ВХОД ДЛЯ ПАЦИЕНТОВ
вверх
поиск
админ
главная
исходное
последующие
|
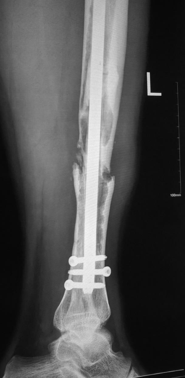
Re: Несращение большеберцовой кости
послал Иван 04 Февраль 2016, 19:33
|

Виталий Валерьевич, добрый день. Пациент сейчас в другом городе, прислал снимки без проксимального отдела. Боковую проекцию добавлю.
|
| Послать ответ |
Обратите внимание: Поля с жирными названиями обязательны.
Старайтесь отвечать в рамках обсуждаемой темы, а не начинать новые обсуждения.
Указывайте адекватную тему сообщения, чтобы было ясно, о чем оно.
Не послайте сообщений не по теме (оффтопик), раздраженных, грубых или обидных комментариев. Здесь это неуместно.
|