.. Малоберцовая, конечно, срастется, но не в аналогичном положении. А на контрольных снимках через 3-4 месяца будем удивляться: "Откуда подвывих появился? На операции все идеально было"

                С уважением, немолодой специалист

                [ Ответить ]
                • Re: Травма голеностопного сустава 44С3 помогите определиться с оперативной тактикой
                  Отправитель: Немолодой специалист 17 Декабрь 2015, 02:51
                  Прошу за опечатки (автокоррекцию компьютера) типа анаЛогичный - читать как анаТомичный, и тд.
                  А вот 4.4.С.3.2 на самом деле 4.4.С.2.3

                  Сорри, немолодой специалист

                  [ Ответить ]
                • Re: Травма голеностопного сустава 44С3 помогите определиться с оперативной тактикой
                  Отправитель: Alexander Chelnokov 17 Декабрь 2015, 07:58
                  согласен про опорную/противоскользяшую пластину для фиксации метафизарного отломка большеберцовый кости

                  Соответственно, лечим не перелом лодыжек, а все-таки перелом пилона.

                  [ Ответить ]
                  • Re: Травма голеностопного сустава 44С3 помогите определиться с оперативной тактикой
                    Отправитель: Немолодой специалист 17 Декабрь 2015, 10:20
                    Нет, лечим внутрисуставное повреждение 44С.

                    [ Ответить ]
                    • Re: Травма голеностопного сустава 44С3 помогите определиться с оперативной тактикой
                      Отправитель: Alexander Chelnokov 17 Декабрь 2015, 11:02
                      Лечение должно быть адекватно диагнозу. 44С - это перелом лодыжек, который и фиксируется соответственно (винты, спицы-проволока - а пластина на tibia не нужна). То есть основная часть суставной площадки distal tibia не разобщена с диафизом. Чего мы здесь не наблюдаем. Если возникает необходимость в buttress plate - это уже пилон.
                      Что такое 44С - можно глянуть здесь

                      [ Ответить ]
                      • Re: Травма голеностопного сустава 44С3 помогите определиться с оперативной тактикой
                        Отправитель: Немолодой специалист 17 Декабрь 2015, 16:16
                        Ну, да. Хорошо известный ресурс. Вот оттуда

                        То есть, диагноз 44 не отрицает вертикального перелома медиального фрагмента от сдвига причем при ротации тарана, а не вертикальной силы. Да, здесь и отравой перелом медиальной лодыжки, который возник вначале при пронированной стопе, и вертикальный метаэпифиза от сдвига. Откуда взялась сдвигающая сила и каково было ее направление? Можно только предположить, что, например, в конце падения эверсия и пронация поменялась на инверсию и супницаю (такое бывает!), или после падения больная попыталась нагрузить эту ногу и.. уже сломанная "поехала" в другую сторону. Точнее, нога то осталась на месте, а вот тело изменило положение в другую сторону.


                        [ Ответить ]
                        • Re: Травма голеностопного сустава 44С3 помогите определиться с оперативной тактикой
                          Отправитель: Alexander Chelnokov 17 Декабрь 2015, 17:26
                          диагноз 44 не отрицает вертикального перелома медиального фрагмента

                          Именно положение линии излома и определяет, что если основная нагружаемая часть tibial plafond цела, то это не 43, а 44. А если бОльшая часть суставной поверхности не связана с диафизом, как в обсуждаемом случае - это 43, а не 44.

                          [ Ответить ]
                          • Re: Травма голеностопного сустава 44С3 помогите определиться с оперативной тактикой
                            Отправитель: Alexey Semenistyy 19 Декабрь 2015, 02:21
                            Александр Николаевич, а где нашел такую формулировку в различии 43 и 44 повреждений?

                            Везде вроде только про разные механизмы и направления травмирующей силы пишут

                            С уважением, Алексей Семенистый

                            [ Ответить ]
                            • Re: Травма голеностопного сустава 44С3 помогите определиться с оперативной тактикой
                              Отправитель: Alexander Chelnokov 19 Декабрь 2015, 11:21
                              В классификации и картинках про лечение при переломах лодыжек и пилона, например, на aosurgery.com. Плюс известное изречение М.Мюллера "Классификация полезна лишь тогда, когда она учитывает тяжесть повреждения кости и служит основой для лечения и оценки результатов".

