AOTRAUMA.ORG Центр Илизарова  

Ортопедия и травматология Общие вопросы/General questions Help Информационные технологии в медицине
 вверх
 отправить
 поиск
 админ
 главная


Ложный сустав бедра.
Ортопедия и травматология Отправлено Музафаров Юрий 11 Февраль 2016, 08:37
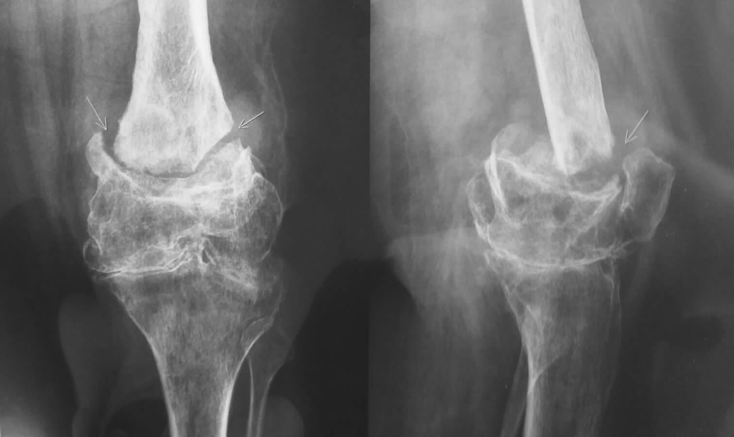
Женшина 69 лет В прошлом году произведена корригирующая остеотомия в н/3 бедра по поводу вальгусной деформции бедро фиксировано в аппарате Иллизарова.
В связи с инфицированием аппарат демонтирован. В настоящее время конечность не опороспособна, движений в коленном суставе нет.Планируем закрыто синтезировать ретроградно БИОС реконструктивным стержнем СНМ.

<  |  >

 

  • Сообщения о Ортопедия и травматология
  • Также Музафаров Юрий
  • Связаться с автором
  • Ответить

    Re: Ложный сустав бедра.
    Иван 11 Февраль 2016, 21:35
    Стоит, видимо, задуматься об атродезе коленного сустава. В первую очередь приходит мысль о артродезе интрамедуллярным стержнем с покрытием.

    Если нет движений в коленном суставе, то как Вы собираетесь ввести стержень? И даже при успешном введении не решится вопрос с коленным суставом, спасение которого уже не представляется возможным. Так что первое, что нужно сделать - это отказаться от Вашего плана.
    [ Ответить ]

    Re: Ложный сустав бедра.
    Alexander 12 Февраль 2016, 01:42
    Юрий, эндопротезирование коленного сустава - шанс для пациентки обрести полноценную функцию. Артродез следует оставить на крайний случай.
    [ Ответить ]

    Re: Ложный сустав бедра.
    Paul 12 Февраль 2016, 08:45
    Даже добавит нечего....
    [ Ответить ]

    Re: Ложный сустав бедра.
    Paul 12 Февраль 2016, 08:45
    Даже добавить нечего....
    [ Ответить ]

    Re: Ложный сустав бедра.
    Фирсов С.А. 12 Февраль 2016, 09:18
    В данном случае от вашего плана надо отказаться. Шанс дать женщине движения в коленном суставе-это эндопротезирование. Артродез крайний вариант.
    [ Ответить ]

    Re: Ложный сустав бедра.
    Сергей 12 Февраль 2016, 17:59
    А что с инфекцией?
    [ Ответить ]

    • Re: Ложный сустав бедра.
      Отправитель: Музафаров Юрий 14 Февраль 2016, 09:08
      Инфекции нет. В течении полугода СОЭ и С-реактивный белок в норме. В канал планируем зайти чуть ниже через бугристость.

      [ Ответить ]
    Re: Ложный сустав бедра.
    Бережной Сергей 12 Февраль 2016, 18:06
    По-моему, это как раз тот самый крайний вариант. Сложнейший ложный сустав, никакой коленный. И это ведь мы только маленький кусочек ноги видим. А что выше и ниже? Спицевой остеомиелит? Ведь сняли же аппарат из-за инфекции. Что за инфекция? И гвоздь то страшно в такую ногу. Не то что протез. Было бы здорово, если бы кто-то из рекомендующих протезирование выложил рентгенограммы хоть отдаленно напоминающего данный случай примера из своей практики.
    [ Ответить ]

    Re: Ложный сустав бедра.
    Alexander Chelnokov 13 Февраль 2016, 12:18
    Мы успешно делали антеградный интрамедуллярный остеосинтез при переломах и несращениях этой локализации много раз. Но тут действительно чистый остеосинтез не решение, поскольку сустав разрушен. И так, абстрактно, действительно варианты - это артроодез или замена сустава.
    Но в конкретных обстоятельствах - инфекция, пожилой возраст - предпочтительнее выглядит артродез с фиксацией длинным стержнем, еще и с антибактериальным покрытием. Такую операцию можно сделать во многих клиниках России.

    Если в каком-то учреждении готовы такую пациентку взять с легкой душой на эндопротезирование, т.е. есть и кураж сделать расширенную хирургическую обработку с санацией возможных очагов инфекции, и ревизионный или онкологический эндопротез, то ничто не мешает об этом заявить в этом обсуждении.
    [ Ответить ]

    Re: Ложный сустав бедра.
    Музафаров Юрий 14 Февраль 2016, 09:04
    Инфекции нет. В течении полугода СОЭ и С-реактивный белок в норме. В канал планируем зайти чуть ниже через бугристость.
    [ Ответить ]

    Re: Ложный сустав бедра.
    Бережной Сергей 14 Февраль 2016, 11:23
    А какова цель остеосинтеза при разрушенном коленном суставе в котором уже нет движений? Добьетесь сращения - будет болеть коленка. И что дальше? Через 2 года убрать гвоздь и поставить протез?
    [ Ответить ]

    • Re: Ложный сустав бедра.
      Отправитель: Юрий Музафаров 15 Февраль 2016, 11:09
      Женщина уже устала лечиться, нога в месте ложного сустава нестабильна. Один год передвигается на костылях. В аппарате Илизарова находилась полгода, в настоящее время от чрезкожного остеосинтеза категорически отказалась.

      [ Ответить ]
      • Re: Ложный сустав бедра.
        Отправитель: Руслан 15 Февраль 2016, 18:34
        Вечер добрый! На мой взгляд если пациентке не нужна функция в коленном суставе, то артродез любым способом,предпочтительно длинным гводем с рассверливанием и антибактериальным покрытием цементом с антибиотиком(не исключена инфекция). Если бороться за функцию,то в данном случае видится онкологический протез. Опять же после решения вопроса с возможной инфекцией зоны псевдоартроза и коленного сустава. С уважением, Руслан.

        [ Ответить ]

     

    ( Ответить )

    Powered by Zope  Squishdot Powered MedLink
    Посетитель: 0000175
      "По форме правильно, а по существу - издевательство" В.И.Ленин
    ©2001-2019Orthoforum Coordinator.
    [ Главная | Отправить сообщение | Поиск | Админ ]