вверх
отправить
поиск
админ
главная
|
Постравматическая деформация пяточной кости |
 |
 |
 |
Отправлено Абдурашид 19 Январь 2016, 16:33
Уважаемые коллеги. Вчера госпитализирован пациент 1970г.р. , в ноябре 2014г, получил о/перелом пяточной кости. в другой клинике произведена КДО аппаратом Илизарова, после трех месяцев аппарат сняли? , и больной начал наступать и ходить?- все это со слов б-ного(р-снимков нет.), Жалобы боли при ходьбе к-рая в динамике усиливается, об-но: деформация пяточной кости, движение в г/стоп.суставе почти в польном обьеме, по мед.поверхности пятки рубец плотно спаянный с костью. Предварительный план: корригируюшая остеотомия пяточной кости, для создания свода стопы.( сможем ли опустить бугра пяточной кости из-за натяжения ахиллово сухожилия), и подтаранный артродез. С уважением Абдурашид.
<
|
>
|
|
Ответить
|
Re: Постравматическая деформация пяточной кости
виталий 19 Январь 2016, 19:34
|
Может таранно-ладьевидный плюс подтаранный артродез с формированием свода не зачет репозици бугра а зачет фиксации в выгодном вам положении заднего и среднего отделов стопы? А проблему с ахиллом решить закрытой ахилотомией? Увеличит тыльной сгибание в голеностопе! Вроде такая тактика решит проблему с болями и опорой и объем движений будет вполне! Доступы вне рубца фиксация внутренняя!
|
[
Ответить ]
|
Re: Постравматическая деформация пяточной кости
Отправитель: Абдурашид 19 Январь 2016, 22:25
|
Спасибо Виталий!
Надо подумать.., если плюс таранно-ладьевидной, то видимо и плюс пяточно-кубовидной тоже, а вообще зачем, вроде средний отдел стопы и свод (средний) не деформирован, и суставы не плохие, а вот угол Белера отрицательный за счет смещения пяточного бугра. , конечно можно еще снимки в проекции Бродена для изучения задней фасетки подтаранного сустава.
Уважаемые коллеги, поделитесь пожалуйста опытом! !
С уважением Абдурашид.
|
[
Ответить ]
|
|
Re: Постравматическая деформация пяточной кости
Артём 20 Январь 2016, 05:48
|
Уважаемый коллега, в случае Вашего пациента положительным моментом является отсутствие деформации пятки в горизонтальной (аксиальный) плоскости, что несколько упрощает остеотомию в планируемой операции. Но надо отметить, что имеется выраженная посттравматическая деформация в сагитальной плоскости со значительным сдвигом места крепления ахиллова сухожилия к переди, что снижает эффективность действия мышц задней группы голени. Моё предложение - клиновидная (с основанием вниз) корригирующая остеотомия бугра пяточной кости, закрытая ахиллотомия. Но, поскольку деформация значительная, стремиться полностью восстановить анатомические ориентиры не стоит. Фиксацию предлогаю Осуществить 2 винтами типа Барука (7,0).
|
[
Ответить ]
|
Re: Постравматическая деформация пяточной кости
Анатолий 21 Январь 2016, 15:07
|
В таких случаях необходимо точно знать причину боли... чаще всего- это латеральный импиджмент (различных степеней) и подтаранный артроз. Исходя из выявленной причины выбирается тактика лечения! Простая попытка восстановить нормальную анатомию будет сложной в исполнении и не даст желаемого результата.
С уважением,
Анатолий Баранецкий
|
[
Ответить ]
|
Re: Постравматическая деформация пяточной кости
Отправитель: Абдурашидa 26 Январь 2016, 21:34
|

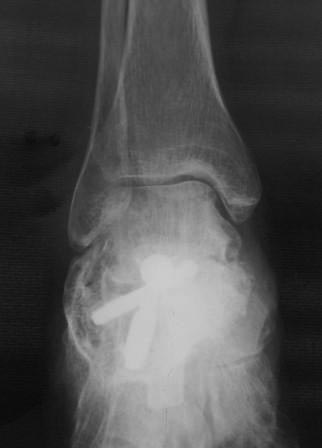
Уважаемые коллеги. Операция была произведена 22.01.16г., только сегодня имеется возможность отправить. L-образный доступ. . при ревизии подтаранный сустав сохранен, поэтому линейная остеотомия, подкожная ахиллотомия. Подготовка ложа, и смещенный отломок спущен вниз к ложу , но до конца не смогли. Фиксирован двумя винтами. По медиальной поверхности рубец плотно спаянный с костным осколком, пока не трогали из-за опасения инфицирования, после заживления раны потом будем думать, что делать.
Аксиальная Р-грамма вышло некачественно, потому что гипс наложен в положении некоторого эквинуса.
С уважением Абдурашид.
|
[
Ответить ]
|
|
( Ответить )
|
|