                              Здесь действительно пример, показывающий, что дискретность классификации не все случаи позволяет однозначно отнести к тому или другому ее элементу. И механизмов и травмирующих сил может быть сразу несколько одновременно и последовательно. Сначала поворот стопы, а потом осевая нагрузка, например.


                              [ Ответить ]
                              • Re: Травма голеностопного сустава 44С3 помогите определиться с оперативной тактикой
                                Отправитель: Maxim Agalakov 20 Декабрь 2015, 12:58
                                лечим пилон

                                [ Ответить ]
    Re: Травма голеностопного сустава 44С3 помогите определиться с оперативной тактикой
    Панченко Андрей 16 Декабрь 2015, 23:08
    Здравствуйте.
    По классификации АО наверное ближе к 43С.

    По моему скромному мнению, я вижу решение в данном случае следующим образом.
    1). Если есть ЭОП:
    На Р-графии в условиях АНФ положение отломков хорошее. Думаю начать можно с внутрисуставного отломка пилона:попытаться закрыто отрепонировать спицами с окончательной фиксацией винтами(конюлированными по спицам). Затем закрыто на спицах отрепонировать вн. лодыжку и фиксировать винтом по спице (конюлированным)+ деротационная спица. Затем с помощью спицы проведённой сагитально за наружную лодыжку и фиксированной в скобе для скелетного вытяжения путём дистракции востановить длину м/берцовой кости,затем интрамедуллярно синтезировать спицей 2.5мм (или штифтом) и сразу провести позиционные винты для фиксации ДМБС (думаю лучше 2). Затем закрыто на спицах репонировать задний край ББК и фиксировать винтом с передней пов-ти ББК.
    2). Если нет ЭОП.
    Последовательность также, только открыто.
    Пилон-винтами, вн. лодыжку по Веберу, м/берц. кость пластиной(с угловой стаб 1/3 трубки), задний край ББК винтом, ДМБС винтами(лучше 2-мя).
    Как-то так...
    Удачи Вам Дмитрий!
    [ Ответить ]

    • Re: Травма голеностопного сустава 44С3 помогите определиться с оперативной тактикой
      Отправитель: Alexander Chelnokov 16 Декабрь 2015, 23:35
      Пилон-винтами

      Плохая мысль, если считать, что это 43C.
      Только если подразумевать комбинацию minimal internal + external fixation.

      [ Ответить ]
      • Re: Травма голеностопного сустава 44С3 помогите определиться с оперативной тактикой
        Отправитель: Панченко Андрей 16 Декабрь 2015, 23:51
        "Плохая мысль,если считать что это 43С..."
        Александр Николаевич, сомнения между 43С и 44С...
        Соглашусь с Вами что external fixation необходима если 43С.

        [ Ответить ]
    Re: Травма голеностопного сустава 44С3 помогите определиться с оперативной тактикой
    Антон Бехтерев 17 Декабрь 2015, 01:16
    Это повреждение пилона. Больше похоже на 44В. И лечить его, как лодыжковое повреждение категорически нельзя. Отсутствие возможности КТ плохо, но не катастрофа. Попробовать выполнить косые проекции - определиться с чего начать. С малоберцовой - рискованно ошибиться в длине и ротации. Ориентировка по репозииции заднего края может быть неверной.
    Можно с заднего края начать задним доступом. При условии сохранности задней межберцовой связки и отсутствии провала tibial plafond это позволит воссоздать жесткость задней стенки, по которой получится выполнить репозицию остальных отломков из передне-латерального доступа.

    Но сперва нужно дождаться полного бессомнительного спадения отека и постараться получить максимум информации о состоянии суставной поверхности большеберцовой кости.
    [ Ответить ]

    • Re: Травма голеностопного сустава 44С3 помогите определиться с оперативной тактикой
      Отправитель: Немолодой специалист 17 Декабрь 2015, 10:50
      "Это повреждение пилона. Больше похоже на 44В. И лечить его, как лодыжковое повреждение категорически нельзя."

      Ну допустим, это 43 В.

      "..начать. С малоберцовой - рискованно ошибиться в длине и ротации."

      А в чем риск? Репозиция ведь предполагается открытая, прямая!


      "..Можно с заднего края начать задним доступом...... ...это позволит воссоздать жесткость задней стенки, по которой получится выполнить репозицию остальных отломков из передне-латерального доступа."

