AOTRAUMA.ORG Центр Илизарова  

Ортопедия и травматология Общие вопросы/General questions Help Информационные технологии в медицине
 вверх
 отправить
 поиск
 админ
 главная


Миграция спицы!
Ортопедия и травматология Отправлено Музафаров Юрий 25 Январь 2016, 10:52
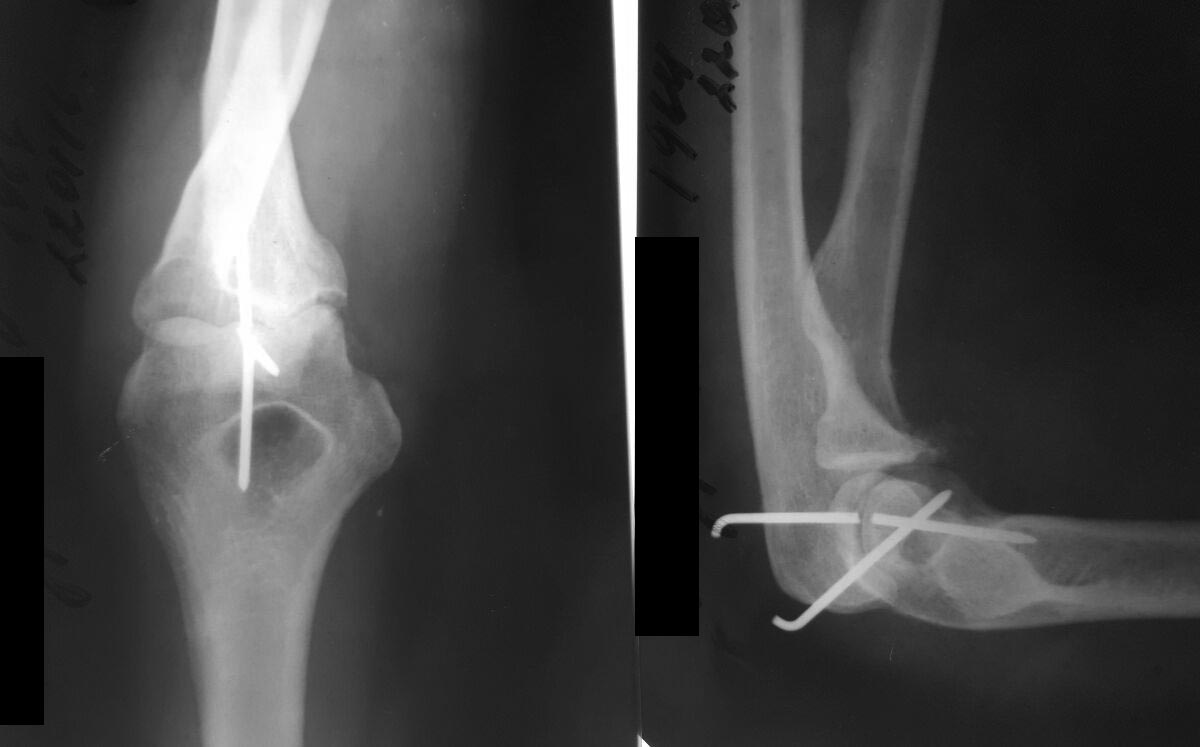
Доброго времени суток, уважаемые коллеги. Женщина 47лет. Три недели назад произведено открытое вправление по поводу застарелого вывиха предплечья.
Фиксировано двумя спицами. Сейчас обратилась для удаления спиц и проведения ЛФК.На рентген контроле выявлен перелом спицы. Посоветуйте, как ее теперь удалить.

<  |  >

 

  • Сообщения о Ортопедия и травматология
  • Также Музафаров Юрий
  • Связаться с автором
  • Ответить

    Re: Миграция спицы!
    Александр Петрушин 25 Январь 2016, 17:59
    Я бы вскрыл сустав доступом по Кохеру и убрал
    [ Ответить ]

    Re: Миграция спицы!
    Савранский Александр 25 Январь 2016, 18:31
    если не мешает разрабатывать сустав, я бы понаблюдал. Мигрирует дальше тогда удалять доступом передним на плече.
    [ Ответить ]

    Re: Миграция спицы!
    Сергей 25 Январь 2016, 21:30
    Если пациенке не мешает(в том числе и психологически) не удалял бы совсем.Для начала разработать сустав,а затем принять решение. Нужно учитывать,что операция будет травматичной и восстановление функций локтевого сустава затруднительно.

    [ Ответить ]

    Re: Миграция спицы!
    Сергей 25 Январь 2016, 21:30
    Если пациенке не мешает(в том числе и психологически) не удалял бы совсем.Для начала разработать сустав,а затем принять решение. Нужно учитывать,что операция будет травматичной и восстановление функций локтевого сустава затруднительно.

    [ Ответить ]

    Re: Миграция спицы!
    Бережной Сергей 25 Январь 2016, 21:59
    Можно сделать КТ. Если кончик спицы полностью погружен в кость и не проходит через локтевую ямку - бог с ним. Если торчит настолько, что можно захватить кончиком зажима - удалить под рентгенотелевизионным контролем слегка расширив отверстие от удаленного второго отломка спицы. А если торчит совсем чуть-чуть - втолкнуть дальше в кость тупым кончиком спицы через отверстие от удаленного второго отломка.
    [ Ответить ]

    Re: Миграция спицы!
    Paul 26 Январь 2016, 11:42
    Задний доступ. Трепанация локтевой ямки. После операции сразу начать движения.
    Если не мешает, то не убирать.
    [ Ответить ]

    Re: Миграция спицы!
    Сергей 27 Январь 2016, 23:14
    Мое мнение: под ЭОП удалить из минимального переднего доступа. Женщина...
    [ Ответить ]

    Re: Миграция спицы!
    Виталий 27 Январь 2016, 23:30
    Оставить, имхо, удалить никогда здесь не поздно! Мешать будет и через 5 лет можно удалить ! Мешать не будет ну и отлично!
    Хотя не должна ни мигрировать ни мешать Операция по удалению сверхтравматична! (( согласен с колеегой насчет внедрения спицы кость если на к-т торчит как вариант!
    [ Ответить ]

    Re: Миграция спицы!
    Levikovich 29 Январь 2016, 23:57
    Советую не удалять!!!....если и удалять,то даж не могу представить как???..шоб это было менее травматичнее,чем ,ЕСЛИ даже , он "торчит" в сустав и будет несколько "царапать" локтевую :(.
    [ Ответить ]


    ( Ответить )

    Powered by Zope  Squishdot Powered MedLink
    Посетитель: 0000085
      "По форме правильно, а по существу - издевательство" В.И.Ленин
    ©2001-2019Orthoforum Coordinator.
    [ Главная | Отправить сообщение | Поиск | Админ ]