AOTRAUMA.ORG Центр Илизарова  

Ортопедия и травматология Общие вопросы/General questions Help Информационные технологии в медицине
 вверх
 отправить
 поиск
 админ
 главная


Множественные переломы у ребенка - тактика?
Ортопедия и травматология Отправлено Игорь 13 Январь 2016, 23:01
Здравствуйте.
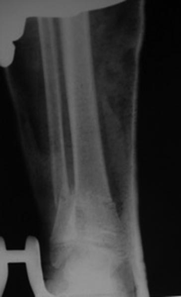
У нас поступила девчонка, 10 лет, ДТП 7.01.2016.
Множественные переломы.
У неё переломы обеих седалищных костей без смещения значительного.
Переломы оскольчатые обеих бёдер в н/3, открытые. Раны ушиты в отличном состоянии.
На одном бедре межмыщелковый перелом и там мыщелки немного разъехались. Голень там тоже сломана в н/3 обе кости. Снимок голени в боковой проекции сделан не был.
На данный момент ребёнок лечится вытяжением, антибиотики, инфузии.
В отделении есть только спицы, аппарат Илизарова, и несколько гвоздей Богданова, на этом метал заканчивается.

Вопросы:
Как можно лечить бёдра? Илизаровским аппаратом или вытяжением до победного конца? Или "другой" вариант?
Заранее спасибо!

<  |  >

 

  • Сообщения о Ортопедия и травматология
  • Также Игорь
  • Связаться с автором
  • Ответить

    Re: Множественные переломы у ребенка - тактика?
    Иван Кравченко 14 Январь 2016, 23:42
    Игорь, если у Вас так все печально с оснащением, то этого больного нужно лечить в спец. отделении после стабилизации, естественно.
    с уважением Кравченко И.А.
    [ Ответить ]

    Re: Множественные переломы у ребенка - тактика?
    Иван Кравченко 14 Январь 2016, 23:43
    Игорь, если у Вас так все печально с оснащением, то этого больного нужно лечить в спец. отделении после стабилизации, естественно.
    с уважением Кравченко И.А.
    [ Ответить ]

    • Re: Множественные переломы у ребенка - тактика?
      Отправитель: Роман 15 Январь 2016, 02:23
      А какую тактику лечения этого ребенка,10 лет,избрали бы Вы в спец.отделении?

      [ Ответить ]
    Re: Множественные переломы у ребенка - тактика?
    Роман 15 Январь 2016, 02:19
    Сложный случай. Я бы попробовал бедро с межмыщелковым переломом синтезировать закрыто мыщелки канюлированым шурупом(надеюсь он у Вас есть)и 4-5 спицами антеградно с н/3 диафиза бедра(в идеале под ЕОП контролем).Второе бедро- открыться, стержень Богданова,спицу в дистальный фрагмент через отверстие в стержне,серкляж. Коксит обязательно.Голень тоже нужно репонировать(вальгус слишком большой)и синтезировать спицами антеградно.
    [ Ответить ]

    • Re: Множественные переломы у ребенка - тактика?
      Отправитель: Ниязов Нияз 15 Январь 2016, 18:24
      Здравствуйте коллеги. При любом методе лечения не забывайте про ротацию бедра с двух сторон(чтобы потом не переделывать). Надмыщелковая область склона к этому.
      Роман не пойму зачем открывать бедро и синтезировать там где второе бедро, да ещё серкляж, это открытый перелом который ушили, а вы туда штифт и проволоку только ради репозиции большого осколка осколка?!. В таких условиях это большой риск остеомилита. Первое бедро где мыщелки смещены открыто стоит риска так как там большая вероятность контрактуры. Вытяжение при ограниченных ресурсах следует продолжить. Где второе бедро нужно наложить боковое манжеточное вытяжение предварительно отрепонировав его насколько возможно. Первое бедро попробовать отрепонировать или идти открыто с учётом характера раны и возможного доступа. Фиксация толстыми короткими спицами. На голень лонгету и спицы. Тамже можно Лфк с лонгетой на ноге.

      [ Ответить ]
      • Re: Множественные переломы у ребенка - тактика?
        Отправитель: Сергей Тарасов 15 Январь 2016, 21:22
        Как мне кажется, лечить вытяжением такую травму при наличии в отделении аппарата Илизарова - значит обрекать родителей и ребёнка на длительное мучение с неопределённым конечным результатом.