      Переднелатеральный доступ? А что и как из этого переднем-латерального доступа здесь можно сделать?

      А малоберцовую кость с разорванной передней связкой синдесмоза (не бывает при 43!) и межкостной мембраной так и оставим неотрепонированной ?

      "Но сперва нужно дождаться полного бессомнительного спадения отека и постараться получить максимум информации о состоянии суставной поверхности большеберцовой кости."

      Да, но не только! Нужно понять не только видимые на рентгеновских снимках костные повреждения, но и вероятные, с учетом механизма травмы и первичных рентгенограмм до репозиции, повреждения мягкотканных структур, участвующих в обеспечении стабильности голеностопного сустава.

      [ Ответить ]
      • Re: Травма голеностопного сустава 44С3 помогите определиться с оперативной тактикой
        Отправитель: Антон Бехтерев 17 Декабрь 2015, 14:14
        Конечно я имел в виду 43В. Я неправильно набрал.

        Риск в том, что перелом малоберцовой кости оскольчатый, и не будет полной уверенности в правильности репозиции. Можно, конечно, ободрать отломки, но лучше стабилизировать перелом в последнюю очередь миниинвазивно после восстановления анатомии суставного конца большеберцовой кости.

        Опять-таки, приходится "танцевать" от догадок: "что там?" Я погорячился. Вполне возможно, передние-латеральный доступ неправильный и потребуется какой-то другой. Для это КТ и нужно. Не удивлюсь, если после дообследования, придется лечить именно повреждение 44С.

        P.S. Коллега. По меньшей мере неуважительно не представляться в беседе. Тот факт, что Вы немолодой специалист, еще Вас не оправдывает. Уж не обессудьте.

        [ Ответить ]
        • Re: Травма голеностопного сустава 44С3 помогите определиться с оперативной тактикой
          Отправитель: Alexander Chelnokov 17 Декабрь 2015, 15:39
          но лучше стабилизировать перелом в последнюю очередь миниинвазивно

          А раз это перелом пилона, то исчезает необходимость не то что начинать с малоберцовой, а и вообще ее фиксировать пластиной. Когда будет сопоставлен и фиксирован задний край, то наружная лодыжка будет на месте,

          придется лечить именно повреждение 44С

          Это если дистальный эпиметафиз tibia внезапно прирастет, и останутся переломы только заднего края, внутренней лодыжки и малоберцовой.

          [ Ответить ]
          • Re: Травма голеностопного сустава 44С3 помогите определиться с оперативной тактикой
            Отправитель: Антон Бехтерев 17 Декабрь 2015, 16:13
            Всяко бывало, Александр Николаевич. ☺

            [ Ответить ]
          • Re: Травма голеностопного сустава 44С3 помогите определиться с оперативной тактикой
            Отправитель: Немолодой специалист 17 Декабрь 2015, 16:31
            "исчезает необходимость не то что начинать с малоберцовой, а и вообще ее фиксировать пластиной."

            А как же быть с поврежденным передним синдесмозом и межкостный мембраной и, наверняка, оставшимся ротационным смещением наружной лодыжки и, как следствие, не аналогичное ее положение в вырезке большеберцовый кости?


            "наружная лодыжка будет на месте, "- почти на месте! Кроме того, а где уверенность, что задний край точно-точно встал на свое место? Особенно при закрытой или малоинвазивной репозиции?

            [ Ответить ]
            • Re: Травма голеностопного сустава 44С3 помогите определиться с оперативной тактикой
              Отправитель: Alexander Chelnokov 17 Декабрь 2015, 17:59
              Не видно, откуда тут ожидать значимых смещений при правильных взаимоотношениях наружной лодыжки и таранной кости. Конечно, надо внимательно на все посмотреть после восстановления формы дистального отдела tibia. Вероятнее, что форма вилки голеностопного сустава при этом будет уже правильная. Скорее всего, и синдесмоз впереди цел. Задний край... Есть и рентгеновская картинка, и возможность открытой репозиции.

              [ Ответить ]
              • Re: Травма голеностопного сустава 44С3 помогите определиться с оперативной тактикой
                Отправитель: Maxim Agalakov 20 Декабрь 2015, 13:03
                согласен, синдесмоз цел, его компроментировать может только перелом заднего края

                [ Ответить ]
        • Re: Травма голеностопного сустава 44С3 помогите определиться с оперативной тактикой
          Отправитель: Немолодой специалист 17 Декабрь 2015, 16:24
          "..P.S. Коллега. По меньшей мере неуважительно не представляться в беседе. Тот факт, что Вы немолодой специалист, еще Вас не оправдывает. Уж не обессудьте."

