AOTRAUMA.ORG Центр Илизарова  

Ортопедия и травматология Общие вопросы/General questions Help Информационные технологии в медицине
 ВХОД ДЛЯ ПАЦИЕНТОВ
 вверх
 поиск
 админ
 главная


Консолидирующийся многооскольчатый перелом бедренной кости после БИОС. Какую тактику бы вы посоветовали?
Ортопедия и травматология Прислано Чернюк Евгений 08 Февраль 2016, 17:36
из Третья Черкасская БСМП
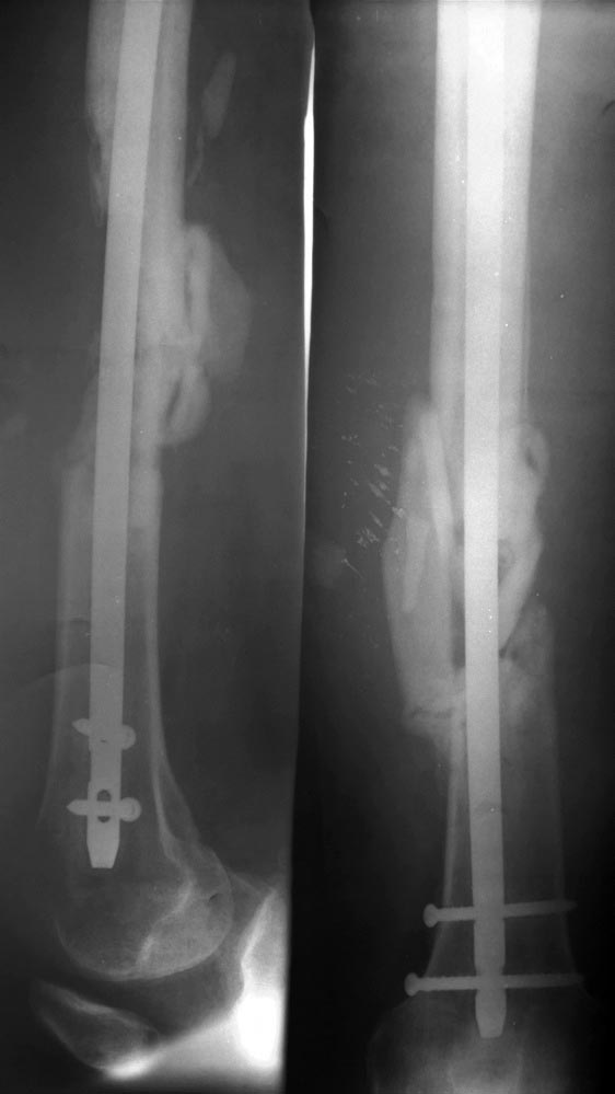
ДТП, мотоциклист, сентябрь 2015, закрытый многооскольчатый перелом правой бедренной кости, переломы фаланг пальцев, локтевого отростка, лучевой кости.. Прооперирован, бедренная кость - закрытая репозиция, блокируемый интрамедулярный остеосинтез.
Дозированная нагрузка сразу, на сегодня в течении месяца нагрузка до 80%. Картина на СКТ и рентгенограмме (извините за качество, ссылки
1,
2
частичная консолидация отломков, снизу вроде неплохо, проксимально слабовато. Дефект по передней поверхности бедренной кости.
Какую тактику посоветуете? Выжидательную или активную?

Я лично склоняюсь к активной - взять аутотрансплантат (продольный расщеп 2/3 малоберцевой кости, заполнить мостовидно дефект, фиксировать проксимально и дистально монокортикальными шурупами, лимитированнная боковая декортикация, укладка в зону дефекта смеси аллочипсов, аутогубки с крыла, PRF, без оголения стержня. Коллеги склоняются в выжидательной тактике. Пациент настаивает на активности, так как ему необходимо к 8 месячному сроку выйти на работу. Какие мысли? Заранее спасибо

Послать ответ

Имя
Email
Уведомление Сообщить мне по e-mail об ответах на это сообщение
Название
Комментарий
(Проверьте URL! Не забудьте написать http://!)
Кодировка
Если не знаете, что выбрать, выберите "Просто текст"!
Приложение
Можно приложить к сообщению файл c изображением, который затем будет доступен увидевшим сообщение.
Подготовка иллюстраций:
  • Рентгенограммы: черно-белые полутоновые изображения в формате JPEG (8 bit, greyscale) с разрешением от 300х200 до 1024х768 пикселов;
  • Клинические фотографии: полноцветные изображения в формате JPEG (24 bit, truecolor) с разрешением от 300х200 до 1024х768 пикселов;
  • Схемы и рисунки: черно-белые (2 bit) штриховые (line-art) изображения в формате GIF или compressed TIFF
  • Подберите степень сжатия файла JPEG и размер изображения таким образом, чтобы необходимые детали были различимы, но размер файла не превышал 75 кб.
  • Учтите, что текущая версия программного обеспечения Форума позволяет приложить к одному сообщению лишь один файл-вложение. Поэтому, если необходимо отправить несколько изображений, можно либо послать каждое как отдельное сообщение, либо в графическом редакторе объединить изображения в одно (сделать коллаж).
  • Если при подготовке изображений встречаются трудности, не стесняйтесь обратиться к координатору Форума.

  • Введите видимые символы в обратном порядке. Enter the above characters in reverse order (*Обязательно)
    В тексте сообщения можно использовать теги HTML <B> <I> <P> <A> <LI> <OL> <UL> <EM> <BR> <TT> <HR> <STRONG> <BLOCKQUOTE> <DIV .*> <DIV> <P .*>
  • Обратите внимание: Поля с жирными названиями обязательны.
  • Старайтесь отвечать в рамках обсуждаемой темы, а не начинать новые обсуждения.
  • Указывайте адекватную тему сообщения, чтобы было ясно, о чем оно.
  • Не послайте сообщений не по теме (оффтопик), раздраженных, грубых или обидных комментариев. Здесь это неуместно.
  • Powered by Zope  Squishdot Powered MedLink
    Посетитель: 0408373
      "По форме правильно, а по существу - издевательство" В.И.Ленин
    ©2001-2019Orthoforum Coordinator.
    [ Главная | Отправить сообщение | Поиск | Админ ]