        [ Ответить ]
        • Re: Множественные переломы у ребенка - тактика?
          Отправитель: Ниязов Нияз 15 Январь 2016, 23:08
          Как вариант выбора вытяжение будет за одну ногу, а с другой стороны будет лонгета и спицы внутри. Аппарат конечно идеальный вариант при политравме, Но я представляю как аппарат компоновки на бедро и голень или и на второе бедро будет мучением для ребёнка в плане перевязки и ухода. Самое главное после перелома в области коленного сустава всегда тяжело разработывать его, а после межмыщелкого перелома с аппаратом это вообще мука из мук. А со спицами через короткое время можно начать работать коленкой.
          Все зависит от желания врача и умения. Одно дело наложить простую компоновку на бедро и голень для стабилизации, а другое дело ювелирно собрать потом тянуть аппарат что бы собрать мыщелки. Без ЭОП или практики типа института Илизарова или Турнера делать такое очень трудно.

          [ Ответить ]
      • Re: Множественные переломы у ребенка - тактика?
        Отправитель: Роман 16 Январь 2016, 02:47
        Без открытой репозиции "второго" бедра угадать длину будет очень сложно.Серкляж не проволочный, а из шовного материала.Если не репонировать большие осколки хотя бы немного-этот перелом будет сростаться слишком долго.Согласен с д-ром Тарасовым,что скелетное вытяжение " значит обрекать родителей и ребёнка на длительное мучение с неопределённым конечным результатом",+ наверняка есть ЧМТ ,а значит большая вероятность возбуждения, и манжеточное вытяжение,впрочем как и скелетное,будет неэфективным.На "первое" бедро обязательно шуруп чрез мыщелки,иначе спицы будет некуда заводить.Согласен с Вашим мнением относительно аппарата.Думаю,что лонгет будет недостаточно(хотя бы на первые 3-4 недели коксит.)

        [ Ответить ]
    Re: Множественные переломы у ребенка - тактика?
    Сергей Тарасов 15 Январь 2016, 09:52
    Голень отрепонировать закрыто и фиксировать спицами + гипс ниже колена. На оба бедра, если нет возможности адекватной внутренней фиксации - аппарат.
    [ Ответить ]

    Re: Множественные переломы у ребенка - тактика?
    Paul 16 Январь 2016, 11:03
    Каждый перелом имеет свои особенности лечения. Теоретически можно вылечить всё...
    В данном случае, при отсутствии опыта лечения множественной тяжелой травмы и полном отсутствии оборудования показано лечение в специализированном травматологическом отделении!!!!!
    [ Ответить ]

    Re: Множественные переломы у ребенка - тактика?
    Данила Курышев 16 Январь 2016, 22:35
    Глубокоуважаемый Игорь. Есть ли в вашем отделении ЭОП? Переломы бёдер не простые. Я бы не стал рассчитывать на скелетное вытяжение. Не очень понятно где какое бедро. Левые снимки – по моему мнению бедро надо оперировать с артротомией: необходимо убрать осколки по передней поверхности перелома – они гарантировано будут мешать движениям. Малоинвазивное удаление может быть неудачным. Синтез мыщелков имеющимися у Вас спицами под контролем глаза и пальца. Кстати, в суставе могут быть обнаружены различные неожиданности. Общую фиксацию можно осуществить в АНФ Илизарова с встречной компрессией мыщелков. Правые снимки. Тоже высокоэнергетический перелом и критическое смещение отломков. Так оставлять, ИМХО, не стоит. Велика вероятность массивной интерпозиции между отломками. Отломки ротированы и это может вызвать нарушение сращения,ремоделирования кости. В качестве варианта: наложение АНФ Илизарова, разрез, «ручная» репозиция отломков «по месту». Дистальные перекрещивающиеся спицы я бы провёл через мыщелки бедра. АНФ будут оптимальны в спице-стержневом исполнении. С уважением!
    [ Ответить ]

    Re: Множественные переломы у ребенка - тактика?
    ihor. 17 Январь 2016, 00:37
    Здравствуйте Игорь. Я рекомендую оперировать переломы бедренных костей ( накостный остеосинтез пластиной) . Перелом голени закрытая репозиция с фиксацией спицами . Скелетное вытяжение не метод лечения в даном случае. Удачи.


    [ Ответить ]

    • Re: Множественные переломы у ребенка - тактика?
      Отправитель: Данила Курышев 17 Январь 2016, 02:06
      Он предупредил - нет пластин. Уровень стационара - не понятен Не всякая премоделированная в этом случае подойдёт. Может подойти от плеча н/з. А как зацепиться LISS в данном случае в условиях активного роста при условии сращения 4-5 мес и гарантированного вальгуса? Буду признателен за примеры. У нс иногда получалось антеградными TEN при ассистенции АНФ. С глубоким уважением.