          Уважаемый Антон, полностью с Вами согласен, о недопустимости таких ников как мой! Однако, я это делаю сознательно, когда в беседе участвует кто-нибудь с подобным безликим ником. Антон, у Вас лично я прошу прощения и могу выслать свое имя (оно вам знакомо) вам в личку.

          [ Ответить ]
          • Re: Травма голеностопного сустава 44С3 помогите определиться с оперативной тактикой
            Отправитель: Молодой специалист 17 Декабрь 2015, 16:49
            "я это делаю сознательно, когда в беседе участвует кто-нибудь с подобным безликим ником".

            Я глубоко извиняюсь, коллега, перед Вами и перед остальными кого оскорбил своей анонимность, но причины на это у меня есть, и я как то об этом уже писал.
            Я без проблем представился бы общаясь с Вами лично, но здесь к сожалению ПОКА не могу.

            С уважением!

            [ Ответить ]
            • Re: Травма голеностопного сустава 44С3 помогите определиться с оперативной тактикой
              Отправитель: Alexander Chelnokov 17 Декабрь 2015, 20:23
              Коллеги, этот ресурс изначально задумывался как открытый и свободный, без обязательной персонификации. То есть с возможностью писать под псведонимом, анонимно, как угодно - лишь бы по делу, профессионально.
              Совершенно безобидное сообщение у кого-то на работе могут посчитать вынесением сора из избы, у кого-то руководство ревнивое, или мало ли какие у кого обстоятельства. Так что просьба не нервничать сильно на этот счет, а относиться терпимо и с пониманием.

              [ Ответить ]
    Re: Травма голеностопного сустава 44С3 помогите определиться с оперативной тактикой
    Молодой специалист 17 Декабрь 2015, 12:00
    Уважаемые коллеги! Очень много говорится о механизме травмы, и именно поэтому случай показался мне интересным. Если для вертикального внутрисуставного перелома должна предшествовать супинация, а перелому н/3 м/б кости и разрыву ДМС - пронация. Так какой здесь механизм? Я затрудняюсь сказать.
    [ Ответить ]

    Re: Травма голеностопного сустава 44С3 помогите определиться с оперативной тактикой
    Дмитрий 17 Декабрь 2015, 12:04
    Даже пациентка затруднятся. Но по-видимому все-таки пронация
    [ Ответить ]

    Re: Травма голеностопного сустава 44С3 помогите определиться с оперативной тактикой
    Дмитрий 19 Декабрь 2015, 00:55

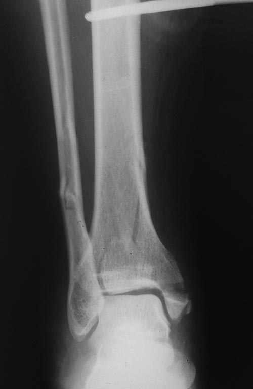
    Результат.
    [ Ответить ]

    • Re: Травма голеностопного сустава 44С3 помогите определиться с оперативной тактикой
      Отправитель: Alexey Semenistyy 19 Декабрь 2015, 02:15
      Дмитрий, как Вы классифицируете этот перелом после операции: 44С или 43В?
      Спасибо, что выложили результат операции. В каком порядке что делали, какими доступами, какие были сложности? Как сами оцениваете сделанное? Сделали бы что-то по-другому?

      С уавжением,
      Алексей Семенистый.

      [ Ответить ]
      • Re: Травма голеностопного сустава 44С3 помогите определиться с оперативной тактикой
        Отправитель: Дмитрий 19 Декабрь 2015, 07:53
        Считаю результат удовлетворительным, начали все-таки с м/берцовой, после её фиксации задний край встал. Вторым доступом был задне-медиальный здесь обнаружился не связанный с диафизом и значительный по величине метаэпифизарный передне- медиальный отломок, его временно фиксировал спицами, затем провёл фиксацию внутренней лодыжки к этому фрагменту также спице, задний край фиксировали винтами, далее медиальная пластина, м/инвазивно(насколько возможно), затем винт во внутреннюю лодыжку. После этого проверил синдесмоз, он оказался состоятелен. На счёт что это за перелом: если бы не один передне-медиальный фрагмент, который по-суть захватывает 40-50% суставной поверхности, то без сомнений это 4 4, а так все-таки 4 3, но синтез м/берцовой считаю в этом случае был необходимым и первоочерёдным ). P.S: спасибо всем за советы, очень помогло в планировании.

        [ Ответить ]
        • Re: Травма голеностопного сустава 44С3 помогите определиться с оперативной тактикой
          Отправитель: Молодой специалист 19 Декабрь 2015, 11:18
          Уважаемый Дмитрий! Скиньте пожалуйста, если Вас не затруднит, внешний вид конечности.

          [ Ответить ]
          • Re: Травма голеностопного сустава 44С3 помогите определиться с оперативной тактикой
            Отправитель: Дситрий 19 Декабрь 2015, 12:18
            Доступа к телу нет, появится после выходных постараюсь(3-и сутки самое то) и хотел "человеческий" рентген)

            [ Ответить ]
        • Re: Травма голеностопного сустава 44С3 помогите определиться с оперативной тактикой
          Отправитель: Alexey Semenistyy 19 Декабрь 2015, 16:51
          Это правильно, что с малоберцовой начали и фиксировали её. Задний край, медиальный отдел. Проверка стабильности-Все ок. Правда, медиальная лодыжка кажется недорепонировпнной.
          Дмитрий, по снимку не понятно, какие винты какую функцию выполняют. Есть ли винты стягивающие? Если есть, то какие?


          [ Ответить ]
          • Re: Травма голеностопного сустава 44С3 помогите определиться с оперативной тактикой
            Отправитель: Дмитрий 19 Декабрь 2015, 20:32
            По суставной отрепонирована была ad ocullus, на снимках может так смотреться в следствие оскольчатого характера, стягивающий винт в пластине 4,5 мм один. Не рискнул ставить стягивающие в "ложку" побоялся "раздавить".

            [ Ответить ]
          • Re: Травма голеностопного сустава 44С3 помогите определиться с оперативной тактикой
            Отправитель: Maxim Agalakov 20 Декабрь 2015, 13:17
            c наружной лодыжкой - не уверен, длинна ее была восстановлена в аппарате. Да, я знаю про АО принципы, латеральную колонну и тд.


            [ Ответить ]
            • Re: Травма голеностопного сустава 44С3 помогите определиться с оперативной тактикой
              Отправитель: Alexey Semenistyy 20 Декабрь 2015, 23:31
              Простите, но между "знаю про.." и "знаю..", т.е "понимаю и умею" есть разница.
              Не про все, Максим, вы, видимо, знаете, раз не видите на первичных снимках признаков повреждения синдесмоза кроме перелома заднего края. А оно там есть.

              [ Ответить ]
              • Re: Травма голеностопного сустава 44С3 помогите определиться с оперативной тактикой
                Отправитель: Молодой специалист 21 Декабрь 2015, 01:12
                Уважаемый Алексей Юрьевич! Объясните пожалуйста - о каких признаках повреждения синдесмоза, на первичных снимках, Вы говорите? Учитывая мой ник, я могу чего-то не знать/не понимать. Даже после слов автора публикации ("после этого проверил синдесмоз, он оказался состоятелен"), вы утверждаете об обратном.

                Вопрос, исключительно, с целью пополнения багажа своих знаний.

                [ Ответить ]
                • Re: Травма голеностопного сустава 44С3 помогите определиться с оперативной тактикой
                  Отправитель: Alexey Semenistyy 21 Декабрь 2015, 01:52
                  Это бы лучше нарисовать надо. Чуть позже попробую.

                  Вы пишите:-"...Даже после слов автора публикации ("после этого проверил синдесмоз, он оказался состоятелен"), вы утверждаете об обратном."

                  Нет, я не утверждаю обратного. Я утверждаю 1) что повреждение синдесмоза представленно здесь отрывным переломом заднего края и полным разрывом передней межберцовой связки. 2) что если произведена фиксация в анатомичном положении всех имеющихся переломов (малоберцовая+задний край+медиальная лодыжка и +, как частный вариант в этом примере, медиальный метаэпифизарный фрагмент б/б кости), то несмотря на оставшийся невосстановленный полный разрыв передней связки и фрагмент дистальный части межкостный мембраны (при 44 С1 и С2) голеностопный сустав будет достаточно стабилен для начала ранних движений. Позиционный винт не нужен. Примерно об этом, мне кажется писал "Немолодой специалист" где-то выше.