      [ Ответить ]
      • Re: Множественные переломы у ребенка - тактика?
        Отправитель: Роман 17 Январь 2016, 14:46
        Согласен с Вашим мнением про пластины.Антеградно ТЕN? Слишком низко переломы."Первое" бедро-ИМХО невозможно,"второе"-почти невозможно(и обязательно внешняя иммобилизация).Буду признателен за примеры.
        С глубоким уважением.

        [ Ответить ]
      • Re: лМНФЕЯРБЕММШЕ ОЕПЕКНЛШ С ПЕАЕМЙЮ - РЮЙРХЙЮ?
        Отправитель: ihor 18 Январь 2016, 00:35
        гДПЮБЯРБСИРЕ ЙНККЕЦХ,
        мЮ ОЕПБШУ ПЕМРЦЕМНЦПЮЛЛЮУ (╧1 Х 2 БМСРПХЯСЯРЮБМНИ ОЕПЕКНЛ ЯН ЯЛЕЫЕМХЕЛ. реN МЕ ХЯОНКЭГСЧР ОПХ БМСРПХЯСЯРЮБМШУ ОЕПЕКНЛЮУ. рНКЭЙН НРЙПШРНЕ БОПЮБКЕМХЕ. с ДЕРЕИ ЛНФМН ХЯОНКЭГНБЮРЭ ПЕЙНМЯРПСЙРХБМСЧ ХКХ ОПЪЛСЧ СГЙСЧ ОКЮЯРХМШ.
        я СБЮФЕМХЕЛ
        Ihor


        [ Ответить ]
    Re: Множественные переломы у ребенка - тактика?
    Панченко Андрей 17 Январь 2016, 11:42
    Здравствуйте коллеги!

    Хотелось бы обратить внимание еще и на повреждение таза.
    По словам автора: "... У неё переломы обеих седалищных костей без смещения значительного..."
    Т.к ДТП-высокоэнергетическая травма,то ИМХО скорее всего повреждение таза не простое. Необходимо сделать R-снимки таза как минимум в 2-х проекциях ( прямой и inlet и исключать нестабильные повреждения таза.
    Учитывая возраст ребёнка, характер переломов н/конечностей(открытые переломы бедренных костей причём на одной тип С)-лучше перевести ребёнка в специализированное отделение.
    С уважением.
    [ Ответить ]

    • Re: Множественные переломы у ребенка - тактика?
      Отправитель: Роман 17 Январь 2016, 14:52
      Это,наверное, и есть специализированное детское отделение на периферии.К сожалению,такова реальность.

      [ Ответить ]
    Re: лМНФЕЯРБЕММШЕ ОЕПЕКНЛШ С ПЕАЕМЙЮ - РЮЙРХЙЮ?
    ihor 18 Январь 2016, 00:39
    гДПЮБЯРБСИРЕ ЙНККЕЦХ,
    мЮ ОЕПБШУ ПЕМРЦЕМНЦПЮЛЛЮУ (╧1 Х 2 БМСРПХЯСЯРЮБМНИ ОЕПЕКНЛ ЯН ЯЛЕЫЕМХЕЛ. реN МЕ ХЯОНКЭГСЧР ОПХ БМСРПХЯСЯРЮБМШУ ОЕПЕКНЛЮУ. рНКЭЙН НРЙПШРНЕ БОПЮБКЕМХЕ. с ДЕРЕИ ЛНФМН ХЯОНКЭГНБЮРЭ ПЕЙНМЯРПСЙРХБМСЧ ХКХ ОПЪЛСЧ СГЙСЧ ОКЮЯРХМШ.
    я СБЮФЕМХЕЛ
    Ihor

    [ Ответить ]

    Re: Множественные переломы у ребенка - тактика?
    Роман 06 Февраль 2016, 20:35
    Уважаемый Игорь! Какую тактику лечения предприняли Вы? Сообщите,пожалуйста, об результатах!
    [ Ответить ]


    ( Ответить )

    Powered by Zope  Squishdot Powered MedLink
    Посетитель: 0179864
      "По форме правильно, а по существу - издевательство" В.И.Ленин
    ©2001-2019Orthoforum Coordinator.
    [ Главная | Отправить сообщение | Поиск | Админ ]