                  Рисовать?


                  [ Ответить ]
                  • Re: Травма голеностопного сустава 44С3 помогите определиться с оперативной тактикой
                    Отправитель: Alexey Semenistyy 21 Декабрь 2015, 03:11
                    Давнишние экспериментальные исследования про стабильность голеностопа: Michelson J.D., Clarke H.J., Jinnah R.H. The effect of loading on tibiotalar alignment in cadaver ankles // J. Foot Ankle. -1990. -№ 10. –P.280-284.

                    Grath.G., Widening of the ankle mortise: A clinical and experimental study // Acta Chir. Scand. Suppl. -1960. -№ 263. –P.7-10



                    [ Ответить ]
                    • Re: Травма голеностопного сустава 44С3 помогите определиться с оперативной тактикой
                      Отправитель: Молодой специалист 21 Декабрь 2015, 12:17
                      Спасибо!

                      [ Ответить ]
    Re: Травма голеностопного сустава 44С3 помогите определиться с оперативной тактикой
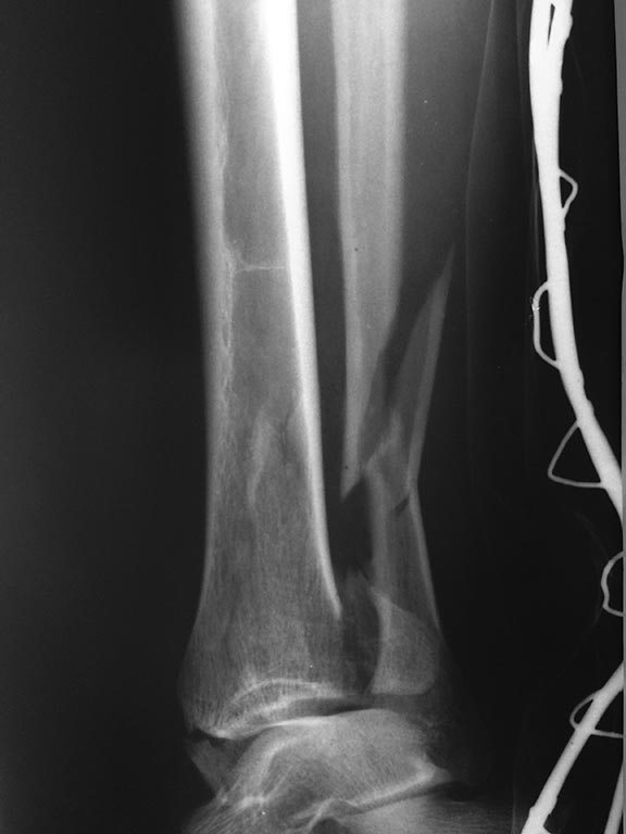
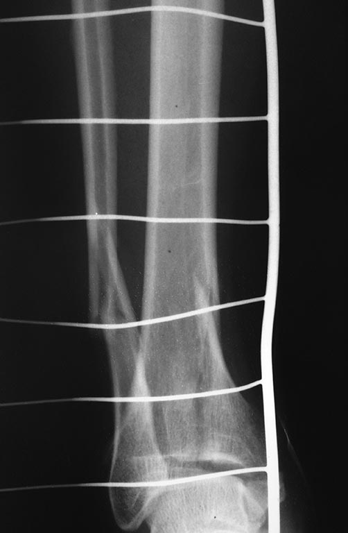
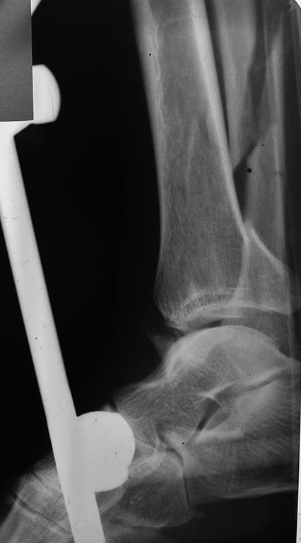
    Дмитрий 21 Декабрь 2015, 17:14

    Результат операции.
    [ Ответить ]

    • Re: Травма голеностопного сустава 44С3 помогите определиться с оперативной тактикой
      Отправитель: Alexey Semenistyy 22 Декабрь 2015, 00:33
      Выглядит вполне себе не плохо. Хотя, кое-что можно было бы сделать по-другому

      [ Ответить ]
      • Re: Травма голеностопного сустава 44С3 помогите определиться с оперативной тактикой
        Отправитель: Дмитрий 22 Декабрь 2015, 08:07
        Спасибо. Если вам не сложно, опишите тактику, которую избрали бы вы.

        [ Ответить ]
        • Re: Травма голеностопного сустава 44С3 помогите определиться с оперативной тактикой
          Отправитель: Alexey Semenistyy 23 Декабрь 2015, 01:39
          Дмитрий, моя тактика была ты точно такой же.
          1) Даже если бы било чем м с кем, я бы не стал делать окончательный остеосинтез в день поступления. Перелом сложный (44С с претензией быть 43В), больная тучная, значит энергия травмы приличная, несмотря на непрямой ротационный главным образом механизм, и мягкие ткани могут быть скомпроментированы. В первые часы это оценить трудно, можно только предположить. Аккуратная, не грубая закрытая репозиция и наружный фиксатор в положении приблизительной репозиции - это то, что я сделал при поступлении, примерно так же как и вы и это сделали.
          2) Я бы все делал в таком же порядке: малоберцовую и задний край, затем медиальный раскол, в последнюю очередь медиальную лодыжку. Оценка стабильности синдесмоза.

          КТ, безусловно, показана, но только после репозиции и в аппарате

          Иначе я бы поступил с направлением некоторых винтов, с их функцией (см вложение):
          1)Винты, фиксирующие задний край, должны быть стягивающими, приходить перпендикулярно плоскости перелома.
          2)Нужен хотя бы один стягивающий винт вне или через опорную пластину для вертикального метаэпифизарного раскола параллельно суставной поверхности (в прямой проекции) и достаточно близко к ней.
          3) Винт через внутреннюю лодыжку также должен быть стягивающим. Направление и длину его я бы выбрал такое, чтобы он заканчивался не в зоне вертикального разлома, не в зоне перехода метафиза в диафиз, где в центре кости уже мало губчатого вещества, а более дистльно и вертикально , где "губка" более плотная. Возможно, стягивание петлей по Веберу здесь более предпочтительно.. Ну и с открытой репозицией медиальной лодыжки постарался бы...
          3) В качестве опорной пластины для медиального раскола взял бы 1/3-трубки, ну в крайнем случае максимум 3,5 метафизарную LCP. "Ложка" тут избыточна, а вот стягивающего винта не хватает.


          [ Ответить ]
          • Re: Травма голеностопного сустава 44С3 помогите определиться с оперативной тактикой
            Отправитель: Alexey Semenistyy 23 Декабрь 2015, 01:41
            pdf, 1 mb

            Вложение


            [ Ответить ]
            • Re: Травма голеностопного сустава 44С3 помогите определиться с оперативной тактикой
              Отправитель: Дмитрий 23 Декабрь 2015, 06:42
              Спасибо, весьма позновательно, попробую и я в следующий раз немного по-другому)

              [ Ответить ]
              • Re: Травма голеностопного сустава 44С3 помогите определиться с оперативной тактикой
                Отправитель: Paul 24 Декабрь 2015, 08:09
                На ренгенограмме в сагитальной проекции контуры кортикальной пластинки внутренней лодыжки не совпадают - в месте перелома, а на сагитальной проекции, кажется, смещение внутренней лодыжки кпереди....

                [ Ответить ]
    Re: Травма голеностопного сустава 44С3 помогите определиться с оперативной тактикой
    сергей 28 Декабрь 2015, 19:52
    Интересно бы сделать снимки обоих голеностопов на одной кассете и посмотреть синдесмоз на здоровой конечности. Какое-то ощущение, что имеется небольшой подвывих...
    [ Ответить ]


    ( Ответить )

    Powered by Zope  Squishdot Powered MedLink
    Посетитель: 0392457
      "По форме правильно, а по существу - издевательство" В.И.Ленин
    ©2001-2019Orthoforum Coordinator.
    [ Главная | Отправить сообщение | Поиск | Админ ]